重组利什曼活化C激酶作为印度和巴西内脏利什曼病免疫诊断的新抗原候选物。

IF 5.5 1区 医学
Anirban Bhattacharyya, Nicky Didwania, Sarfaraz Ahmad Ejazi, Rudra Chhajer, Saswati Gayen, Mehebubar Rahman, Rama Prosad Goswami, Krishna Pandey, Vidya Nand Ravi Das, Pradeep Das, Fernando Oliveira da Silva, Dorcas Lamounier Costa, Carlos Henrique Nery Costa, Nahid Ali
{"title":"重组利什曼活化C激酶作为印度和巴西内脏利什曼病免疫诊断的新抗原候选物。","authors":"Anirban Bhattacharyya, Nicky Didwania, Sarfaraz Ahmad Ejazi, Rudra Chhajer, Saswati Gayen, Mehebubar Rahman, Rama Prosad Goswami, Krishna Pandey, Vidya Nand Ravi Das, Pradeep Das, Fernando Oliveira da Silva, Dorcas Lamounier Costa, Carlos Henrique Nery Costa, Nahid Ali","doi":"10.1186/s40249-025-01296-7","DOIUrl":null,"url":null,"abstract":"<p><strong>Background: </strong>Visceral leishmaniasis (VL) an 'infectious disease of poverty', caused by the Leishmania donovani complex, remains a significant public health threat in endemic regions of South Asia, East Africa, and Brazil. Early and accurate diagnosis is critical to prevent the disease's potentially fatal outcomes. However, due to the nonspecific nature of clinical symptoms, diagnosis often relies on serological tests. This study aims to assess the diagnostic potential of the L. donovani activated C kinase (LACK), a highly conserved antigen essential for parasite survival and host establishment, in VL-endemic regions such as India and Brazil.</p><p><strong>Methods: </strong>We conducted a multi-center study with serum samples from India (n = 184) and Brazil (n = 59), along with non-invasive urine samples from India (n = 132). Clinical samples from India were collected from the endemic regions of Bihar and West Bengal between 2016-2024, while those from Teresina, Brazil, were collected between 2008 and 2009. Following preliminary immunoblot analysis, we validated the diagnostic utility of LACK through enzyme-linked immunosorbent assays (ELISA) and dipstick tests. Results were analyzed and area under a Receiver Operating Characteristic (ROC) curve (AUC) values were calculated via the Mann-Whitney U test. Additionally, sensitivity, specificity, and confidence intervals were assessed to evaluate diagnostic performance.</p><p><strong>Results: </strong>The ELISA results revealed that LACK antibodies exhibited 100% sensitivity in both Indian [95% confidence intervals (CI): 94.80-100%] and Brazilian (95% CI: 91.24-100%) patient samples, with specificity of 97.33% for Indian controls and 94.74% for Brazilian controls. Urine samples from Indian patients also demonstrated perfect sensitivity and specificity (100%). Notably, LACK showed minimal reactivity with follow-up patient samples. Dipstick assays confirmed these findings, offering a simple, rapid, and field-friendly diagnostic alternative.</p><p><strong>Conclusion: </strong>LACK is a promising diagnostic marker for VL, showing high sensitivity across regions and has potential to distinguish active infections from cured or relapsed cases, though larger studies are needed for confirmation.</p>","PeriodicalId":48820,"journal":{"name":"Infectious Diseases of Poverty","volume":"14 1","pages":"62"},"PeriodicalIF":5.5000,"publicationDate":"2025-07-09","publicationTypes":"Journal Article","fieldsOfStudy":null,"isOpenAccess":false,"openAccessPdf":"https://www.ncbi.nlm.nih.gov/pmc/articles/PMC12239358/pdf/","citationCount":"0","resultStr":"{\"title\":\"Recombinant Leishmania-activated C kinase as a novel antigenic candidate for immuno-diagnosis of visceral leishmaniasis occurring in India and Brazil.