标准剂量头孢呋辛腹腔注射致中毒性黄斑病变1例。

IF 0.6 Q4 OPHTHALMOLOGY
Case Reports in Ophthalmology Pub Date : 2025-01-28 eCollection Date: 2025-01-01 DOI:10.1159/000543837
Maria E Pantelidou, Stylianos Bebis, Elias P Pantelidis, Tryfon Rotsos
{"title":"标准剂量头孢呋辛腹腔注射致中毒性黄斑病变1例。","authors":"Maria E Pantelidou, Stylianos Bebis, Elias P Pantelidis, Tryfon Rotsos","doi":"10.1159/000543837","DOIUrl":null,"url":null,"abstract":"<p><strong>Introduction: </strong>Cefuroxime-induced toxic maculopathy can occur when an incorrect or correct dilution is injected intracamerally during cataract surgery.</p><p><strong>Case report: </strong>An 83-year-old male developed toxic maculopathy on the first postoperative day after uneventful cataract surgery. An investigation of the case confirmed that the patient developed sporadic toxic maculopathy after a standard intracameral cefuroxime dose. The patient showed complete recovery of vision during the first postoperative week.</p><p><strong>Conclusion: </strong>Cefuroxime-induced toxic maculopathy may occur sporadically and have a good visual outcome. It may be distinguished from toxic maculopathy induced by incorrect dilution based on its different clinical appearance and, in some cases, the guarded outcome. Correct dilution of cefuroxime is of utmost importance.</p>","PeriodicalId":9635,"journal":{"name":"Case Reports in Ophthalmology","volume":"16 1","pages":"171-181"},"PeriodicalIF":0.6000,"publicationDate":"2025-01-28","publicationTypes":"Journal Article","fieldsOfStudy":null,"isOpenAccess":false,"openAccessPdf":"https://www.ncbi.nlm.nih.gov/pmc/articles/PMC12245152/pdf/","citationCount":"0","resultStr":"{\"title\":\"Cefuroxime-Induced Toxic Maculopathy after Intracameral Injection of Standard Dose: A Case Report.\",\"authors\":\"Maria E Pantelidou, Stylianos Bebis, Elias P Pantelidis, Tryfon Rotsos\",\"doi\":\"10.1159/000543837\",\"DOIUrl\":null,\"url\":null,\"abstract\":\"<p><strong>Introduction: </strong>Cefuroxime-induced toxic maculopathy can occur when an incorrect or correct dilution is injected intracamerally during cataract surgery.</p><p><strong>Case report: </strong>An 83-year-old male developed toxic maculopathy on the first postoperative day after uneventful cataract surgery. An investigation of the case confirmed that the patient developed sporadic toxic maculopathy after a standard intracameral cefuroxime dose. The patient showed complete recovery of vision during the first postoperative week.</p><p><strong>Conclusion: </strong>Cefuroxime-induced toxic maculopathy may occur sporadically and have a good visual outcome. It may be distinguished from toxic maculopathy induced by incorrect dilution based on its different clinical appearance and, in some cases, the guarded outcome. Correct dilution of cefuroxime is of utmost importance.</p>\",\"PeriodicalId\":9635,\"journal\":{\"name\":\"Case Reports in Ophthalmology\",\"volume\":\"16 1\",\"pages\":\"171-181\"},\"PeriodicalIF\":0.6000,\"publicationDate\":\"2025-01-28\",\"publicationTypes\":\"Journal Article\",\"fieldsOfStudy\":null,\"isOpenAccess\":false,\"openAccessPdf\":\"https://www.ncbi.nlm.nih.gov/pmc/articles/PMC12245152/pdf/\",\"citationCount\":\"0\",\"resultStr\":null,\"platform\":\"Semanticscholar\",\"paperid\":null,\"PeriodicalName\":\"Case Reports in Ophthalmology\",\"FirstCategoryId\":\"1085\",\"ListUrlMain\":\"https://doi.org/10.1159/000543837\",\"RegionNum\":0,\"RegionCategory\":null,\"ArticlePicture\":[],\"TitleCN\":null,\"AbstractTextCN\":null,\"PMCID\":null,\"EPubDate\":\"2025/1/1 0:00:00\",\"PubModel\":\"eCollection\",\"JCR\":\"Q4\",\"JCRName\":\"OPHTHALMOLOGY\",\"Score\":null,\"Total\":0}","platform":"Semanticscholar","paperid":null,"PeriodicalName":"Case Reports in Ophthalmology","FirstCategoryId":"1085","ListUrlMain":"https://doi.org/10.1159/000543837","RegionNum":0,"RegionCategory":null,"ArticlePicture":[],"TitleCN":null,"AbstractTextCN":null,"PMCID":null,"EPubDate":"2025/1/1 0:00:00","PubModel":"eCollection","JCR":"Q4","JCRName":"OPHTHALMOLOGY","Score":null,"Total":0}
引用次数: 0

