高度预处理的复发性卵巢癌患者在发生多系统免疫相关不良事件后延长无进展生存期:一个病例报告和文献综述。

IF 0.7 Q4 ONCOLOGY
Case Reports in Oncology Pub Date : 2025-06-11 eCollection Date: 2025-01-01 DOI:10.1159/000546423
Minling Liu, Shuo Fang, Huiru Dai, Tingwei Li, Chunyan Guo, Bo Wang
{"title":"高度预处理的复发性卵巢癌患者在发生多系统免疫相关不良事件后延长无进展生存期:一个病例报告和文献综述。","authors":"Minling Liu, Shuo Fang, Huiru Dai, Tingwei Li, Chunyan Guo, Bo Wang","doi":"10.1159/000546423","DOIUrl":null,"url":null,"abstract":"<p><strong>Introduction: </strong>The development of immune-related adverse events (irAEs) has been associated with improved survival from various solid tumors. Given that immunotherapy has not been widely used in ovarian cancer and has only been applied to patients with high tumor mutational burden or microsatellite instability, studies exploring the effects of irAEs on ovarian cancer have been limited.</p><p><strong>Case presentation: </strong>A 47-year-old woman was diagnosed with International Federation of Gynecology and Obstetrics stage III ovarian cancer in 2013. Between 2013 and 2021, she underwent palliative chemotherapy comprising paclitaxel liposomes, cisplatin/nedaplatin, S-1/raltitrexed, irinotecan, doxorubicin, vinorebine, toripalimab, apatinib, gemcitabine, oxaliplatin, and capecitabine, as well as two debulking surgeries. From November 2021, she received six cycles of tislelizumab (a PD-1 inhibitor), paclitaxel (albumin-bound), and carboplatin, to which a partial response was observed according to the Response Evaluation Criteria in Solid Tumors. From May 2022, the patient was switched to maintenance therapy with tislelizumab plus olaparib. However, all antitumor treatments were discontinued from April 2023 due to multiple irAEs, including hypothyroidism, adrenal insufficiency, and pneumonitis, with the tumor remaining stable until November 2023. Progression-free survival (PFS) was approximately 24 months with tislelizumab-containing therapy but was 18 months with tislelizumab/olaparib maintenance therapy.</p><p><strong>Conclusions: </strong>We report a case involving a patient with highly pretreated recurrent ovarian cancer who exhibited prolonged PFS after developing three irAEs. The distinctly prolonged PFS observed, along with the reviewed literature, suggests that irAEs may be correlated with improved survival in ovarian cancer.</p>","PeriodicalId":9625,"journal":{"name":"Case Reports in Oncology","volume":"18 1","pages":"912-919"},"PeriodicalIF":0.7000,"publicationDate":"2025-06-11","publicationTypes":"Journal Article","fieldsOfStudy":null,"isOpenAccess":false,"openAccessPdf":"https://www.ncbi.nlm.nih.gov/pmc/articles/PMC12245149/pdf/","citationCount":"0","resultStr":"{\"title\":\"Prolonged Progression-Free Survival in a Patient with Highly Pretreated Recurrent Ovarian Cancer after Developing Multisystem Immune-Related Adverse Events: A Case Report and Literature Review.\",\"authors\":\"Minling Liu, Shuo Fang, Huiru Dai, Tingwei Li, Chunyan Guo, Bo Wang\",\"doi\":\"10.1159/000546423\",\"DOIUrl\":null,\"url\":null,\"abstract\":\"<p><strong>Introduction: </strong>The development of immune-related adverse events (irAEs) has been associated with improved survival from various solid tumors. Given that immunotherapy has not been widely used in ovarian cancer and has only been applied to patients with high tumor mutational burden or microsatellite instability, studies exploring the effects of irAEs on ovarian cancer have been limited.</p><p><strong>Case presentation: </strong>A 47-year-old woman was diagnosed with International Federation of Gynecology and Obstetrics stage III ovarian cancer in 2013. Between 2013 and 2021, she underwent palliative chemotherapy comprising paclitaxel liposomes, cisplatin/nedaplatin, S-1/raltitrexed, irinotecan, doxorubicin, vinorebine, toripalimab, apatinib, gemcitabine, oxaliplatin, and capecitabine, as well as two debulking surgeries. From November 2021, she received six cycles of tislelizumab (a PD-1 inhibitor), paclitaxel (albumin-bound), and carboplatin, to which a partial response was observed according to the Response Evaluation Criteria in Solid Tumors. From May 2022, the patient was switched to maintenance therapy with tislelizumab plus olaparib. However, all antitumor treatments were discontinued from April 2023 due to multiple irAEs, including hypothyroidism, adrenal insufficiency, and pneumonitis, with the tumor remaining stable until November 2023. Progression-free survival (PFS) was approximately 24 months with tislelizumab-containing therapy but was 18 months with tislelizumab/olaparib maintenance therapy.</p><p><strong>Conclusions: </strong>We report a case involving a patient with highly pretreated recurrent ovarian cancer who exhibited prolonged PFS after developing three irAEs. The distinctly prolonged PFS observed, along with the reviewed literature, suggests that irAEs may be correlated with improved survival in ovarian cancer.</p>\",\"PeriodicalId\":9625,\"journal\":{\"name\":\"Case Reports in Oncology\",\"volume\":\"18 1\",\"pages\":\"912-919\"},\"PeriodicalIF\":0.7000,\"publicationDate\":\"2025-06-11\",\"publicationTypes\":\"Journal Article\",\"fieldsOfStudy\":null,\"isOpenAccess\":false,\"openAccessPdf\":\"https://www.ncbi.nlm.nih.gov/pmc/articles/PMC12245149/pdf/\",\"citationCount\":\"0\",\"resultStr\":null,\"platform\":\"Semanticscholar\",\"paperid\":null,\"PeriodicalName\":\"Case Reports in Oncology\",\"FirstCategoryId\":\"1085\",\"ListUrlMain\":\"https://doi.org/10.1159/000546423\",\"RegionNum\":0,\"RegionCategory\":null,\"ArticlePicture\":[],\"TitleCN\":null,\"AbstractTextCN\":null,\"PMCID\":null,\"EPubDate\":\"2025/1/1 0:00:00\",\"PubModel\":\"eCollection\",\"JCR\":\"Q4\",\"JCRName\":\"ONCOLOGY\",\"Score\":null,\"Total\":0}","platform":"Semanticscholar","paperid":null,"PeriodicalName":"Case Reports in Oncology","FirstCategoryId":"1085","ListUrlMain":"https://doi.org/10.1159/000546423","RegionNum":0,"RegionCategory":null,"ArticlePicture":[],"TitleCN":null,"AbstractTextCN":null,"PMCID":null,"EPubDate":"2025/1/1 0:00:00","PubModel":"eCollection","JCR":"Q4","JCRName":"ONCOLOGY","Score":null,"Total":0}
引用次数: 0

