窄径种植体在颌磨牙区支持单冠的存活率。

Q2 Dentistry
Rajesh Kumar Gupta, Rahul Sathu, Baljeet Singh, Nidhi Rani, Surinder Sachdeva, Rajneesh Parimoo
{"title":"窄径种植体在颌磨牙区支持单冠的存活率。","authors":"Rajesh Kumar Gupta, Rahul Sathu, Baljeet Singh, Nidhi Rani, Surinder Sachdeva, Rajneesh Parimoo","doi":"10.4103/jisp.jisp_155_24","DOIUrl":null,"url":null,"abstract":"<p><strong>Purpose: </strong>The present investigation assessed the success of narrow diameter implants (NDI) supporting a single crown in the molar region of the jaw.</p><p><strong>Materials and methods: </strong>A total of 40 patients (>20 years) requiring implant supported crown in the molar region were recruited. A total of 20 patients received NDI (3.5 millimeter (mm), and another 20 received standard diameter implants (SDI), ≥3.75 mm. Crestal bone level, probing depth (PD), implant mobility, and bleeding on probing (BOP) were recorded at baseline, 6, and 12 months.</p><p><strong>Results: </strong>The control group showed 0.29 ± 0.17 of mean crestal bone loss at 6 months and 0.51 ± 0.21 at 12 months (<i>P</i> < 0.001). In the test group, mean crestal bone loss of 0.18 ± 0.15 at 6 months (<i>P</i> = 0.001) and 0.48 ± 0.27 (<i>P</i> < 0.001) at 12 months was observed. Intergroup comparison at 12 months was nonsignificant (<i>P</i> = 0.13). An increase of 0.24 ± 0.24 PD at 6 months and of 0.44 ± 0.32 at 12 months was seen in the control group (<i>P</i> = 0.001). The test group revealed an increase of 0.42 ± 0.26 and 0.63 ± 0.42 PD from baseline to 6 and 12 months, respectively (<i>P</i> < 0.001). Comparison between groups did not show a significant difference at the study end (<i>P</i> = 0.06). Regarding BOP, a difference of 0.03 ± 0.76 (<i>P</i> = 0.15) at 6 months and of 0.13 ± 0.20 (<i>P</i> = 0.01) at 12 months from baseline was observed in the control group. In the test group, the difference of 0.01 at 6 months (<i>P</i> = 0.31) and 0.20 at 12 months (<i>P</i> = 0.006) from baseline was seen. Intergroup comparisons were nonsignificant at the end of the research (<i>P</i> = 0.44).</p><p><strong>Conclusions: </strong>NDI supporting single crown functioned similarly and successfully to SDI when subjected to high masticatory loads.</p>","PeriodicalId":15890,"journal":{"name":"Journal of Indian Society of Periodontology","volume":"29 1","pages":"85-90"},"PeriodicalIF":0.0000,"publicationDate":"2025-01-01","publicationTypes":"Journal Article","fieldsOfStudy":null,"isOpenAccess":false,"openAccessPdf":"https://www.ncbi.nlm.nih.gov/pmc/articles/PMC12237245/pdf/","citationCount":"0","resultStr":"{\"title\":\"Survival of narrow diameter implants in supporting single crowns in the molar region of the jaw.\",\"authors\":\"Rajesh Kumar Gupta, Rahul Sathu, Baljeet Singh, Nidhi Rani, Surinder Sachdeva, Rajneesh Parimoo\",\"doi\":\"10.4103/jisp.jisp_155_24\",\"DOIUrl\":null,\"url\":null,\"abstract\":\"<p><strong>Purpose: </strong>The present investigation assessed the success of narrow diameter implants (NDI) supporting a single crown in the molar region of the jaw.</p><p><strong>Materials and methods: </strong>A total of 40 patients (>20 years) requiring implant supported crown in the molar region were recruited. A total of 20 patients received NDI (3.5 millimeter (mm), and another 20 received standard diameter implants (SDI), ≥3.75 mm. Crestal bone level, probing depth (PD), implant mobility, and bleeding on probing (BOP) were recorded at baseline, 6, and 12 months.</p><p><strong>Results: </strong>The control group showed 0.29 ± 0.17 of mean crestal bone loss at 6 months and 0.51 ± 0.21 at 12 months (<i>P</i> < 0.001). In the test group, mean crestal bone loss of 0.18 ± 0.15 at 6 months (<i>P</i> = 0.001) and 0.48 ± 0.27 (<i>P</i> < 0.001) at 12 months was observed. Intergroup comparison at 12 months was nonsignificant (<i>P</i> = 0.13). An increase of 0.24 ± 0.24 PD at 6 months and of 0.44 ± 0.32 at 12 months was seen in the control group (<i>P</i> = 0.001). The test group revealed an increase of 0.42 ± 0.26 and 0.63 ± 0.42 PD from baseline to 6 and 12 months, respectively (<i>P</i> < 0.001). Comparison between groups did not show a significant difference at the study end (<i>P</i> = 0.06). Regarding BOP, a difference of 0.03 ± 0.76 (<i>P</i> = 0.15) at 6 months and of 0.13 ± 0.20 (<i>P</i> = 0.01) at 12 months from baseline was observed in the control group. In the test group, the difference of 0.01 at 6 months (<i>P</i> = 0.31) and 0.20 at 12 months (<i>P</i> = 0.006) from baseline was seen. Intergroup comparisons were nonsignificant at the end of the research (<i>P</i> = 0.44).</p><p><strong>Conclusions: </strong>NDI supporting single crown functioned similarly and successfully to SDI when subjected to high masticatory loads.</p>\",\"PeriodicalId\":15890,\"journal\":{\"name\":\"Journal of Indian Society of Periodontology\",\"volume\":\"29 1\",\"pages\":\"85-90\"},\"PeriodicalIF\":0.0000,\"publicationDate\":\"2025-01-01\",\"publicationTypes\":\"Journal Article\",\"fieldsOfStudy\":null,\"isOpenAccess\":false,\"openAccessPdf\":\"https://www.ncbi.nlm.nih.gov/pmc/articles/PMC12237245/pdf/\",\"citationCount\":\"0\",\"resultStr\":null,\"platform\":\"Semanticscholar\",\"paperid\":null,\"PeriodicalName\":\"Journal of Indian Society of Periodontology\",\"FirstCategoryId\":\"1085\",\"ListUrlMain\":\"https://doi.org/10.4103/jisp.jisp_155_24\",\"RegionNum\":0,\"RegionCategory\":null,\"ArticlePicture\":[],\"TitleCN\":null,\"AbstractTextCN\":null,\"PMCID\":null,\"EPubDate\":\"2025/6/10 0:00:00\",\"PubModel\":\"Epub\",\"JCR\":\"Q2\",\"JCRName\":\"Dentistry\",\"Score\":null,\"Total\":0}","platform":"Semanticscholar","paperid":null,"PeriodicalName":"Journal of Indian Society of Periodontology","FirstCategoryId":"1085","ListUrlMain":"https://doi.org/10.4103/jisp.jisp_155_24","RegionNum":0,"RegionCategory":null,"ArticlePicture":[],"TitleCN":null,"AbstractTextCN":null,"PMCID":null,"EPubDate":"2025/6/10 0:00:00","PubModel":"Epub","JCR":"Q2","JCRName":"Dentistry","Score":null,"Total":0}
引用次数: 0

