评估美学,疼痛评分和预后改良平行技术对高系带依恋:一个病例系列。

Q2 Dentistry
Swastik Mishra, Aditi Chopra
{"title":"评估美学,疼痛评分和预后改良平行技术对高系带依恋:一个病例系列。","authors":"Swastik Mishra, Aditi Chopra","doi":"10.4103/jisp.jisp_142_24","DOIUrl":null,"url":null,"abstract":"<p><p>A frenum is a thin fold of mucous membrane that attaches the lips to the alveolar mucosa and the periosteum. The frenum provides stability and supports the lips and the tongue. Normally, the terminal end of the frenum is seen till the alveolar mucosa or the gingiva. However, in some individuals, the frenum extends to or beyond the interdental papilla. Such an aberrant or high frenular attachment compromises plaque control, orthodontic treatment, denture retention, and esthetics. Therefore, surgical correction of the high frenal attachment is recommended either by completely removing the frenum (frenectomy) or repositioning it (frenotomy). Frenectomy or frenotomy can be performed either with a surgical blade, electrocautery, or lasers. Frenectomy using a surgical blade is considered to be more invasive compared to other methods, as it involves mild-to-moderate bleeding, the formation of large surgical wounds, and the chances of scarring during healing. Hence, many modifications to the conventional frenectomy technique have been explored to provide a simpler, faster, and minimally invasive surgical approach. The present case series highlights a novel frenectomy technique involving a modification of the paralleling technique for frenal correction.</p>","PeriodicalId":15890,"journal":{"name":"Journal of Indian Society of Periodontology","volume":"29 1","pages":"102-106"},"PeriodicalIF":0.0000,"publicationDate":"2025-01-01","publicationTypes":"Journal Article","fieldsOfStudy":null,"isOpenAccess":false,"openAccessPdf":"https://www.ncbi.nlm.nih.gov/pmc/articles/PMC12237237/pdf/","citationCount":"0","resultStr":"{\"title\":\"Evaluation of esthetics, pain scores, and prognosis of modified paralleling technique for high frenal attachment: A case series.\",\"authors\":\"Swastik Mishra, Aditi Chopra\",\"doi\":\"10.4103/jisp.jisp_142_24\",\"DOIUrl\":null,\"url\":null,\"abstract\":\"<p><p>A frenum is a thin fold of mucous membrane that attaches the lips to the alveolar mucosa and the periosteum. The frenum provides stability and supports the lips and the tongue. Normally, the terminal end of the frenum is seen till the alveolar mucosa or the gingiva. However, in some individuals, the frenum extends to or beyond the interdental papilla. Such an aberrant or high frenular attachment compromises plaque control, orthodontic treatment, denture retention, and esthetics. Therefore, surgical correction of the high frenal attachment is recommended either by completely removing the frenum (frenectomy) or repositioning it (frenotomy). Frenectomy or frenotomy can be performed either with a surgical blade, electrocautery, or lasers. Frenectomy using a surgical blade is considered to be more invasive compared to other methods, as it involves mild-to-moderate bleeding, the formation of large surgical wounds, and the chances of scarring during healing. Hence, many modifications to the conventional frenectomy technique have been explored to provide a simpler, faster, and minimally invasive surgical approach. The present case series highlights a novel frenectomy technique involving a modification of the paralleling technique for frenal correction.</p>\",\"PeriodicalId\":15890,\"journal\":{\"name\":\"Journal of Indian Society of Periodontology\",\"volume\":\"29 1\",\"pages\":\"102-106\"},\"PeriodicalIF\":0.0000,\"publicationDate\":\"2025-01-01\",\"publicationTypes\":\"Journal Article\",\"fieldsOfStudy\":null,\"isOpenAccess\":false,\"openAccessPdf\":\"https://www.ncbi.nlm.nih.gov/pmc/articles/PMC12237237/pdf/\",\"citationCount\":\"0\",\"resultStr\":null,\"platform\":\"Semanticscholar\",\"paperid\":null,\"PeriodicalName\":\"Journal of Indian Society of Periodontology\",\"FirstCategoryId\":\"1085\",\"ListUrlMain\":\"https://doi.org/10.4103/jisp.jisp_142_24\",\"RegionNum\":0,\"RegionCategory\":null,\"ArticlePicture\":[],\"TitleCN\":null,\"AbstractTextCN\":null,\"PMCID\":null,\"EPubDate\":\"2025/6/10 0:00:00\",\"PubModel\":\"Epub\",\"JCR\":\"Q2\",\"JCRName\":\"Dentistry\",\"Score\":null,\"Total\":0}","platform":"Semanticscholar","paperid":null,"PeriodicalName":"Journal of Indian Society of Periodontology","FirstCategoryId":"1085","ListUrlMain":"https://doi.org/10.4103/jisp.jisp_142_24","RegionNum":0,"RegionCategory":null,"ArticlePicture":[],"TitleCN":null,"AbstractTextCN":null,"PMCID":null,"EPubDate":"2025/6/10 0:00:00","PubModel":"Epub","JCR":"Q2","JCRName":"Dentistry","Score":null,"Total":0}
引用次数: 0

