韩国神经元核内包涵病的不同临床表型

IF 3.1 3区 医学 Q2 CLINICAL NEUROLOGY
Min Young Chun, Sang Won Seo, Hyemin Jang, Duk L Na, Seongmi Kim, Na Kyung Lee, Seung-Yeon Lee, Kyung Bok Lee, Jinyoung Youn, Ja-Hyun Jang, Na-Yeon Jung, Eun Hye Lee, Jee Hyang Jeong, Soo Jin Yoon, Hyung Chan Kim, Joonwon Lee, Seongho Park, Jinse Park, Heejeong Jeong, Tae-Won Yang, Eungseok Oh, Eun-Joo Kim, Jiyoung Kim, Ji Eun Lee, Ji-Yun Park, Takeshi Mizuguchi, Shinichi Kameyama, Naomichi Matsumoto, Yeon-Lim Suh, Hee Jin Kim
{"title":"韩国神经元核内包涵病的不同临床表型","authors":"Min Young Chun, Sang Won Seo, Hyemin Jang, Duk L Na, Seongmi Kim, Na Kyung Lee, Seung-Yeon Lee, Kyung Bok Lee, Jinyoung Youn, Ja-Hyun Jang, Na-Yeon Jung, Eun Hye Lee, Jee Hyang Jeong, Soo Jin Yoon, Hyung Chan Kim, Joonwon Lee, Seongho Park, Jinse Park, Heejeong Jeong, Tae-Won Yang, Eungseok Oh, Eun-Joo Kim, Jiyoung Kim, Ji Eun Lee, Ji-Yun Park, Takeshi Mizuguchi, Shinichi Kameyama, Naomichi Matsumoto, Yeon-Lim Suh, Hee Jin Kim","doi":"10.3988/jcn.2024.0526","DOIUrl":null,"url":null,"abstract":"<p><strong>Background and purpose: </strong>Neuronal intranuclear inclusion disease (NIID) is a progressive neurodegenerative disease characterized by a wide range of clinical manifestations. GGC-repeat expansion in <i>NOTCH2NLC</i> was recently identified as the genetic cause of NIID. Here we report clinical, radiological, pathological, and genetic findings in NIID patients.</p><p><strong>Methods: </strong>Twenty-five NIID patients from 22 unrelated families of Korean ancestry were reviewed from 9 referral centers in South Korea. We compared clinical features between sporadic and familial NIID patients. We classified NIID patients according to their prominent symptoms. The presence of GGC repeat expansion was analyzed in 19 patients.</p><p><strong>Results: </strong>The 25 reviewed NIID patients comprised 12 (48.0%) sporadic and 13 (52.0%) familial cases, with the latter showing a significantly higher proportion of males (<i>p</i>=0.027). The patients were classified into three subtypes based on the prominent symptoms: NIID-Episodic (44.0%), NIID-EPS (extrapyramidal symptoms) (36.0%), and NIID-Dementia (20.0%). Most patients (92.0%) also exhibited other symptoms, including peripheral neuropathy (60.0%), bladder dysfunction (48.0%), or ophthalmic problems (56.0%). Hyperintensities along the corticomedullary junctions in diffusion-weighted imaging and extensive white-matter hyperintensities in fluid-attenuated inversion-recovery imaging were observed in 96.0% and 100% of the patients, respectively. GGC repeat expansion in <i>NOTCH2NLC</i> was identified in 6 sporadic and 10 familial cases. The number of GGC repeats was not correlated with the onset age or clinical symptoms.</p><p><strong>Conclusions: </strong>This study has highlighted the diverse phenotypes and genetic profiles of Korean NIID patients, and provided valuable insights into this rare disorder.</p>","PeriodicalId":15432,"journal":{"name":"Journal of Clinical Neurology","volume":"21 4","pages":"315-324"},"PeriodicalIF":3.1000,"publicationDate":"2025-07-01","publicationTypes":"Journal Article","fieldsOfStudy":null,"isOpenAccess":false,"openAccessPdf":"https://www.ncbi.nlm.nih.gov/pmc/articles/PMC12303689/pdf/","citationCount":"0","resultStr":"{\"title\":\"Diverse Clinical Phenotypes of Neuronal Intranuclear Inclusion Disease in South Korea.