组织为基础的皮肤点刺试验提取大西洋鲑鱼含有职业相关的过敏原。

IF 3.1 Q2 ALLERGY
Frontiers in allergy Pub Date : 2025-06-23 eCollection Date: 2025-01-01 DOI:10.3389/falgy.2025.1525012
Inga Elda, Miriam Grgic, Klara Stensvåg, Berit Bang
{"title":"组织为基础的皮肤点刺试验提取大西洋鲑鱼含有职业相关的过敏原。","authors":"Inga Elda, Miriam Grgic, Klara Stensvåg, Berit Bang","doi":"10.3389/falgy.2025.1525012","DOIUrl":null,"url":null,"abstract":"<p><strong>Introduction: </strong>Diagnosis of salmon allergy often includes skin prick testing using commercially available extracts. Multiple studies have shown that these may contain highly variable amounts of important allergens. In this study we aimed to produce skin prick test extracts containing salmon allergens relevant to the occupational exposure situation. The extracts were characterized with respect to the presence of known salmon allergens. The effect of heat-treatment on the antibody-binding of allergens was also assessed.</p><p><strong>Method: </strong>Allergenic proteins were extracted from muscle, skin, and outer mucus coating from Atlantic salmon (<i>Salmo salar</i>). Electrophoresis was used for protein separation with subsequent silver staining and immunoblotting for the detection of known allergenic proteins with antibody-binding activity to commercially available antibodies. The identity of allergens was confirmed by mass spectrometry.</p><p><strong>Results: </strong>Our extraction methods were successful in detecting the allergenic proteins aldolase, collagen, enolase, and parvalbumin from muscle, skin, and outer mucus coating from Atlantic salmon. Our work also demonstrates that these allergens have various tolerance towards heating.</p><p><strong>Conclusion: </strong>By using multiple fish tissues for extraction, we were able to produce skin prick test extracts containing allergens of presumed relevance in diagnosis of work-related sensitization.</p>","PeriodicalId":73062,"journal":{"name":"Frontiers in allergy","volume":"6 ","pages":"1525012"},"PeriodicalIF":3.1000,"publicationDate":"2025-06-23","publicationTypes":"Journal Article","fieldsOfStudy":null,"isOpenAccess":false,"openAccessPdf":"https://www.ncbi.nlm.nih.gov/pmc/articles/PMC12230974/pdf/","citationCount":"0","resultStr":"{\"title\":\"Tissue-based skin prick test extracts from Atlantic salmon containing occupationally relevant allergens.\",\"authors\":\"Inga Elda, Miriam Grgic, Klara Stensvåg, Berit Bang\",\"doi\":\"10.3389/falgy.2025.1525012\",\"DOIUrl\":null,\"url\":null,\"abstract\":\"<p><strong>Introduction: </strong>Diagnosis of salmon allergy often includes skin prick testing using commercially available extracts. Multiple studies have shown that these may contain highly variable amounts of important allergens. In this study we aimed to produce skin prick test extracts containing salmon allergens relevant to the occupational exposure situation. The extracts were characterized with respect to the presence of known salmon allergens. The effect of heat-treatment on the antibody-binding of allergens was also assessed.</p><p><strong>Method: </strong>Allergenic proteins were extracted from muscle, skin, and outer mucus coating from Atlantic salmon (<i>Salmo salar</i>). Electrophoresis was used for protein separation with subsequent silver staining and immunoblotting for the detection of known allergenic proteins with antibody-binding activity to commercially available antibodies. The identity of allergens was confirmed by mass spectrometry.</p><p><strong>Results: </strong>Our extraction methods were successful in detecting the allergenic proteins aldolase, collagen, enolase, and parvalbumin from muscle, skin, and outer mucus coating from Atlantic salmon. Our work also demonstrates that these allergens have various tolerance towards heating.</p><p><strong>Conclusion: </strong>By using multiple fish tissues for extraction, we were able to produce skin prick test extracts containing allergens of presumed relevance in diagnosis of work-related sensitization.</p>\",\"PeriodicalId\":73062,\"journal\":{\"name\":\"Frontiers in allergy\",\"volume\":\"6 \",\"pages\":\"1525012\"},\"PeriodicalIF\":3.1000,\"publicationDate\":\"2025-06-23\",\"publicationTypes\":\"Journal Article\",\"fieldsOfStudy\":null,\"isOpenAccess\":false,\"openAccessPdf\":\"https://www.ncbi.nlm.nih.gov/pmc/articles/PMC12230974/pdf/\",\"citationCount\":\"0\",\"resultStr\":null,\"platform\":\"Semanticscholar\",\"paperid\":null,\"PeriodicalName\":\"Frontiers in allergy\",\"FirstCategoryId\":\"1085\",\"ListUrlMain\":\"https://doi.org/10.3389/falgy.2025.1525012\",\"RegionNum\":0,\"RegionCategory\":null,\"ArticlePicture\":[],\"TitleCN\":null,\"AbstractTextCN\":null,\"PMCID\":null,\"EPubDate\":\"2025/1/1 0:00:00\",\"PubModel\":\"eCollection\",\"JCR\":\"Q2\",\"JCRName\":\"ALLERGY\",\"Score\":null,\"Total\":0}","platform":"Semanticscholar","paperid":null,"PeriodicalName":"Frontiers in allergy","FirstCategoryId":"1085","ListUrlMain":"https://doi.org/10.3389/falgy.2025.1525012","RegionNum":0,"RegionCategory":null,"ArticlePicture":[],"TitleCN":null,"AbstractTextCN":null,"PMCID":null,"EPubDate":"2025/1/1 0:00:00","PubModel":"eCollection","JCR":"Q2","JCRName":"ALLERGY","Score":null,"Total":0}
引用次数: 0

