KDM6A表达缺失在低级别非侵袭性膀胱尿路上皮癌中很常见。

IF 2.9 Q1 PATHOLOGY
Florian Viehweger, Natalia Gorbokon, Seyma Büyücek, Henning Plage, Sebastian Hofbauer, Kira Furlano, Sarah Weinberger, Bernhard Ralla, Annika Fendler, Nadine Biernath, Barbara Erber, Florian Roßner, Simon Schallenberg, Sefer Elezkurtaj, Maximilian Lennartz, Elena Bady, Claudia Hube-Magg, Andreas H Marx, Henrik Samtleben, Margit Fisch, Michael Rink, Henrik Zecha, Marcin Slojewski, Krystian Kaczmarek, Thorsten Ecke, Stefan Koch, Nico Adamini, Ronald Simon, Guido Sauter, Joachim Weischenfeldt, Tobias Klatte, Thorsten Schlomm, David Horst, Martina Kluth, Sarah Minner
{"title":"KDM6A表达缺失在低级别非侵袭性膀胱尿路上皮癌中很常见。","authors":"Florian Viehweger, Natalia Gorbokon, Seyma Büyücek, Henning Plage, Sebastian Hofbauer, Kira Furlano, Sarah Weinberger, Bernhard Ralla, Annika Fendler, Nadine Biernath, Barbara Erber, Florian Roßner, Simon Schallenberg, Sefer Elezkurtaj, Maximilian Lennartz, Elena Bady, Claudia Hube-Magg, Andreas H Marx, Henrik Samtleben, Margit Fisch, Michael Rink, Henrik Zecha, Marcin Slojewski, Krystian Kaczmarek, Thorsten Ecke, Stefan Koch, Nico Adamini, Ronald Simon, Guido Sauter, Joachim Weischenfeldt, Tobias Klatte, Thorsten Schlomm, David Horst, Martina Kluth, Sarah Minner","doi":"10.32074/1591-951X-1104","DOIUrl":null,"url":null,"abstract":"<p><strong>Objective: </strong>The gene lysine demethylase 6A (<i>KDM6A</i>) located on chromosome Xp11 often shows truncating mutations in urothelial carcinoma. Mutations resulting in protein expression loss can be detected by immunohistochemistry (IHC).</p><p><strong>Methods: </strong>A tissue microarray with >2,500 bladder tumors was analyzed by IHC. 78 cancers were sequenced for KDM6A.</p><p><strong>Results: </strong>KDM6A expression loss decreased from 36% of 345 pTaG2 low-grade to 23% of 152 pTaG2 high-grade and 18.5% of 92 pTaG3 tumors (p=0.0004) but not further in pT2-4 cancers (17.2-21.9%). KDM6A staining was unrelated to pT, pN, grade, and overall survival (p>0.1894) in 636 patients with pT2-4 cancers. KDM6A loss was more common in male (22.2%) than in female patients (15.4%; p=0.0067), and in tumors from males with Y-chromosome loss (36.1%) than without Y-loss (16.3%; p<0.0001). A KDM6A loss occurred in all 15 male and in 17 (74%) of 23 female patients with a truncating KDM6A mutation, but only 15 (75%) of 20 male and 17 (81%) of 21 female patients with KDM6A expression loss had a truncating mutation.</p><p><strong>Conclusions: </strong>KDM6A expression loss is frequent in urothelial carcinoma and mostly due to truncating mutations. KDM6A IHC may be a useful tool for the distinction of neoplastic from non-neoplastic urothelial cells in follow-up examinations of patients with KDM6A deficient cancers.</p>","PeriodicalId":45893,"journal":{"name":"PATHOLOGICA","volume":"117 3","pages":"296-305"},"PeriodicalIF":2.9000,"publicationDate":"2025-06-01","publicationTypes":"Journal Article","fieldsOfStudy":null,"isOpenAccess":false,"openAccessPdf":"https://www.ncbi.nlm.nih.gov/pmc/articles/PMC12236142/pdf/","citationCount":"0","resultStr":"{\"title\":\"KDM6A expression loss is frequent in low grade non-invasive urothelial carcinomas of the urinary bladder.