家猫多卵母细胞卵泡(POFs)的定量测定。

IF 2.1 4区 农林科学 Q2 AGRICULTURE, DAIRY & ANIMAL SCIENCE
Animal Reproduction Pub Date : 2025-07-04 eCollection Date: 2025-01-01 DOI:10.1590/1984-3143-AR2024-0127
Alexandra Lays Petri, Mariana Valentini Casagrande, Adalgiza Pinto, Jonatas Cattelam, Camila Keterine Gorzelanski Trenkel, Jacqueline Zanella, Leonardo Gruchouskei
{"title":"家猫多卵母细胞卵泡(POFs)的定量测定。","authors":"Alexandra Lays Petri, Mariana Valentini Casagrande, Adalgiza Pinto, Jonatas Cattelam, Camila Keterine Gorzelanski Trenkel, Jacqueline Zanella, Leonardo Gruchouskei","doi":"10.1590/1984-3143-AR2024-0127","DOIUrl":null,"url":null,"abstract":"<p><p>Ovarian follicles usually involve only one oocyte. However, the existence of follicles with more than one oocyte has been described in different species. Therefore, this study evaluated the occurrence and number of Polyoocyte Follicles (POFs) in the ovaries of cats undergoing the ovariohysterectomy technique. For this purpose, ovaries from 33 cats were collected and submitted to histological preparation and analysis. The slides were evaluated under a microscope by two evaluators, who quantified the presence of follicles containing one or more oocytes and classified the follicular stage. Monoocyte follicles (MOFs) were found in all ovaries. POFs were observed at similar frequencies in both the right and left ovaries. The frequency of POFs with two oocytes was 79.03% in the right ovaries and 75.75% in the left ovaries. Follicles with three oocytes were found in 16.12% of the right ovaries and 27.27% of the left ovaries. The mean number of follicles with zero, one, two, three or more oocytes was similar between the ovaries, being 6.58, 310.5, 3.25, and 0.29 in the right ovary and 6.25, 312.7, 4.25, and 0.41 in the left ovary (p-values ​​of 0.7569, 0.9654, 0.4785, and 0.5015, respectively). POFs containing from two to five oocytes were identified in different stages of development. POFs at all stages of development were found in both ovaries, and the occurrence of these structures was influenced by the age, number of pregnancies, number of estrus, and weight of the cats studied.</p>","PeriodicalId":7889,"journal":{"name":"Animal Reproduction","volume":"22 2","pages":"e20240127"},"PeriodicalIF":2.1000,"publicationDate":"2025-07-04","publicationTypes":"Journal Article","fieldsOfStudy":null,"isOpenAccess":false,"openAccessPdf":"https://www.ncbi.nlm.nih.gov/pmc/articles/PMC12232498/pdf/","citationCount":"0","resultStr":"{\"title\":\"Quantification of polyoocyte follicles (POFs) in domestic cats.\",\"authors\":\"Alexandra Lays Petri, Mariana Valentini Casagrande, Adalgiza Pinto, Jonatas Cattelam, Camila Keterine Gorzelanski Trenkel, Jacqueline Zanella, Leonardo Gruchouskei\",\"doi\":\"10.1590/1984-3143-AR2024-0127\",\"DOIUrl\":null,\"url\":null,\"abstract\":\"<p><p>Ovarian follicles usually involve only one oocyte. However, the existence of follicles with more than one oocyte has been described in different species. Therefore, this study evaluated the occurrence and number of Polyoocyte Follicles (POFs) in the ovaries of cats undergoing the ovariohysterectomy technique. For this purpose, ovaries from 33 cats were collected and submitted to histological preparation and analysis. The slides were evaluated under a microscope by two evaluators, who quantified the presence of follicles containing one or more oocytes and classified the follicular stage. Monoocyte follicles (MOFs) were found in all ovaries. POFs were observed at similar frequencies in both the right and left ovaries. The frequency of POFs with two oocytes was 79.03% in the right ovaries and 75.75% in the left ovaries. Follicles with three oocytes were found in 16.12% of the right ovaries and 27.27% of the left ovaries. The mean number of follicles with zero, one, two, three or more oocytes was similar between the ovaries, being 6.58, 310.5, 3.25, and 0.29 in the right ovary and 6.25, 312.7, 4.25, and 0.41 in the left ovary (p-values ​​of 0.7569, 0.9654, 0.4785, and 0.5015, respectively). POFs containing from two to five oocytes were identified in different stages of development. POFs at all stages of development were found in both ovaries, and the occurrence of these structures was influenced by the age, number of pregnancies, number of estrus, and weight of the cats studied.</p>\",\"PeriodicalId\":7889,\"journal\":{\"name\":\"Animal Reproduction\",\"volume\":\"22 2\",\"pages\":\"e20240127\"},\"PeriodicalIF\":2.1000,\"publicationDate\":\"2025-07-04\",\"publicationTypes\":\"Journal Article\",\"fieldsOfStudy\":null,\"isOpenAccess\":false,\"openAccessPdf\":\"https://www.ncbi.nlm.nih.gov/pmc/articles/PMC12232498/pdf/\",\"citationCount\":\"0\",\"resultStr\":null,\"platform\":\"Semanticscholar\",\"paperid\":null,\"PeriodicalName\":\"Animal Reproduction\",\"FirstCategoryId\":\"97\",\"ListUrlMain\":\"https://doi.org/10.1590/1984-3143-AR2024-0127\",\"RegionNum\":4,\"RegionCategory\":\"农林科学\",\"ArticlePicture\":[],\"TitleCN\":null,\"AbstractTextCN\":null,\"PMCID\":null,\"EPubDate\":\"2025/1/1 0:00:00\",\"PubModel\":\"eCollection\",\"JCR\":\"Q2\",\"JCRName\":\"AGRICULTURE, DAIRY & ANIMAL SCIENCE\",\"Score\":null,\"Total\":0}","platform":"Semanticscholar","paperid":null,"PeriodicalName":"Animal Reproduction","FirstCategoryId":"97","ListUrlMain":"https://doi.org/10.1590/1984-3143-AR2024-0127","RegionNum":4,"RegionCategory":"农林科学","ArticlePicture":[],"TitleCN":null,"AbstractTextCN":null,"PMCID":null,"EPubDate":"2025/1/1 0:00:00","PubModel":"eCollection","JCR":"Q2","JCRName":"AGRICULTURE, DAIRY & ANIMAL SCIENCE","Score":null,"Total":0}
引用次数: 0

