常染色体隐性纤毛病患者进行性视网膜变性和幼年肾病1例报告。

IF 0.6 Q4 OPHTHALMOLOGY
Case Reports in Ophthalmology Pub Date : 2025-02-03 eCollection Date: 2025-01-01 DOI:10.1159/000543419
Jakob M Pericak, Eric K Chin, David R P Almeida
{"title":"常染色体隐性纤毛病患者进行性视网膜变性和幼年肾病1例报告。","authors":"Jakob M Pericak, Eric K Chin, David R P Almeida","doi":"10.1159/000543419","DOIUrl":null,"url":null,"abstract":"<p><strong>Introduction: </strong>Inherited retinal diseases, particularly ciliopathies, often lead to irreversible blindness and are frequently accompanied by systemic manifestations such as nephronophthisis. Current treatment options are limited, necessitating the exploration of supplementary strategies to slow disease progression.</p><p><strong>Case presentation: </strong>We present a rare case from a retinal surgery clinic involving a 30-year-old male with autosomal recessive retinitis pigmentosa (ARRP) and juvenile nephronophthisis. Comprehensive ocular and genetic evaluations were conducted, followed by the implementation of nutritional interventions aimed at mitigating multi-systemic effects. Genetic testing revealed pathogenic variants in <i>CEP83</i>, <i>PCARE</i>, and <i>VPS13B</i> genes, confirming the diagnosis of ARRP. Nutritional strategies, including omega-3 fatty acids, antioxidants, and tailored dietary modifications for renal health, were integrated alongside standard medical care. These interventions contributed to the stabilization of retinal degeneration and improved management of end-stage renal disease.</p><p><strong>Conclusion: </strong>Integrating personalized nutritional strategies into the management of ciliopathies can enhance patient out-comes by addressing both ocular and systemic manifestations. These findings underscore the need for policy development around nutritional education and support for patients with inherited ciliopathies.</p>","PeriodicalId":9635,"journal":{"name":"Case Reports in Ophthalmology","volume":"16 1","pages":"143-148"},"PeriodicalIF":0.6000,"publicationDate":"2025-02-03","publicationTypes":"Journal Article","fieldsOfStudy":null,"isOpenAccess":false,"openAccessPdf":"https://www.ncbi.nlm.nih.gov/pmc/articles/PMC12245148/pdf/","citationCount":"0","resultStr":"{\"title\":\"Progressive Retinal Degeneration and Juvenile Nephronophthisis in a Patient with Autosomal Recessive Ciliopathy: A Case Report.\",\"authors\":\"Jakob M Pericak, Eric K Chin, David R P Almeida\",\"doi\":\"10.1159/000543419\",\"DOIUrl\":null,\"url\":null,\"abstract\":\"<p><strong>Introduction: </strong>Inherited retinal diseases, particularly ciliopathies, often lead to irreversible blindness and are frequently accompanied by systemic manifestations such as nephronophthisis. Current treatment options are limited, necessitating the exploration of supplementary strategies to slow disease progression.</p><p><strong>Case presentation: </strong>We present a rare case from a retinal surgery clinic involving a 30-year-old male with autosomal recessive retinitis pigmentosa (ARRP) and juvenile nephronophthisis. Comprehensive ocular and genetic evaluations were conducted, followed by the implementation of nutritional interventions aimed at mitigating multi-systemic effects. Genetic testing revealed pathogenic variants in <i>CEP83</i>, <i>PCARE</i>, and <i>VPS13B</i> genes, confirming the diagnosis of ARRP. Nutritional strategies, including omega-3 fatty acids, antioxidants, and tailored dietary modifications for renal health, were integrated alongside standard medical care. These interventions contributed to the stabilization of retinal degeneration and improved management of end-stage renal disease.</p><p><strong>Conclusion: </strong>Integrating personalized nutritional strategies into the management of ciliopathies can enhance patient out-comes by addressing both ocular and systemic manifestations. These findings underscore the need for policy development around nutritional education and support for patients with inherited ciliopathies.</p>\",\"PeriodicalId\":9635,\"journal\":{\"name\":\"Case Reports in Ophthalmology\",\"volume\":\"16 1\",\"pages\":\"143-148\"},\"PeriodicalIF\":0.6000,\"publicationDate\":\"2025-02-03\",\"publicationTypes\":\"Journal Article\",\"fieldsOfStudy\":null,\"isOpenAccess\":false,\"openAccessPdf\":\"https://www.ncbi.nlm.nih.gov/pmc/articles/PMC12245148/pdf/\",\"citationCount\":\"0\",\"resultStr\":null,\"platform\":\"Semanticscholar\",\"paperid\":null,\"PeriodicalName\":\"Case Reports in Ophthalmology\",\"FirstCategoryId\":\"1085\",\"ListUrlMain\":\"https://doi.org/10.1159/000543419\",\"RegionNum\":0,\"RegionCategory\":null,\"ArticlePicture\":[],\"TitleCN\":null,\"AbstractTextCN\":null,\"PMCID\":null,\"EPubDate\":\"2025/1/1 0:00:00\",\"PubModel\":\"eCollection\",\"JCR\":\"Q4\",\"JCRName\":\"OPHTHALMOLOGY\",\"Score\":null,\"Total\":0}","platform":"Semanticscholar","paperid":null,"PeriodicalName":"Case Reports in Ophthalmology","FirstCategoryId":"1085","ListUrlMain":"https://doi.org/10.1159/000543419","RegionNum":0,"RegionCategory":null,"ArticlePicture":[],"TitleCN":null,"AbstractTextCN":null,"PMCID":null,"EPubDate":"2025/1/1 0:00:00","PubModel":"eCollection","JCR":"Q4","JCRName":"OPHTHALMOLOGY","Score":null,"Total":0}
引用次数: 0

