慢性血栓栓塞性高血压的预测因素在计算机断层血管造影。只有学习。

Polish journal of radiology Pub Date : 2025-05-29 eCollection Date: 2025-01-01 DOI:10.5114/pjr/204159
Konstantin Szewczuk, Olga Dzikowska-Diduch, Marek Roik, Piotr Pruszczyk, Dorota Piotrowska-Kownacka, Marek Gołębiowski
{"title":"慢性血栓栓塞性高血压的预测因素在计算机断层血管造影。只有学习。","authors":"Konstantin Szewczuk, Olga Dzikowska-Diduch, Marek Roik, Piotr Pruszczyk, Dorota Piotrowska-Kownacka, Marek Gołębiowski","doi":"10.5114/pjr/204159","DOIUrl":null,"url":null,"abstract":"<p><strong>Purpose: </strong>Chronic thromboembolic pulmonary hypertension (CTEPH) is a life-threatening but curable form of pulmonary hypertension. Early diagnosis is crucial for effective management and improved outcomes. Computed tomography pulmonary angiography (CTPA), characterised by high sensitivity and specificity, is integral to diagnosing CTEPH by identifying thrombi and associated pulmonary and mediastinal abnormalities. However, radiological features often overlap with other diseases, and their detection depends on radiologist expertise. This study aims to assess the frequency of characteristic radiological features in CTEPH, compare their prevalence with chronic thromboembolic disease (CTED), pulmonary arterial hypertension (PAH), and acute pulmonary embolism (APE), and evaluate their diagnostic predictive value.</p><p><strong>Material and methods: </strong>This retrospective study analysed 115 patients divided into CTEPH (<i>n</i> = 35), CTED (<i>n</i> = 20), PAH (<i>n</i> = 24), and APE (<i>n</i> = 36) groups, matched by age and sex. CTPA scans were reviewed for signs of chronic embolism, pulmonary hypertension, and right heart overload. Sensitivity, specificity, accuracy, and predictive values were assessed using ROC analysis, expressed as the area under the curve (AUC).</p><p><strong>Results: </strong>CTEPH patients exhibited vessel narrowing, intimal irregularities, bands, and webs in all cases (100%), with the highest diagnostic value at the segmental level (AUC = 0.906). Mosaic perfusion and variability in vessel size demonstrated moderate predictive value (AUC = 0.740 and AUC = 0.788, respectively).</p><p><strong>Conclusions: </strong>CTPA is essential for differentiating CTEPH from other pulmonary vascular conditions. While no single feature achieves 100% predictive value, a comprehensive approach integrating vascular, parenchymal, and cardiac findings is critical for accurate diagnosis.</p>","PeriodicalId":94174,"journal":{"name":"Polish journal of radiology","volume":"90 ","pages":"e267-e278"},"PeriodicalIF":0.0000,"publicationDate":"2025-05-29","publicationTypes":"Journal Article","fieldsOfStudy":null,"isOpenAccess":false,"openAccessPdf":"https://www.ncbi.nlm.nih.gov/pmc/articles/PMC12232410/pdf/","citationCount":"0","resultStr":"{\"title\":\"Chronic thromboembolic hypertension predictors in computed tomography angiography. Single-centre study.\",\"authors\":\"Konstantin Szewczuk, Olga Dzikowska-Diduch, Marek Roik, Piotr Pruszczyk, Dorota Piotrowska-Kownacka, Marek Gołębiowski\",\"doi\":\"10.5114/pjr/204159\",\"DOIUrl\":null,\"url\":null,\"abstract\":\"<p><strong>Purpose: </strong>Chronic thromboembolic pulmonary hypertension (CTEPH) is a life-threatening but curable form of pulmonary hypertension. Early diagnosis is crucial for effective management and improved outcomes. Computed tomography pulmonary angiography (CTPA), characterised by high sensitivity and specificity, is integral to diagnosing CTEPH by identifying thrombi and associated pulmonary and mediastinal abnormalities. However, radiological features often overlap with other diseases, and their detection depends on radiologist expertise. This study aims to assess the frequency of characteristic radiological features in CTEPH, compare their prevalence with chronic thromboembolic disease (CTED), pulmonary arterial hypertension (PAH), and acute pulmonary embolism (APE), and evaluate their diagnostic predictive value.</p><p><strong>Material and methods: </strong>This retrospective study analysed 115 patients divided into CTEPH (<i>n</i> = 35), CTED (<i>n</i> = 20), PAH (<i>n</i> = 24), and APE (<i>n</i> = 36) groups, matched by age and sex. CTPA scans were reviewed for signs of chronic embolism, pulmonary hypertension, and right heart overload. Sensitivity, specificity, accuracy, and predictive values were assessed using ROC analysis, expressed as the area under the curve (AUC).</p><p><strong>Results: </strong>CTEPH patients exhibited vessel narrowing, intimal irregularities, bands, and webs in all cases (100%), with the highest diagnostic value at the segmental level (AUC = 0.906). Mosaic perfusion and variability in vessel size demonstrated moderate predictive value (AUC = 0.740 and AUC = 0.788, respectively).</p><p><strong>Conclusions: </strong>CTPA is essential for differentiating CTEPH from other pulmonary vascular conditions. While no single feature achieves 100% predictive value, a comprehensive approach integrating vascular, parenchymal, and cardiac findings is critical for accurate diagnosis.</p>\",\"PeriodicalId\":94174,\"journal\":{\"name\":\"Polish journal of radiology\",\"volume\":\"90 \",\"pages\":\"e267-e278\"},\"PeriodicalIF\":0.0000,\"publicationDate\":\"2025-05-29\",\"publicationTypes\":\"Journal Article\",\"fieldsOfStudy\":null,\"isOpenAccess\":false,\"openAccessPdf\":\"https://www.ncbi.nlm.nih.gov/pmc/articles/PMC12232410/pdf/\",\"citationCount\":\"0\",\"resultStr\":null,\"platform\":\"Semanticscholar\",\"paperid\":null,\"PeriodicalName\":\"Polish journal of radiology\",\"FirstCategoryId\":\"1085\",\"ListUrlMain\":\"https://doi.org/10.5114/pjr/204159\",\"RegionNum\":0,\"RegionCategory\":null,\"ArticlePicture\":[],\"TitleCN\":null,\"AbstractTextCN\":null,\"PMCID\":null,\"EPubDate\":\"2025/1/1 0:00:00\",\"PubModel\":\"eCollection\",\"JCR\":\"\",\"JCRName\":\"\",\"Score\":null,\"Total\":0}","platform":"Semanticscholar","paperid":null,"PeriodicalName":"Polish journal of radiology","FirstCategoryId":"1085","ListUrlMain":"https://doi.org/10.5114/pjr/204159","RegionNum":0,"RegionCategory":null,"ArticlePicture":[],"TitleCN":null,"AbstractTextCN":null,"PMCID":null,"EPubDate":"2025/1/1 0:00:00","PubModel":"eCollection","JCR":"","JCRName":"","Score":null,"Total":0}
引用次数: 0

