Kommerell憩室伴右侧主动脉弓的最佳手术策略:附4例报告

IF 0.7 Q4 SURGERY
Surgical Case Reports Pub Date : 2025-01-01 Epub Date: 2025-06-18 DOI:10.70352/scrj.cr.25-0049
Yumeka Tamai, Tatsuya Ogawa, Ryusuke Hamada, Genichi Sakaguchi
{"title":"Kommerell憩室伴右侧主动脉弓的最佳手术策略:附4例报告","authors":"Yumeka Tamai, Tatsuya Ogawa, Ryusuke Hamada, Genichi Sakaguchi","doi":"10.70352/scrj.cr.25-0049","DOIUrl":null,"url":null,"abstract":"<p><strong>Introduction: </strong>Kommerell's diverticulum is often associated with a right-sided aortic arch. It presents as a saccular aneurysm. Although various surgical strategies have been reported, optimal treatment has not been established.</p><p><strong>Case presentation: </strong>Four patients with right-sided aortic arch underwent different surgeries for Kommerell's diverticulum. The pattern of aortic arch was a mirror-image of the normal left aortic arch in Cases 1 and 2. In Cases 3 and 4, it was right-sided aortic arch with an aberrant left subclavian artery as its last branch. Cases 1 and 3 presented with compression symptoms caused by Kommerell's diverticulum. They underwent open surgery or thoracic endovascular aortic repair through the different approaches. Their postoperative courses were favorable.</p><p><strong>Conclusions: </strong>The surgical strategy for Kommerell's diverticulum with a right-sided aortic arch should be selected based on the anatomical characteristics of the cervical vessels, compression symptoms, and surgical risks.</p>","PeriodicalId":22096,"journal":{"name":"Surgical Case Reports","volume":"11 1","pages":""},"PeriodicalIF":0.7000,"publicationDate":"2025-01-01","publicationTypes":"Journal Article","fieldsOfStudy":null,"isOpenAccess":false,"openAccessPdf":"https://www.ncbi.nlm.nih.gov/pmc/articles/PMC12229790/pdf/","citationCount":"0","resultStr":"{\"title\":\"Optimal Surgical Strategy for Kommerell's Diverticulum Associated with a Right-Sided Aortic Arch: A Report of Four Cases.\",\"authors\":\"Yumeka Tamai, Tatsuya Ogawa, Ryusuke Hamada, Genichi Sakaguchi\",\"doi\":\"10.70352/scrj.cr.25-0049\",\"DOIUrl\":null,\"url\":null,\"abstract\":\"<p><strong>Introduction: </strong>Kommerell's diverticulum is often associated with a right-sided aortic arch. It presents as a saccular aneurysm. Although various surgical strategies have been reported, optimal treatment has not been established.</p><p><strong>Case presentation: </strong>Four patients with right-sided aortic arch underwent different surgeries for Kommerell's diverticulum. The pattern of aortic arch was a mirror-image of the normal left aortic arch in Cases 1 and 2. In Cases 3 and 4, it was right-sided aortic arch with an aberrant left subclavian artery as its last branch. Cases 1 and 3 presented with compression symptoms caused by Kommerell's diverticulum. They underwent open surgery or thoracic endovascular aortic repair through the different approaches. Their postoperative courses were favorable.</p><p><strong>Conclusions: </strong>The surgical strategy for Kommerell's diverticulum with a right-sided aortic arch should be selected based on the anatomical characteristics of the cervical vessels, compression symptoms, and surgical risks.</p>\",\"PeriodicalId\":22096,\"journal\":{\"name\":\"Surgical Case Reports\",\"volume\":\"11 1\",\"pages\":\"\"},\"PeriodicalIF\":0.7000,\"publicationDate\":\"2025-01-01\",\"publicationTypes\":\"Journal Article\",\"fieldsOfStudy\":null,\"isOpenAccess\":false,\"openAccessPdf\":\"https://www.ncbi.nlm.nih.gov/pmc/articles/PMC12229790/pdf/\",\"citationCount\":\"0\",\"resultStr\":null,\"platform\":\"Semanticscholar\",\"paperid\":null,\"PeriodicalName\":\"Surgical Case Reports\",\"FirstCategoryId\":\"1085\",\"ListUrlMain\":\"https://doi.org/10.70352/scrj.cr.25-0049\",\"RegionNum\":0,\"RegionCategory\":null,\"ArticlePicture\":[],\"TitleCN\":null,\"AbstractTextCN\":null,\"PMCID\":null,\"EPubDate\":\"2025/6/18 0:00:00\",\"PubModel\":\"Epub\",\"JCR\":\"Q4\",\"JCRName\":\"SURGERY\",\"Score\":null,\"Total\":0}","platform":"Semanticscholar","paperid":null,"PeriodicalName":"Surgical Case Reports","FirstCategoryId":"1085","ListUrlMain":"https://doi.org/10.70352/scrj.cr.25-0049","RegionNum":0,"RegionCategory":null,"ArticlePicture":[],"TitleCN":null,"AbstractTextCN":null,"PMCID":null,"EPubDate":"2025/6/18 0:00:00","PubModel":"Epub","JCR":"Q4","JCRName":"SURGERY","Score":null,"Total":0}
引用次数: 0