\",\"authors\":\"Anirban Bhattacharyya, Nicky Didwania, Sarfaraz Ahmad Ejazi, Rudra Chhajer, Saswati Gayen, Mehebubar Rahman, Rama Prosad Goswami, Krishna Pandey, Vidya Nand Ravi Das, Pradeep Das, Fernando Oliveira da Silva, Dorcas Lamounier Costa, Carlos Henrique Nery Costa, Nahid Ali\",\"doi\":\"10.1186/s40249-025-01296-7\",\"DOIUrl\":null,\"url\":null,\"abstract\":\"<p><strong>Background: </strong>Visceral leishmaniasis (VL) an 'infectious disease of poverty', caused by the Leishmania donovani complex, remains a significant public health threat in endemic regions of South Asia, East Africa, and Brazil. Early and accurate diagnosis is critical to prevent the disease's potentially fatal outcomes. However, due to the nonspecific nature of clinical symptoms, diagnosis often relies on serological tests. This study aims to assess the diagnostic potential of the L. donovani activated C kinase (LACK), a highly conserved antigen essential for parasite survival and host establishment, in VL-endemic regions such as India and Brazil.</p><p><strong>Methods: </strong>We conducted a multi-center study with serum samples from India (n = 184) and Brazil (n = 59), along with non-invasive urine samples from India (n = 132). Clinical samples from India were collected from the endemic regions of Bihar and West Bengal between 2016-2024, while those from Teresina, Brazil, were collected between 2008 and 2009. Following preliminary immunoblot analysis, we validated the diagnostic utility of LACK through enzyme-linked immunosorbent assays (ELISA) and dipstick tests. Results were analyzed and area under a Receiver Operating Characteristic (ROC) curve (AUC) values were calculated via the Mann-Whitney U test. Additionally, sensitivity, specificity, and confidence intervals were assessed to evaluate diagnostic performance.</p><p><strong>Results: </strong>The ELISA results revealed that LACK antibodies exhibited 100% sensitivity in both Indian [95% confidence intervals (CI): 94.80-100%] and Brazilian (95% CI: 91.24-100%) patient samples, with specificity of 97.33% for Indian controls and 94.74% for Brazilian controls. Urine samples from Indian patients also demonstrated perfect sensitivity and specificity (100%). Notably, LACK showed minimal reactivity with follow-up patient samples. Dipstick assays confirmed these findings, offering a simple, rapid, and field-friendly diagnostic alternative.</p><p><strong>Conclusion: </strong>LACK is a promising diagnostic marker for VL, showing high sensitivity across regions and has potential to distinguish active infections from cured or relapsed cases, though larger studies are needed for confirmation.</p>\",\"PeriodicalId\":48820,\"journal\":{\"name\":\"Infectious Diseases of Poverty\",\"volume\":\"14 1\",\"pages\":\"62\"},\"PeriodicalIF\":5.5000,\"publicationDate\":\"2025-07-09\",\"publicationTypes\":\"Journal Article\",\"fieldsOfStudy\":null,\"isOpenAccess\":false,\"openAccessPdf\":\"https://www.ncbi.nlm.nih.gov/pmc/articles/PMC12239358/pdf/\",\"citationCount\":\"0\",\"resultStr\":null,\"platform\":\"Semanticscholar\",\"paperid\":null,\"PeriodicalName\":\"Infectious Diseases of Poverty\",\"FirstCategoryId\":\"3\",\"ListUrlMain\":\"https://doi.org/10.1186/s40249-025-01296-7\",\"RegionNum\":1,\"RegionCategory\":\"医学\",\"ArticlePicture\":[],\"TitleCN\":null,\"AbstractTextCN\":null,\"PMCID\":null,\"EPubDate\":\"\",\"PubModel\":\"\",\"JCR\":\"\",\"JCRName\":\"\",\"Score\":null,\"Total\":0}","platform":"Semanticscholar","paperid":null,"PeriodicalName":"Infectious Diseases of Poverty","FirstCategoryId":"3","ListUrlMain":"https://doi.org/10.1186/s40249-025-01296-7","RegionNum":1,"RegionCategory":"医学","ArticlePicture":[],"TitleCN":null,"AbstractTextCN":null,"PMCID":null,"EPubDate":"","PubModel":"","JCR":"","JCRName":"","Score":null,"Total":0}
引用次数: 0