\",\"authors\":\"Min Young Chun, Sang Won Seo, Hyemin Jang, Duk L Na, Seongmi Kim, Na Kyung Lee, Seung-Yeon Lee, Kyung Bok Lee, Jinyoung Youn, Ja-Hyun Jang, Na-Yeon Jung, Eun Hye Lee, Jee Hyang Jeong, Soo Jin Yoon, Hyung Chan Kim, Joonwon Lee, Seongho Park, Jinse Park, Heejeong Jeong, Tae-Won Yang, Eungseok Oh, Eun-Joo Kim, Jiyoung Kim, Ji Eun Lee, Ji-Yun Park, Takeshi Mizuguchi, Shinichi Kameyama, Naomichi Matsumoto, Yeon-Lim Suh, Hee Jin Kim\",\"doi\":\"10.3988/jcn.2024.0526\",\"DOIUrl\":null,\"url\":null,\"abstract\":\"<p><strong>Background and purpose: </strong>Neuronal intranuclear inclusion disease (NIID) is a progressive neurodegenerative disease characterized by a wide range of clinical manifestations. GGC-repeat expansion in <i>NOTCH2NLC</i> was recently identified as the genetic cause of NIID. Here we report clinical, radiological, pathological, and genetic findings in NIID patients.</p><p><strong>Methods: </strong>Twenty-five NIID patients from 22 unrelated families of Korean ancestry were reviewed from 9 referral centers in South Korea. We compared clinical features between sporadic and familial NIID patients. We classified NIID patients according to their prominent symptoms. The presence of GGC repeat expansion was analyzed in 19 patients.</p><p><strong>Results: </strong>The 25 reviewed NIID patients comprised 12 (48.0%) sporadic and 13 (52.0%) familial cases, with the latter showing a significantly higher proportion of males (<i>p</i>=0.027). The patients were classified into three subtypes based on the prominent symptoms: NIID-Episodic (44.0%), NIID-EPS (extrapyramidal symptoms) (36.0%), and NIID-Dementia (20.0%). Most patients (92.0%) also exhibited other symptoms, including peripheral neuropathy (60.0%), bladder dysfunction (48.0%), or ophthalmic problems (56.0%). Hyperintensities along the corticomedullary junctions in diffusion-weighted imaging and extensive white-matter hyperintensities in fluid-attenuated inversion-recovery imaging were observed in 96.0% and 100% of the patients, respectively. GGC repeat expansion in <i>NOTCH2NLC</i> was identified in 6 sporadic and 10 familial cases. The number of GGC repeats was not correlated with the onset age or clinical symptoms.</p><p><strong>Conclusions: </strong>This study has highlighted the diverse phenotypes and genetic profiles of Korean NIID patients, and provided valuable insights into this rare disorder.</p>\",\"PeriodicalId\":15432,\"journal\":{\"name\":\"Journal of Clinical Neurology\",\"volume\":\"21 4\",\"pages\":\"315-324\"},\"PeriodicalIF\":3.1000,\"publicationDate\":\"2025-07-01\",\"publicationTypes\":\"Journal Article\",\"fieldsOfStudy\":null,\"isOpenAccess\":false,\"openAccessPdf\":\"https://www.ncbi.nlm.nih.gov/pmc/articles/PMC12303689/pdf/\",\"citationCount\":\"0\",\"resultStr\":null,\"platform\":\"Semanticscholar\",\"paperid\":null,\"PeriodicalName\":\"Journal of Clinical Neurology\",\"FirstCategoryId\":\"3\",\"ListUrlMain\":\"https://doi.org/10.3988/jcn.2024.0526\",\"RegionNum\":3,\"RegionCategory\":\"医学\",\"ArticlePicture\":[],\"TitleCN\":null,\"AbstractTextCN\":null,\"PMCID\":null,\"EPubDate\":\"\",\"PubModel\":\"\",\"JCR\":\"Q2\",\"JCRName\":\"CLINICAL NEUROLOGY\",\"Score\":null,\"Total\":0}","platform":"Semanticscholar","paperid":null,"PeriodicalName":"Journal of Clinical Neurology","FirstCategoryId":"3","ListUrlMain":"https://doi.org/10.3988/jcn.2024.0526","RegionNum":3,"RegionCategory":"医学","ArticlePicture":[],"TitleCN":null,"AbstractTextCN":null,"PMCID":null,"EPubDate":"","PubModel":"","JCR":"Q2","JCRName":"CLINICAL NEUROLOGY","Score":null,"Total":0}
引用次数: 0