摘要

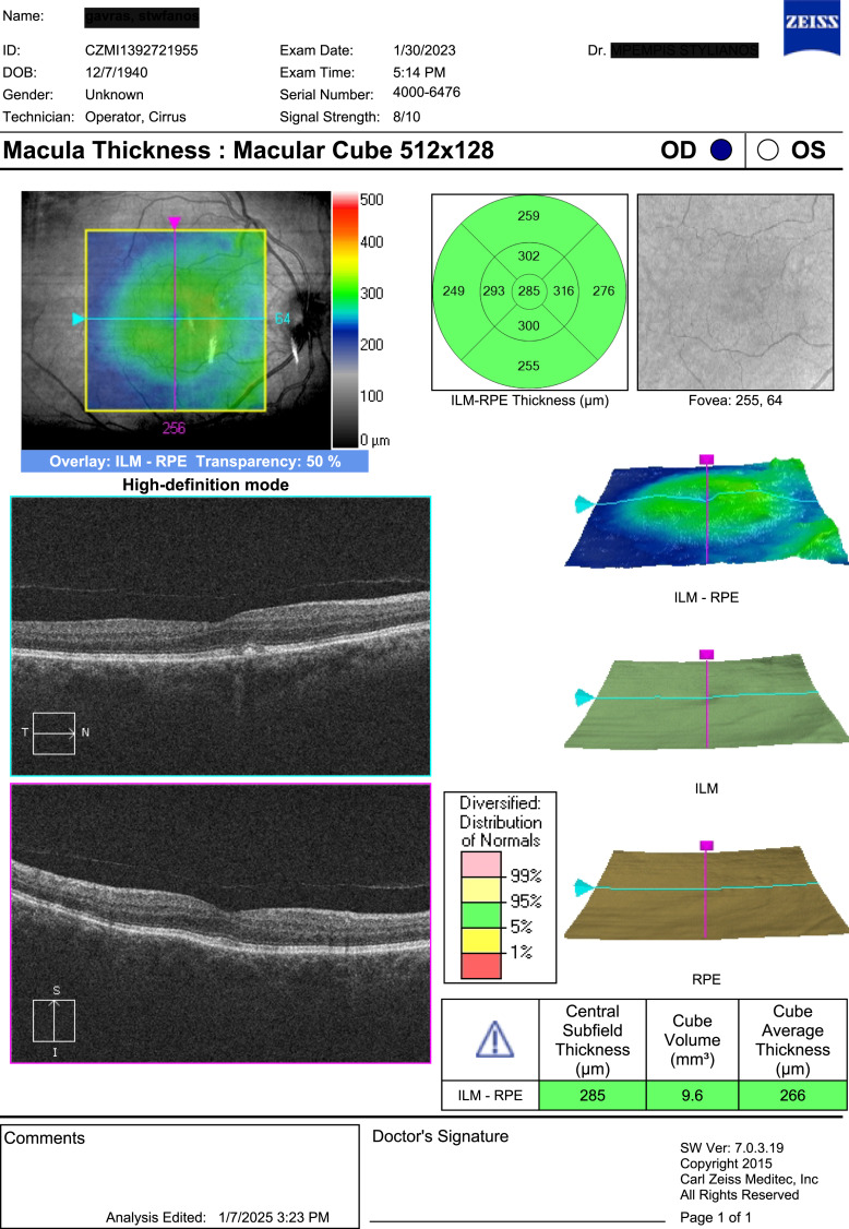
导论:在白内障手术中,当不正确或正确的稀释剂注入眼内时,可发生头孢呋辛引起的中毒性黄斑病变。病例报告:一例83岁男性白内障手术后第一天出现中毒性黄斑病变。对该病例的调查证实,在给予标准头孢呋辛内窥镜剂量后,患者出现了散发性中毒性黄斑病变。术后第一周患者视力完全恢复。结论:头孢呋辛致中毒性黄斑病变是偶发性的,具有良好的视觉效果。根据其不同的临床表现,在某些情况下,可将其与不正确稀释引起的中毒性黄斑病变区分开来。头孢呋辛的正确稀释至关重要。
本文章由计算机程序翻译,如有差异,请以英文原文为准。