摘要

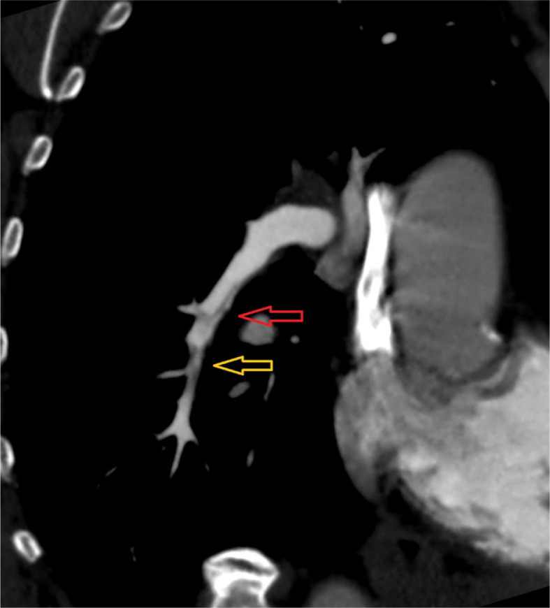
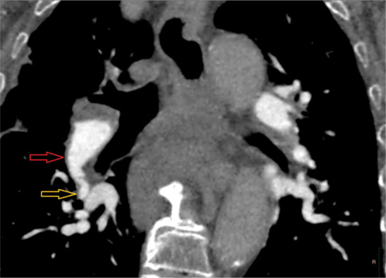
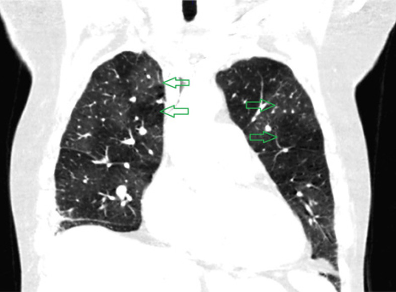
目的:慢性血栓栓塞性肺动脉高压(CTEPH)是一种危及生命但可治愈的肺动脉高压形式。早期诊断对于有效管理和改善预后至关重要。计算机断层肺血管造影(CTPA)具有高灵敏度和特异性,通过识别血栓和相关的肺部和纵隔异常,是诊断CTEPH不可或缺的一部分。然而,放射学特征经常与其他疾病重叠,其检测依赖于放射科医生的专业知识。本研究旨在评估CTEPH的特征性影像学特征的频率,并将其与慢性血栓栓塞性疾病(CTED)、肺动脉高压(PAH)和急性肺栓塞(APE)的患病率进行比较,并评估其诊断预测价值。材料和方法:本回顾性研究分析了115例患者,按年龄和性别分为CTEPH (n = 35)、CTED (n = 20)、PAH (n = 24)和APE (n = 36)组。检查CTPA扫描是否有慢性栓塞、肺动脉高压和右心负荷过重的迹象。采用ROC分析评估敏感性、特异性、准确性和预测值,以曲线下面积(AUC)表示。结果:CTEPH患者均表现为血管狭窄、内膜不规则、带状、网状(100%),节段水平诊断价值最高(AUC = 0.906)。马赛克灌注和血管大小变异性具有中等预测价值(AUC分别为0.740和0.788)。结论:CTPA是鉴别CTEPH与其他肺血管疾病的关键。虽然没有单一的特征能达到100%的预测价值,但综合血管、实质和心脏检查的综合方法对于准确诊断至关重要。
本文章由计算机程序翻译,如有差异,请以英文原文为准。