摘要

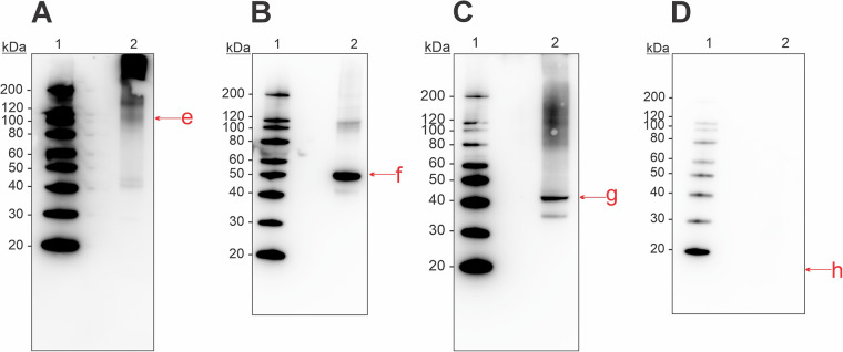
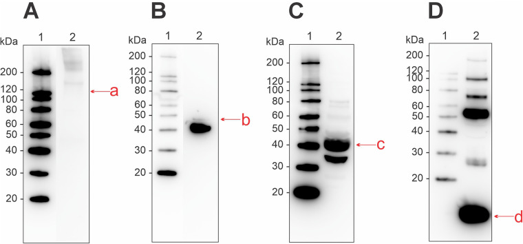
简介:鲑鱼过敏的诊断通常包括皮肤点刺试验使用市售提取物。多项研究表明,这些食物可能含有大量不同数量的重要过敏原。在本研究中,我们旨在生产含有与职业暴露情况相关的鲑鱼过敏原的皮肤点刺试验提取物。这些提取物的特征是关于已知的鲑鱼过敏原的存在。热处理对过敏原抗体结合的影响也进行了评估。方法:从大西洋鲑鱼的肌肉、皮肤和外黏液包被中提取致敏蛋白。电泳用于蛋白质分离,随后进行银染色和免疫印迹检测已知的与市售抗体结合活性的过敏原蛋白。质谱法证实了过敏原的身份。结果:所建立的提取方法可成功地检测大西洋鲑鱼肌肉、皮肤和外黏液涂层中的醛缩酶、胶原蛋白、烯醇化酶和小白蛋白等致敏蛋白。我们的工作还表明,这些过敏原对加热有不同的耐受性。结论:通过使用多种鱼类组织进行提取,我们能够生产出含有过敏原的皮肤点刺试验提取物,这些过敏原可能与工作相关的致敏性诊断有关。
本文章由计算机程序翻译,如有差异,请以英文原文为准。

Tissue-based skin prick test extracts from Atlantic salmon containing occupationally relevant allergens.

Tissue-based skin prick test extracts from Atlantic salmon containing occupationally relevant allergens.

Tissue-based skin prick test extracts from Atlantic salmon containing occupationally relevant allergens.

Tissue-based skin prick test extracts from Atlantic salmon containing occupationally relevant allergens.

Introduction: Diagnosis of salmon allergy often includes skin prick testing using commercially available extracts. Multiple studies have shown that these may contain highly variable amounts of important allergens. In this study we aimed to produce skin prick test extracts containing salmon allergens relevant to the occupational exposure situation. The extracts were characterized with respect to the presence of known salmon allergens. The effect of heat-treatment on the antibody-binding of allergens was also assessed.

Method: Allergenic proteins were extracted from muscle, skin, and outer mucus coating from Atlantic salmon (Salmo salar). Electrophoresis was used for protein separation with subsequent silver staining and immunoblotting for the detection of known allergenic proteins with antibody-binding activity to commercially available antibodies. The identity of allergens was confirmed by mass spectrometry.

Results: Our extraction methods were successful in detecting the allergenic proteins aldolase, collagen, enolase, and parvalbumin from muscle, skin, and outer mucus coating from Atlantic salmon. Our work also demonstrates that these allergens have various tolerance towards heating.

Conclusion: By using multiple fish tissues for extraction, we were able to produce skin prick test extracts containing allergens of presumed relevance in diagnosis of work-related sensitization.

求助全文
通过发布文献求助,成功后即可免费获取论文全文。 去求助
来源期刊
CiteScore
2.80
自引率
0.00%
发文量
0
审稿时长
12 weeks
×
引用
GB/T 7714-2015
复制
MLA
复制
APA
复制
导出至
BibTeX EndNote RefMan NoteFirst NoteExpress
×
提示
您的信息不完整,为了账户安全,请先补充。
现在去补充
×
提示
您因"违规操作"
具体请查看互助需知
我知道了
×
提示
确定
请完成安全验证×
copy
已复制链接
快去分享给好友吧!
我知道了
右上角分享
点击右上角分享
0
联系我们:info@booksci.cn Book学术提供免费学术资源搜索服务,方便国内外学者检索中英文文献。致力于提供最便捷和优质的服务体验。 Copyright © 2023 布克学术 All rights reserved.
京ICP备2023020795号-1
ghs 京公网安备 11010802042870号
Book学术文献互助
Book学术文献互助群
群 号:604180095
Book学术官方微信