商用头颈癌放疗自动轮廓软件的实际性能评价。

IF 3.4 4区 医学 Q3 RADIOLOGY, NUCLEAR MEDICINE & MEDICAL IMAGING
Tom Young, Victoria Butterworth, Sarah Misson, Delali Adjogatse, Anthony Kong, Imran Petkar, Miguel Reis Ferreira, Mary Lei, Andrew King, Teresa Guerrero Urbano
{"title":"商用头颈癌放疗自动轮廓软件的实际性能评价。","authors":"Tom Young, Victoria Butterworth, Sarah Misson, Delali Adjogatse, Anthony Kong, Imran Petkar, Miguel Reis Ferreira, Mary Lei, Andrew King, Teresa Guerrero Urbano","doi":"10.1093/bjr/tqaf098","DOIUrl":null,"url":null,"abstract":"<p><strong>Objectives: </strong>To comprehensively evaluate the ability of ART-Plan (autocontouring software using artificial intelligence [AI]) to contour head and neck cancer (HNC) radiotherapy structures (organs-at-risk and elective nodal volumes) in a real-world setting, as required by NICE guidelines.</p><p><strong>Methods: </strong>Retrospective evaluation (n = 60) compared clinically used contours to AI-contours, using volumetric dice similarity coefficient (VDSC) and blinded radiation oncologist (RO) contour preference assessment. AI-contours were then generated prospectively for HNC radiotherapy patients (n = 61), before review by ROs. ROs recorded qualitative scoring and review/editing time. Geometric and dosimetric comparison of AI-contours and final contours was undertaken. Correlation coefficients between all metrics were calculated.</p><p><strong>Results: </strong>Retrospective median VDSC varied widely for different structures (0.23-0.88). 31.4% blinded contour assessments preferred clinician-generated contours, 32.9% preferred AI-generated contours, 35.7% saw no significant difference. Prospective evaluation showed AI-contour yielded significant time-saving in reviewing/editing for all structures compared to manual contouring. Qualitative scores demonstrated most structures had median scoring ≥4 (indicating no editing required). Geometric metrics showed high similarity for all structures except larynx. Dosimetric evaluation demonstrated clinically significant dose differences for larynx and elective nodal volumes. Strong correlation was seen between qualitative scoring and all geometric metrics.</p><p><strong>Conclusions: </strong>AI-contours showed excellent qualitative performance and facilitated time-saving. Protocol differences exist between commercial AI-solutions and implementing centres. Ongoing final clinician review of AI-contours remains essential.</p><p><strong>Advances in knowledge: </strong>This is the first study demonstrating ART-Plan's capability for excellent qualitative ratings and significant time-savings for HNC radiotherapy contouring in a real-world workflow setting. 5-point Likert-scale qualitative scoring correlates strongly with geometric metrics.</p>","PeriodicalId":9306,"journal":{"name":"British Journal of Radiology","volume":" ","pages":"1632-1641"},"PeriodicalIF":3.4000,"publicationDate":"2025-10-01","publicationTypes":"Journal Article","fieldsOfStudy":null,"isOpenAccess":false,"openAccessPdf":"https://www.ncbi.nlm.nih.gov/pmc/articles/PMC12515040/pdf/","citationCount":"0","resultStr":"{\"title\":\"Real-world performance evaluation of commercial autocontouring software for head and neck cancer radiotherapy.\",\"authors\":\"Tom Young, Victoria Butterworth, Sarah Misson, Delali Adjogatse, Anthony Kong, Imran Petkar, Miguel Reis Ferreira, Mary Lei, Andrew King, Teresa Guerrero Urbano\",\"doi\":\"10.1093/bjr/tqaf098\",\"DOIUrl\":null,\"url\":null,\"abstract\":\"<p><strong>Objectives: </strong>To comprehensively evaluate the ability of ART-Plan (autocontouring software using artificial intelligence [AI]) to contour head and neck cancer (HNC) radiotherapy structures (organs-at-risk and elective nodal volumes) in a real-world setting, as required by NICE guidelines.</p><p><strong>Methods: </strong>Retrospective evaluation (n = 60) compared clinically used contours to AI-contours, using volumetric dice similarity coefficient (VDSC) and blinded radiation oncologist (RO) contour preference assessment. AI-contours were then generated prospectively for HNC radiotherapy patients (n = 61), before review by ROs. ROs recorded qualitative scoring and review/editing time. Geometric and dosimetric comparison of AI-contours and final contours was undertaken. Correlation coefficients between all metrics were calculated.</p><p><strong>Results: </strong>Retrospective median VDSC varied widely for different structures (0.23-0.88). 31.4% blinded contour assessments preferred clinician-generated contours, 32.9% preferred AI-generated contours, 35.7% saw no significant difference. Prospective evaluation showed AI-contour yielded significant time-saving in reviewing/editing for all structures compared to manual contouring. Qualitative scores demonstrated most structures had median scoring ≥4 (indicating no editing required). Geometric metrics showed high similarity for all structures except larynx. Dosimetric evaluation demonstrated clinically significant dose differences for larynx and elective nodal volumes. Strong correlation was seen between qualitative scoring and all geometric metrics.</p><p><strong>Conclusions: </strong>AI-contours showed excellent qualitative performance and facilitated time-saving. Protocol differences exist between commercial AI-solutions and implementing centres. Ongoing final clinician review of AI-contours remains essential.</p><p><strong>Advances in knowledge: </strong>This is the first study demonstrating ART-Plan's capability for excellent qualitative ratings and significant time-savings for HNC radiotherapy contouring in a real-world workflow setting. 5-point Likert-scale qualitative scoring correlates strongly with geometric metrics.</p>\",\"PeriodicalId\":9306,\"journal\":{\"name\":\"British Journal of Radiology\",\"volume\":\" \",\"pages\":\"1632-1641\"},\"PeriodicalIF\":3.4000,\"publicationDate\":\"2025-10-01\",\"publicationTypes\":\"Journal Article\",\"fieldsOfStudy\":null,\"isOpenAccess\":false,\"openAccessPdf\":\"https://www.ncbi.nlm.nih.gov/pmc/articles/PMC12515040/pdf/\",\"citationCount\":\"0\",\"resultStr\":null,\"platform\":\"Semanticscholar\",\"paperid\":null,\"PeriodicalName\":\"British Journal of Radiology\",\"FirstCategoryId\":\"3\",\"ListUrlMain\":\"https://doi.org/10.1093/bjr/tqaf098\",\"RegionNum\":4,\"RegionCategory\":\"医学\",\"ArticlePicture\":[],\"TitleCN\":null,\"AbstractTextCN\":null,\"PMCID\":null,\"EPubDate\":\"\",\"PubModel\":\"\",\"JCR\":\"Q3\",\"JCRName\":\"RADIOLOGY, NUCLEAR MEDICINE & MEDICAL IMAGING\",\"Score\":null,\"Total\":0}","platform":"Semanticscholar","paperid":null,"PeriodicalName":"British Journal of Radiology","FirstCategoryId":"3","ListUrlMain":"https://doi.org/10.1093/bjr/tqaf098","RegionNum":4,"RegionCategory":"医学","ArticlePicture":[],"TitleCN":null,"AbstractTextCN":null,"PMCID":null,"EPubDate":"","PubModel":"","JCR":"Q3","JCRName":"RADIOLOGY, NUCLEAR MEDICINE & MEDICAL IMAGING","Score":null,"Total":0}
引用次数: 0

