肌肉骨骼淀粉样瘤的组织学和蛋白质组学特征。

IF 2.9 Q1 PATHOLOGY
PATHOLOGICA Pub Date : 2025-06-01 DOI:10.32074/1591-951X-939
Raffaele Gaeta, Francesco Greco, Federica Anastasi, Lorenzo Andreani, Rodolfo Capanna, Liam A McDonnell, Alessandro Franchi
{"title":"肌肉骨骼淀粉样瘤的组织学和蛋白质组学特征。","authors":"Raffaele Gaeta, Francesco Greco, Federica Anastasi, Lorenzo Andreani, Rodolfo Capanna, Liam A McDonnell, Alessandro Franchi","doi":"10.32074/1591-951X-939","DOIUrl":null,"url":null,"abstract":"<p><strong>Introduction: </strong>The term amyloidoma applies to localized deposits of amyloid in the absence of systemic amyloidosis. Skeletal and soft tissue amyloidomas are very rare and the pathogenesis is usually associated with lymphoproliferative disorders (plasmacytomas or plasmacytoid lymphomas) or as a consequence of local chronic inflammation.</p><p><strong>Methods: </strong>In this paper we report the histological and immunohistochemical features of four cases of musculoskeletal amyloidoma in association with combined laser capture microdissection (LCM) of Congo Red positive regions with a recent microproteomics workflow that improves the sensitivity of the analysis in order to confirm the nature of the protein deposit.</p><p><strong>Results: </strong>Proteomic techniques allowed to elucidate the nature of the amyloid protein deposit, improving the results obtained by immunohistochemistry (IHC). IHC results were confirmed in two cases while LCM coupled with bottom-up microproteomics was necessary to type the other two cases, for which IHC was inconclusive.</p><p><strong>Conclusions: </strong>In conclusion, proteomic techniques were thus confirmed as a fundamental tool for the complete investigation of protein deposits.</p>","PeriodicalId":45893,"journal":{"name":"PATHOLOGICA","volume":"117 3","pages":"278-287"},"PeriodicalIF":2.9000,"publicationDate":"2025-06-01","publicationTypes":"Journal Article","fieldsOfStudy":null,"isOpenAccess":false,"openAccessPdf":"https://www.ncbi.nlm.nih.gov/pmc/articles/PMC12236136/pdf/","citationCount":"0","resultStr":"{\"title\":\"Histological and proteomic characterization of musculoskeletal amyloidomas.\",\"authors\":\"Raffaele Gaeta, Francesco Greco, Federica Anastasi, Lorenzo Andreani, Rodolfo Capanna, Liam A McDonnell, Alessandro Franchi\",\"doi\":\"10.32074/1591-951X-939\",\"DOIUrl\":null,\"url\":null,\"abstract\":\"<p><strong>Introduction: </strong>The term amyloidoma applies to localized deposits of amyloid in the absence of systemic amyloidosis. Skeletal and soft tissue amyloidomas are very rare and the pathogenesis is usually associated with lymphoproliferative disorders (plasmacytomas or plasmacytoid lymphomas) or as a consequence of local chronic inflammation.</p><p><strong>Methods: </strong>In this paper we report the histological and immunohistochemical features of four cases of musculoskeletal amyloidoma in association with combined laser capture microdissection (LCM) of Congo Red positive regions with a recent microproteomics workflow that improves the sensitivity of the analysis in order to confirm the nature of the protein deposit.</p><p><strong>Results: </strong>Proteomic techniques allowed to elucidate the nature of the amyloid protein deposit, improving the results obtained by immunohistochemistry (IHC). IHC results were confirmed in two cases while LCM coupled with bottom-up microproteomics was necessary to type the other two cases, for which IHC was inconclusive.</p><p><strong>Conclusions: </strong>In conclusion, proteomic techniques were thus confirmed as a fundamental tool for the complete investigation of protein deposits.</p>\",\"PeriodicalId\":45893,\"journal\":{\"name\":\"PATHOLOGICA\",\"volume\":\"117 3\",\"pages\":\"278-287\"},\"PeriodicalIF\":2.9000,\"publicationDate\":\"2025-06-01\",\"publicationTypes\":\"Journal Article\",\"fieldsOfStudy\":null,\"isOpenAccess\":false,\"openAccessPdf\":\"https://www.ncbi.nlm.nih.gov/pmc/articles/PMC12236136/pdf/\",\"citationCount\":\"0\",\"resultStr\":null,\"platform\":\"Semanticscholar\",\"paperid\":null,\"PeriodicalName\":\"PATHOLOGICA\",\"FirstCategoryId\":\"1085\",\"ListUrlMain\":\"https://doi.org/10.32074/1591-951X-939\",\"RegionNum\":0,\"RegionCategory\":null,\"ArticlePicture\":[],\"TitleCN\":null,\"AbstractTextCN\":null,\"PMCID\":null,\"EPubDate\":\"\",\"PubModel\":\"\",\"JCR\":\"Q1\",\"JCRName\":\"PATHOLOGY\",\"Score\":null,\"Total\":0}","platform":"Semanticscholar","paperid":null,"PeriodicalName":"PATHOLOGICA","FirstCategoryId":"1085","ListUrlMain":"https://doi.org/10.32074/1591-951X-939","RegionNum":0,"RegionCategory":null,"ArticlePicture":[],"TitleCN":null,"AbstractTextCN":null,"PMCID":null,"EPubDate":"","PubModel":"","JCR":"Q1","JCRName":"PATHOLOGY","Score":null,"Total":0}
引用次数: 0

