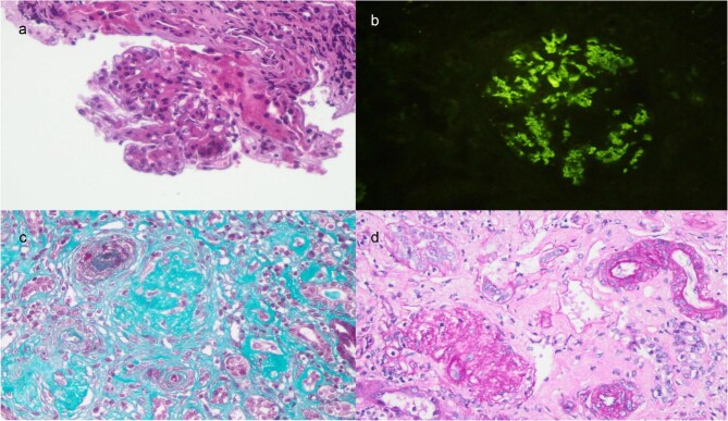
IgA肾病和血栓性微血管病变患者c -末端TREX1 c.914A >g变异:扩大IgA肾病伴微血管病变的临床和遗传谱

IF 4.6 2区 医学 Q1 UROLOGY & NEPHROLOGY
Clinical Kidney Journal Pub Date : 2025-06-14 eCollection Date: 2025-07-01 DOI:10.1093/ckj/sfaf191
Ahmet Burak Dirim, Elif Yilmaz Gulec, Ozge Hurdogan, Yasemin Ozluk, Safak Mirioglu, Ayse Serra Artan, Ozgur Akin Oto, Halil Yazici
{"title":"IgA肾病和血栓性微血管病变患者c -末端TREX1 c.914A >g变异:扩大IgA肾病伴微血管病变的临床和遗传谱","authors":"Ahmet Burak Dirim, Elif Yilmaz Gulec, Ozge Hurdogan, Yasemin Ozluk, Safak Mirioglu, Ayse Serra Artan, Ozgur Akin Oto, Halil Yazici","doi":"10.1093/ckj/sfaf191","DOIUrl":null,"url":null,"abstract":"","PeriodicalId":10435,"journal":{"name":"Clinical Kidney Journal","volume":"18 7","pages":"sfaf191"},"PeriodicalIF":4.6000,"publicationDate":"2025-06-14","publicationTypes":"Journal Article","fieldsOfStudy":null,"isOpenAccess":false,"openAccessPdf":"https://www.ncbi.nlm.nih.gov/pmc/articles/PMC12230548/pdf/","citationCount":"0","resultStr":"{\"title\":\"C-terminal <i>TREX1</i> c.914A>G variant in a patient with IgA nephropathy and thrombotic microangiopathy: expanding the clinical and genetic spectrum of IgA nephropathy with microangiopathic lesions.\",\"authors\":\"Ahmet Burak Dirim, Elif Yilmaz Gulec, Ozge Hurdogan, Yasemin Ozluk, Safak Mirioglu, Ayse Serra Artan, Ozgur Akin Oto, Halil Yazici\",\"doi\":\"10.1093/ckj/sfaf191\",\"DOIUrl\":null,\"url\":null,\"abstract\":\"\",\"PeriodicalId\":10435,\"journal\":{\"name\":\"Clinical Kidney Journal\",\"volume\":\"18 7\",\"pages\":\"sfaf191\"},\"PeriodicalIF\":4.6000,\"publicationDate\":\"2025-06-14\",\"publicationTypes\":\"Journal Article\",\"fieldsOfStudy\":null,\"isOpenAccess\":false,\"openAccessPdf\":\"https://www.ncbi.nlm.nih.gov/pmc/articles/PMC12230548/pdf/\",\"citationCount\":\"0\",\"resultStr\":null,\"platform\":\"Semanticscholar\",\"paperid\":null,\"PeriodicalName\":\"Clinical Kidney Journal\",\"FirstCategoryId\":\"3\",\"ListUrlMain\":\"https://doi.org/10.1093/ckj/sfaf191\",\"RegionNum\":2,\"RegionCategory\":\"医学\",\"ArticlePicture\":[],\"TitleCN\":null,\"AbstractTextCN\":null,\"PMCID\":null,\"EPubDate\":\"2025/7/1 0:00:00\",\"PubModel\":\"eCollection\",\"JCR\":\"Q1\",\"JCRName\":\"UROLOGY & NEPHROLOGY\",\"Score\":null,\"Total\":0}","platform":"Semanticscholar","paperid":null,"PeriodicalName":"Clinical Kidney Journal","FirstCategoryId":"3","ListUrlMain":"https://doi.org/10.1093/ckj/sfaf191","RegionNum":2,"RegionCategory":"医学","ArticlePicture":[],"TitleCN":null,"AbstractTextCN":null,"PMCID":null,"EPubDate":"2025/7/1 0:00:00","PubModel":"eCollection","JCR":"Q1","JCRName":"UROLOGY & NEPHROLOGY","Score":null,"Total":0}
引用次数: 0

摘要

本文章由计算机程序翻译,如有差异,请以英文原文为准。

C-terminal <i>TREX1</i> c.914A>G variant in a patient with IgA nephropathy and thrombotic microangiopathy: expanding the clinical and genetic spectrum of IgA nephropathy with microangiopathic lesions.

C-terminal TREX1 c.914A>G variant in a patient with IgA nephropathy and thrombotic microangiopathy: expanding the clinical and genetic spectrum of IgA nephropathy with microangiopathic lesions.
求助全文
通过发布文献求助,成功后即可免费获取论文全文。 去求助
来源期刊
Clinical Kidney Journal
Clinical Kidney Journal Medicine-Transplantation
CiteScore
6.70
自引率
10.90%
发文量
242
审稿时长
8 weeks
期刊介绍: About the Journal Clinical Kidney Journal: Clinical and Translational Nephrology (ckj), an official journal of the ERA-EDTA (European Renal Association-European Dialysis and Transplant Association), is a fully open access, online only journal publishing bimonthly. The journal is an essential educational and training resource integrating clinical, translational and educational research into clinical practice. ckj aims to contribute to a translational research culture among nephrologists and kidney pathologists that helps close the gap between basic researchers and practicing clinicians and promote sorely needed innovation in the Nephrology field. All research articles in this journal have undergone peer review.
×
引用
GB/T 7714-2015
复制
MLA
复制
APA
复制
导出至
BibTeX EndNote RefMan NoteFirst NoteExpress
×
提示
您的信息不完整,为了账户安全,请先补充。
现在去补充
×
提示
您因"违规操作"
具体请查看互助需知
我知道了
×
提示
确定
请完成安全验证×
copy
已复制链接
快去分享给好友吧!
我知道了
右上角分享
点击右上角分享
0
联系我们:info@booksci.cn Book学术提供免费学术资源搜索服务,方便国内外学者检索中英文文献。致力于提供最便捷和优质的服务体验。 Copyright © 2023 布克学术 All rights reserved.
京ICP备2023020795号-1
ghs 京公网安备 11010802042870号
Book学术文献互助
Book学术文献互助群
群 号:604180095
Book学术官方微信