摘要

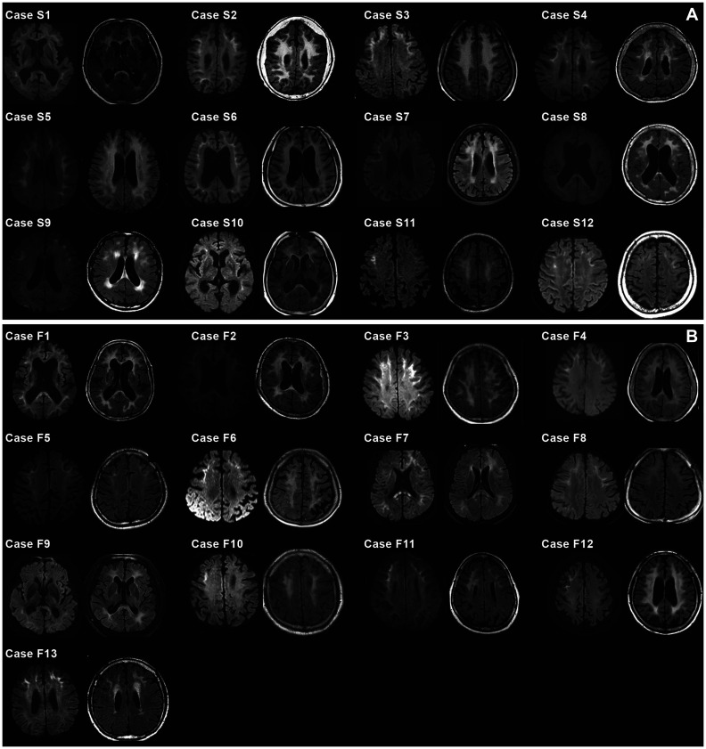
背景与目的:神经元核内包涵病(NIID)是一种进行性神经退行性疾病,具有广泛的临床表现。NOTCH2NLC中的ggc -重复扩增最近被确定为NIID的遗传原因。在此,我们报告NIID患者的临床、放射学、病理学和遗传学结果。方法:对来自韩国9个转诊中心的22个无血缘关系的韩国血统家庭的25例NIID患者进行回顾性分析。我们比较了散发性和家族性NIID患者的临床特征。我们根据他们的突出症状对NIID患者进行分类。分析19例患者GGC重复扩增的存在。结果:25例NIID患者中散发性12例(48.0%),家族性13例(52.0%),家族性男性占比明显高于散发性12例(p=0.027)。根据突出症状将患者分为3个亚型:niid -发作型(44.0%)、NIID-EPS(锥体外系症状)(36.0%)和niid -痴呆型(20.0%)。大多数患者(92.0%)还表现出其他症状,包括周围神经病变(60.0%)、膀胱功能障碍(48.0%)或眼科问题(56.0%)。在扩散加权成像和液体衰减反转恢复成像中,分别有96.0%和100%的患者观察到沿皮质-髓质连接处的高信号。在6例散发病例和10例家族性病例中发现NOTCH2NLC的GGC重复扩增。GGC重复数与发病年龄或临床症状无关。结论:本研究突出了韩国NIID患者的不同表型和遗传谱,并为这种罕见疾病提供了有价值的见解。
本文章由计算机程序翻译,如有差异,请以英文原文为准。

Diverse Clinical Phenotypes of Neuronal Intranuclear Inclusion Disease in South Korea.

