肝窦阻塞综合征并发骨髓增生性肿瘤及局灶节段性肾小球硬化1例。

IF 0.6 Q4 GASTROENTEROLOGY & HEPATOLOGY
Case Reports in Gastroenterology Pub Date : 2025-07-10 eCollection Date: 2025-01-01 DOI:10.1159/000546801
Yuxuan Song, Yajing Zhen, Hui Ma, Bo Feng, Yandi Xie
{"title":"肝窦阻塞综合征并发骨髓增生性肿瘤及局灶节段性肾小球硬化1例。","authors":"Yuxuan Song, Yajing Zhen, Hui Ma, Bo Feng, Yandi Xie","doi":"10.1159/000546801","DOIUrl":null,"url":null,"abstract":"<p><strong>Introduction: </strong>A 19-year-old male presented with a 6-month history of recurrent ascites and lower limb edema, prompting a detailed diagnostic evaluation at our hospital.</p><p><strong>Case presentation: </strong>The patient displayed a ruddy complexion, deepening pigmentation in the limbs and abdomen, visible reticular skin pattern changes, and pronounced abdominal striae. Diagnostic investigations included a renal biopsy, which confirmed focal segmental glomerulosclerosis, and an abdominal enhanced CT scan, suggesting hepatic sinusoidal obstruction syndrome. Hematological tests revealed elevated white blood cell count (19.73 × 10<sup>9</sup>/L), hemoglobin level (183 g/L), and platelet count (395 × 10<sup>9</sup>/L). Bone marrow morphology indicated proliferation of red blood cells, white blood cells, and platelets, suspicious for myeloproliferative neoplasm. PCR testing confirmed the presence of the JAK2 V617F mutation, leading to a diagnosis of polycythemia vera. The patient was administered a comprehensive treatment regimen consisting of methylprednisolone, telmisartan, rivaroxaban, furosemide, and spironolactone. This therapeutic approach led to a decrease in the patient's weight and 24-h urinary protein, along with a significant reduction in pleural and abdominal effusions.</p><p><strong>Conclusion: </strong>This case underscores the significance of a meticulous diagnostic process in uncovering multiple concurrent severe pathologies presenting with nonspecific symptoms. It also highlights the importance of a targeted treatment strategy to achieve clinical improvement. The successful management of this patient's complex case illustrates the value of a multidisciplinary approach in addressing polycythemia vera, hepatic sinusoidal obstruction syndrome, and focal segmental glomerulosclerosis.</p>","PeriodicalId":9614,"journal":{"name":"Case Reports in Gastroenterology","volume":"19 1","pages":"502-508"},"PeriodicalIF":0.6000,"publicationDate":"2025-07-10","publicationTypes":"Journal Article","fieldsOfStudy":null,"isOpenAccess":false,"openAccessPdf":"https://www.ncbi.nlm.nih.gov/pmc/articles/PMC12245151/pdf/","citationCount":"0","resultStr":"{\"title\":\"Case Report of Hepatic Sinusoidal Obstruction Syndrome Complicated with Myeloproliferative Neoplasm and Focal Segmental Glomerulosclerosis.\",\"authors\":\"Yuxuan Song, Yajing Zhen, Hui Ma, Bo Feng, Yandi Xie\",\"doi\":\"10.1159/000546801\",\"DOIUrl\":null,\"url\":null,\"abstract\":\"<p><strong>Introduction: </strong>A 19-year-old male presented with a 6-month history of recurrent ascites and lower limb edema, prompting a detailed diagnostic evaluation at our hospital.</p><p><strong>Case presentation: </strong>The patient displayed a ruddy complexion, deepening pigmentation in the limbs and abdomen, visible reticular skin pattern changes, and pronounced abdominal striae. Diagnostic investigations included a renal biopsy, which confirmed focal segmental glomerulosclerosis, and an abdominal enhanced CT scan, suggesting hepatic sinusoidal obstruction syndrome. Hematological tests revealed elevated white blood cell count (19.73 × 10<sup>9</sup>/L), hemoglobin level (183 g/L), and platelet count (395 × 10<sup>9</sup>/L). Bone marrow morphology indicated proliferation of red blood cells, white blood cells, and platelets, suspicious for myeloproliferative neoplasm. PCR testing confirmed the presence of the JAK2 V617F mutation, leading to a diagnosis of polycythemia vera. The patient was administered a comprehensive treatment regimen consisting of methylprednisolone, telmisartan, rivaroxaban, furosemide, and spironolactone. This therapeutic approach led to a decrease in the patient's weight and 24-h urinary protein, along with a significant reduction in pleural and abdominal effusions.</p><p><strong>Conclusion: </strong>This case underscores the significance of a meticulous diagnostic process in uncovering multiple concurrent severe pathologies presenting with nonspecific symptoms. It also highlights the importance of a targeted treatment strategy to achieve clinical improvement. The successful management of this patient's complex case illustrates the value of a multidisciplinary approach in addressing polycythemia vera, hepatic sinusoidal obstruction syndrome, and focal segmental glomerulosclerosis.</p>\",\"PeriodicalId\":9614,\"journal\":{\"name\":\"Case Reports in Gastroenterology\",\"volume\":\"19 1\",\"pages\":\"502-508\"},\"PeriodicalIF\":0.6000,\"publicationDate\":\"2025-07-10\",\"publicationTypes\":\"Journal Article\",\"fieldsOfStudy\":null,\"isOpenAccess\":false,\"openAccessPdf\":\"https://www.ncbi.nlm.nih.gov/pmc/articles/PMC12245151/pdf/\",\"citationCount\":\"0\",\"resultStr\":null,\"platform\":\"Semanticscholar\",\"paperid\":null,\"PeriodicalName\":\"Case Reports in Gastroenterology\",\"FirstCategoryId\":\"1085\",\"ListUrlMain\":\"https://doi.org/10.1159/000546801\",\"RegionNum\":0,\"RegionCategory\":null,\"ArticlePicture\":[],\"TitleCN\":null,\"AbstractTextCN\":null,\"PMCID\":null,\"EPubDate\":\"2025/1/1 0:00:00\",\"PubModel\":\"eCollection\",\"JCR\":\"Q4\",\"JCRName\":\"GASTROENTEROLOGY & HEPATOLOGY\",\"Score\":null,\"Total\":0}","platform":"Semanticscholar","paperid":null,"PeriodicalName":"Case Reports in Gastroenterology","FirstCategoryId":"1085","ListUrlMain":"https://doi.org/10.1159/000546801","RegionNum":0,"RegionCategory":null,"ArticlePicture":[],"TitleCN":null,"AbstractTextCN":null,"PMCID":null,"EPubDate":"2025/1/1 0:00:00","PubModel":"eCollection","JCR":"Q4","JCRName":"GASTROENTEROLOGY & HEPATOLOGY","Score":null,"Total":0}
引用次数: 0

