人乳头瘤病毒(HPV)基因分型和HPV E4蛋白及转录因子NANOG和SOX11在宫颈不典型p16斑片状鳞状上皮中的预后价值

IF 2.2 4区 医学 Q3 ONCOLOGY
Radiology and Oncology Pub Date : 2025-07-08 eCollection Date: 2025-09-01 DOI:10.2478/raon-2025-0038
Maja Kebe Radulovic, Anja Ostrbenk, Mario Poljak, Margareta Strojan-Flezar
{"title":"人乳头瘤病毒(HPV)基因分型和HPV E4蛋白及转录因子NANOG和SOX11在宫颈不典型p16斑片状鳞状上皮中的预后价值","authors":"Maja Kebe Radulovic, Anja Ostrbenk, Mario Poljak, Margareta Strojan-Flezar","doi":"10.2478/raon-2025-0038","DOIUrl":null,"url":null,"abstract":"<p><strong>Background: </strong>Immunohistochemical staining for p16 is used to differentiate precancerous cervical lesions in tissue samples, but the interpretation of patchy p16 expression remains challenging. We performed human papillomavirus (HPV) genotyping and evaluated immunohistochemical expression of HPV E4 protein - a marker for transient infections, stem cell transcription factor NANOG, and transcription factor SOX11 to detect possible high-grade squamous lesions in atypical p16 patchy squamous epithelium.</p><p><strong>Materials and methods: </strong>We analyzed 24 cervical tissue samples with atypical squamous epithelium and patchy p16 expression along with the following controls: 11 cases of atypical squamous epithelium with null p16 expression, 9 condylomas, 12 cases of cervical intraepithelial neoplasia (CIN) grade 1, 11 cases of CIN2, and 9 cases of CIN3. In addition, HPV genotyping of tissue and related cervical smears from up to two years prior to biopsy was performed. Immunohistochemical staining for Ki67, HPV E4, NANOG, and SOX11 was performed and compared with follow-up data.</p><p><strong>Results: </strong>High-risk HPV infection was detected in 6/24 cases with patchy p16 expression and HPV E4 was expressed in 1/24 cases with patchy p16, weak NANOG expression was found in 11/24 cases with patchy p16 expression while no SOX11 expression was observed. During 10 months of follow-up, additional CIN1 and two CIN3 were identified, and another CIN1 and CIN3 after 5 and 6 years, accordingly.</p><p><strong>Conclusions: </strong>Our study showed that atypical squamous epithelium with patchy p16 expression poses a risk for highgrade precancerous lesions, harbouring high-risk HPV infection. Novel markers may hold diagnostic value in other specific contexts.</p>","PeriodicalId":21034,"journal":{"name":"Radiology and Oncology","volume":" ","pages":"391-402"},"PeriodicalIF":2.2000,"publicationDate":"2025-07-08","publicationTypes":"Journal Article","fieldsOfStudy":null,"isOpenAccess":false,"openAccessPdf":"https://www.ncbi.nlm.nih.gov/pmc/articles/PMC12441885/pdf/","citationCount":"0","resultStr":"{\"title\":\"Human papillomavirus (HPV) genotyping and prognostic value of HPV E4 protein and transcription factors NANOG and SOX11 in atypical p16 patchy squamous epithelium of cervix.\",\"authors\":\"Maja Kebe Radulovic, Anja Ostrbenk, Mario Poljak, Margareta Strojan-Flezar\",\"doi\":\"10.2478/raon-2025-0038\",\"DOIUrl\":null,\"url\":null,\"abstract\":\"<p><strong>Background: </strong>Immunohistochemical staining for p16 is used to differentiate precancerous cervical lesions in tissue samples, but the interpretation of patchy p16 expression remains challenging. We performed human papillomavirus (HPV) genotyping and evaluated immunohistochemical expression of HPV E4 protein - a marker for transient infections, stem cell transcription factor NANOG, and transcription factor SOX11 to detect possible high-grade squamous lesions in atypical p16 patchy squamous epithelium.</p><p><strong>Materials and methods: </strong>We analyzed 24 cervical tissue samples with atypical squamous epithelium and patchy p16 expression along with the following controls: 11 cases of atypical squamous epithelium with null p16 expression, 9 condylomas, 12 cases of cervical intraepithelial neoplasia (CIN) grade 1, 11 cases of CIN2, and 9 cases of CIN3. In addition, HPV genotyping of tissue and related cervical smears from up to two years prior to biopsy was performed. Immunohistochemical staining for Ki67, HPV E4, NANOG, and SOX11 was performed and compared with follow-up data.</p><p><strong>Results: </strong>High-risk HPV infection was detected in 6/24 cases with patchy p16 expression and HPV E4 was expressed in 1/24 cases with patchy p16, weak NANOG expression was found in 11/24 cases with patchy p16 expression while no SOX11 expression was observed. During 10 months of follow-up, additional CIN1 and two CIN3 were identified, and another CIN1 and CIN3 after 5 and 6 years, accordingly.</p><p><strong>Conclusions: </strong>Our study showed that atypical squamous epithelium with patchy p16 expression poses a risk for highgrade precancerous lesions, harbouring high-risk HPV infection. Novel markers may hold diagnostic value in other specific contexts.</p>\",\"PeriodicalId\":21034,\"journal\":{\"name\":\"Radiology and Oncology\",\"volume\":\" \",\"pages\":\"391-402\"},\"PeriodicalIF\":2.2000,\"publicationDate\":\"2025-07-08\",\"publicationTypes\":\"Journal Article\",\"fieldsOfStudy\":null,\"isOpenAccess\":false,\"openAccessPdf\":\"https://www.ncbi.nlm.nih.gov/pmc/articles/PMC12441885/pdf/\",\"citationCount\":\"0\",\"resultStr\":null,\"platform\":\"Semanticscholar\",\"paperid\":null,\"PeriodicalName\":\"Radiology and Oncology\",\"FirstCategoryId\":\"3\",\"ListUrlMain\":\"https://doi.org/10.2478/raon-2025-0038\",\"RegionNum\":4,\"RegionCategory\":\"医学\",\"ArticlePicture\":[],\"TitleCN\":null,\"AbstractTextCN\":null,\"PMCID\":null,\"EPubDate\":\"2025/9/1 0:00:00\",\"PubModel\":\"eCollection\",\"JCR\":\"Q3\",\"JCRName\":\"ONCOLOGY\",\"Score\":null,\"Total\":0}","platform":"Semanticscholar","paperid":null,"PeriodicalName":"Radiology and Oncology","FirstCategoryId":"3","ListUrlMain":"https://doi.org/10.2478/raon-2025-0038","RegionNum":4,"RegionCategory":"医学","ArticlePicture":[],"TitleCN":null,"AbstractTextCN":null,"PMCID":null,"EPubDate":"2025/9/1 0:00:00","PubModel":"eCollection","JCR":"Q3","JCRName":"ONCOLOGY","Score":null,"Total":0}
引用次数: 0