摘要

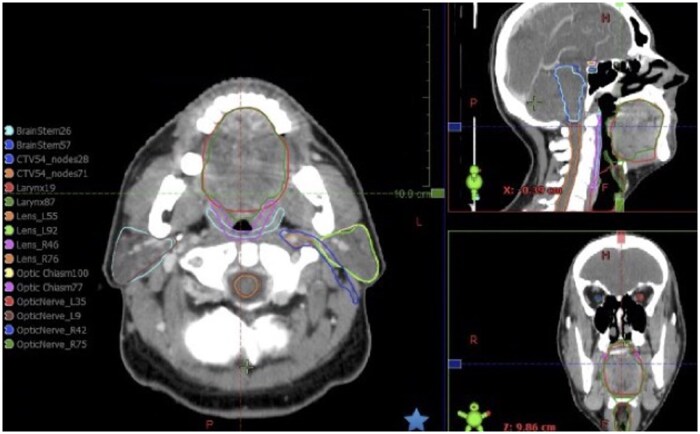
目的:根据NICE指南的要求,综合评估ART-Plan™(使用人工智能(AI)的自动轮廓软件)在现实环境中轮廓头颈癌(HNC)放疗结构(高危器官和可选淋巴结体积)的能力。方法:回顾性评价(n = 60)比较临床使用的轮廓与人工智能轮廓,采用体积骰子相似系数(VDSC)和盲法放射肿瘤学家(RO)轮廓偏好评估。然后对HNC放疗患者(n = 61)前瞻性地生成ai轮廓,然后进行ROs复查。ro记录定性评分和评审/编辑时间。人工智能轮廓线与最终轮廓线进行几何和剂量学比较。计算各指标之间的相关系数。结果:不同结构的回顾性中位VDSC差异很大(0.23-0.88)。31.4%的盲法轮廓评估者更喜欢临床医生生成的轮廓,32.9%的人更喜欢人工智能生成的轮廓,35.7%的人没有显著差异。前瞻性评估表明,与手动轮廓相比,人工智能轮廓在审查/编辑所有结构时节省了大量时间。定性评分显示大多数结构的中位数评分≥4(表明不需要编辑)。除喉部外,其余部位的几何特征均具有较高的相似性。剂量学评估显示喉和选择性淋巴结体积的临床显著剂量差异。定性评分与所有几何指标之间存在很强的相关性。结论:人工智能轮廓具有良好的定性性能,有利于节省时间。商业人工智能解决方案和实施中心之间存在协议差异。正在进行的人工智能轮廓的最终临床医生审查仍然至关重要。知识的进步:这是第一个证明ART-Plan™在现实工作流程设置中具有卓越定性评级和显著节省HNC放疗轮廓时间的能力的研究。5分李克特量表定性评分与几何指标密切相关。
本文章由计算机程序翻译,如有差异,请以英文原文为准。