摘要

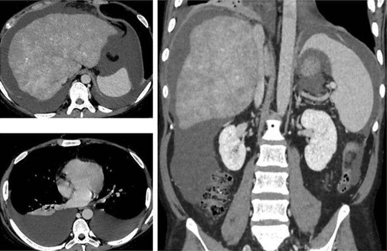
简介:一名19岁男性,因6个月的复发性腹水和下肢水肿病史,在我院进行了详细的诊断评估。病例表现:患者面色红润,四肢及腹部色素沉着加深,可见网状皮肤改变,腹部纹明显。诊断检查包括肾活检,证实局灶节段性肾小球硬化,腹部增强CT扫描,提示肝窦梗阻综合征。血液学检查显示白细胞计数(19.73 × 109/L)、血红蛋白水平(183 g/L)和血小板计数(395 × 109/L)升高。骨髓形态提示红细胞、白细胞、血小板增生,疑为骨髓增生性肿瘤。PCR检测证实了JAK2 V617F突变的存在,导致真性红细胞增多症的诊断。给予患者综合治疗方案,包括甲泼尼龙、替米沙坦、利伐沙班、呋塞米和螺内酯。这种治疗方法导致患者体重和24小时尿蛋白下降,同时胸膜和腹腔积液显著减少。结论:本病例强调了细致的诊断过程在发现以非特异性症状为表现的多重并发严重病理中的重要性。它还强调了有针对性的治疗策略对实现临床改善的重要性。该患者复杂病例的成功治疗说明了多学科方法在解决真性红细胞增多症、肝窦阻塞综合征和局灶节段性肾小球硬化方面的价值。
本文章由计算机程序翻译,如有差异,请以英文原文为准。

