丘脑梗死合并中重度大脑后动脉狭窄的临床和影像学特征:单中心经验

IF 1 4区 医学 Q4 CLINICAL NEUROLOGY
Bailong Xin, Xiaomei Ye, Xiaoxue Liang, Yuzhen Wang, Yaozhuo Cai, Jingping Sun, Xueli Cai
{"title":"丘脑梗死合并中重度大脑后动脉狭窄的临床和影像学特征:单中心经验","authors":"Bailong Xin, Xiaomei Ye, Xiaoxue Liang, Yuzhen Wang, Yaozhuo Cai, Jingping Sun, Xueli Cai","doi":"10.1097/NRL.0000000000000634","DOIUrl":null,"url":null,"abstract":"<p><strong>Introduction: </strong>Ten patients with thalamic infarction caused by moderate-to-severe posterior cerebral artery (PCA) stenosis confirmed by computed tomography angiography (CTA) were enrolled. To better assess the vascular pathology, high-resolution magnetic resonance imaging (HRMRI) was subsequently used to evaluate the PCA in detail. In addition, we retrospectively analyzed clinical features, treatments, and prognostic outcomes.</p><p><strong>Case report: </strong>Ten patients were included, 7 males and 3 females, with an average age of 67.8±6.6 years. Past history includes: smoking (50%), drinking (30%), hypertension (70%), diabetes mellitus (40%), hyperlipidemia (10%), and cerebral infarction (10%). Clinical manifestations include sensory disorders (60%), motor disorders (50%), cognitive and consciousness disorders (10%), and language impairment (20%). HRMRI suggested that the PCA was moderately or severely stenosed in 4 cases, mildly stenosed in 5 cases, and normal in 1 case. It also suggested the presence of PCA atherosclerotic plaques in 9 patients.</p><p><strong>Conclusion: </strong>Antiplatelet therapy proves effective for this patient population. HRMRI identified atherosclerotic plaques mainly in the PCA's P1 and P2 segments. P1 stenosis often impairs consciousness, while P2 stenosis typically causes sensory/motor deficits. HRMRI aids in evaluating stenosis and plaque features for diagnosis and treatment guidance.</p>","PeriodicalId":49758,"journal":{"name":"Neurologist","volume":" ","pages":"293-298"},"PeriodicalIF":1.0000,"publicationDate":"2025-09-01","publicationTypes":"Journal Article","fieldsOfStudy":null,"isOpenAccess":false,"openAccessPdf":"https://www.ncbi.nlm.nih.gov/pmc/articles/PMC12404622/pdf/","citationCount":"0","resultStr":"{\"title\":\"Clinical and Imaging Characteristics of Thalamic Infarction Combined With Moderate-to-Severe Stenosis of the Posterior Cerebral Artery: A Single-Center Experience.\",\"authors\":\"Bailong Xin, Xiaomei Ye, Xiaoxue Liang, Yuzhen Wang, Yaozhuo Cai, Jingping Sun, Xueli Cai\",\"doi\":\"10.1097/NRL.0000000000000634\",\"DOIUrl\":null,\"url\":null,\"abstract\":\"<p><strong>Introduction: </strong>Ten patients with thalamic infarction caused by moderate-to-severe posterior cerebral artery (PCA) stenosis confirmed by computed tomography angiography (CTA) were enrolled. To better assess the vascular pathology, high-resolution magnetic resonance imaging (HRMRI) was subsequently used to evaluate the PCA in detail. In addition, we retrospectively analyzed clinical features, treatments, and prognostic outcomes.</p><p><strong>Case report: </strong>Ten patients were included, 7 males and 3 females, with an average age of 67.8±6.6 years. Past history includes: smoking (50%), drinking (30%), hypertension (70%), diabetes mellitus (40%), hyperlipidemia (10%), and cerebral infarction (10%). Clinical manifestations include sensory disorders (60%), motor disorders (50%), cognitive and consciousness disorders (10%), and language impairment (20%). HRMRI suggested that the PCA was moderately or severely stenosed in 4 cases, mildly stenosed in 5 cases, and normal in 1 case. It also suggested the presence of PCA atherosclerotic plaques in 9 patients.</p><p><strong>Conclusion: </strong>Antiplatelet therapy proves effective for this patient population. HRMRI identified atherosclerotic plaques mainly in the PCA's P1 and P2 segments. P1 stenosis often impairs consciousness, while P2 stenosis typically causes sensory/motor deficits. HRMRI aids in evaluating stenosis and plaque features for diagnosis and treatment guidance.</p>\",\"PeriodicalId\":49758,\"journal\":{\"name\":\"Neurologist\",\"volume\":\" \",\"pages\":\"293-298\"},\"PeriodicalIF\":1.0000,\"publicationDate\":\"2025-09-01\",\"publicationTypes\":\"Journal Article\",\"fieldsOfStudy\":null,\"isOpenAccess\":false,\"openAccessPdf\":\"https://www.ncbi.nlm.nih.gov/pmc/articles/PMC12404622/pdf/\",\"citationCount\":\"0\",\"resultStr\":null,\"platform\":\"Semanticscholar\",\"paperid\":null,\"PeriodicalName\":\"Neurologist\",\"FirstCategoryId\":\"3\",\"ListUrlMain\":\"https://doi.org/10.1097/NRL.0000000000000634\",\"RegionNum\":4,\"RegionCategory\":\"医学\",\"ArticlePicture\":[],\"TitleCN\":null,\"AbstractTextCN\":null,\"PMCID\":null,\"EPubDate\":\"\",\"PubModel\":\"\",\"JCR\":\"Q4\",\"JCRName\":\"CLINICAL NEUROLOGY\",\"Score\":null,\"Total\":0}","platform":"Semanticscholar","paperid":null,"PeriodicalName":"Neurologist","FirstCategoryId":"3","ListUrlMain":"https://doi.org/10.1097/NRL.0000000000000634","RegionNum":4,"RegionCategory":"医学","ArticlePicture":[],"TitleCN":null,"AbstractTextCN":null,"PMCID":null,"EPubDate":"","PubModel":"","JCR":"Q4","JCRName":"CLINICAL NEUROLOGY","Score":null,"Total":0}
引用次数: 0

