椎旁阻滞在高危患者植入式心律转复除颤器开腹胆囊切除术中的应用:1例报告。

IF 2.3 4区 医学 Q2 MEDICINE, GENERAL & INTERNAL
Croatian Medical Journal Pub Date : 2025-07-05
Miroslav Župčić, Katarina Tomulić Brusich, Tin Nadarević, Sandra Graf Župčić, Viktor Duzel, Gzim Redžepi
{"title":"椎旁阻滞在高危患者植入式心律转复除颤器开腹胆囊切除术中的应用:1例报告。","authors":"Miroslav Župčić, Katarina Tomulić Brusich, Tin Nadarević, Sandra Graf Župčić, Viktor Duzel, Gzim Redžepi","doi":"","DOIUrl":null,"url":null,"abstract":"<p><p>We present a case of a 57-year-old male patient (American Society of Anesthesiologists status IV) undergoing open cholecystectomy under unilateral thoracic paravertebral block (TPVB) and sedation. The patient had severe heart failure, a reduced ejection fraction of approximately 16%, and an implanted subcutaneous implantable cardioverter-defibrillator. Using ultrasound, we identified the thoracic (Th) paravertebral spaces on the right side at four levels (from Th6 to Th9) and administered 3.5 mL of 0.5% levobupivacaine per level, for a total of 14 mL. Twenty minutes after TPVB application, we confirmed sensory blockade from the Th5 to Th10 dermatomes. Ten minutes into surgery, during liver capsule retraction, the patient experienced some pain (5/10 on the visual analogue scale, VAS). The pain was successfully treated with rescue analgesia of 10 µg of intravenous (IV) sufentanil and a sedation dose of 50 mg IV propofol. The surgery lasted 45 minutes and was completed uneventfully. For continued intraoperative sedation, we used 10 mg/h remimazolam, maintaining hemodynamic stability. Nine hours after surgery, the patient reported a VAS pain score of 5 and received 75 mg of IV diclofenac sodium, with no further analgesia required. The patient was discharged on postoperative day six. In conclusion, the application of TPVB combined with remimazolam sedation could present a feasible anesthetic and analgesic technique for open cholecystectomy in high-risk cardiac patients.</p>","PeriodicalId":10796,"journal":{"name":"Croatian Medical Journal","volume":"66 3","pages":"227-230"},"PeriodicalIF":2.3000,"publicationDate":"2025-07-05","publicationTypes":"Journal Article","fieldsOfStudy":null,"isOpenAccess":false,"openAccessPdf":"https://www.ncbi.nlm.nih.gov/pmc/articles/PMC12246965/pdf/","citationCount":"0","resultStr":"{\"title\":\"The application of paravertebral block for open cholecystectomy in a high-risk patient with an implantable cardioverter-defibrillator: a case report.\",\"authors\":\"Miroslav Župčić, Katarina Tomulić Brusich, Tin Nadarević, Sandra Graf Župčić, Viktor Duzel, Gzim Redžepi\",\"doi\":\"\",\"DOIUrl\":null,\"url\":null,\"abstract\":\"<p><p>We present a case of a 57-year-old male patient (American Society of Anesthesiologists status IV) undergoing open cholecystectomy under unilateral thoracic paravertebral block (TPVB) and sedation. The patient had severe heart failure, a reduced ejection fraction of approximately 16%, and an implanted subcutaneous implantable cardioverter-defibrillator. Using ultrasound, we identified the thoracic (Th) paravertebral spaces on the right side at four levels (from Th6 to Th9) and administered 3.5 mL of 0.5% levobupivacaine per level, for a total of 14 mL. Twenty minutes after TPVB application, we confirmed sensory blockade from the Th5 to Th10 dermatomes. Ten minutes into surgery, during liver capsule retraction, the patient experienced some pain (5/10 on the visual analogue scale, VAS). The pain was successfully treated with rescue analgesia of 10 µg of intravenous (IV) sufentanil and a sedation dose of 50 mg IV propofol. The surgery lasted 45 minutes and was completed uneventfully. For continued intraoperative sedation, we used 10 mg/h remimazolam, maintaining hemodynamic stability. Nine hours after surgery, the patient reported a VAS pain score of 5 and received 75 mg of IV diclofenac sodium, with no further analgesia required. The patient was discharged on postoperative day six. In conclusion, the application of TPVB combined with remimazolam sedation could present a feasible anesthetic and analgesic technique for open cholecystectomy in high-risk cardiac patients.</p>\",\"PeriodicalId\":10796,\"journal\":{\"name\":\"Croatian Medical Journal\",\"volume\":\"66 3\",\"pages\":\"227-230\"},\"PeriodicalIF\":2.3000,\"publicationDate\":\"2025-07-05\",\"publicationTypes\":\"Journal Article\",\"fieldsOfStudy\":null,\"isOpenAccess\":false,\"openAccessPdf\":\"https://www.ncbi.nlm.nih.gov/pmc/articles/PMC12246965/pdf/\",\"citationCount\":\"0\",\"resultStr\":null,\"platform\":\"Semanticscholar\",\"paperid\":null,\"PeriodicalName\":\"Croatian Medical Journal\",\"FirstCategoryId\":\"3\",\"ListUrlMain\":\"\",\"RegionNum\":4,\"RegionCategory\":\"医学\",\"ArticlePicture\":[],\"TitleCN\":null,\"AbstractTextCN\":null,\"PMCID\":null,\"EPubDate\":\"\",\"PubModel\":\"\",\"JCR\":\"Q2\",\"JCRName\":\"MEDICINE, GENERAL & INTERNAL\",\"Score\":null,\"Total\":0}","platform":"Semanticscholar","paperid":null,"PeriodicalName":"Croatian Medical Journal","FirstCategoryId":"3","ListUrlMain":"","RegionNum":4,"RegionCategory":"医学","ArticlePicture":[],"TitleCN":null,"AbstractTextCN":null,"PMCID":null,"EPubDate":"","PubModel":"","JCR":"Q2","JCRName":"MEDICINE, GENERAL & INTERNAL","Score":null,"Total":0}
引用次数: 0