摘要

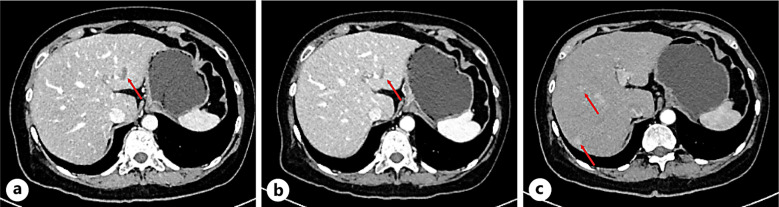
免疫相关不良事件(irAEs)的发生与各种实体瘤患者生存率的提高有关。鉴于免疫疗法在卵巢癌中的应用尚未广泛,且仅应用于肿瘤突变负担高或微卫星不稳定的患者,因此对irAEs对卵巢癌影响的研究有限。病例介绍:一名47岁的女性于2013年被诊断为国际妇产科联合会III期卵巢癌。在2013年至2021年期间,她接受了姑息性化疗,包括紫杉醇脂质体、顺铂/奈达铂、S-1/雷曲塞、伊立替康、阿霉素、长春瑞滨、托帕利单抗、阿帕替尼、吉西他滨、奥沙利铂和卡培他滨,以及两次减脂手术。从2021年11月开始,她接受了6个周期的tislelizumab(一种PD-1抑制剂)、紫杉醇(白蛋白结合)和卡铂,根据实体肿瘤反应评估标准观察到部分反应。从2022年5月开始,患者转入tislelizumab加奥拉帕尼的维持治疗。然而,由于甲状腺功能减退、肾上腺功能不全和肺炎等多种irae,所有抗肿瘤治疗从2023年4月起停止,直到2023年11月肿瘤保持稳定。含替利单抗治疗的无进展生存期(PFS)约为24个月,而替利单抗/奥拉帕尼维持治疗的无进展生存期为18个月。结论:我们报告了一例高度预处理的复发性卵巢癌患者,在发生三次irae后表现出延长的PFS。观察到的明显延长的PFS,以及文献综述,表明irAEs可能与卵巢癌生存率的提高有关。
本文章由计算机程序翻译,如有差异,请以英文原文为准。