摘要

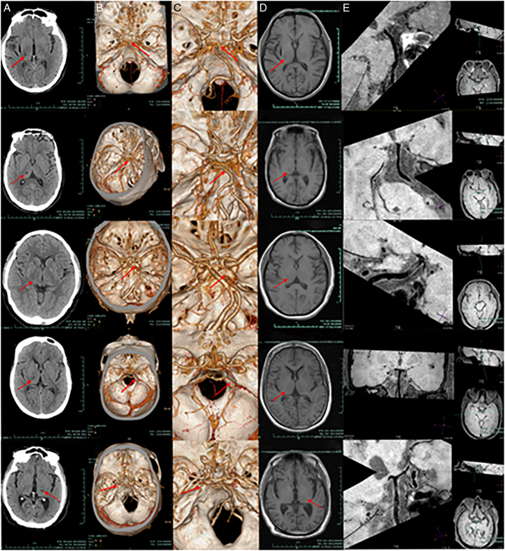
前言:本研究纳入10例经计算机断层血管造影(CTA)证实为中重度大脑后动脉(PCA)狭窄所致丘脑梗死患者。为了更好地评估血管病理,随后使用高分辨率磁共振成像(HRMRI)对PCA进行详细评估。此外,我们回顾性分析了临床特征、治疗方法和预后结果。病例报告:纳入10例患者,男7例,女3例,平均年龄67.8±6.6岁。既往史包括:吸烟(50%)、饮酒(30%)、高血压(70%)、糖尿病(40%)、高脂血症(10%)、脑梗死(10%)。临床表现包括感觉障碍(60%)、运动障碍(50%)、认知和意识障碍(10%)、语言障碍(20%)。HRMRI提示PCA中度或重度狭窄4例,轻度狭窄5例,正常1例。同时提示9例患者存在PCA动脉粥样硬化斑块。结论:抗血小板治疗对该类患者有效。HRMRI发现动脉粥样硬化斑块主要位于PCA的P1和P2节段。P1狭窄通常会损害意识,而P2狭窄通常会导致感觉/运动缺陷。HRMRI有助于评估狭窄和斑块特征,为诊断和治疗提供指导。
本文章由计算机程序翻译,如有差异,请以英文原文为准。