摘要

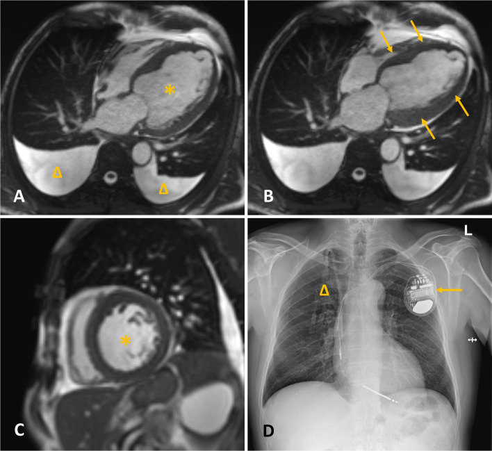
我们报告一例57岁男性患者(美国麻醉师协会IV级)在单侧胸椎旁阻滞(TPVB)和镇静下接受开放胆囊切除术。患者有严重的心力衰竭,射血分数降低了约16%,并植入了皮下植入式心律转复除颤器。通过超声,我们确定了右侧四个水平(从Th6到Th9)的胸椎旁间隙,并每水平给予3.5 mL 0.5%左布比卡因,总共14 mL。应用TPVB 20分钟后,我们证实了从Th5到Th10皮节的感觉阻滞。手术开始10分钟,在肝包膜收回过程中,患者感到一些疼痛(视觉模拟评分为5/10)。静脉注射舒芬太尼10µg,静脉注射异丙酚50 mg镇静镇痛,成功治疗疼痛。手术持续了45分钟,顺利完成。术中持续镇静,我们使用10mg /h雷马唑仑,维持血流动力学稳定。手术后9小时,患者报告VAS疼痛评分为5分,并接受75mg双氯芬酸钠静脉注射,无需进一步镇痛。患者于术后第6天出院。综上所述,TPVB联合雷马唑仑镇静是一种可行的心脏高危患者开腹胆囊切除术麻醉镇痛技术。
本文章由计算机程序翻译,如有差异,请以英文原文为准。

The application of paravertebral block for open cholecystectomy in a high-risk patient with an implantable cardioverter-defibrillator: a case report.

The application of paravertebral block for open cholecystectomy in a high-risk patient with an implantable cardioverter-defibrillator: a case report.

We present a case of a 57-year-old male patient (American Society of Anesthesiologists status IV) undergoing open cholecystectomy under unilateral thoracic paravertebral block (TPVB) and sedation. The patient had severe heart failure, a reduced ejection fraction of approximately 16%, and an implanted subcutaneous implantable cardioverter-defibrillator. Using ultrasound, we identified the thoracic (Th) paravertebral spaces on the right side at four levels (from Th6 to Th9) and administered 3.5 mL of 0.5% levobupivacaine per level, for a total of 14 mL. Twenty minutes after TPVB application, we confirmed sensory blockade from the Th5 to Th10 dermatomes. Ten minutes into surgery, during liver capsule retraction, the patient experienced some pain (5/10 on the visual analogue scale, VAS). The pain was successfully treated with rescue analgesia of 10 µg of intravenous (IV) sufentanil and a sedation dose of 50 mg IV propofol. The surgery lasted 45 minutes and was completed uneventfully. For continued intraoperative sedation, we used 10 mg/h remimazolam, maintaining hemodynamic stability. Nine hours after surgery, the patient reported a VAS pain score of 5 and received 75 mg of IV diclofenac sodium, with no further analgesia required. The patient was discharged on postoperative day six. In conclusion, the application of TPVB combined with remimazolam sedation could present a feasible anesthetic and analgesic technique for open cholecystectomy in high-risk cardiac patients.

求助全文
通过发布文献求助,成功后即可免费获取论文全文。 去求助
来源期刊
Croatian Medical Journal
Croatian Medical Journal 医学-医学:内科
CiteScore
3.00
自引率
5.30%
发文量
105
审稿时长
6-12 weeks
期刊介绍: Croatian Medical Journal (CMJ) is an international peer reviewed journal open to scientists from all fields of biomedicine and health related research. Although CMJ welcomes all contributions that increase and expand on medical knowledge, the two areas are of the special interest: topics globally relevant for biomedicine and health and medicine in developing and emerging countries.
×
引用
GB/T 7714-2015
复制
MLA
复制
APA
复制
导出至
BibTeX EndNote RefMan NoteFirst NoteExpress
×
提示
您的信息不完整,为了账户安全,请先补充。
现在去补充
×
提示
您因"违规操作"
具体请查看互助需知
我知道了
×
提示
确定
请完成安全验证×
copy
已复制链接
快去分享给好友吧!
我知道了
右上角分享
点击右上角分享
0
联系我们:info@booksci.cn Book学术提供免费学术资源搜索服务,方便国内外学者检索中英文文献。致力于提供最便捷和优质的服务体验。 Copyright © 2023 布克学术 All rights reserved.
京ICP备2023020795号-1
ghs 京公网安备 11010802042870号
Book学术文献互助
Book学术文献互助群
群 号:604180095
Book学术官方微信