Cefuroxime-Induced Toxic Maculopathy after Intracameral Injection of Standard Dose: A Case Report.

Cefuroxime-Induced Toxic Maculopathy after Intracameral Injection of Standard Dose: A Case Report.

Cefuroxime-Induced Toxic Maculopathy after Intracameral Injection of Standard Dose: A Case Report.

Cefuroxime-Induced Toxic Maculopathy after Intracameral Injection of Standard Dose: A Case Report.

Introduction: Cefuroxime-induced toxic maculopathy can occur when an incorrect or correct dilution is injected intracamerally during cataract surgery.

Case report: An 83-year-old male developed toxic maculopathy on the first postoperative day after uneventful cataract surgery. An investigation of the case confirmed that the patient developed sporadic toxic maculopathy after a standard intracameral cefuroxime dose. The patient showed complete recovery of vision during the first postoperative week.

Conclusion: Cefuroxime-induced toxic maculopathy may occur sporadically and have a good visual outcome. It may be distinguished from toxic maculopathy induced by incorrect dilution based on its different clinical appearance and, in some cases, the guarded outcome. Correct dilution of cefuroxime is of utmost importance.

求助全文
通过发布文献求助,成功后即可免费获取论文全文。 去求助
来源期刊
CiteScore
0.90
自引率
0.00%
发文量
129
审稿时长
12 weeks
期刊介绍: This peer-reviewed online-only journal publishes original case reports covering the entire spectrum of ophthalmology, including prevention, diagnosis, treatment, toxicities of therapy, supportive care, quality-of-life, and survivorship issues. The submission of negative results is strongly encouraged. The journal will also accept case reports dealing with the use of novel technologies, both in the arena of diagnosis and treatment. Supplementary material is welcomed. The intent of the journal is to provide clinicians and researchers with a tool to disseminate their personal experiences to a wider public as well as to review interesting cases encountered by colleagues all over the world. Universally used terms can be searched across the entire growing collection of case reports, further facilitating the retrieval of specific information. Following the open access principle, the entire contents can be retrieved at no charge, guaranteeing easy access to this valuable source of anecdotal information at all times.
×
引用
GB/T 7714-2015
复制
MLA
复制
APA
复制
导出至
BibTeX EndNote RefMan NoteFirst NoteExpress
×
提示
您的信息不完整,为了账户安全,请先补充。
现在去补充
×
提示
您因"违规操作"
具体请查看互助需知
我知道了
×
提示
确定
请完成安全验证×
copy
已复制链接
快去分享给好友吧!
我知道了
右上角分享
点击右上角分享
0
联系我们:info@booksci.cn Book学术提供免费学术资源搜索服务,方便国内外学者检索中英文文献。致力于提供最便捷和优质的服务体验。 Copyright © 2023 布克学术 All rights reserved.
京ICP备2023020795号-1
ghs 京公网安备 11010802042870号
Book学术文献互助
Book学术文献互助群
群 号:604180095
Book学术官方微信