Clinical and Imaging Characteristics of Thalamic Infarction Combined With Moderate-to-Severe Stenosis of the Posterior Cerebral Artery: A Single-Center Experience.

Clinical and Imaging Characteristics of Thalamic Infarction Combined With Moderate-to-Severe Stenosis of the Posterior Cerebral Artery: A Single-Center Experience.

Clinical and Imaging Characteristics of Thalamic Infarction Combined With Moderate-to-Severe Stenosis of the Posterior Cerebral Artery: A Single-Center Experience.

Introduction: Ten patients with thalamic infarction caused by moderate-to-severe posterior cerebral artery (PCA) stenosis confirmed by computed tomography angiography (CTA) were enrolled. To better assess the vascular pathology, high-resolution magnetic resonance imaging (HRMRI) was subsequently used to evaluate the PCA in detail. In addition, we retrospectively analyzed clinical features, treatments, and prognostic outcomes.

Case report: Ten patients were included, 7 males and 3 females, with an average age of 67.8±6.6 years. Past history includes: smoking (50%), drinking (30%), hypertension (70%), diabetes mellitus (40%), hyperlipidemia (10%), and cerebral infarction (10%). Clinical manifestations include sensory disorders (60%), motor disorders (50%), cognitive and consciousness disorders (10%), and language impairment (20%). HRMRI suggested that the PCA was moderately or severely stenosed in 4 cases, mildly stenosed in 5 cases, and normal in 1 case. It also suggested the presence of PCA atherosclerotic plaques in 9 patients.

Conclusion: Antiplatelet therapy proves effective for this patient population. HRMRI identified atherosclerotic plaques mainly in the PCA's P1 and P2 segments. P1 stenosis often impairs consciousness, while P2 stenosis typically causes sensory/motor deficits. HRMRI aids in evaluating stenosis and plaque features for diagnosis and treatment guidance.

求助全文
通过发布文献求助,成功后即可免费获取论文全文。 去求助
来源期刊
Neurologist
Neurologist 医学-临床神经学
CiteScore
1.90
自引率
0.00%
发文量
151
审稿时长
2 months
期刊介绍: The Neurologist publishes articles on topics of current interest to physicians treating patients with neurological diseases. The core of the journal is review articles focusing on clinically relevant issues. The journal also publishes case reports or case series which review the literature and put observations in perspective, as well as letters to the editor. Special features include the popular "10 Most Commonly Asked Questions" and the "Patient and Family Fact Sheet," a handy tear-out page that can be copied to hand out to patients and their caregivers.
×
引用
GB/T 7714-2015
复制
MLA
复制
APA
复制
导出至
BibTeX EndNote RefMan NoteFirst NoteExpress
×
提示
您的信息不完整,为了账户安全,请先补充。
现在去补充
×
提示
您因"违规操作"
具体请查看互助需知
我知道了
×
提示
确定
请完成安全验证×
copy
已复制链接
快去分享给好友吧!
我知道了
右上角分享
点击右上角分享
0
联系我们:info@booksci.cn Book学术提供免费学术资源搜索服务,方便国内外学者检索中英文文献。致力于提供最便捷和优质的服务体验。 Copyright © 2023 布克学术 All rights reserved.
京ICP备2023020795号-1
ghs 京公网安备 11010802042870号
Book学术文献互助
Book学术文献互助群
群 号:604180095
Book学术官方微信