美容人工虹膜上新生血管增生的研究。

IF 0.6 Q4 OPHTHALMOLOGY
Case Reports in Ophthalmology Pub Date : 2025-06-12 eCollection Date: 2025-01-01 DOI:10.1159/000546599
Natalie di Geronimo, Matilde Roda, Antonio Moramarco, Danilo Iannetta, Luigi Fontana
{"title":"美容人工虹膜上新生血管增生的研究。","authors":"Natalie di Geronimo, Matilde Roda, Antonio Moramarco, Danilo Iannetta, Luigi Fontana","doi":"10.1159/000546599","DOIUrl":null,"url":null,"abstract":"<p><strong>Introduction: </strong>The NewColorIris and BrightOcular implants were initially developed to address congenital iris defects. However, they found application for cosmetic purposes. Unfortunately, these implants are frequently linked to severe complications, including glaucoma, endothelial dysfunction, cataract development, and iris abnormalities. In this context, we present an unusual complication that manifested long after the implantation of the BrightOcular artificial iris.</p><p><strong>Case presentation: </strong>A 28-year-old woman presented to our emergency room with blurred vision in both eyes. She had undergone bilateral cosmetic iris implantation (BrightOcular, Stellar Devices, New York, NY, USA) 6 years earlier in Tunisia. At the first examination, her best corrected visual acuity was hand motion in the right eye and 20/100 in the left eye, and intraocular pressure (IOP) was 45 mm Hg and 30 mm Hg, respectively. Despite the maximum-tolerated glaucoma medical treatment, the elevated IOP persisted, leading to the decision to perform bilateral sequential Baerveldt glaucoma drainage device implantation. However, she subsequently developed combined central retinal artery and vein occlusion in the right eye and hypotensive maculopathy in the left eye; the latter resolving within 1 month. Two months post-surgery, extensive neovascularization above the implant of the right eye was observed, and this was successfully treated with three sequential injections of bevacizumab.</p><p><strong>Conclusion: </strong>Cosmetic iris implantation is associated with severe, sight-threatening complications. Herein, we describe a previously unreported case of angle neovascularization with new vessels growing over the artificial iris implant. The condition regressed after intravitreal anti-vascular endothelial growth factor injections.</p>","PeriodicalId":9635,"journal":{"name":"Case Reports in Ophthalmology","volume":"16 1","pages":"482-488"},"PeriodicalIF":0.6000,"publicationDate":"2025-06-12","publicationTypes":"Journal Article","fieldsOfStudy":null,"isOpenAccess":false,"openAccessPdf":"https://www.ncbi.nlm.nih.gov/pmc/articles/PMC12240572/pdf/","citationCount":"0","resultStr":"{\"title\":\"Neovascular Proliferation over a Cosmetic Artificial Iris Implant.\",\"authors\":\"Natalie di Geronimo, Matilde Roda, Antonio Moramarco, Danilo Iannetta, Luigi Fontana\",\"doi\":\"10.1159/000546599\",\"DOIUrl\":null,\"url\":null,\"abstract\":\"<p><strong>Introduction: </strong>The NewColorIris and BrightOcular implants were initially developed to address congenital iris defects. However, they found application for cosmetic purposes. Unfortunately, these implants are frequently linked to severe complications, including glaucoma, endothelial dysfunction, cataract development, and iris abnormalities. In this context, we present an unusual complication that manifested long after the implantation of the BrightOcular artificial iris.</p><p><strong>Case presentation: </strong>A 28-year-old woman presented to our emergency room with blurred vision in both eyes. She had undergone bilateral cosmetic iris implantation (BrightOcular, Stellar Devices, New York, NY, USA) 6 years earlier in Tunisia. At the first examination, her best corrected visual acuity was hand motion in the right eye and 20/100 in the left eye, and intraocular pressure (IOP) was 45 mm Hg and 30 mm Hg, respectively. Despite the maximum-tolerated glaucoma medical treatment, the elevated IOP persisted, leading to the decision to perform bilateral sequential Baerveldt glaucoma drainage device implantation. However, she subsequently developed combined central retinal artery and vein occlusion in the right eye and hypotensive maculopathy in the left eye; the latter resolving within 1 month. Two months post-surgery, extensive neovascularization above the implant of the right eye was observed, and this was successfully treated with three sequential injections of bevacizumab.</p><p><strong>Conclusion: </strong>Cosmetic iris implantation is associated with severe, sight-threatening complications. Herein, we describe a previously unreported case of angle neovascularization with new vessels growing over the artificial iris implant. The condition regressed after intravitreal anti-vascular endothelial growth factor injections.</p>\",\"PeriodicalId\":9635,\"journal\":{\"name\":\"Case Reports in Ophthalmology\",\"volume\":\"16 1\",\"pages\":\"482-488\"},\"PeriodicalIF\":0.6000,\"publicationDate\":\"2025-06-12\",\"publicationTypes\":\"Journal Article\",\"fieldsOfStudy\":null,\"isOpenAccess\":false,\"openAccessPdf\":\"https://www.ncbi.nlm.nih.gov/pmc/articles/PMC12240572/pdf/\",\"citationCount\":\"0\",\"resultStr\":null,\"platform\":\"Semanticscholar\",\"paperid\":null,\"PeriodicalName\":\"Case Reports in Ophthalmology\",\"FirstCategoryId\":\"1085\",\"ListUrlMain\":\"https://doi.org/10.1159/000546599\",\"RegionNum\":0,\"RegionCategory\":null,\"ArticlePicture\":[],\"TitleCN\":null,\"AbstractTextCN\":null,\"PMCID\":null,\"EPubDate\":\"2025/1/1 0:00:00\",\"PubModel\":\"eCollection\",\"JCR\":\"Q4\",\"JCRName\":\"OPHTHALMOLOGY\",\"Score\":null,\"Total\":0}","platform":"Semanticscholar","paperid":null,"PeriodicalName":"Case Reports in Ophthalmology","FirstCategoryId":"1085","ListUrlMain":"https://doi.org/10.1159/000546599","RegionNum":0,"RegionCategory":null,"ArticlePicture":[],"TitleCN":null,"AbstractTextCN":null,"PMCID":null,"EPubDate":"2025/1/1 0:00:00","PubModel":"eCollection","JCR":"Q4","JCRName":"OPHTHALMOLOGY","Score":null,"Total":0}
引用次数: 0

