H9N2禽流感病毒复制缺陷重组病毒及细胞疫苗的构建

IF 3.5 1区 农林科学 Q1 VETERINARY SCIENCES
Lijin Lai, Rui Li, Yanan Chen, Junyuan Deng, Siyao Yu, Qiuyan Lin, Libin Chen, Tao Ren
{"title":"H9N2禽流感病毒复制缺陷重组病毒及细胞疫苗的构建","authors":"Lijin Lai, Rui Li, Yanan Chen, Junyuan Deng, Siyao Yu, Qiuyan Lin, Libin Chen, Tao Ren","doi":"10.1186/s13567-025-01577-x","DOIUrl":null,"url":null,"abstract":"<p><p>The H9N2 subtype of avian influenza is highly contagious, and although it is classified as a low-pathogenic avian influenza virus, its tendency to recombine with other subtypes of avian influenza viruses has made it a potential problem for the poultry industry. Vaccines currently used to prevent this disease are all inactivated, making it difficult to stimulate long-lasting immunity, and have a very weak ability to trigger cellular immunity, thus failing to address the problem of virus shedding. Live-attenuated vaccines are capable of stimulating cellular immunity but carry the risk of recombination with wild-type strains. In this study, we successfully rescued a replication-deficient H9N2 strain (H9-SD18GD12HA) using reverse genetic techniques, which was obtained by replacing the neuraminidase (NA) gene with the open reading frame of the hemagglutinin (HA) gene with the PR8 strain as the backbone. Dynamic growth results showed that H9-SD18GD12HA can proliferate only under NA-containing conditions and therefore cannot grow in normal animals or cells. After immunization of chickens with H9-SD18GD12HA using eye and nose drops, both humoral and cellular immunity were stimulated, and some degree of reduction in virus shedding was observed. These results indicate that H9-SD18GD12HA has good immunogenicity, does not proliferate in vivo, and has the potential to be developed into a novel live-attenuated vaccine for the H9N2 subtype of avian influenza.</p>","PeriodicalId":23658,"journal":{"name":"Veterinary Research","volume":"56 1","pages":"144"},"PeriodicalIF":3.5000,"publicationDate":"2025-07-08","publicationTypes":"Journal Article","fieldsOfStudy":null,"isOpenAccess":false,"openAccessPdf":"https://www.ncbi.nlm.nih.gov/pmc/articles/PMC12235990/pdf/","citationCount":"0","resultStr":"{\"title\":\"Construction of a replication-defective recombinant virus and cell-based vaccine for H9N2 avian influenza virus.\",\"authors\":\"Lijin Lai, Rui Li, Yanan Chen, Junyuan Deng, Siyao Yu, Qiuyan Lin, Libin Chen, Tao Ren\",\"doi\":\"10.1186/s13567-025-01577-x\",\"DOIUrl\":null,\"url\":null,\"abstract\":\"<p><p>The H9N2 subtype of avian influenza is highly contagious, and although it is classified as a low-pathogenic avian influenza virus, its tendency to recombine with other subtypes of avian influenza viruses has made it a potential problem for the poultry industry. Vaccines currently used to prevent this disease are all inactivated, making it difficult to stimulate long-lasting immunity, and have a very weak ability to trigger cellular immunity, thus failing to address the problem of virus shedding. Live-attenuated vaccines are capable of stimulating cellular immunity but carry the risk of recombination with wild-type strains. In this study, we successfully rescued a replication-deficient H9N2 strain (H9-SD18GD12HA) using reverse genetic techniques, which was obtained by replacing the neuraminidase (NA) gene with the open reading frame of the hemagglutinin (HA) gene with the PR8 strain as the backbone. Dynamic growth results showed that H9-SD18GD12HA can proliferate only under NA-containing conditions and therefore cannot grow in normal animals or cells. After immunization of chickens with H9-SD18GD12HA using eye and nose drops, both humoral and cellular immunity were stimulated, and some degree of reduction in virus shedding was observed. These results indicate that H9-SD18GD12HA has good immunogenicity, does not proliferate in vivo, and has the potential to be developed into a novel live-attenuated vaccine for the H9N2 subtype of avian influenza.</p>\",\"PeriodicalId\":23658,\"journal\":{\"name\":\"Veterinary Research\",\"volume\":\"56 1\",\"pages\":\"144\"},\"PeriodicalIF\":3.5000,\"publicationDate\":\"2025-07-08\",\"publicationTypes\":\"Journal Article\",\"fieldsOfStudy\":null,\"isOpenAccess\":false,\"openAccessPdf\":\"https://www.ncbi.nlm.nih.gov/pmc/articles/PMC12235990/pdf/\",\"citationCount\":\"0\",\"resultStr\":null,\"platform\":\"Semanticscholar\",\"paperid\":null,\"PeriodicalName\":\"Veterinary Research\",\"FirstCategoryId\":\"97\",\"ListUrlMain\":\"https://doi.org/10.1186/s13567-025-01577-x\",\"RegionNum\":1,\"RegionCategory\":\"农林科学\",\"ArticlePicture\":[],\"TitleCN\":null,\"AbstractTextCN\":null,\"PMCID\":null,\"EPubDate\":\"\",\"PubModel\":\"\",\"JCR\":\"Q1\",\"JCRName\":\"VETERINARY SCIENCES\",\"Score\":null,\"Total\":0}","platform":"Semanticscholar","paperid":null,"PeriodicalName":"Veterinary Research","FirstCategoryId":"97","ListUrlMain":"https://doi.org/10.1186/s13567-025-01577-x","RegionNum":1,"RegionCategory":"农林科学","ArticlePicture":[],"TitleCN":null,"AbstractTextCN":null,"PMCID":null,"EPubDate":"","PubModel":"","JCR":"Q1","JCRName":"VETERINARY SCIENCES","Score":null,"Total":0}
引用次数: 0

