b子宫腺肌症子宫切除术后输尿管子宫内膜异位症1例报告并文献复习。

IF 1.9 3区 医学 Q3 UROLOGY & NEPHROLOGY
Yujuan Lu, Yu Wang
{"title":"b子宫腺肌症子宫切除术后输尿管子宫内膜异位症1例报告并文献复习。","authors":"Yujuan Lu, Yu Wang","doi":"10.1186/s12894-025-01866-9","DOIUrl":null,"url":null,"abstract":"<p><strong>Objective: </strong>To explore the necessity of long-term pharmacological management following total hysterectomy for adenomyosis.</p><p><strong>Methods: </strong>A case of ureteral endometriosis identified over one year after laparoscopic total hysterectomy and bilateral salpingectomy for adenomyosis was retrospectively analyzed. Clinical data were reviewed, and related literature was summarized for discussion.</p><p><strong>Results: </strong>The patient underwent laparoscopic total hysterectomy and bilateral salpingectomy at our hospital more than one year prior because of adenomyosis. No pharmacological treatment was provided postsurgery. One year later, the patient presented with right lumbar discomfort. Imaging revealed hydronephrosis of the right kidney and dilation of the right ureter, leading to a diagnosis of right ureteral endometriosis. Laparoscopic excision of the ureteral endometriotic lesion was performed. Pathology confirmed right ureteral endometriosis with glandular cystic expansion. Postsurgery, the patient was treated with gonadotropin-releasing hormone agonist (GnRH-a) therapy (3.6 mg of goserelin via subcutaneous injection every 28 days for a total of six cycles). Treatment is ongoing. Follow-up ultrasound revealed no abnormalities in the kidneys or ureters, and no recurrence was observed during the five months of follow-up.</p><p><strong>Conclusion: </strong>Adenomyosis is often associated with deep endometriosis. Even if no evident deep pelvic endometriosis is identified during total hysterectomy, long-term pharmacological management postsurgery may still be necessary. This approach can reduce the incidence of deep endometriosis in organs such as the bladder, ureters, and intestines.</p>","PeriodicalId":9285,"journal":{"name":"BMC Urology","volume":"25 1","pages":"164"},"PeriodicalIF":1.9000,"publicationDate":"2025-07-09","publicationTypes":"Journal Article","fieldsOfStudy":null,"isOpenAccess":false,"openAccessPdf":"https://www.ncbi.nlm.nih.gov/pmc/articles/PMC12239412/pdf/","citationCount":"0","resultStr":"{\"title\":\"Ureteral endometriosis post-hysterectomy for adenomyosis: a case report and literature review.\",\"authors\":\"Yujuan Lu, Yu Wang\",\"doi\":\"10.1186/s12894-025-01866-9\",\"DOIUrl\":null,\"url\":null,\"abstract\":\"<p><strong>Objective: </strong>To explore the necessity of long-term pharmacological management following total hysterectomy for adenomyosis.</p><p><strong>Methods: </strong>A case of ureteral endometriosis identified over one year after laparoscopic total hysterectomy and bilateral salpingectomy for adenomyosis was retrospectively analyzed. Clinical data were reviewed, and related literature was summarized for discussion.</p><p><strong>Results: </strong>The patient underwent laparoscopic total hysterectomy and bilateral salpingectomy at our hospital more than one year prior because of adenomyosis. No pharmacological treatment was provided postsurgery. One year later, the patient presented with right lumbar discomfort. Imaging revealed hydronephrosis of the right kidney and dilation of the right ureter, leading to a diagnosis of right ureteral endometriosis. Laparoscopic excision of the ureteral endometriotic lesion was performed. Pathology confirmed right ureteral endometriosis with glandular cystic expansion. Postsurgery, the patient was treated with gonadotropin-releasing hormone agonist (GnRH-a) therapy (3.6 mg of goserelin via subcutaneous injection every 28 days for a total of six cycles). Treatment is ongoing. Follow-up ultrasound revealed no abnormalities in the kidneys or ureters, and no recurrence was observed during the five months of follow-up.</p><p><strong>Conclusion: </strong>Adenomyosis is often associated with deep endometriosis. Even if no evident deep pelvic endometriosis is identified during total hysterectomy, long-term pharmacological management postsurgery may still be necessary. This approach can reduce the incidence of deep endometriosis in organs such as the bladder, ureters, and intestines.</p>\",\"PeriodicalId\":9285,\"journal\":{\"name\":\"BMC Urology\",\"volume\":\"25 1\",\"pages\":\"164\"},\"PeriodicalIF\":1.9000,\"publicationDate\":\"2025-07-09\",\"publicationTypes\":\"Journal Article\",\"fieldsOfStudy\":null,\"isOpenAccess\":false,\"openAccessPdf\":\"https://www.ncbi.nlm.nih.gov/pmc/articles/PMC12239412/pdf/\",\"citationCount\":\"0\",\"resultStr\":null,\"platform\":\"Semanticscholar\",\"paperid\":null,\"PeriodicalName\":\"BMC Urology\",\"FirstCategoryId\":\"3\",\"ListUrlMain\":\"https://doi.org/10.1186/s12894-025-01866-9\",\"RegionNum\":3,\"RegionCategory\":\"医学\",\"ArticlePicture\":[],\"TitleCN\":null,\"AbstractTextCN\":null,\"PMCID\":null,\"EPubDate\":\"\",\"PubModel\":\"\",\"JCR\":\"Q3\",\"JCRName\":\"UROLOGY & NEPHROLOGY\",\"Score\":null,\"Total\":0}","platform":"Semanticscholar","paperid":null,"PeriodicalName":"BMC Urology","FirstCategoryId":"3","ListUrlMain":"https://doi.org/10.1186/s12894-025-01866-9","RegionNum":3,"RegionCategory":"医学","ArticlePicture":[],"TitleCN":null,"AbstractTextCN":null,"PMCID":null,"EPubDate":"","PubModel":"","JCR":"Q3","JCRName":"UROLOGY & NEPHROLOGY","Score":null,"Total":0}
引用次数: 0