Chronic thromboembolic hypertension predictors in computed tomography angiography. Single-centre study.

Chronic thromboembolic hypertension predictors in computed tomography angiography. Single-centre study.

Chronic thromboembolic hypertension predictors in computed tomography angiography. Single-centre study.

Chronic thromboembolic hypertension predictors in computed tomography angiography. Single-centre study.

Purpose: Chronic thromboembolic pulmonary hypertension (CTEPH) is a life-threatening but curable form of pulmonary hypertension. Early diagnosis is crucial for effective management and improved outcomes. Computed tomography pulmonary angiography (CTPA), characterised by high sensitivity and specificity, is integral to diagnosing CTEPH by identifying thrombi and associated pulmonary and mediastinal abnormalities. However, radiological features often overlap with other diseases, and their detection depends on radiologist expertise. This study aims to assess the frequency of characteristic radiological features in CTEPH, compare their prevalence with chronic thromboembolic disease (CTED), pulmonary arterial hypertension (PAH), and acute pulmonary embolism (APE), and evaluate their diagnostic predictive value.

Material and methods: This retrospective study analysed 115 patients divided into CTEPH (n = 35), CTED (n = 20), PAH (n = 24), and APE (n = 36) groups, matched by age and sex. CTPA scans were reviewed for signs of chronic embolism, pulmonary hypertension, and right heart overload. Sensitivity, specificity, accuracy, and predictive values were assessed using ROC analysis, expressed as the area under the curve (AUC).

Results: CTEPH patients exhibited vessel narrowing, intimal irregularities, bands, and webs in all cases (100%), with the highest diagnostic value at the segmental level (AUC = 0.906). Mosaic perfusion and variability in vessel size demonstrated moderate predictive value (AUC = 0.740 and AUC = 0.788, respectively).

Conclusions: CTPA is essential for differentiating CTEPH from other pulmonary vascular conditions. While no single feature achieves 100% predictive value, a comprehensive approach integrating vascular, parenchymal, and cardiac findings is critical for accurate diagnosis.

求助全文
通过发布文献求助,成功后即可免费获取论文全文。 去求助
来源期刊
CiteScore
2.10
自引率
0.00%
发文量
0
×
引用
GB/T 7714-2015
复制
MLA
复制
APA
复制
导出至
BibTeX EndNote RefMan NoteFirst NoteExpress
×
提示
您的信息不完整,为了账户安全,请先补充。
现在去补充
×
提示
您因"违规操作"
具体请查看互助需知
我知道了
×
提示
确定
请完成安全验证×
copy
已复制链接
快去分享给好友吧!
我知道了
右上角分享
点击右上角分享
0
联系我们:info@booksci.cn Book学术提供免费学术资源搜索服务,方便国内外学者检索中英文文献。致力于提供最便捷和优质的服务体验。 Copyright © 2023 布克学术 All rights reserved.
京ICP备2023020795号-1
ghs 京公网安备 11010802042870号
Book学术文献互助
Book学术文献互助群
群 号:604180095
Book学术官方微信