摘要

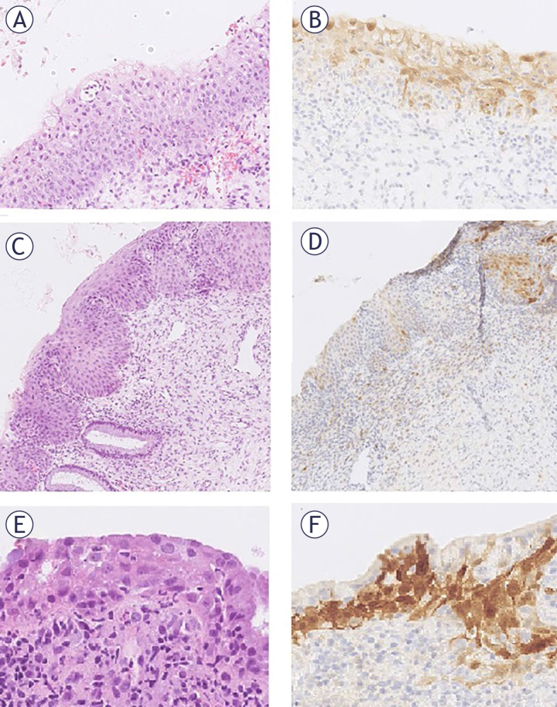
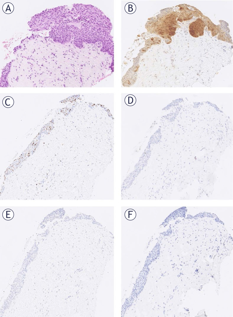
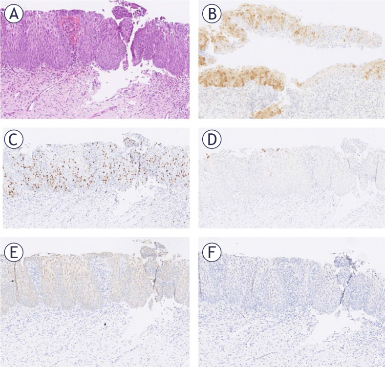
背景:p16的免疫组织化学染色用于区分组织样本中的宫颈癌前病变,但解释斑块性p16表达仍然具有挑战性。我们进行了人乳头瘤病毒(HPV)基因分型,并评估了HPV E4蛋白(一种短暂感染的标志物)、干细胞转录因子NANOG和转录因子SOX11的免疫组织化学表达,以检测非典型p16斑片状鳞状上皮中可能的高级别鳞状病变。材料和方法:我们分析了24例不典型鳞状上皮和斑块状p16表达的宫颈组织样本,并进行了以下对照:11例p16不表达的不典型鳞状上皮,9例尖锐湿疣,12例宫颈上皮内瘤变(CIN) 1级,11例CIN2级,9例CIN3级。此外,对活检前两年的组织和相关宫颈涂片进行HPV基因分型。对Ki67、HPV E4、NANOG和SOX11进行免疫组化染色,并对随访数据进行比较。结果:6/24 p16斑块表达的病例中检测到高危HPV感染,1/24 p16斑块表达的病例中检测到HPV E4表达,11/24 p16斑块表达的病例中检测到NANOG弱表达,未观察到SOX11表达。在10个月的随访中,发现了额外的CIN1和2个CIN3,相应的,在5年和6年后又发现了一个CIN1和CIN3。结论:我们的研究表明,p16斑块表达的非典型鳞状上皮有发生高级别癌前病变的风险,是高危HPV感染的窝点。新的标记物可能在其他特定情况下具有诊断价值。
本文章由计算机程序翻译,如有差异,请以英文原文为准。