Prolonged Progression-Free Survival in a Patient with Highly Pretreated Recurrent Ovarian Cancer after Developing Multisystem Immune-Related Adverse Events: A Case Report and Literature Review.

Prolonged Progression-Free Survival in a Patient with Highly Pretreated Recurrent Ovarian Cancer after Developing Multisystem Immune-Related Adverse Events: A Case Report and Literature Review.

Prolonged Progression-Free Survival in a Patient with Highly Pretreated Recurrent Ovarian Cancer after Developing Multisystem Immune-Related Adverse Events: A Case Report and Literature Review.

Prolonged Progression-Free Survival in a Patient with Highly Pretreated Recurrent Ovarian Cancer after Developing Multisystem Immune-Related Adverse Events: A Case Report and Literature Review.

Introduction: The development of immune-related adverse events (irAEs) has been associated with improved survival from various solid tumors. Given that immunotherapy has not been widely used in ovarian cancer and has only been applied to patients with high tumor mutational burden or microsatellite instability, studies exploring the effects of irAEs on ovarian cancer have been limited.

Case presentation: A 47-year-old woman was diagnosed with International Federation of Gynecology and Obstetrics stage III ovarian cancer in 2013. Between 2013 and 2021, she underwent palliative chemotherapy comprising paclitaxel liposomes, cisplatin/nedaplatin, S-1/raltitrexed, irinotecan, doxorubicin, vinorebine, toripalimab, apatinib, gemcitabine, oxaliplatin, and capecitabine, as well as two debulking surgeries. From November 2021, she received six cycles of tislelizumab (a PD-1 inhibitor), paclitaxel (albumin-bound), and carboplatin, to which a partial response was observed according to the Response Evaluation Criteria in Solid Tumors. From May 2022, the patient was switched to maintenance therapy with tislelizumab plus olaparib. However, all antitumor treatments were discontinued from April 2023 due to multiple irAEs, including hypothyroidism, adrenal insufficiency, and pneumonitis, with the tumor remaining stable until November 2023. Progression-free survival (PFS) was approximately 24 months with tislelizumab-containing therapy but was 18 months with tislelizumab/olaparib maintenance therapy.

Conclusions: We report a case involving a patient with highly pretreated recurrent ovarian cancer who exhibited prolonged PFS after developing three irAEs. The distinctly prolonged PFS observed, along with the reviewed literature, suggests that irAEs may be correlated with improved survival in ovarian cancer.

求助全文
通过发布文献求助,成功后即可免费获取论文全文。 去求助
来源期刊
CiteScore
1.40
自引率
12.50%
发文量
151
审稿时长
7 weeks
×
引用
GB/T 7714-2015
复制
MLA
复制
APA
复制
导出至
BibTeX EndNote RefMan NoteFirst NoteExpress
×
提示
您的信息不完整,为了账户安全,请先补充。
现在去补充
×
提示
您因"违规操作"
具体请查看互助需知
我知道了
×
提示
确定
请完成安全验证×
copy
已复制链接
快去分享给好友吧!
我知道了
右上角分享
点击右上角分享
0
联系我们:info@booksci.cn Book学术提供免费学术资源搜索服务,方便国内外学者检索中英文文献。致力于提供最便捷和优质的服务体验。 Copyright © 2023 布克学术 All rights reserved.
京ICP备2023020795号-1
ghs 京公网安备 11010802042870号
Book学术文献互助
Book学术文献互助群
群 号:604180095
Book学术官方微信