空肠间置重叠食管空肠吻合术治疗食管贲门失弛缓症反复内镜扩张所致食管狭窄1例。

IF 0.7 Q4 SURGERY
Surgical Case Reports Pub Date : 2025-01-01 Epub Date: 2025-06-18 DOI:10.70352/scrj.cr.25-0033
Yasuto Suzuki, Shinsuke Takeno, Fumiaki Kawano, Kousei Tashiro, Makoto Ikenoue, Kazunosuke Yamada, Atsushi Nanashima
{"title":"空肠间置重叠食管空肠吻合术治疗食管贲门失弛缓症反复内镜扩张所致食管狭窄1例。","authors":"Yasuto Suzuki, Shinsuke Takeno, Fumiaki Kawano, Kousei Tashiro, Makoto Ikenoue, Kazunosuke Yamada, Atsushi Nanashima","doi":"10.70352/scrj.cr.25-0033","DOIUrl":null,"url":null,"abstract":"<p><strong>Introduction: </strong>Achalasia is a primary esophageal motility disorder of unknown origin. The clinical manifestations are caused by the loss of peristalsis of the esophagus and functional obstruction at the esophagogastric junction. There are several treatment strategies for esophageal achalasia, such as medications, endoscopic treatment, and surgery. The successful treatment of a case of jejunal interposition surgery with overlap esophago-jejunal anastomosis for an esophageal stricture due to repeated endoscopic dilation for esophageal achalasia is reported.</p><p><strong>Case presentation: </strong>The patient was a 67-year-old man who was diagnosed with esophageal achalasia 13 years earlier. Partial esophagectomy of the portion with the stricture and esophago-jejunal anastomosis using the overlap method were performed for the esophageal stricture due to rupture during endoscopic balloon dilatation. The patient's postoperative recovery was unremarkable, and the dysphagia due to esophageal stricture disappeared.</p><p><strong>Conclusions: </strong>The overlap technique in esophago-jejunal anastomosis after partial esophagectomy was very effective for an esophageal stricture in a patient with achalasia because it made possible the additional resection of endoluminal muscle.</p>","PeriodicalId":22096,"journal":{"name":"Surgical Case Reports","volume":"11 1","pages":""},"PeriodicalIF":0.7000,"publicationDate":"2025-01-01","publicationTypes":"Journal Article","fieldsOfStudy":null,"isOpenAccess":false,"openAccessPdf":"https://www.ncbi.nlm.nih.gov/pmc/articles/PMC12229793/pdf/","citationCount":"0","resultStr":"{\"title\":\"Jejunal Interposition with Overlap Esophago-Jejunal Anastomosis for an Esophageal Stricture due to Repeated Endoscopic Dilation for Esophageal Achalasia: A Case Report.\",\"authors\":\"Yasuto Suzuki, Shinsuke Takeno, Fumiaki Kawano, Kousei Tashiro, Makoto Ikenoue, Kazunosuke Yamada, Atsushi Nanashima\",\"doi\":\"10.70352/scrj.cr.25-0033\",\"DOIUrl\":null,\"url\":null,\"abstract\":\"<p><strong>Introduction: </strong>Achalasia is a primary esophageal motility disorder of unknown origin. The clinical manifestations are caused by the loss of peristalsis of the esophagus and functional obstruction at the esophagogastric junction. There are several treatment strategies for esophageal achalasia, such as medications, endoscopic treatment, and surgery. The successful treatment of a case of jejunal interposition surgery with overlap esophago-jejunal anastomosis for an esophageal stricture due to repeated endoscopic dilation for esophageal achalasia is reported.</p><p><strong>Case presentation: </strong>The patient was a 67-year-old man who was diagnosed with esophageal achalasia 13 years earlier. Partial esophagectomy of the portion with the stricture and esophago-jejunal anastomosis using the overlap method were performed for the esophageal stricture due to rupture during endoscopic balloon dilatation. The patient's postoperative recovery was unremarkable, and the dysphagia due to esophageal stricture disappeared.</p><p><strong>Conclusions: </strong>The overlap technique in esophago-jejunal anastomosis after partial esophagectomy was very effective for an esophageal stricture in a patient with achalasia because it made possible the additional resection of endoluminal muscle.</p>\",\"PeriodicalId\":22096,\"journal\":{\"name\":\"Surgical Case Reports\",\"volume\":\"11 1\",\"pages\":\"\"},\"PeriodicalIF\":0.7000,\"publicationDate\":\"2025-01-01\",\"publicationTypes\":\"Journal Article\",\"fieldsOfStudy\":null,\"isOpenAccess\":false,\"openAccessPdf\":\"https://www.ncbi.nlm.nih.gov/pmc/articles/PMC12229793/pdf/\",\"citationCount\":\"0\",\"resultStr\":null,\"platform\":\"Semanticscholar\",\"paperid\":null,\"PeriodicalName\":\"Surgical Case Reports\",\"FirstCategoryId\":\"1085\",\"ListUrlMain\":\"https://doi.org/10.70352/scrj.cr.25-0033\",\"RegionNum\":0,\"RegionCategory\":null,\"ArticlePicture\":[],\"TitleCN\":null,\"AbstractTextCN\":null,\"PMCID\":null,\"EPubDate\":\"2025/6/18 0:00:00\",\"PubModel\":\"Epub\",\"JCR\":\"Q4\",\"JCRName\":\"SURGERY\",\"Score\":null,\"Total\":0}","platform":"Semanticscholar","paperid":null,"PeriodicalName":"Surgical Case Reports","FirstCategoryId":"1085","ListUrlMain":"https://doi.org/10.70352/scrj.cr.25-0033","RegionNum":0,"RegionCategory":null,"ArticlePicture":[],"TitleCN":null,"AbstractTextCN":null,"PMCID":null,"EPubDate":"2025/6/18 0:00:00","PubModel":"Epub","JCR":"Q4","JCRName":"SURGERY","Score":null,"Total":0}
引用次数: 0