摘要

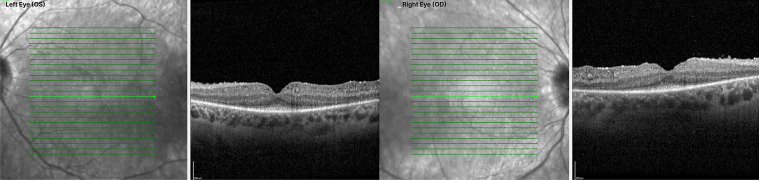
遗传性视网膜疾病,特别是纤毛病,常导致不可逆的失明,并常伴有肾病等全身性表现。目前的治疗选择是有限的,有必要探索补充策略,以减缓疾病进展。病例介绍:我们报告一例罕见的视网膜手术病例,涉及一名30岁男性,患有常染色体隐性视网膜色素变性(ARRP)和幼年肾病。进行了全面的眼部和遗传评估,随后实施了旨在减轻多系统影响的营养干预措施。基因检测显示CEP83、PCARE和VPS13B基因的致病变异,证实ARRP的诊断。营养策略,包括omega-3脂肪酸、抗氧化剂和为肾脏健康量身定制的饮食调整,与标准的医疗保健相结合。这些干预措施有助于稳定视网膜变性和改善终末期肾脏疾病的管理。结论:将个性化营养策略整合到纤毛病的治疗中,可以通过解决眼部和全身症状来提高患者的预后。这些发现强调了围绕营养教育和支持遗传性纤毛病患者制定政策的必要性。
本文章由计算机程序翻译,如有差异,请以英文原文为准。

Progressive Retinal Degeneration and Juvenile Nephronophthisis in a Patient with Autosomal Recessive Ciliopathy: A Case Report.

Progressive Retinal Degeneration and Juvenile Nephronophthisis in a Patient with Autosomal Recessive Ciliopathy: A Case Report.

Progressive Retinal Degeneration and Juvenile Nephronophthisis in a Patient with Autosomal Recessive Ciliopathy: A Case Report.

Progressive Retinal Degeneration and Juvenile Nephronophthisis in a Patient with Autosomal Recessive Ciliopathy: A Case Report.

Introduction: Inherited retinal diseases, particularly ciliopathies, often lead to irreversible blindness and are frequently accompanied by systemic manifestations such as nephronophthisis. Current treatment options are limited, necessitating the exploration of supplementary strategies to slow disease progression.

Case presentation: We present a rare case from a retinal surgery clinic involving a 30-year-old male with autosomal recessive retinitis pigmentosa (ARRP) and juvenile nephronophthisis. Comprehensive ocular and genetic evaluations were conducted, followed by the implementation of nutritional interventions aimed at mitigating multi-systemic effects. Genetic testing revealed pathogenic variants in CEP83, PCARE, and VPS13B genes, confirming the diagnosis of ARRP. Nutritional strategies, including omega-3 fatty acids, antioxidants, and tailored dietary modifications for renal health, were integrated alongside standard medical care. These interventions contributed to the stabilization of retinal degeneration and improved management of end-stage renal disease.

Conclusion: Integrating personalized nutritional strategies into the management of ciliopathies can enhance patient out-comes by addressing both ocular and systemic manifestations. These findings underscore the need for policy development around nutritional education and support for patients with inherited ciliopathies.

求助全文
通过发布文献求助,成功后即可免费获取论文全文。 去求助
来源期刊
CiteScore
0.90
自引率
0.00%
发文量
129
审稿时长
12 weeks
期刊介绍: This peer-reviewed online-only journal publishes original case reports covering the entire spectrum of ophthalmology, including prevention, diagnosis, treatment, toxicities of therapy, supportive care, quality-of-life, and survivorship issues. The submission of negative results is strongly encouraged. The journal will also accept case reports dealing with the use of novel technologies, both in the arena of diagnosis and treatment. Supplementary material is welcomed. The intent of the journal is to provide clinicians and researchers with a tool to disseminate their personal experiences to a wider public as well as to review interesting cases encountered by colleagues all over the world. Universally used terms can be searched across the entire growing collection of case reports, further facilitating the retrieval of specific information. Following the open access principle, the entire contents can be retrieved at no charge, guaranteeing easy access to this valuable source of anecdotal information at all times.
×
引用
GB/T 7714-2015
复制
MLA
复制
APA
复制
导出至
BibTeX EndNote RefMan NoteFirst NoteExpress
×
提示
您的信息不完整,为了账户安全,请先补充。
现在去补充
×
提示
您因"违规操作"
具体请查看互助需知
我知道了
×
提示
确定
请完成安全验证×
copy
已复制链接
快去分享给好友吧!
我知道了
右上角分享
点击右上角分享
0
联系我们:info@booksci.cn Book学术提供免费学术资源搜索服务,方便国内外学者检索中英文文献。致力于提供最便捷和优质的服务体验。 Copyright © 2023 布克学术 All rights reserved.
京ICP备2023020795号-1
ghs 京公网安备 11010802042870号
Book学术文献互助
Book学术文献互助群
群 号:604180095
Book学术官方微信