摘要

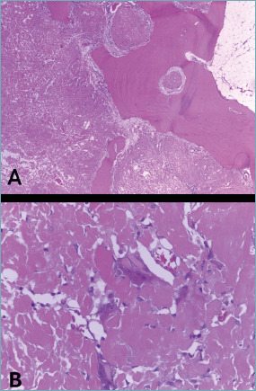
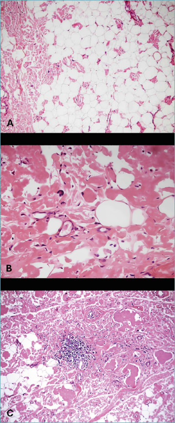
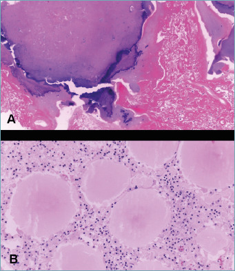
简介:术语淀粉样瘤适用于没有全身性淀粉样变性的局部淀粉样沉积。骨骼和软组织淀粉样瘤非常罕见,其发病机制通常与淋巴细胞增生性疾病(浆细胞瘤或浆细胞样淋巴瘤)或局部慢性炎症有关。方法:在本文中,我们报告了4例肌肉骨骼淀粉样瘤的组织学和免疫组织化学特征,这些特征与刚果红阳性区域的联合激光捕获显微解剖(LCM)有关,最近的微蛋白质组学工作流程提高了分析的敏感性,以确认蛋白质沉积的性质。结果:蛋白质组学技术允许阐明淀粉样蛋白沉积的性质,改进免疫组织化学(IHC)获得的结果。两例病例的免疫组化结果得到证实,另外两例病例需要LCM结合自下而上的微蛋白质组学进行分型,免疫组化结果不确定。结论:蛋白质组学技术是全面研究蛋白质沉积的基本工具。
本文章由计算机程序翻译,如有差异,请以英文原文为准。

Histological and proteomic characterization of musculoskeletal amyloidomas.

Histological and proteomic characterization of musculoskeletal amyloidomas.

Histological and proteomic characterization of musculoskeletal amyloidomas.

Histological and proteomic characterization of musculoskeletal amyloidomas.

Introduction: The term amyloidoma applies to localized deposits of amyloid in the absence of systemic amyloidosis. Skeletal and soft tissue amyloidomas are very rare and the pathogenesis is usually associated with lymphoproliferative disorders (plasmacytomas or plasmacytoid lymphomas) or as a consequence of local chronic inflammation.

Methods: In this paper we report the histological and immunohistochemical features of four cases of musculoskeletal amyloidoma in association with combined laser capture microdissection (LCM) of Congo Red positive regions with a recent microproteomics workflow that improves the sensitivity of the analysis in order to confirm the nature of the protein deposit.

Results: Proteomic techniques allowed to elucidate the nature of the amyloid protein deposit, improving the results obtained by immunohistochemistry (IHC). IHC results were confirmed in two cases while LCM coupled with bottom-up microproteomics was necessary to type the other two cases, for which IHC was inconclusive.

Conclusions: In conclusion, proteomic techniques were thus confirmed as a fundamental tool for the complete investigation of protein deposits.

求助全文
通过发布文献求助,成功后即可免费获取论文全文。 去求助
来源期刊
PATHOLOGICA
PATHOLOGICA PATHOLOGY-
CiteScore
5.90
自引率
5.70%
发文量
108
×
引用
GB/T 7714-2015
复制
MLA
复制
APA
复制
导出至
BibTeX EndNote RefMan NoteFirst NoteExpress
×
提示
您的信息不完整,为了账户安全,请先补充。
现在去补充
×
提示
您因"违规操作"
具体请查看互助需知
我知道了
×
提示
确定
请完成安全验证×
copy
已复制链接
快去分享给好友吧!
我知道了
右上角分享
点击右上角分享
0
联系我们:info@booksci.cn Book学术提供免费学术资源搜索服务,方便国内外学者检索中英文文献。致力于提供最便捷和优质的服务体验。 Copyright © 2023 布克学术 All rights reserved.
京ICP备2023020795号-1
ghs 京公网安备 11010802042870号
Book学术文献互助
Book学术文献互助群
群 号:604180095
Book学术官方微信