摘要

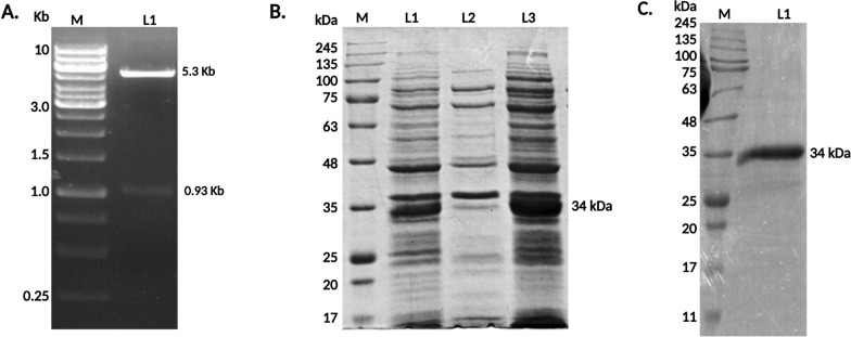
背景:内脏利什曼病(VL)是一种由多诺瓦利什曼原虫引起的“贫困传染病”,在南亚、东非和巴西流行地区仍然是一个重大的公共卫生威胁。早期和准确的诊断对于预防这种疾病的潜在致命后果至关重要。然而,由于临床症状的非特异性,诊断往往依赖于血清学检测。本研究旨在评估L. donovani活化的C激酶(LACK)的诊断潜力,这是一种高度保守的抗原,对寄生虫的生存和宿主的建立至关重要,在印度和巴西等vl流行地区。方法:我们对印度(n = 184)和巴西(n = 59)的血清样本以及印度(n = 132)的非侵入性尿液样本进行了多中心研究。来自印度的临床样本于2016-2024年间从比哈尔邦和西孟加拉邦的流行地区收集,而来自巴西特雷西纳的临床样本于2008 - 2009年间收集。在初步的免疫印迹分析之后,我们通过酶联免疫吸附试验(ELISA)和试纸试验验证了LACK的诊断效用。对结果进行分析,并通过Mann-Whitney U检验计算受试者工作特征曲线下面积(AUC)值。此外,还评估了敏感性、特异性和置信区间,以评估诊断性能。结果:ELISA结果显示,LACK抗体在印度[95%置信区间(CI): 94.80-100%]和巴西(95% CI: 91.24-100%)患者样本中均表现出100%的敏感性,其中印度对照组特异性为97.33%,巴西对照组特异性为94.74%。印度患者的尿液样本也显示出完美的敏感性和特异性(100%)。值得注意的是,LACK在随访患者样本中显示出最小的反应性。试纸试验证实了这些发现,提供了一种简单、快速和现场友好的诊断替代方法。结论:LACK是一种很有希望的VL诊断标志物,在各个区域都具有高敏感性,并且有可能区分活动性感染与治愈或复发病例,尽管需要更大规模的研究来证实。
本文章由计算机程序翻译,如有差异,请以英文原文为准。

Recombinant Leishmania-activated C kinase as a novel antigenic candidate for immuno-diagnosis of visceral leishmaniasis occurring in India and Brazil.

Recombinant Leishmania-activated C kinase as a novel antigenic candidate for immuno-diagnosis of visceral leishmaniasis occurring in India and Brazil.

Recombinant Leishmania-activated C kinase as a novel antigenic candidate for immuno-diagnosis of visceral leishmaniasis occurring in India and Brazil.

