血液病患者肺炎抵抗经验性治疗的ct表现。

Q3 Medicine
Radiologia Brasileira Pub Date : 2025-07-07 eCollection Date: 2025-01-01 DOI:10.1590/0100-3984.2024.0118
Luca Giuliani, Nicholas Landini, Giorgio Maria Masci, Silvia Palladino, Valeria Panebianco, Giammarco Raponi, Alice Di Rocco, Giuseppe Gentile, Carlo Catalano
{"title":"血液病患者肺炎抵抗经验性治疗的ct表现。","authors":"Luca Giuliani, Nicholas Landini, Giorgio Maria Masci, Silvia Palladino, Valeria Panebianco, Giammarco Raponi, Alice Di Rocco, Giuseppe Gentile, Carlo Catalano","doi":"10.1590/0100-3984.2024.0118","DOIUrl":null,"url":null,"abstract":"<p><strong>Objective: </strong>To investigate computed tomography (CT) features of pneumonia that does not respond to empirical therapy in patients with hematologic diseases.</p><p><strong>Materials and methods: </strong>This was a retrospective analysis of all patients with hematologic disease who were diagnosed with pneumonia between 2017 and 2023, did not respond to empirical therapy for the infection, and underwent bronchoalveolar lavage and CT within a week of each other. The distribution and CT pattern of pulmonary abnormalities were assessed, as was the presence of lymphadenopathy, pleural effusion, and pericardial effusion.</p><p><strong>Results: </strong>Forty-nine patients (30 males; mean age, 61 years) were included. We identified Gram-negative bacteria in 45 patients, Gram-positive bacteria in 13, and fungi in three. Pulmonary abnormalities were bilateral in 73% of the patients in the sample, and there was no difference in prevalence between the upper and lower lung fields in 53%. Common alterations were consolidation, in 73% of the patients, bronchial wall thickening, in 71%, bronchiectasis, in 55%, and nodules, in 53%; extrapulmonary findings were less common, being identified in ≤ 27%. Pulmonary findings were typically bilateral and without a predominance between the upper and lower lung fields (<i>p</i> < 0.05). Common associations were between consolidation and bronchiectasis, between nodules and bronchial wall thickening, and between bronchiectasis and bronchial wall thickening (<i>p</i> < 0.05 for all).</p><p><strong>Conclusion: </strong>The CT manifestations of pneumonia in patients with hematologic diseases not responding to empirical therapy can resemble those of lobular pneumonia with airway inflammation. For that reason, as well as because multiple pathogens can be present in the same patient, examination of bronchoalveolar lavage fluid can be necessary.</p>","PeriodicalId":20842,"journal":{"name":"Radiologia Brasileira","volume":"58 ","pages":"e20240118"},"PeriodicalIF":0.0000,"publicationDate":"2025-07-07","publicationTypes":"Journal Article","fieldsOfStudy":null,"isOpenAccess":false,"openAccessPdf":"https://www.ncbi.nlm.nih.gov/pmc/articles/PMC12233151/pdf/","citationCount":"0","resultStr":"{\"title\":\"Computed tomography findings of pneumonia resistant to empirical therapy in patients with hematologic diseases.\",\"authors\":\"Luca Giuliani, Nicholas Landini, Giorgio Maria Masci, Silvia Palladino, Valeria Panebianco, Giammarco Raponi, Alice Di Rocco, Giuseppe Gentile, Carlo Catalano\",\"doi\":\"10.1590/0100-3984.2024.0118\",\"DOIUrl\":null,\"url\":null,\"abstract\":\"<p><strong>Objective: </strong>To investigate computed tomography (CT) features of pneumonia that does not respond to empirical therapy in patients with hematologic diseases.</p><p><strong>Materials and methods: </strong>This was a retrospective analysis of all patients with hematologic disease who were diagnosed with pneumonia between 2017 and 2023, did not respond to empirical therapy for the infection, and underwent bronchoalveolar lavage and CT within a week of each other. The distribution and CT pattern of pulmonary abnormalities were assessed, as was the presence of lymphadenopathy, pleural effusion, and pericardial effusion.</p><p><strong>Results: </strong>Forty-nine patients (30 males; mean age, 61 years) were included. We identified Gram-negative bacteria in 45 patients, Gram-positive bacteria in 13, and fungi in three. Pulmonary abnormalities were bilateral in 73% of the patients in the sample, and there was no difference in prevalence between the upper and lower lung fields in 53%. Common alterations were consolidation, in 73% of the patients, bronchial wall thickening, in 71%, bronchiectasis, in 55%, and nodules, in 53%; extrapulmonary findings were less common, being identified in ≤ 27%. Pulmonary findings were typically bilateral and without a predominance between the upper and lower lung fields (<i>p</i> < 0.05). Common associations were between consolidation and bronchiectasis, between nodules and bronchial wall thickening, and between bronchiectasis and bronchial wall thickening (<i>p</i> < 0.05 for all).</p><p><strong>Conclusion: </strong>The CT manifestations of pneumonia in patients with hematologic diseases not responding to empirical therapy can resemble those of lobular pneumonia with airway inflammation. For that reason, as well as because multiple pathogens can be present in the same patient, examination of bronchoalveolar lavage fluid can be necessary.</p>\",\"PeriodicalId\":20842,\"journal\":{\"name\":\"Radiologia Brasileira\",\"volume\":\"58 \",\"pages\":\"e20240118\"},\"PeriodicalIF\":0.0000,\"publicationDate\":\"2025-07-07\",\"publicationTypes\":\"Journal Article\",\"fieldsOfStudy\":null,\"isOpenAccess\":false,\"openAccessPdf\":\"https://www.ncbi.nlm.nih.gov/pmc/articles/PMC12233151/pdf/\",\"citationCount\":\"0\",\"resultStr\":null,\"platform\":\"Semanticscholar\",\"paperid\":null,\"PeriodicalName\":\"Radiologia Brasileira\",\"FirstCategoryId\":\"1085\",\"ListUrlMain\":\"https://doi.org/10.1590/0100-3984.2024.0118\",\"RegionNum\":0,\"RegionCategory\":null,\"ArticlePicture\":[],\"TitleCN\":null,\"AbstractTextCN\":null,\"PMCID\":null,\"EPubDate\":\"2025/1/1 0:00:00\",\"PubModel\":\"eCollection\",\"JCR\":\"Q3\",\"JCRName\":\"Medicine\",\"Score\":null,\"Total\":0}","platform":"Semanticscholar","paperid":null,"PeriodicalName":"Radiologia Brasileira","FirstCategoryId":"1085","ListUrlMain":"https://doi.org/10.1590/0100-3984.2024.0118","RegionNum":0,"RegionCategory":null,"ArticlePicture":[],"TitleCN":null,"AbstractTextCN":null,"PMCID":null,"EPubDate":"2025/1/1 0:00:00","PubModel":"eCollection","JCR":"Q3","JCRName":"Medicine","Score":null,"Total":0}
引用次数: 0