摘要

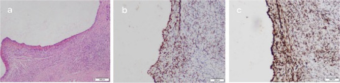
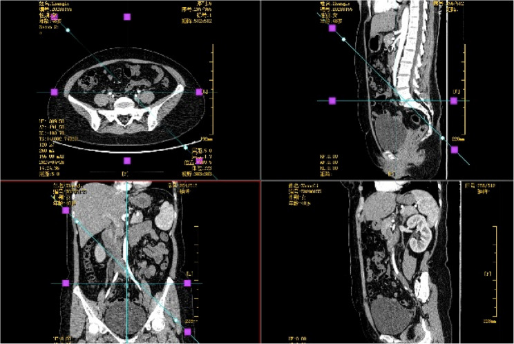
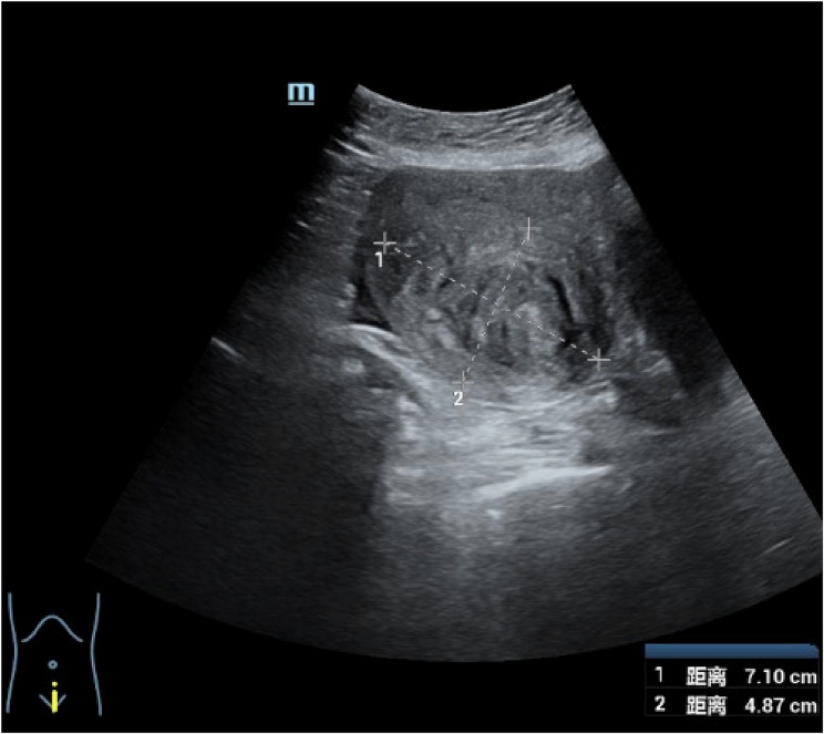
目的:探讨子宫腺肌症全子宫切除术后长期药物治疗的必要性。方法:回顾性分析1例腹腔镜全子宫双侧输卵管切除术后1年多确诊的输尿管子宫内膜异位症。复习临床资料,并对相关文献进行总结讨论。结果:患者于1年多前在我院行腹腔镜全子宫切除术及双侧输卵管切除术。术后未给予药物治疗。一年后,患者出现右腰椎不适。影像显示右肾积水及右输尿管扩张,诊断为右输尿管子宫内膜异位症。腹腔镜切除输尿管子宫内膜异位症病变。病理证实右侧输尿管子宫内膜异位症伴腺体囊性扩张。术后给予促性腺激素释放激素激动剂(GnRH-a)治疗(每28天皮下注射goserelin 3.6 mg,共6个周期)。治疗正在进行中。随访超声未见肾脏及输尿管异常,随访5个月未见复发。结论:子宫腺肌症常与深部子宫内膜异位症相关。即使在全子宫切除术中没有发现明显的深盆腔子宫内膜异位症,术后长期的药物管理可能仍然是必要的。这种方法可以减少膀胱、输尿管和肠道等器官深部子宫内膜异位症的发生率。
本文章由计算机程序翻译,如有差异,请以英文原文为准。