\",\"authors\":\"Florian Viehweger, Natalia Gorbokon, Seyma Büyücek, Henning Plage, Sebastian Hofbauer, Kira Furlano, Sarah Weinberger, Bernhard Ralla, Annika Fendler, Nadine Biernath, Barbara Erber, Florian Roßner, Simon Schallenberg, Sefer Elezkurtaj, Maximilian Lennartz, Elena Bady, Claudia Hube-Magg, Andreas H Marx, Henrik Samtleben, Margit Fisch, Michael Rink, Henrik Zecha, Marcin Slojewski, Krystian Kaczmarek, Thorsten Ecke, Stefan Koch, Nico Adamini, Ronald Simon, Guido Sauter, Joachim Weischenfeldt, Tobias Klatte, Thorsten Schlomm, David Horst, Martina Kluth, Sarah Minner\",\"doi\":\"10.32074/1591-951X-1104\",\"DOIUrl\":null,\"url\":null,\"abstract\":\"<p><strong>Objective: </strong>The gene lysine demethylase 6A (<i>KDM6A</i>) located on chromosome Xp11 often shows truncating mutations in urothelial carcinoma. Mutations resulting in protein expression loss can be detected by immunohistochemistry (IHC).</p><p><strong>Methods: </strong>A tissue microarray with >2,500 bladder tumors was analyzed by IHC. 78 cancers were sequenced for KDM6A.</p><p><strong>Results: </strong>KDM6A expression loss decreased from 36% of 345 pTaG2 low-grade to 23% of 152 pTaG2 high-grade and 18.5% of 92 pTaG3 tumors (p=0.0004) but not further in pT2-4 cancers (17.2-21.9%). KDM6A staining was unrelated to pT, pN, grade, and overall survival (p>0.1894) in 636 patients with pT2-4 cancers. KDM6A loss was more common in male (22.2%) than in female patients (15.4%; p=0.0067), and in tumors from males with Y-chromosome loss (36.1%) than without Y-loss (16.3%; p<0.0001). A KDM6A loss occurred in all 15 male and in 17 (74%) of 23 female patients with a truncating KDM6A mutation, but only 15 (75%) of 20 male and 17 (81%) of 21 female patients with KDM6A expression loss had a truncating mutation.</p><p><strong>Conclusions: </strong>KDM6A expression loss is frequent in urothelial carcinoma and mostly due to truncating mutations. KDM6A IHC may be a useful tool for the distinction of neoplastic from non-neoplastic urothelial cells in follow-up examinations of patients with KDM6A deficient cancers.</p>\",\"PeriodicalId\":45893,\"journal\":{\"name\":\"PATHOLOGICA\",\"volume\":\"117 3\",\"pages\":\"296-305\"},\"PeriodicalIF\":2.9000,\"publicationDate\":\"2025-06-01\",\"publicationTypes\":\"Journal Article\",\"fieldsOfStudy\":null,\"isOpenAccess\":false,\"openAccessPdf\":\"https://www.ncbi.nlm.nih.gov/pmc/articles/PMC12236142/pdf/\",\"citationCount\":\"0\",\"resultStr\":null,\"platform\":\"Semanticscholar\",\"paperid\":null,\"PeriodicalName\":\"PATHOLOGICA\",\"FirstCategoryId\":\"1085\",\"ListUrlMain\":\"https://doi.org/10.32074/1591-951X-1104\",\"RegionNum\":0,\"RegionCategory\":null,\"ArticlePicture\":[],\"TitleCN\":null,\"AbstractTextCN\":null,\"PMCID\":null,\"EPubDate\":\"\",\"PubModel\":\"\",\"JCR\":\"Q1\",\"JCRName\":\"PATHOLOGY\",\"Score\":null,\"Total\":0}","platform":"Semanticscholar","paperid":null,"PeriodicalName":"PATHOLOGICA","FirstCategoryId":"1085","ListUrlMain":"https://doi.org/10.32074/1591-951X-1104","RegionNum":0,"RegionCategory":null,"ArticlePicture":[],"TitleCN":null,"AbstractTextCN":null,"PMCID":null,"EPubDate":"","PubModel":"","JCR":"Q1","JCRName":"PATHOLOGY","Score":null,"Total":0}
引用次数: 0