摘要

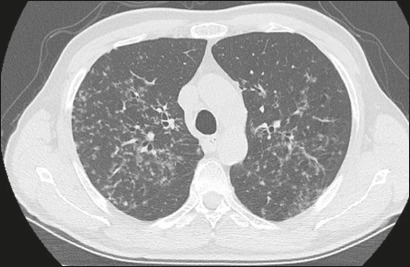
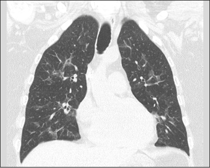
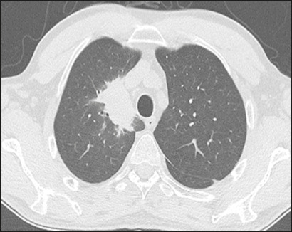
目的:探讨血液病患者经验治疗无效的肺炎的CT特征。材料与方法:回顾性分析2017 - 2023年间诊断为肺炎的所有血液病患者,对感染的经验治疗无反应,并在一周内进行支气管肺泡灌洗和CT。我们评估了肺部异常的分布和CT模式,以及淋巴结病、胸腔积液和心包积液的存在。结果:49例患者(男性30例;平均年龄61岁)。我们在45例患者中鉴定出革兰氏阴性菌,13例革兰氏阳性菌,3例真菌。样本中73%的患者为双侧肺异常,53%的患者上、下肺野患病率无差异。常见的改变是实变(73%)、支气管壁增厚(71%)、支气管扩张(55%)和结节(53%);肺外病变较少见,≤27%。肺部表现典型为双侧,上下肺野间无明显差异(p < 0.05)。实变与支气管扩张、结节与支气管壁增厚、支气管扩张与支气管壁增厚之间的常见相关性(均p < 0.05)。结论:经验治疗无效的血液病患者肺炎的CT表现与伴有气道炎症的小叶性肺炎相似。由于这个原因,以及由于同一患者可能存在多种病原体,检查支气管肺泡灌洗液可能是必要的。
本文章由计算机程序翻译,如有差异,请以英文原文为准。