Ureteral endometriosis post-hysterectomy for adenomyosis: a case report and literature review.

Ureteral endometriosis post-hysterectomy for adenomyosis: a case report and literature review.

Ureteral endometriosis post-hysterectomy for adenomyosis: a case report and literature review.

Ureteral endometriosis post-hysterectomy for adenomyosis: a case report and literature review.

Objective: To explore the necessity of long-term pharmacological management following total hysterectomy for adenomyosis.

Methods: A case of ureteral endometriosis identified over one year after laparoscopic total hysterectomy and bilateral salpingectomy for adenomyosis was retrospectively analyzed. Clinical data were reviewed, and related literature was summarized for discussion.

Results: The patient underwent laparoscopic total hysterectomy and bilateral salpingectomy at our hospital more than one year prior because of adenomyosis. No pharmacological treatment was provided postsurgery. One year later, the patient presented with right lumbar discomfort. Imaging revealed hydronephrosis of the right kidney and dilation of the right ureter, leading to a diagnosis of right ureteral endometriosis. Laparoscopic excision of the ureteral endometriotic lesion was performed. Pathology confirmed right ureteral endometriosis with glandular cystic expansion. Postsurgery, the patient was treated with gonadotropin-releasing hormone agonist (GnRH-a) therapy (3.6 mg of goserelin via subcutaneous injection every 28 days for a total of six cycles). Treatment is ongoing. Follow-up ultrasound revealed no abnormalities in the kidneys or ureters, and no recurrence was observed during the five months of follow-up.

Conclusion: Adenomyosis is often associated with deep endometriosis. Even if no evident deep pelvic endometriosis is identified during total hysterectomy, long-term pharmacological management postsurgery may still be necessary. This approach can reduce the incidence of deep endometriosis in organs such as the bladder, ureters, and intestines.

求助全文
通过发布文献求助,成功后即可免费获取论文全文。 去求助
来源期刊
BMC Urology
BMC Urology UROLOGY & NEPHROLOGY-
CiteScore
3.20
自引率
0.00%
发文量
177
审稿时长
>12 weeks
期刊介绍: BMC Urology is an open access journal publishing original peer-reviewed research articles in all aspects of the prevention, diagnosis and management of urological disorders, as well as related molecular genetics, pathophysiology, and epidemiology. The journal considers manuscripts in the following broad subject-specific sections of urology: Endourology and technology Epidemiology and health outcomes Pediatric urology Pre-clinical and basic research Reconstructive urology Sexual function and fertility Urological imaging Urological oncology Voiding dysfunction Case reports.
×
引用
GB/T 7714-2015
复制
MLA
复制
APA
复制
导出至
BibTeX EndNote RefMan NoteFirst NoteExpress
×
提示
您的信息不完整,为了账户安全,请先补充。
现在去补充
×
提示
您因"违规操作"
具体请查看互助需知
我知道了
×
提示
确定
请完成安全验证×
copy
已复制链接
快去分享给好友吧!
我知道了
右上角分享
点击右上角分享
0
联系我们:info@booksci.cn Book学术提供免费学术资源搜索服务,方便国内外学者检索中英文文献。致力于提供最便捷和优质的服务体验。 Copyright © 2023 布克学术 All rights reserved.
京ICP备2023020795号-1
ghs 京公网安备 11010802042870号
Book学术文献互助
Book学术文献互助群
群 号:604180095
Book学术官方微信