克罗恩病伴植物性皮炎-化脓性口炎1例临床报告

IF 2.3 3区 医学 Q2 PATHOLOGY
Juliellen Luiz da Cunha, Isabella Bezerra Araújo Cirilo, Ilan Hudson Gomes de Santana, Paulo Rogério Ferreti Bonan
{"title":"克罗恩病伴植物性皮炎-化脓性口炎1例临床报告","authors":"Juliellen Luiz da Cunha, Isabella Bezerra Araújo Cirilo, Ilan Hudson Gomes de Santana, Paulo Rogério Ferreti Bonan","doi":"10.1186/s13000-025-01681-8","DOIUrl":null,"url":null,"abstract":"<p><strong>Introduction: </strong>Pyodermatitis-pyostomatitis vegetans (PPV) is a rare inflammatory mucocutaneous dermatosis of unknown etiology. It is characterized by the appearance of vesicles, pustules, vegetating plaques, and erythematous lesions, often associated with underlying inflammatory bowel diseases such as Crohn's disease.</p><p><strong>Objective: </strong>To report a case of vegetative pyostomatitis in a patient with Crohn's disease, focusing on the diagnostic process and therapeutic approach.</p><p><strong>Case report: </strong>A 47-year-old female patient, identified as AMSP, with a known diagnosis of Crohn's disease and a history of colostomy, presented with complaints of lesions affecting both the skin and oral mucosa. Dermatological examination revealed a well-defined, flat, round lesion with darkened borders in the right axillary region. Intraoral examination showed erythematous, net-like plaques along the lateral border of the tongue, accompanied by ulcerations and vesicles. An incisional biopsy of the tongue was performed. Histopathological analysis revealed a predominantly eosinophilic inflammatory infiltrate in the connective tissue and epithelial acantholysis. The clinical presentation, patient history, and histopathological findings led to the diagnosis of pyodermatitis-pyostomatitis vegetans. The patient was treated with topical 0.1% tacrolimus ointment applied twice daily for 15 days. Following this intervention, there was complete resolution of the lesions.</p><p><strong>Conclusion: </strong>Pyodermatitis-pyostomatitis vegetans is an uncommon condition that may serve as an oral and cutaneous manifestation of Crohn's disease. The presence of vegetating plaques on the skin and vesiculopustular lesions in the oral cavity should raise clinical suspicion. Histopathological examination via biopsy remains the gold standard for definitive diagnosis. Treatment is typically straightforward, with an excellent prognosis when managed appropriately.</p>","PeriodicalId":11237,"journal":{"name":"Diagnostic Pathology","volume":"20 1","pages":"82"},"PeriodicalIF":2.3000,"publicationDate":"2025-07-09","publicationTypes":"Journal Article","fieldsOfStudy":null,"isOpenAccess":false,"openAccessPdf":"https://www.ncbi.nlm.nih.gov/pmc/articles/PMC12239402/pdf/","citationCount":"0","resultStr":"{\"title\":\"Vegetative pyodermatitis-pyostomatitis in a patient with Crohn's disease: a clinical case report.\",\"authors\":\"Juliellen Luiz da Cunha, Isabella Bezerra Araújo Cirilo, Ilan Hudson Gomes de Santana, Paulo Rogério Ferreti Bonan\",\"doi\":\"10.1186/s13000-025-01681-8\",\"DOIUrl\":null,\"url\":null,\"abstract\":\"<p><strong>Introduction: </strong>Pyodermatitis-pyostomatitis vegetans (PPV) is a rare inflammatory mucocutaneous dermatosis of unknown etiology. It is characterized by the appearance of vesicles, pustules, vegetating plaques, and erythematous lesions, often associated with underlying inflammatory bowel diseases such as Crohn's disease.</p><p><strong>Objective: </strong>To report a case of vegetative pyostomatitis in a patient with Crohn's disease, focusing on the diagnostic process and therapeutic approach.</p><p><strong>Case report: </strong>A 47-year-old female patient, identified as AMSP, with a known diagnosis of Crohn's disease and a history of colostomy, presented with complaints of lesions affecting both the skin and oral mucosa. Dermatological examination revealed a well-defined, flat, round lesion with darkened borders in the right axillary region. Intraoral examination showed erythematous, net-like plaques along the lateral border of the tongue, accompanied by ulcerations and vesicles. An incisional biopsy of the tongue was performed. Histopathological analysis revealed a predominantly eosinophilic inflammatory infiltrate in the connective tissue and epithelial acantholysis. The clinical presentation, patient history, and histopathological findings led to the diagnosis of pyodermatitis-pyostomatitis vegetans. The patient was treated with topical 0.1% tacrolimus ointment applied twice daily for 15 days. Following this intervention, there was complete resolution of the lesions.</p><p><strong>Conclusion: </strong>Pyodermatitis-pyostomatitis vegetans is an uncommon condition that may serve as an oral and cutaneous manifestation of Crohn's disease. The presence of vegetating plaques on the skin and vesiculopustular lesions in the oral cavity should raise clinical suspicion. Histopathological examination via biopsy remains the gold standard for definitive diagnosis. Treatment is typically straightforward, with an excellent prognosis when managed appropriately.</p>\",\"PeriodicalId\":11237,\"journal\":{\"name\":\"Diagnostic Pathology\",\"volume\":\"20 1\",\"pages\":\"82\"},\"PeriodicalIF\":2.3000,\"publicationDate\":\"2025-07-09\",\"publicationTypes\":\"Journal Article\",\"fieldsOfStudy\":null,\"isOpenAccess\":false,\"openAccessPdf\":\"https://www.ncbi.nlm.nih.gov/pmc/articles/PMC12239402/pdf/\",\"citationCount\":\"0\",\"resultStr\":null,\"platform\":\"Semanticscholar\",\"paperid\":null,\"PeriodicalName\":\"Diagnostic Pathology\",\"FirstCategoryId\":\"3\",\"ListUrlMain\":\"https://doi.org/10.1186/s13000-025-01681-8\",\"RegionNum\":3,\"RegionCategory\":\"医学\",\"ArticlePicture\":[],\"TitleCN\":null,\"AbstractTextCN\":null,\"PMCID\":null,\"EPubDate\":\"\",\"PubModel\":\"\",\"JCR\":\"Q2\",\"JCRName\":\"PATHOLOGY\",\"Score\":null,\"Total\":0}","platform":"Semanticscholar","paperid":null,"PeriodicalName":"Diagnostic Pathology","FirstCategoryId":"3","ListUrlMain":"https://doi.org/10.1186/s13000-025-01681-8","RegionNum":3,"RegionCategory":"医学","ArticlePicture":[],"TitleCN":null,"AbstractTextCN":null,"PMCID":null,"EPubDate":"","PubModel":"","JCR":"Q2","JCRName":"PATHOLOGY","Score":null,"Total":0}
引用次数: 0