Recombinant Leishmania-activated C kinase as a novel antigenic candidate for immuno-diagnosis of visceral leishmaniasis occurring in India and Brazil.

Background: Visceral leishmaniasis (VL) an 'infectious disease of poverty', caused by the Leishmania donovani complex, remains a significant public health threat in endemic regions of South Asia, East Africa, and Brazil. Early and accurate diagnosis is critical to prevent the disease's potentially fatal outcomes. However, due to the nonspecific nature of clinical symptoms, diagnosis often relies on serological tests. This study aims to assess the diagnostic potential of the L. donovani activated C kinase (LACK), a highly conserved antigen essential for parasite survival and host establishment, in VL-endemic regions such as India and Brazil.

Methods: We conducted a multi-center study with serum samples from India (n = 184) and Brazil (n = 59), along with non-invasive urine samples from India (n = 132). Clinical samples from India were collected from the endemic regions of Bihar and West Bengal between 2016-2024, while those from Teresina, Brazil, were collected between 2008 and 2009. Following preliminary immunoblot analysis, we validated the diagnostic utility of LACK through enzyme-linked immunosorbent assays (ELISA) and dipstick tests. Results were analyzed and area under a Receiver Operating Characteristic (ROC) curve (AUC) values were calculated via the Mann-Whitney U test. Additionally, sensitivity, specificity, and confidence intervals were assessed to evaluate diagnostic performance.

Results: The ELISA results revealed that LACK antibodies exhibited 100% sensitivity in both Indian [95% confidence intervals (CI): 94.80-100%] and Brazilian (95% CI: 91.24-100%) patient samples, with specificity of 97.33% for Indian controls and 94.74% for Brazilian controls. Urine samples from Indian patients also demonstrated perfect sensitivity and specificity (100%). Notably, LACK showed minimal reactivity with follow-up patient samples. Dipstick assays confirmed these findings, offering a simple, rapid, and field-friendly diagnostic alternative.

Conclusion: LACK is a promising diagnostic marker for VL, showing high sensitivity across regions and has potential to distinguish active infections from cured or relapsed cases, though larger studies are needed for confirmation.

求助全文
通过发布文献求助,成功后即可免费获取论文全文。 去求助
来源期刊
Infectious Diseases of Poverty
Infectious Diseases of Poverty INFECTIOUS DISEASES-
自引率
1.20%
发文量
368
期刊介绍: Infectious Diseases of Poverty is an open access, peer-reviewed journal that focuses on addressing essential public health questions related to infectious diseases of poverty. The journal covers a wide range of topics including the biology of pathogens and vectors, diagnosis and detection, treatment and case management, epidemiology and modeling, zoonotic hosts and animal reservoirs, control strategies and implementation, new technologies and application. It also considers the transdisciplinary or multisectoral effects on health systems, ecohealth, environmental management, and innovative technology. The journal aims to identify and assess research and information gaps that hinder progress towards new interventions for public health problems in the developing world. Additionally, it provides a platform for discussing these issues to advance research and evidence building for improved public health interventions in poor settings.
×
引用
GB/T 7714-2015
复制
MLA
复制
APA
复制
导出至
BibTeX EndNote RefMan NoteFirst NoteExpress
×
提示
您的信息不完整,为了账户安全,请先补充。
现在去补充
×
提示
您因"违规操作"
具体请查看互助需知
我知道了
×
提示
确定
请完成安全验证×
copy
已复制链接
快去分享给好友吧!
我知道了
右上角分享
点击右上角分享
0
联系我们:info@booksci.cn Book学术提供免费学术资源搜索服务,方便国内外学者检索中英文文献。致力于提供最便捷和优质的服务体验。 Copyright © 2023 布克学术 All rights reserved.
京ICP备2023020795号-1
ghs 京公网安备 11010802042870号
Book学术文献互助
Book学术文献互助群
群 号:604180095
Book学术官方微信