Case Report of Hepatic Sinusoidal Obstruction Syndrome Complicated with Myeloproliferative Neoplasm and Focal Segmental Glomerulosclerosis.

Case Report of Hepatic Sinusoidal Obstruction Syndrome Complicated with Myeloproliferative Neoplasm and Focal Segmental Glomerulosclerosis.

Introduction: A 19-year-old male presented with a 6-month history of recurrent ascites and lower limb edema, prompting a detailed diagnostic evaluation at our hospital.

Case presentation: The patient displayed a ruddy complexion, deepening pigmentation in the limbs and abdomen, visible reticular skin pattern changes, and pronounced abdominal striae. Diagnostic investigations included a renal biopsy, which confirmed focal segmental glomerulosclerosis, and an abdominal enhanced CT scan, suggesting hepatic sinusoidal obstruction syndrome. Hematological tests revealed elevated white blood cell count (19.73 × 109/L), hemoglobin level (183 g/L), and platelet count (395 × 109/L). Bone marrow morphology indicated proliferation of red blood cells, white blood cells, and platelets, suspicious for myeloproliferative neoplasm. PCR testing confirmed the presence of the JAK2 V617F mutation, leading to a diagnosis of polycythemia vera. The patient was administered a comprehensive treatment regimen consisting of methylprednisolone, telmisartan, rivaroxaban, furosemide, and spironolactone. This therapeutic approach led to a decrease in the patient's weight and 24-h urinary protein, along with a significant reduction in pleural and abdominal effusions.

Conclusion: This case underscores the significance of a meticulous diagnostic process in uncovering multiple concurrent severe pathologies presenting with nonspecific symptoms. It also highlights the importance of a targeted treatment strategy to achieve clinical improvement. The successful management of this patient's complex case illustrates the value of a multidisciplinary approach in addressing polycythemia vera, hepatic sinusoidal obstruction syndrome, and focal segmental glomerulosclerosis.

求助全文
通过发布文献求助,成功后即可免费获取论文全文。 去求助
来源期刊
Case Reports in Gastroenterology
Case Reports in Gastroenterology Medicine-Gastroenterology
CiteScore
1.10
自引率
0.00%
发文量
99
审稿时长
7 weeks
期刊介绍:
×
引用
GB/T 7714-2015
复制
MLA
复制
APA
复制
导出至
BibTeX EndNote RefMan NoteFirst NoteExpress
×
提示
您的信息不完整,为了账户安全,请先补充。
现在去补充
×
提示
您因"违规操作"
具体请查看互助需知
我知道了
×
提示
确定
请完成安全验证×
copy
已复制链接
快去分享给好友吧!
我知道了
右上角分享
点击右上角分享
0
联系我们:info@booksci.cn Book学术提供免费学术资源搜索服务,方便国内外学者检索中英文文献。致力于提供最便捷和优质的服务体验。 Copyright © 2023 布克学术 All rights reserved.
京ICP备2023020795号-1
ghs 京公网安备 11010802042870号
Book学术文献互助
Book学术文献互助群
群 号:604180095
Book学术官方微信