摘要

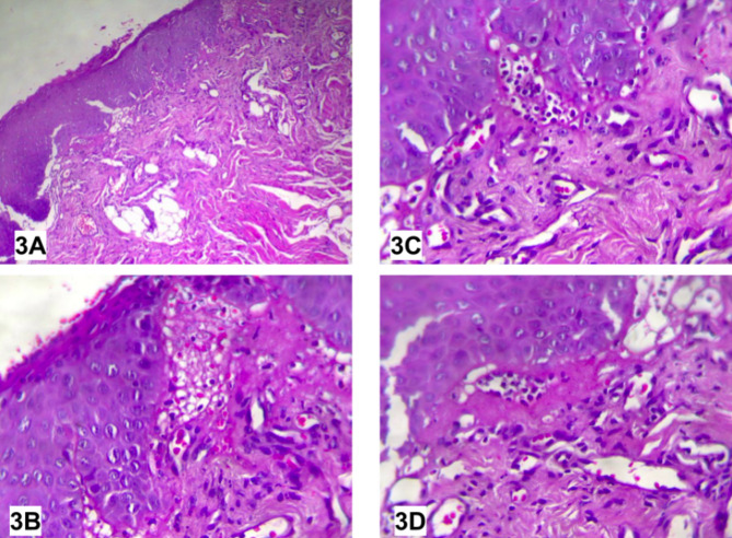
简介:植物性化脓性口炎(PPV)是一种罕见的炎症性皮肤粘膜皮肤病,病因不明。它的特征是出现囊泡、脓疱、植物斑块和红斑病变,通常与潜在的炎症性肠病(如克罗恩病)有关。目的:报告1例克罗恩病患者的植物性化脓性口炎,重点讨论其诊断过程和治疗方法。病例报告:一名47岁女性患者,确诊为AMSP,诊断为克罗恩病,有结肠造口史,主诉皮肤和口腔黏膜病变。皮肤病学检查显示右侧腋窝区一界限清晰、扁平、圆形、边界暗的病变。口腔内检查显示舌侧缘有红斑、网状斑块,并伴有溃疡和小泡。进行了舌部切口活检。组织病理学分析显示结缔组织和上皮棘层溶解主要为嗜酸性炎症浸润。临床表现,病史和组织病理学结果导致诊断为化脓性皮炎-素食性化脓性口炎。患者局部应用0.1%他克莫司软膏,每日2次,连用15天。在此干预后,病变完全消退。结论:素食性化脓性口炎是一种罕见的疾病,可能是克罗恩病的口腔和皮肤表现。皮肤上的植物斑块和口腔内的囊泡性病变应引起临床怀疑。组织病理学检查活检仍然是确定诊断的金标准。治疗通常是直接的,如果处理得当,预后良好。
本文章由计算机程序翻译,如有差异,请以英文原文为准。