摘要

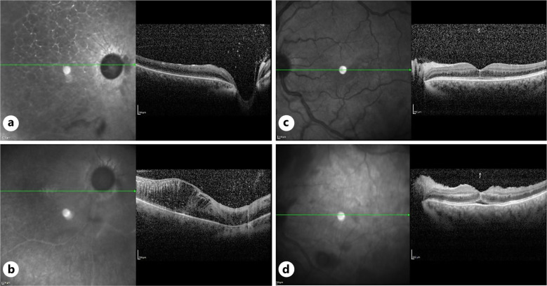
介绍:NewColorIris和brightoular植入物最初是为了解决先天性虹膜缺陷而开发的。然而,他们发现了用于美容目的的应用。不幸的是,这些植入物经常与严重的并发症有关,包括青光眼、内皮功能障碍、白内障发展和虹膜异常。在这种情况下,我们提出了一个不寻常的并发症,表现在植入术后很长一段时间亮眼人工虹膜。病例介绍:一位28岁的女性因双眼视力模糊来到我们的急诊室。6年前,她在突尼斯接受了双侧美容虹膜植入手术(brightoular, Stellar Devices, New York, NY, USA)。首次检查时,其最佳矫正视力为右眼手部运动,左眼20/100,眼压(IOP)分别为45 mm Hg和30 mm Hg。尽管进行了最大耐受性的青光眼药物治疗,但IOP持续升高,导致决定进行双侧顺序Baerveldt青光眼引流装置植入术。然而,她随后出现右眼视网膜中央动脉和静脉合并闭塞和左眼低血压黄斑病变;后者在1个月内解决。术后两个月,观察到右眼植入物上方有广泛的新生血管形成,并通过连续三次注射贝伐单抗成功治疗。结论:美容性虹膜植入术存在严重的、威胁视力的并发症。在此,我们描述了一个以前未报道的角度新生血管与新血管生长在人工虹膜植入物。玻璃体内注射抗血管内皮生长因子后病情有所好转。
本文章由计算机程序翻译,如有差异,请以英文原文为准。

Neovascular Proliferation over a Cosmetic Artificial Iris Implant.