摘要

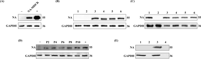
禽流感的H9N2亚型具有高度传染性,虽然它被归类为低致病性禽流感病毒,但它有与其他亚型禽流感病毒重组的倾向,这使它成为家禽业的一个潜在问题。目前用于预防这种疾病的疫苗都是灭活的,很难激发持久的免疫,并且触发细胞免疫的能力非常弱,因此无法解决病毒脱落的问题。减毒活疫苗能够刺激细胞免疫,但有与野生型毒株重组的风险。在本研究中,我们利用以PR8菌株为主干的血凝素(HA)基因的开放阅读框取代神经氨酸酶(NA)基因,利用反向遗传技术成功拯救了一株复制缺陷型H9N2菌株(H9-SD18GD12HA)。动态生长结果表明,H9-SD18GD12HA只能在含na条件下增殖,不能在正常动物或细胞中生长。H9-SD18GD12HA滴眼液和滴鼻液免疫鸡后,刺激了体液免疫和细胞免疫,并观察到病毒脱落有一定程度的减少。这些结果表明,H9-SD18GD12HA具有良好的免疫原性,在体内不增殖,具有开发成新型H9N2亚型禽流感减毒活疫苗的潜力。
本文章由计算机程序翻译,如有差异,请以英文原文为准。

Construction of a replication-defective recombinant virus and cell-based vaccine for H9N2 avian influenza virus.

Construction of a replication-defective recombinant virus and cell-based vaccine for H9N2 avian influenza virus.

Construction of a replication-defective recombinant virus and cell-based vaccine for H9N2 avian influenza virus.

Construction of a replication-defective recombinant virus and cell-based vaccine for H9N2 avian influenza virus.

The H9N2 subtype of avian influenza is highly contagious, and although it is classified as a low-pathogenic avian influenza virus, its tendency to recombine with other subtypes of avian influenza viruses has made it a potential problem for the poultry industry. Vaccines currently used to prevent this disease are all inactivated, making it difficult to stimulate long-lasting immunity, and have a very weak ability to trigger cellular immunity, thus failing to address the problem of virus shedding. Live-attenuated vaccines are capable of stimulating cellular immunity but carry the risk of recombination with wild-type strains. In this study, we successfully rescued a replication-deficient H9N2 strain (H9-SD18GD12HA) using reverse genetic techniques, which was obtained by replacing the neuraminidase (NA) gene with the open reading frame of the hemagglutinin (HA) gene with the PR8 strain as the backbone. Dynamic growth results showed that H9-SD18GD12HA can proliferate only under NA-containing conditions and therefore cannot grow in normal animals or cells. After immunization of chickens with H9-SD18GD12HA using eye and nose drops, both humoral and cellular immunity were stimulated, and some degree of reduction in virus shedding was observed. These results indicate that H9-SD18GD12HA has good immunogenicity, does not proliferate in vivo, and has the potential to be developed into a novel live-attenuated vaccine for the H9N2 subtype of avian influenza.

求助全文
通过发布文献求助,成功后即可免费获取论文全文。 去求助
来源期刊
Veterinary Research
Veterinary Research 农林科学-兽医学
CiteScore
7.00
自引率
4.50%
发文量
92
审稿时长
3 months
期刊介绍: Veterinary Research is an open access journal that publishes high quality and novel research and review articles focusing on all aspects of infectious diseases and host-pathogen interaction in animals.
×
引用
GB/T 7714-2015
复制
MLA
复制
APA
复制
导出至
BibTeX EndNote RefMan NoteFirst NoteExpress
×
提示
您的信息不完整,为了账户安全,请先补充。
现在去补充
×
提示
您因"违规操作"
具体请查看互助需知
我知道了
×
提示
确定
请完成安全验证×
copy
已复制链接
快去分享给好友吧!
我知道了
右上角分享
点击右上角分享
0
联系我们:info@booksci.cn Book学术提供免费学术资源搜索服务,方便国内外学者检索中英文文献。致力于提供最便捷和优质的服务体验。 Copyright © 2023 布克学术 All rights reserved.
京ICP备2023020795号-1
ghs 京公网安备 11010802042870号
Book学术文献互助
Book学术文献互助群
群 号:604180095
Book学术官方微信