Vegetative pyodermatitis-pyostomatitis in a patient with Crohn's disease: a clinical case report.

Vegetative pyodermatitis-pyostomatitis in a patient with Crohn's disease: a clinical case report.

Vegetative pyodermatitis-pyostomatitis in a patient with Crohn's disease: a clinical case report.

Vegetative pyodermatitis-pyostomatitis in a patient with Crohn's disease: a clinical case report.

Introduction: Pyodermatitis-pyostomatitis vegetans (PPV) is a rare inflammatory mucocutaneous dermatosis of unknown etiology. It is characterized by the appearance of vesicles, pustules, vegetating plaques, and erythematous lesions, often associated with underlying inflammatory bowel diseases such as Crohn's disease.

Objective: To report a case of vegetative pyostomatitis in a patient with Crohn's disease, focusing on the diagnostic process and therapeutic approach.

Case report: A 47-year-old female patient, identified as AMSP, with a known diagnosis of Crohn's disease and a history of colostomy, presented with complaints of lesions affecting both the skin and oral mucosa. Dermatological examination revealed a well-defined, flat, round lesion with darkened borders in the right axillary region. Intraoral examination showed erythematous, net-like plaques along the lateral border of the tongue, accompanied by ulcerations and vesicles. An incisional biopsy of the tongue was performed. Histopathological analysis revealed a predominantly eosinophilic inflammatory infiltrate in the connective tissue and epithelial acantholysis. The clinical presentation, patient history, and histopathological findings led to the diagnosis of pyodermatitis-pyostomatitis vegetans. The patient was treated with topical 0.1% tacrolimus ointment applied twice daily for 15 days. Following this intervention, there was complete resolution of the lesions.

Conclusion: Pyodermatitis-pyostomatitis vegetans is an uncommon condition that may serve as an oral and cutaneous manifestation of Crohn's disease. The presence of vegetating plaques on the skin and vesiculopustular lesions in the oral cavity should raise clinical suspicion. Histopathological examination via biopsy remains the gold standard for definitive diagnosis. Treatment is typically straightforward, with an excellent prognosis when managed appropriately.

求助全文
通过发布文献求助,成功后即可免费获取论文全文。 去求助
来源期刊
Diagnostic Pathology
Diagnostic Pathology 医学-病理学
CiteScore
4.60
自引率
0.00%
发文量
93
审稿时长
1 months
期刊介绍: Diagnostic Pathology is an open access, peer-reviewed, online journal that considers research in surgical and clinical pathology, immunology, and biology, with a special focus on cutting-edge approaches in diagnostic pathology and tissue-based therapy. The journal covers all aspects of surgical pathology, including classic diagnostic pathology, prognosis-related diagnosis (tumor stages, prognosis markers, such as MIB-percentage, hormone receptors, etc.), and therapy-related findings. The journal also focuses on the technological aspects of pathology, including molecular biology techniques, morphometry aspects (stereology, DNA analysis, syntactic structure analysis), communication aspects (telecommunication, virtual microscopy, virtual pathology institutions, etc.), and electronic education and quality assurance (for example interactive publication, on-line references with automated updating, etc.).
×
引用
GB/T 7714-2015
复制
MLA
复制
APA
复制
导出至
BibTeX EndNote RefMan NoteFirst NoteExpress
×
提示
您的信息不完整,为了账户安全,请先补充。
现在去补充
×
提示
您因"违规操作"
具体请查看互助需知
我知道了
×
提示
确定
请完成安全验证×
copy
已复制链接
快去分享给好友吧!
我知道了
右上角分享
点击右上角分享
0
联系我们:info@booksci.cn Book学术提供免费学术资源搜索服务,方便国内外学者检索中英文文献。致力于提供最便捷和优质的服务体验。 Copyright © 2023 布克学术 All rights reserved.
京ICP备2023020795号-1
ghs 京公网安备 11010802042870号
Book学术文献互助
Book学术文献互助群
群 号:604180095
Book学术官方微信