Human papillomavirus (HPV) genotyping and prognostic value of HPV E4 protein and transcription factors NANOG and SOX11 in atypical p16 patchy squamous epithelium of cervix.

Human papillomavirus (HPV) genotyping and prognostic value of HPV E4 protein and transcription factors NANOG and SOX11 in atypical p16 patchy squamous epithelium of cervix.

Human papillomavirus (HPV) genotyping and prognostic value of HPV E4 protein and transcription factors NANOG and SOX11 in atypical p16 patchy squamous epithelium of cervix.

Human papillomavirus (HPV) genotyping and prognostic value of HPV E4 protein and transcription factors NANOG and SOX11 in atypical p16 patchy squamous epithelium of cervix.

Background: Immunohistochemical staining for p16 is used to differentiate precancerous cervical lesions in tissue samples, but the interpretation of patchy p16 expression remains challenging. We performed human papillomavirus (HPV) genotyping and evaluated immunohistochemical expression of HPV E4 protein - a marker for transient infections, stem cell transcription factor NANOG, and transcription factor SOX11 to detect possible high-grade squamous lesions in atypical p16 patchy squamous epithelium.

Materials and methods: We analyzed 24 cervical tissue samples with atypical squamous epithelium and patchy p16 expression along with the following controls: 11 cases of atypical squamous epithelium with null p16 expression, 9 condylomas, 12 cases of cervical intraepithelial neoplasia (CIN) grade 1, 11 cases of CIN2, and 9 cases of CIN3. In addition, HPV genotyping of tissue and related cervical smears from up to two years prior to biopsy was performed. Immunohistochemical staining for Ki67, HPV E4, NANOG, and SOX11 was performed and compared with follow-up data.

Results: High-risk HPV infection was detected in 6/24 cases with patchy p16 expression and HPV E4 was expressed in 1/24 cases with patchy p16, weak NANOG expression was found in 11/24 cases with patchy p16 expression while no SOX11 expression was observed. During 10 months of follow-up, additional CIN1 and two CIN3 were identified, and another CIN1 and CIN3 after 5 and 6 years, accordingly.

Conclusions: Our study showed that atypical squamous epithelium with patchy p16 expression poses a risk for highgrade precancerous lesions, harbouring high-risk HPV infection. Novel markers may hold diagnostic value in other specific contexts.

求助全文
通过发布文献求助,成功后即可免费获取论文全文。 去求助
来源期刊
Radiology and Oncology
Radiology and Oncology ONCOLOGY-RADIOLOGY, NUCLEAR MEDICINE & MEDICAL IMAGING
CiteScore
4.40
自引率
0.00%
发文量
42
审稿时长
>12 weeks
期刊介绍: Radiology and Oncology is a multidisciplinary journal devoted to the publishing original and high quality scientific papers and review articles, pertinent to diagnostic and interventional radiology, computerized tomography, magnetic resonance, ultrasound, nuclear medicine, radiotherapy, clinical and experimental oncology, radiobiology, medical physics and radiation protection. Therefore, the scope of the journal is to cover beside radiology the diagnostic and therapeutic aspects in oncology, which distinguishes it from other journals in the field.
×
引用
GB/T 7714-2015
复制
MLA
复制
APA
复制
导出至
BibTeX EndNote RefMan NoteFirst NoteExpress
×
提示
您的信息不完整,为了账户安全,请先补充。
现在去补充
×
提示
您因"违规操作"
具体请查看互助需知
我知道了
×
提示
确定
请完成安全验证×
copy
已复制链接
快去分享给好友吧!
我知道了
右上角分享
点击右上角分享
0
联系我们:info@booksci.cn Book学术提供免费学术资源搜索服务,方便国内外学者检索中英文文献。致力于提供最便捷和优质的服务体验。 Copyright © 2023 布克学术 All rights reserved.
京ICP备2023020795号-1
ghs 京公网安备 11010802042870号
Book学术文献互助
Book学术文献互助群
群 号:604180095
Book学术官方微信