Computed tomography findings of pneumonia resistant to empirical therapy in patients with hematologic diseases.

Computed tomography findings of pneumonia resistant to empirical therapy in patients with hematologic diseases.

Computed tomography findings of pneumonia resistant to empirical therapy in patients with hematologic diseases.

Computed tomography findings of pneumonia resistant to empirical therapy in patients with hematologic diseases.

Objective: To investigate computed tomography (CT) features of pneumonia that does not respond to empirical therapy in patients with hematologic diseases.

Materials and methods: This was a retrospective analysis of all patients with hematologic disease who were diagnosed with pneumonia between 2017 and 2023, did not respond to empirical therapy for the infection, and underwent bronchoalveolar lavage and CT within a week of each other. The distribution and CT pattern of pulmonary abnormalities were assessed, as was the presence of lymphadenopathy, pleural effusion, and pericardial effusion.

Results: Forty-nine patients (30 males; mean age, 61 years) were included. We identified Gram-negative bacteria in 45 patients, Gram-positive bacteria in 13, and fungi in three. Pulmonary abnormalities were bilateral in 73% of the patients in the sample, and there was no difference in prevalence between the upper and lower lung fields in 53%. Common alterations were consolidation, in 73% of the patients, bronchial wall thickening, in 71%, bronchiectasis, in 55%, and nodules, in 53%; extrapulmonary findings were less common, being identified in ≤ 27%. Pulmonary findings were typically bilateral and without a predominance between the upper and lower lung fields (p < 0.05). Common associations were between consolidation and bronchiectasis, between nodules and bronchial wall thickening, and between bronchiectasis and bronchial wall thickening (p < 0.05 for all).

Conclusion: The CT manifestations of pneumonia in patients with hematologic diseases not responding to empirical therapy can resemble those of lobular pneumonia with airway inflammation. For that reason, as well as because multiple pathogens can be present in the same patient, examination of bronchoalveolar lavage fluid can be necessary.

求助全文
通过发布文献求助,成功后即可免费获取论文全文。 去求助
来源期刊
Radiologia Brasileira
Radiologia Brasileira Medicine-Radiology, Nuclear Medicine and Imaging
CiteScore
2.60
自引率
0.00%
发文量
75
审稿时长
28 weeks
×
引用
GB/T 7714-2015
复制
MLA
复制
APA
复制
导出至
BibTeX EndNote RefMan NoteFirst NoteExpress
×
提示
您的信息不完整,为了账户安全,请先补充。
现在去补充
×
提示
您因"违规操作"
具体请查看互助需知
我知道了
×
提示
确定
请完成安全验证×
copy
已复制链接
快去分享给好友吧!
我知道了
右上角分享
点击右上角分享
0
联系我们:info@booksci.cn Book学术提供免费学术资源搜索服务,方便国内外学者检索中英文文献。致力于提供最便捷和优质的服务体验。 Copyright © 2023 布克学术 All rights reserved.
京ICP备2023020795号-1
ghs 京公网安备 11010802042870号
Book学术文献互助
Book学术文献互助群
群 号:604180095
Book学术官方微信