摘要

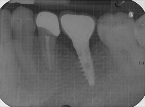
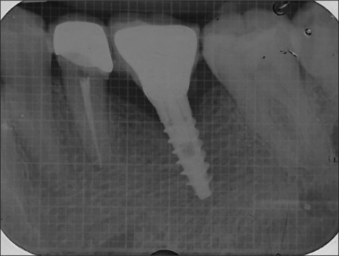
目的:本研究评估窄径种植体(NDI)在下颌磨牙区支持单冠的成功。材料和方法:共招募40例在磨牙区需要种植体支撑冠的患者(年龄在60 ~ 20岁)。共有20例患者接受NDI (3.5 mm)种植体,另外20例患者接受标准直径种植体(SDI)种植体,≥3.75 mm。在基线、6个月和12个月记录嵴骨水平、探探深度(PD)、种植体活动度和探探出血(BOP)。结果:对照组6个月时平均牙冠骨量0.29±0.17,12个月时平均牙冠骨量0.51±0.21 (P < 0.001)。试验组6个月时平均牙冠骨量0.18±0.15 (P = 0.001), 12个月时平均牙冠骨量0.48±0.27 (P < 0.001)。12个月时组间比较无统计学意义(P = 0.13)。对照组6个月时PD增加0.24±0.24,12个月时PD增加0.44±0.32 (P = 0.001)。试验组6个月和12个月PD较基线分别增加0.42±0.26和0.63±0.42 PD (P < 0.001)。研究结束时,组间比较无显著差异(P = 0.06)。在BOP方面,对照组6个月时的差异为0.03±0.76 (P = 0.15), 12个月时的差异为0.13±0.20 (P = 0.01)。试验组6个月时与基线比较差异为0.01 (P = 0.31), 12个月时与基线比较差异为0.20 (P = 0.006)。研究结束时,组间比较无统计学意义(P = 0.44)。结论:在高咀嚼负荷下,NDI支持单冠的功能与SDI相似且成功。
本文章由计算机程序翻译,如有差异,请以英文原文为准。