Real-world performance evaluation of commercial autocontouring software for head and neck cancer radiotherapy.

Real-world performance evaluation of commercial autocontouring software for head and neck cancer radiotherapy.

Real-world performance evaluation of commercial autocontouring software for head and neck cancer radiotherapy.

Real-world performance evaluation of commercial autocontouring software for head and neck cancer radiotherapy.

Objectives: To comprehensively evaluate the ability of ART-Plan (autocontouring software using artificial intelligence [AI]) to contour head and neck cancer (HNC) radiotherapy structures (organs-at-risk and elective nodal volumes) in a real-world setting, as required by NICE guidelines.

Methods: Retrospective evaluation (n = 60) compared clinically used contours to AI-contours, using volumetric dice similarity coefficient (VDSC) and blinded radiation oncologist (RO) contour preference assessment. AI-contours were then generated prospectively for HNC radiotherapy patients (n = 61), before review by ROs. ROs recorded qualitative scoring and review/editing time. Geometric and dosimetric comparison of AI-contours and final contours was undertaken. Correlation coefficients between all metrics were calculated.

Results: Retrospective median VDSC varied widely for different structures (0.23-0.88). 31.4% blinded contour assessments preferred clinician-generated contours, 32.9% preferred AI-generated contours, 35.7% saw no significant difference. Prospective evaluation showed AI-contour yielded significant time-saving in reviewing/editing for all structures compared to manual contouring. Qualitative scores demonstrated most structures had median scoring ≥4 (indicating no editing required). Geometric metrics showed high similarity for all structures except larynx. Dosimetric evaluation demonstrated clinically significant dose differences for larynx and elective nodal volumes. Strong correlation was seen between qualitative scoring and all geometric metrics.

Conclusions: AI-contours showed excellent qualitative performance and facilitated time-saving. Protocol differences exist between commercial AI-solutions and implementing centres. Ongoing final clinician review of AI-contours remains essential.

Advances in knowledge: This is the first study demonstrating ART-Plan's capability for excellent qualitative ratings and significant time-savings for HNC radiotherapy contouring in a real-world workflow setting. 5-point Likert-scale qualitative scoring correlates strongly with geometric metrics.

求助全文
通过发布文献求助,成功后即可免费获取论文全文。 去求助
来源期刊
British Journal of Radiology
British Journal of Radiology 医学-核医学
CiteScore
5.30
自引率
3.80%
发文量
330
审稿时长
2-4 weeks
期刊介绍: BJR is the international research journal of the British Institute of Radiology and is the oldest scientific journal in the field of radiology and related sciences. Dating back to 1896, BJR’s history is radiology’s history, and the journal has featured some landmark papers such as the first description of Computed Tomography "Computerized transverse axial tomography" by Godfrey Hounsfield in 1973. A valuable historical resource, the complete BJR archive has been digitized from 1896. Quick Facts: - 2015 Impact Factor – 1.840 - Receipt to first decision – average of 6 weeks - Acceptance to online publication – average of 3 weeks - ISSN: 0007-1285 - eISSN: 1748-880X Open Access option
×
引用
GB/T 7714-2015
复制
MLA
复制
APA
复制
导出至
BibTeX EndNote RefMan NoteFirst NoteExpress
×
提示
您的信息不完整,为了账户安全,请先补充。
现在去补充
×
提示
您因"违规操作"
具体请查看互助需知
我知道了
×
提示
确定
请完成安全验证×
copy
已复制链接
快去分享给好友吧!
我知道了
右上角分享
点击右上角分享
0
联系我们:info@booksci.cn Book学术提供免费学术资源搜索服务,方便国内外学者检索中英文文献。致力于提供最便捷和优质的服务体验。 Copyright © 2023 布克学术 All rights reserved.
京ICP备2023020795号-1
ghs 京公网安备 11010802042870号
Book学术文献互助
Book学术文献互助群
群 号:604180095
Book学术官方微信