摘要

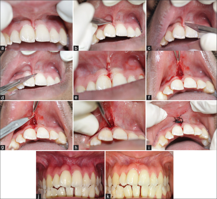
唇系带是连接嘴唇与牙槽黏膜和骨膜的一层薄薄的粘膜。系带提供稳定和支持嘴唇和舌头。正常情况下,可以看到系带的末端,直到牙槽粘膜或牙龈。然而,在某些个体中,系带延伸到或超过牙间乳头。这种异常或高度的系带附着会影响牙菌斑的控制、正畸治疗、义齿固位和美观。因此,建议通过完全切除系带(系带切除术)或重新定位系带(系带切开术)对高系带附着进行手术矫正。系带切除术或系带切开术可以用外科刀片、电灼或激光进行。与其他方法相比,使用外科刀片进行系带切除术被认为更具侵入性,因为它涉及轻度至中度出血,形成大的外科伤口,并且在愈合过程中有可能留下疤痕。因此,对传统的系带切除术技术进行了许多改进,以提供一种更简单、更快、微创的手术方法。本病例系列强调了一种新的系带切除术技术,涉及对系带矫正平行技术的修改。
本文章由计算机程序翻译,如有差异,请以英文原文为准。

Evaluation of esthetics, pain scores, and prognosis of modified paralleling technique for high frenal attachment: A case series.

Evaluation of esthetics, pain scores, and prognosis of modified paralleling technique for high frenal attachment: A case series.

Evaluation of esthetics, pain scores, and prognosis of modified paralleling technique for high frenal attachment: A case series.

Evaluation of esthetics, pain scores, and prognosis of modified paralleling technique for high frenal attachment: A case series.

A frenum is a thin fold of mucous membrane that attaches the lips to the alveolar mucosa and the periosteum. The frenum provides stability and supports the lips and the tongue. Normally, the terminal end of the frenum is seen till the alveolar mucosa or the gingiva. However, in some individuals, the frenum extends to or beyond the interdental papilla. Such an aberrant or high frenular attachment compromises plaque control, orthodontic treatment, denture retention, and esthetics. Therefore, surgical correction of the high frenal attachment is recommended either by completely removing the frenum (frenectomy) or repositioning it (frenotomy). Frenectomy or frenotomy can be performed either with a surgical blade, electrocautery, or lasers. Frenectomy using a surgical blade is considered to be more invasive compared to other methods, as it involves mild-to-moderate bleeding, the formation of large surgical wounds, and the chances of scarring during healing. Hence, many modifications to the conventional frenectomy technique have been explored to provide a simpler, faster, and minimally invasive surgical approach. The present case series highlights a novel frenectomy technique involving a modification of the paralleling technique for frenal correction.

求助全文
通过发布文献求助,成功后即可免费获取论文全文。 去求助
来源期刊
CiteScore
1.70
自引率
0.00%
发文量
87
审稿时长
44 weeks
期刊介绍: The Journal of Indian Society of Periodontology publishes original scientific articles to support practice , education and research in the dental specialty of periodontology and oral implantology. Journal of Indian Society of Periodontology (JISP), is the official publication of the Society and is managed and brought out by the Editor of the society. The journal is published Bimonthly with special issues being brought out for specific occasions. The ISP had a bulletin as its publication for a large number of years and was enhanced as a Journal a few years ago
×
引用
GB/T 7714-2015
复制
MLA
复制
APA
复制
导出至
BibTeX EndNote RefMan NoteFirst NoteExpress
×
提示
您的信息不完整,为了账户安全,请先补充。
现在去补充
×
提示
您因"违规操作"
具体请查看互助需知
我知道了
×
提示
确定
请完成安全验证×
copy
已复制链接
快去分享给好友吧!
我知道了
右上角分享
点击右上角分享
0
联系我们:info@booksci.cn Book学术提供免费学术资源搜索服务,方便国内外学者检索中英文文献。致力于提供最便捷和优质的服务体验。 Copyright © 2023 布克学术 All rights reserved.
京ICP备2023020795号-1
ghs 京公网安备 11010802042870号
Book学术文献互助
Book学术文献互助群
群 号:604180095
Book学术官方微信