摘要

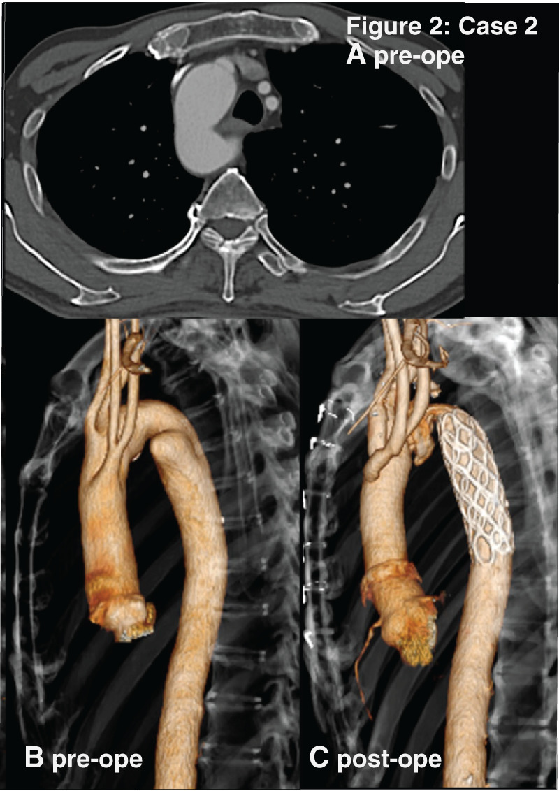
Kommerell憩室常伴有右侧主动脉弓。表现为囊状动脉瘤。虽然各种手术策略已被报道,但最佳治疗尚未确定。病例介绍:4例右侧主动脉弓患者接受不同的Kommerell憩室手术治疗。病例1和病例2的主动脉弓形态与正常左主动脉弓相似。病例3和病例4为右侧主动脉弓,最后分支为左锁骨下动脉异常。病例1和病例3表现为Kommerell憩室引起的压迫症状。他们通过不同的途径接受了开放手术或胸腔血管内主动脉修复。术后疗程良好。结论:Kommerell憩室伴右侧主动脉弓的手术策略应根据颈血管的解剖特点、压迫症状及手术风险选择。
本文章由计算机程序翻译,如有差异,请以英文原文为准。

Optimal Surgical Strategy for Kommerell's Diverticulum Associated with a Right-Sided Aortic Arch: A Report of Four Cases.

Optimal Surgical Strategy for Kommerell's Diverticulum Associated with a Right-Sided Aortic Arch: A Report of Four Cases.

Optimal Surgical Strategy for Kommerell's Diverticulum Associated with a Right-Sided Aortic Arch: A Report of Four Cases.

Optimal Surgical Strategy for Kommerell's Diverticulum Associated with a Right-Sided Aortic Arch: A Report of Four Cases.

Introduction: Kommerell's diverticulum is often associated with a right-sided aortic arch. It presents as a saccular aneurysm. Although various surgical strategies have been reported, optimal treatment has not been established.

Case presentation: Four patients with right-sided aortic arch underwent different surgeries for Kommerell's diverticulum. The pattern of aortic arch was a mirror-image of the normal left aortic arch in Cases 1 and 2. In Cases 3 and 4, it was right-sided aortic arch with an aberrant left subclavian artery as its last branch. Cases 1 and 3 presented with compression symptoms caused by Kommerell's diverticulum. They underwent open surgery or thoracic endovascular aortic repair through the different approaches. Their postoperative courses were favorable.

Conclusions: The surgical strategy for Kommerell's diverticulum with a right-sided aortic arch should be selected based on the anatomical characteristics of the cervical vessels, compression symptoms, and surgical risks.

求助全文
通过发布文献求助,成功后即可免费获取论文全文。 去求助
来源期刊
自引率
0.00%
发文量
218
审稿时长
13 weeks
×
引用
GB/T 7714-2015
复制
MLA
复制
APA
复制
导出至
BibTeX EndNote RefMan NoteFirst NoteExpress
×
提示
您的信息不完整,为了账户安全,请先补充。
现在去补充
×
提示
您因"违规操作"
具体请查看互助需知
我知道了
×
提示
确定
请完成安全验证×
copy
已复制链接
快去分享给好友吧!
我知道了
右上角分享
点击右上角分享
0
联系我们:info@booksci.cn Book学术提供免费学术资源搜索服务,方便国内外学者检索中英文文献。致力于提供最便捷和优质的服务体验。 Copyright © 2023 布克学术 All rights reserved.
京ICP备2023020795号-1
ghs 京公网安备 11010802042870号
Book学术文献互助
Book学术文献互助群
群 号:604180095
Book学术官方微信