Diverse Clinical Phenotypes of Neuronal Intranuclear Inclusion Disease in South Korea.

Diverse Clinical Phenotypes of Neuronal Intranuclear Inclusion Disease in South Korea.

Diverse Clinical Phenotypes of Neuronal Intranuclear Inclusion Disease in South Korea.

Background and purpose: Neuronal intranuclear inclusion disease (NIID) is a progressive neurodegenerative disease characterized by a wide range of clinical manifestations. GGC-repeat expansion in NOTCH2NLC was recently identified as the genetic cause of NIID. Here we report clinical, radiological, pathological, and genetic findings in NIID patients.

Methods: Twenty-five NIID patients from 22 unrelated families of Korean ancestry were reviewed from 9 referral centers in South Korea. We compared clinical features between sporadic and familial NIID patients. We classified NIID patients according to their prominent symptoms. The presence of GGC repeat expansion was analyzed in 19 patients.

Results: The 25 reviewed NIID patients comprised 12 (48.0%) sporadic and 13 (52.0%) familial cases, with the latter showing a significantly higher proportion of males (p=0.027). The patients were classified into three subtypes based on the prominent symptoms: NIID-Episodic (44.0%), NIID-EPS (extrapyramidal symptoms) (36.0%), and NIID-Dementia (20.0%). Most patients (92.0%) also exhibited other symptoms, including peripheral neuropathy (60.0%), bladder dysfunction (48.0%), or ophthalmic problems (56.0%). Hyperintensities along the corticomedullary junctions in diffusion-weighted imaging and extensive white-matter hyperintensities in fluid-attenuated inversion-recovery imaging were observed in 96.0% and 100% of the patients, respectively. GGC repeat expansion in NOTCH2NLC was identified in 6 sporadic and 10 familial cases. The number of GGC repeats was not correlated with the onset age or clinical symptoms.

Conclusions: This study has highlighted the diverse phenotypes and genetic profiles of Korean NIID patients, and provided valuable insights into this rare disorder.

求助全文
通过发布文献求助,成功后即可免费获取论文全文。 去求助
来源期刊
Journal of Clinical Neurology
Journal of Clinical Neurology 医学-临床神经学
CiteScore
4.50
自引率
6.50%
发文量
0
审稿时长
>12 weeks
期刊介绍: The JCN aims to publish the cutting-edge research from around the world. The JCN covers clinical and translational research for physicians and researchers in the field of neurology. Encompassing the entire neurological diseases, our main focus is on the common disorders including stroke, epilepsy, Parkinson''s disease, dementia, multiple sclerosis, headache, and peripheral neuropathy. Any authors affiliated with an accredited biomedical institution may submit manuscripts of original articles, review articles, and letters to the editor. The JCN will allow clinical neurologists to enrich their knowledge of patient management, education, and clinical or experimental research, and hence their professionalism.
×
引用
GB/T 7714-2015
复制
MLA
复制
APA
复制
导出至
BibTeX EndNote RefMan NoteFirst NoteExpress
×
提示
您的信息不完整,为了账户安全,请先补充。
现在去补充
×
提示
您因"违规操作"
具体请查看互助需知
我知道了
×
提示
确定
请完成安全验证×
copy
已复制链接
快去分享给好友吧!
我知道了
右上角分享
点击右上角分享
0
联系我们:info@booksci.cn Book学术提供免费学术资源搜索服务,方便国内外学者检索中英文文献。致力于提供最便捷和优质的服务体验。 Copyright © 2023 布克学术 All rights reserved.
京ICP备2023020795号-1
ghs 京公网安备 11010802042870号
Book学术文献互助
Book学术文献互助群
群 号:604180095
Book学术官方微信