Neovascular Proliferation over a Cosmetic Artificial Iris Implant.

Neovascular Proliferation over a Cosmetic Artificial Iris Implant.

Neovascular Proliferation over a Cosmetic Artificial Iris Implant.

Introduction: The NewColorIris and BrightOcular implants were initially developed to address congenital iris defects. However, they found application for cosmetic purposes. Unfortunately, these implants are frequently linked to severe complications, including glaucoma, endothelial dysfunction, cataract development, and iris abnormalities. In this context, we present an unusual complication that manifested long after the implantation of the BrightOcular artificial iris.

Case presentation: A 28-year-old woman presented to our emergency room with blurred vision in both eyes. She had undergone bilateral cosmetic iris implantation (BrightOcular, Stellar Devices, New York, NY, USA) 6 years earlier in Tunisia. At the first examination, her best corrected visual acuity was hand motion in the right eye and 20/100 in the left eye, and intraocular pressure (IOP) was 45 mm Hg and 30 mm Hg, respectively. Despite the maximum-tolerated glaucoma medical treatment, the elevated IOP persisted, leading to the decision to perform bilateral sequential Baerveldt glaucoma drainage device implantation. However, she subsequently developed combined central retinal artery and vein occlusion in the right eye and hypotensive maculopathy in the left eye; the latter resolving within 1 month. Two months post-surgery, extensive neovascularization above the implant of the right eye was observed, and this was successfully treated with three sequential injections of bevacizumab.

Conclusion: Cosmetic iris implantation is associated with severe, sight-threatening complications. Herein, we describe a previously unreported case of angle neovascularization with new vessels growing over the artificial iris implant. The condition regressed after intravitreal anti-vascular endothelial growth factor injections.

求助全文
通过发布文献求助,成功后即可免费获取论文全文。 去求助
来源期刊
CiteScore
0.90
自引率
0.00%
发文量
129
审稿时长
12 weeks
期刊介绍: This peer-reviewed online-only journal publishes original case reports covering the entire spectrum of ophthalmology, including prevention, diagnosis, treatment, toxicities of therapy, supportive care, quality-of-life, and survivorship issues. The submission of negative results is strongly encouraged. The journal will also accept case reports dealing with the use of novel technologies, both in the arena of diagnosis and treatment. Supplementary material is welcomed. The intent of the journal is to provide clinicians and researchers with a tool to disseminate their personal experiences to a wider public as well as to review interesting cases encountered by colleagues all over the world. Universally used terms can be searched across the entire growing collection of case reports, further facilitating the retrieval of specific information. Following the open access principle, the entire contents can be retrieved at no charge, guaranteeing easy access to this valuable source of anecdotal information at all times.
×
引用
GB/T 7714-2015
复制
MLA
复制
APA
复制
导出至
BibTeX EndNote RefMan NoteFirst NoteExpress
×
提示
您的信息不完整,为了账户安全,请先补充。
现在去补充
×
提示
您因"违规操作"
具体请查看互助需知
我知道了
×
提示
确定
请完成安全验证×
copy
已复制链接
快去分享给好友吧!
我知道了
右上角分享
点击右上角分享
0
联系我们:info@booksci.cn Book学术提供免费学术资源搜索服务,方便国内外学者检索中英文文献。致力于提供最便捷和优质的服务体验。 Copyright © 2023 布克学术 All rights reserved.
京ICP备2023020795号-1
ghs 京公网安备 11010802042870号
Book学术文献互助
Book学术文献互助群
群 号:604180095
Book学术官方微信