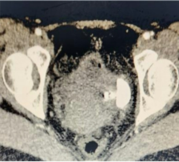
膀胱外瘘并发膀胱结石继发于宫内节育器迁移:1例报告。

IF 1.9 Q2 OBSTETRICS & GYNECOLOGY
Yiyang Tian, Han Li, Xianhui Hu, Xiefeng Hu
{"title":"膀胱外瘘并发膀胱结石继发于宫内节育器迁移:1例报告。","authors":"Yiyang Tian, Han Li, Xianhui Hu, Xiefeng Hu","doi":"10.1186/s40834-025-00379-y","DOIUrl":null,"url":null,"abstract":"","PeriodicalId":93956,"journal":{"name":"Contraception and reproductive medicine","volume":"10 1","pages":"38"},"PeriodicalIF":1.9000,"publicationDate":"2025-07-07","publicationTypes":"Journal Article","fieldsOfStudy":null,"isOpenAccess":false,"openAccessPdf":"https://www.ncbi.nlm.nih.gov/pmc/articles/PMC12232712/pdf/","citationCount":"0","resultStr":"{\"title\":\"Vesicouterine fistula with vesical calculi secondary to IUD migration: a case report.\",\"authors\":\"Yiyang Tian, Han Li, Xianhui Hu, Xiefeng Hu\",\"doi\":\"10.1186/s40834-025-00379-y\",\"DOIUrl\":null,\"url\":null,\"abstract\":\"\",\"PeriodicalId\":93956,\"journal\":{\"name\":\"Contraception and reproductive medicine\",\"volume\":\"10 1\",\"pages\":\"38\"},\"PeriodicalIF\":1.9000,\"publicationDate\":\"2025-07-07\",\"publicationTypes\":\"Journal Article\",\"fieldsOfStudy\":null,\"isOpenAccess\":false,\"openAccessPdf\":\"https://www.ncbi.nlm.nih.gov/pmc/articles/PMC12232712/pdf/\",\"citationCount\":\"0\",\"resultStr\":null,\"platform\":\"Semanticscholar\",\"paperid\":null,\"PeriodicalName\":\"Contraception and reproductive medicine\",\"FirstCategoryId\":\"1085\",\"ListUrlMain\":\"https://doi.org/10.1186/s40834-025-00379-y\",\"RegionNum\":0,\"RegionCategory\":null,\"ArticlePicture\":[],\"TitleCN\":null,\"AbstractTextCN\":null,\"PMCID\":null,\"EPubDate\":\"\",\"PubModel\":\"\",\"JCR\":\"Q2\",\"JCRName\":\"OBSTETRICS & GYNECOLOGY\",\"Score\":null,\"Total\":0}","platform":"Semanticscholar","paperid":null,"PeriodicalName":"Contraception and reproductive medicine","FirstCategoryId":"1085","ListUrlMain":"https://doi.org/10.1186/s40834-025-00379-y","RegionNum":0,"RegionCategory":null,"ArticlePicture":[],"TitleCN":null,"AbstractTextCN":null,"PMCID":null,"EPubDate":"","PubModel":"","JCR":"Q2","JCRName":"OBSTETRICS & GYNECOLOGY","Score":null,"Total":0}
引用次数: 0

摘要

本文章由计算机程序翻译,如有差异,请以英文原文为准。

Vesicouterine fistula with vesical calculi secondary to IUD migration: a case report.

Vesicouterine fistula with vesical calculi secondary to IUD migration: a case report.

Vesicouterine fistula with vesical calculi secondary to IUD migration: a case report.

Vesicouterine fistula with vesical calculi secondary to IUD migration: a case report.
求助全文
通过发布文献求助,成功后即可免费获取论文全文。 去求助
来源期刊
自引率
0.00%
发文量
0
审稿时长
12 weeks
×
引用
GB/T 7714-2015
复制
MLA
复制
APA
复制
导出至
BibTeX EndNote RefMan NoteFirst NoteExpress
×
提示
您的信息不完整,为了账户安全,请先补充。
现在去补充
×
提示
您因"违规操作"
具体请查看互助需知
我知道了
×
提示
确定
请完成安全验证×
copy
已复制链接
快去分享给好友吧!
我知道了
右上角分享
点击右上角分享
0
联系我们:info@booksci.cn Book学术提供免费学术资源搜索服务,方便国内外学者检索中英文文献。致力于提供最便捷和优质的服务体验。 Copyright © 2023 布克学术 All rights reserved.
京ICP备2023020795号-1
ghs 京公网安备 11010802042870号
Book学术文献互助
Book学术文献互助群
群 号:604180095
Book学术官方微信