颈淋巴管脂质肌瘤:一个不寻常的罪犯在一个常见的目的地-病例报告和文献复习。

IF 1 Q3 OBSTETRICS & GYNECOLOGY
Journal of Mid-life Health Pub Date : 2025-04-01 Epub Date: 2025-05-06 DOI:10.4103/jmh.jmh_4_25
Md Ali Osama, Kavita Gaur, Kiran Agarwal, Ankita Pandey, Reena Yadav
{"title":"颈淋巴管脂质肌瘤:一个不寻常的罪犯在一个常见的目的地-病例报告和文献复习。","authors":"Md Ali Osama, Kavita Gaur, Kiran Agarwal, Ankita Pandey, Reena Yadav","doi":"10.4103/jmh.jmh_4_25","DOIUrl":null,"url":null,"abstract":"<p><p>Cervical fibroids are relatively rare compared to fibroids that develop in other parts of the uterus, accounting for nearly 1%-2% of all fibroids. They typically originate from the supravaginal or vaginal portions of the cervix. One histological variant is angiolipoleiomyoma (ALLM), a benign mixed mesenchymal neoplasm composed of smooth muscle, mature adipose tissue, and abnormal blood vessels. While there are case reports of ALLM occurring in the kidneys, its presence in the female genital tract is extremely uncommon. Furthermore, here, we present a novel case of a 40-year-old postmenopausal female who presented with a long history of vaginal bleeding. Ultrasound revealed a fibroid located at the cervix; however, with histopathology revealing it to be a lymphangiolipoleiomyoma with a plethora of lymphatics. To the best of our knowledge, this is the first such case described in the medical literature.</p>","PeriodicalId":37717,"journal":{"name":"Journal of Mid-life Health","volume":"16 2","pages":"211-214"},"PeriodicalIF":1.0000,"publicationDate":"2025-04-01","publicationTypes":"Journal Article","fieldsOfStudy":null,"isOpenAccess":false,"openAccessPdf":"https://www.ncbi.nlm.nih.gov/pmc/articles/PMC12237200/pdf/","citationCount":"0","resultStr":"{\"title\":\"Cervical Lymphangiolipoleiomyoma: An Unusual Offender at a Usual Destination - Case Report and Literature Review.\",\"authors\":\"Md Ali Osama, Kavita Gaur, Kiran Agarwal, Ankita Pandey, Reena Yadav\",\"doi\":\"10.4103/jmh.jmh_4_25\",\"DOIUrl\":null,\"url\":null,\"abstract\":\"<p><p>Cervical fibroids are relatively rare compared to fibroids that develop in other parts of the uterus, accounting for nearly 1%-2% of all fibroids. They typically originate from the supravaginal or vaginal portions of the cervix. One histological variant is angiolipoleiomyoma (ALLM), a benign mixed mesenchymal neoplasm composed of smooth muscle, mature adipose tissue, and abnormal blood vessels. While there are case reports of ALLM occurring in the kidneys, its presence in the female genital tract is extremely uncommon. Furthermore, here, we present a novel case of a 40-year-old postmenopausal female who presented with a long history of vaginal bleeding. Ultrasound revealed a fibroid located at the cervix; however, with histopathology revealing it to be a lymphangiolipoleiomyoma with a plethora of lymphatics. To the best of our knowledge, this is the first such case described in the medical literature.</p>\",\"PeriodicalId\":37717,\"journal\":{\"name\":\"Journal of Mid-life Health\",\"volume\":\"16 2\",\"pages\":\"211-214\"},\"PeriodicalIF\":1.0000,\"publicationDate\":\"2025-04-01\",\"publicationTypes\":\"Journal Article\",\"fieldsOfStudy\":null,\"isOpenAccess\":false,\"openAccessPdf\":\"https://www.ncbi.nlm.nih.gov/pmc/articles/PMC12237200/pdf/\",\"citationCount\":\"0\",\"resultStr\":null,\"platform\":\"Semanticscholar\",\"paperid\":null,\"PeriodicalName\":\"Journal of Mid-life Health\",\"FirstCategoryId\":\"1085\",\"ListUrlMain\":\"https://doi.org/10.4103/jmh.jmh_4_25\",\"RegionNum\":0,\"RegionCategory\":null,\"ArticlePicture\":[],\"TitleCN\":null,\"AbstractTextCN\":null,\"PMCID\":null,\"EPubDate\":\"2025/5/6 0:00:00\",\"PubModel\":\"Epub\",\"JCR\":\"Q3\",\"JCRName\":\"OBSTETRICS & GYNECOLOGY\",\"Score\":null,\"Total\":0}","platform":"Semanticscholar","paperid":null,"PeriodicalName":"Journal of Mid-life Health","FirstCategoryId":"1085","ListUrlMain":"https://doi.org/10.4103/jmh.jmh_4_25","RegionNum":0,"RegionCategory":null,"ArticlePicture":[],"TitleCN":null,"AbstractTextCN":null,"PMCID":null,"EPubDate":"2025/5/6 0:00:00","PubModel":"Epub","JCR":"Q3","JCRName":"OBSTETRICS & GYNECOLOGY","Score":null,"Total":0}
引用次数: 0