摘要

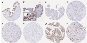
目的:位于Xp11染色体上的赖氨酸去甲基酶6A (KDM6A)基因在尿路上皮癌中经常出现截短突变。导致蛋白表达缺失的突变可以通过免疫组化(IHC)检测。方法:应用免疫组化技术对组织芯片中膀胱肿瘤进行分析。对78例癌症进行了KDM6A测序。结果:KDM6A表达缺失从345例pTaG2低级别肿瘤的36%下降到152例pTaG2高级别肿瘤的23%和92例pTaG3肿瘤的18.5% (p=0.0004),但在pT2-4肿瘤中没有进一步下降(17.2-21.9%)。在636例pT2-4癌患者中,KDM6A染色与pT、pN、分级和总生存率无关(p < 0.1894)。KDM6A缺失在男性(22.2%)中比女性(15.4%)更常见;p=0.0067), y染色体缺失的男性肿瘤发生率为36.1%,而y染色体缺失的男性肿瘤发生率为16.3%;结论:KDM6A表达缺失在尿路上皮癌中很常见,主要是由于截断突变。在KDM6A缺陷癌症患者的随访检查中,KDM6A免疫组化可能是区分肿瘤与非肿瘤尿路上皮细胞的有用工具。
本文章由计算机程序翻译,如有差异,请以英文原文为准。

KDM6A expression loss is frequent in low grade non-invasive urothelial carcinomas of the urinary bladder.

KDM6A expression loss is frequent in low grade non-invasive urothelial carcinomas of the urinary bladder.

KDM6A expression loss is frequent in low grade non-invasive urothelial carcinomas of the urinary bladder.

KDM6A expression loss is frequent in low grade non-invasive urothelial carcinomas of the urinary bladder.

Objective: The gene lysine demethylase 6A (KDM6A) located on chromosome Xp11 often shows truncating mutations in urothelial carcinoma. Mutations resulting in protein expression loss can be detected by immunohistochemistry (IHC).

Methods: A tissue microarray with >2,500 bladder tumors was analyzed by IHC. 78 cancers were sequenced for KDM6A.

Results: KDM6A expression loss decreased from 36% of 345 pTaG2 low-grade to 23% of 152 pTaG2 high-grade and 18.5% of 92 pTaG3 tumors (p=0.0004) but not further in pT2-4 cancers (17.2-21.9%). KDM6A staining was unrelated to pT, pN, grade, and overall survival (p>0.1894) in 636 patients with pT2-4 cancers. KDM6A loss was more common in male (22.2%) than in female patients (15.4%; p=0.0067), and in tumors from males with Y-chromosome loss (36.1%) than without Y-loss (16.3%; p<0.0001). A KDM6A loss occurred in all 15 male and in 17 (74%) of 23 female patients with a truncating KDM6A mutation, but only 15 (75%) of 20 male and 17 (81%) of 21 female patients with KDM6A expression loss had a truncating mutation.

Conclusions: KDM6A expression loss is frequent in urothelial carcinoma and mostly due to truncating mutations. KDM6A IHC may be a useful tool for the distinction of neoplastic from non-neoplastic urothelial cells in follow-up examinations of patients with KDM6A deficient cancers.

求助全文
通过发布文献求助,成功后即可免费获取论文全文。 去求助
来源期刊
PATHOLOGICA
PATHOLOGICA PATHOLOGY-
CiteScore
5.90
自引率
5.70%
发文量
108
×
引用
GB/T 7714-2015
复制
MLA
复制
APA
复制
导出至
BibTeX EndNote RefMan NoteFirst NoteExpress
×
提示
您的信息不完整,为了账户安全,请先补充。
现在去补充
×
提示
您因"违规操作"
具体请查看互助需知
我知道了
×
提示
确定
请完成安全验证×
copy
已复制链接
快去分享给好友吧!
我知道了
右上角分享
点击右上角分享
0
联系我们:info@booksci.cn Book学术提供免费学术资源搜索服务,方便国内外学者检索中英文文献。致力于提供最便捷和优质的服务体验。 Copyright © 2023 布克学术 All rights reserved.
京ICP备2023020795号-1
ghs 京公网安备 11010802042870号
Book学术文献互助
Book学术文献互助群
群 号:604180095
Book学术官方微信