摘要

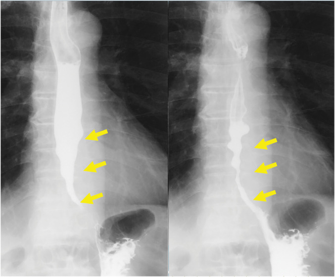
贲门失弛缓症是一种病因不明的原发性食管运动障碍。临床表现为食管蠕动丧失和食管-胃交界处功能性梗阻。食道失弛缓症有几种治疗策略,如药物治疗、内镜治疗和手术。本文报道一例食管空肠间置手术与食管空肠重叠吻合成功治疗食管贲门失弛缓症反复内镜扩张引起的食管狭窄。病例介绍:患者是一名67岁的男性,13年前被诊断为食管贲门失弛缓症。对内镜球囊扩张术中破裂的食管狭窄行食管部分狭窄切除术,食管空肠重叠吻合。患者术后恢复不明显,食管狭窄引起的吞咽困难消失。结论:食道部分切除术后食管空肠吻合术的重叠技术对贲门失弛缓症患者食管狭窄是非常有效的,因为它使额外的腔内肌切除成为可能。
本文章由计算机程序翻译,如有差异,请以英文原文为准。

Jejunal Interposition with Overlap Esophago-Jejunal Anastomosis for an Esophageal Stricture due to Repeated Endoscopic Dilation for Esophageal Achalasia: A Case Report.

Jejunal Interposition with Overlap Esophago-Jejunal Anastomosis for an Esophageal Stricture due to Repeated Endoscopic Dilation for Esophageal Achalasia: A Case Report.

Jejunal Interposition with Overlap Esophago-Jejunal Anastomosis for an Esophageal Stricture due to Repeated Endoscopic Dilation for Esophageal Achalasia: A Case Report.

Jejunal Interposition with Overlap Esophago-Jejunal Anastomosis for an Esophageal Stricture due to Repeated Endoscopic Dilation for Esophageal Achalasia: A Case Report.

Introduction: Achalasia is a primary esophageal motility disorder of unknown origin. The clinical manifestations are caused by the loss of peristalsis of the esophagus and functional obstruction at the esophagogastric junction. There are several treatment strategies for esophageal achalasia, such as medications, endoscopic treatment, and surgery. The successful treatment of a case of jejunal interposition surgery with overlap esophago-jejunal anastomosis for an esophageal stricture due to repeated endoscopic dilation for esophageal achalasia is reported.

Case presentation: The patient was a 67-year-old man who was diagnosed with esophageal achalasia 13 years earlier. Partial esophagectomy of the portion with the stricture and esophago-jejunal anastomosis using the overlap method were performed for the esophageal stricture due to rupture during endoscopic balloon dilatation. The patient's postoperative recovery was unremarkable, and the dysphagia due to esophageal stricture disappeared.

Conclusions: The overlap technique in esophago-jejunal anastomosis after partial esophagectomy was very effective for an esophageal stricture in a patient with achalasia because it made possible the additional resection of endoluminal muscle.

求助全文
通过发布文献求助,成功后即可免费获取论文全文。 去求助
来源期刊
自引率
0.00%
发文量
218
审稿时长
13 weeks
×
引用
GB/T 7714-2015
复制
MLA
复制
APA
复制
导出至
BibTeX EndNote RefMan NoteFirst NoteExpress
×
提示
您的信息不完整,为了账户安全,请先补充。
现在去补充
×
提示
您因"违规操作"
具体请查看互助需知
我知道了
×
提示
确定
请完成安全验证×
copy
已复制链接
快去分享给好友吧!
我知道了
右上角分享
点击右上角分享
0
联系我们:info@booksci.cn Book学术提供免费学术资源搜索服务,方便国内外学者检索中英文文献。致力于提供最便捷和优质的服务体验。 Copyright © 2023 布克学术 All rights reserved.
京ICP备2023020795号-1
ghs 京公网安备 11010802042870号
Book学术文献互助
Book学术文献互助群
群 号:604180095
Book学术官方微信