Survival of narrow diameter implants in supporting single crowns in the molar region of the jaw.

Survival of narrow diameter implants in supporting single crowns in the molar region of the jaw.

Survival of narrow diameter implants in supporting single crowns in the molar region of the jaw.

Survival of narrow diameter implants in supporting single crowns in the molar region of the jaw.

Purpose: The present investigation assessed the success of narrow diameter implants (NDI) supporting a single crown in the molar region of the jaw.

Materials and methods: A total of 40 patients (>20 years) requiring implant supported crown in the molar region were recruited. A total of 20 patients received NDI (3.5 millimeter (mm), and another 20 received standard diameter implants (SDI), ≥3.75 mm. Crestal bone level, probing depth (PD), implant mobility, and bleeding on probing (BOP) were recorded at baseline, 6, and 12 months.

Results: The control group showed 0.29 ± 0.17 of mean crestal bone loss at 6 months and 0.51 ± 0.21 at 12 months (P < 0.001). In the test group, mean crestal bone loss of 0.18 ± 0.15 at 6 months (P = 0.001) and 0.48 ± 0.27 (P < 0.001) at 12 months was observed. Intergroup comparison at 12 months was nonsignificant (P = 0.13). An increase of 0.24 ± 0.24 PD at 6 months and of 0.44 ± 0.32 at 12 months was seen in the control group (P = 0.001). The test group revealed an increase of 0.42 ± 0.26 and 0.63 ± 0.42 PD from baseline to 6 and 12 months, respectively (P < 0.001). Comparison between groups did not show a significant difference at the study end (P = 0.06). Regarding BOP, a difference of 0.03 ± 0.76 (P = 0.15) at 6 months and of 0.13 ± 0.20 (P = 0.01) at 12 months from baseline was observed in the control group. In the test group, the difference of 0.01 at 6 months (P = 0.31) and 0.20 at 12 months (P = 0.006) from baseline was seen. Intergroup comparisons were nonsignificant at the end of the research (P = 0.44).

Conclusions: NDI supporting single crown functioned similarly and successfully to SDI when subjected to high masticatory loads.

求助全文
通过发布文献求助,成功后即可免费获取论文全文。 去求助
来源期刊
CiteScore
1.70
自引率
0.00%
发文量
87
审稿时长
44 weeks
期刊介绍: The Journal of Indian Society of Periodontology publishes original scientific articles to support practice , education and research in the dental specialty of periodontology and oral implantology. Journal of Indian Society of Periodontology (JISP), is the official publication of the Society and is managed and brought out by the Editor of the society. The journal is published Bimonthly with special issues being brought out for specific occasions. The ISP had a bulletin as its publication for a large number of years and was enhanced as a Journal a few years ago
×
引用
GB/T 7714-2015
复制
MLA
复制
APA
复制
导出至
BibTeX EndNote RefMan NoteFirst NoteExpress
×
提示
您的信息不完整,为了账户安全,请先补充。
现在去补充
×
提示
您因"违规操作"
具体请查看互助需知
我知道了
×
提示
确定
请完成安全验证×
copy
已复制链接
快去分享给好友吧!
我知道了
右上角分享
点击右上角分享
0
联系我们:info@booksci.cn Book学术提供免费学术资源搜索服务,方便国内外学者检索中英文文献。致力于提供最便捷和优质的服务体验。 Copyright © 2023 布克学术 All rights reserved.
京ICP备2023020795号-1
ghs 京公网安备 11010802042870号
Book学术文献互助
Book学术文献互助群
群 号:604180095
Book学术官方微信