摘要

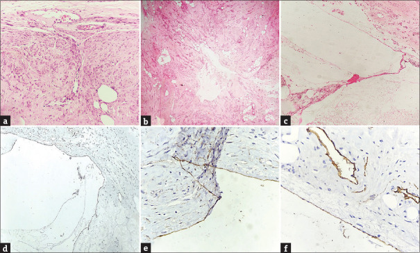
与发生在子宫其他部位的肌瘤相比,宫颈肌瘤相对罕见,约占所有肌瘤的1%-2%。它们通常起源于宫颈的阴道上或阴道部分。一种组织学变异是血管脂质平滑肌瘤(ALLM),一种由平滑肌、成熟脂肪组织和异常血管组成的良性混合间充质肿瘤。虽然有ALLM发生在肾脏的病例报告,但它在女性生殖道的存在是极其罕见的。此外,在这里,我们提出了一个新的情况下,一个40岁的绝经后女性谁提出了阴道出血的长期历史。超声显示子宫肌瘤位于子宫颈;然而,组织病理学显示它是一个淋巴管脂肪瘤,有过多的淋巴管。据我们所知,这是医学文献中第一例此类病例。
本文章由计算机程序翻译,如有差异,请以英文原文为准。

Cervical Lymphangiolipoleiomyoma: An Unusual Offender at a Usual Destination - Case Report and Literature Review.

Cervical Lymphangiolipoleiomyoma: An Unusual Offender at a Usual Destination - Case Report and Literature Review.

Cervical Lymphangiolipoleiomyoma: An Unusual Offender at a Usual Destination - Case Report and Literature Review.

Cervical fibroids are relatively rare compared to fibroids that develop in other parts of the uterus, accounting for nearly 1%-2% of all fibroids. They typically originate from the supravaginal or vaginal portions of the cervix. One histological variant is angiolipoleiomyoma (ALLM), a benign mixed mesenchymal neoplasm composed of smooth muscle, mature adipose tissue, and abnormal blood vessels. While there are case reports of ALLM occurring in the kidneys, its presence in the female genital tract is extremely uncommon. Furthermore, here, we present a novel case of a 40-year-old postmenopausal female who presented with a long history of vaginal bleeding. Ultrasound revealed a fibroid located at the cervix; however, with histopathology revealing it to be a lymphangiolipoleiomyoma with a plethora of lymphatics. To the best of our knowledge, this is the first such case described in the medical literature.

求助全文
通过发布文献求助,成功后即可免费获取论文全文。 去求助
来源期刊
Journal of Mid-life Health
Journal of Mid-life Health Social Sciences-Health (social science)
CiteScore
1.70
自引率
9.10%
发文量
39
审稿时长
43 weeks
期刊介绍: Journal of mid-life health is the official journal of the Indian Menopause society published Quarterly in January, April, July and October. It is peer reviewed, scientific journal of mid-life health and its problems. It includes all aspects of mid-life health, preventive as well as curative. The journal publishes on subjects such as gynecology, neurology, geriatrics, psychiatry, endocrinology, urology, andrology, psychology, healthy ageing, cardiovascular health, bone health, quality of life etc. as relevant of men and women in their midlife. The Journal provides a visible platform to the researchers as well as clinicians to publish their experiences in this area thereby helping in the promotion of mid-life health leading to healthy ageing, growing need due to increasing life expectancy. The Editorial team has maintained high standards and published original research papers, case reports and review articles from the best of the best contributors both national & international, consistently so that now, it has become a great tool in the hands of menopause practitioners.
×
引用
GB/T 7714-2015
复制
MLA
复制
APA
复制
导出至
BibTeX EndNote RefMan NoteFirst NoteExpress
×
提示
您的信息不完整,为了账户安全,请先补充。
现在去补充
×
提示
您因"违规操作"
具体请查看互助需知
我知道了
×
提示
确定
请完成安全验证×
copy
已复制链接
快去分享给好友吧!
我知道了
右上角分享
点击右上角分享
0
联系我们:info@booksci.cn Book学术提供免费学术资源搜索服务,方便国内外学者检索中英文文献。致力于提供最便捷和优质的服务体验。 Copyright © 2023 布克学术 All rights reserved.
京ICP备2023020795号-1
ghs 京公网安备 11010802042870号
Book学术文献互助
Book学术文献互助群
群 号:604180095
Book学术官方微信