摘要

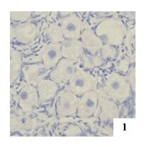
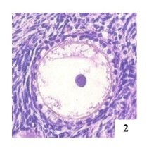
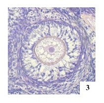
卵巢卵泡通常只有一个卵母细胞。然而,在不同的物种中,存在一个以上卵母细胞的卵泡。因此,本研究评估了接受卵巢子宫切除术的猫卵巢中多卵母细胞卵泡(POFs)的发生率和数量。为此,我们收集了33只猫的卵巢并进行了组织学准备和分析。载玻片由两名评估人员在显微镜下评估,他们量化含有一个或多个卵母细胞的卵泡的存在,并对卵泡分期进行分类。所有卵巢均有单核细胞卵泡(MOFs)。在左右卵巢中观察到POFs的频率相似。两个卵母细胞的POFs发生率分别为右卵巢79.03%和左卵巢75.75%。右侧卵巢有3个卵母细胞的卵泡占16.12%,左侧卵巢有27.27%。卵巢中有0个、1个、2个、3个及以上卵母细胞的平均卵泡数相似,右卵巢为6.58、310.5、3.25、0.29,左卵巢为6.25、312.7、4.25、0.41 (p值分别为0.7569、0.9654、0.4785、0.5015)。在不同的发育阶段发现了含有2到5个卵母细胞的POFs。在发育的所有阶段,在两个卵巢都发现了POFs,这些结构的发生受研究猫的年龄、怀孕次数、发情次数和体重的影响。
本文章由计算机程序翻译,如有差异,请以英文原文为准。

Quantification of polyoocyte follicles (POFs) in domestic cats.

Quantification of polyoocyte follicles (POFs) in domestic cats.

Quantification of polyoocyte follicles (POFs) in domestic cats.

Quantification of polyoocyte follicles (POFs) in domestic cats.

Ovarian follicles usually involve only one oocyte. However, the existence of follicles with more than one oocyte has been described in different species. Therefore, this study evaluated the occurrence and number of Polyoocyte Follicles (POFs) in the ovaries of cats undergoing the ovariohysterectomy technique. For this purpose, ovaries from 33 cats were collected and submitted to histological preparation and analysis. The slides were evaluated under a microscope by two evaluators, who quantified the presence of follicles containing one or more oocytes and classified the follicular stage. Monoocyte follicles (MOFs) were found in all ovaries. POFs were observed at similar frequencies in both the right and left ovaries. The frequency of POFs with two oocytes was 79.03% in the right ovaries and 75.75% in the left ovaries. Follicles with three oocytes were found in 16.12% of the right ovaries and 27.27% of the left ovaries. The mean number of follicles with zero, one, two, three or more oocytes was similar between the ovaries, being 6.58, 310.5, 3.25, and 0.29 in the right ovary and 6.25, 312.7, 4.25, and 0.41 in the left ovary (p-values ​​of 0.7569, 0.9654, 0.4785, and 0.5015, respectively). POFs containing from two to five oocytes were identified in different stages of development. POFs at all stages of development were found in both ovaries, and the occurrence of these structures was influenced by the age, number of pregnancies, number of estrus, and weight of the cats studied.

求助全文
通过发布文献求助,成功后即可免费获取论文全文。 去求助
来源期刊
Animal Reproduction
Animal Reproduction AGRICULTURE, DAIRY & ANIMAL SCIENCE-
CiteScore
2.30
自引率
11.80%
发文量
49
审稿时长
70 days
期刊介绍: Animal Reproduction (AR) publishes original scientific papers and invited literature reviews, in the form of Basic Research, Biotechnology, Applied Research and Review Articles, with the goal of contributing to a better understanding of phenomena related to animal reproduction. The scope of the journal applies to students, researchers and practitioners in the fields of veterinary, biology and animal science, also being of interest to practitioners of human medicine. Animal Reproduction Journal is the official organ of the Brazilian College of Animal Reproduction in Brazil.
×
引用
GB/T 7714-2015
复制
MLA
复制
APA
复制
导出至
BibTeX EndNote RefMan NoteFirst NoteExpress
×
提示
您的信息不完整,为了账户安全,请先补充。
现在去补充
×
提示
您因"违规操作"
具体请查看互助需知
我知道了
×
提示
确定
请完成安全验证×
copy
已复制链接
快去分享给好友吧!
我知道了
右上角分享
点击右上角分享
0
联系我们:info@booksci.cn Book学术提供免费学术资源搜索服务,方便国内外学者检索中英文文献。致力于提供最便捷和优质的服务体验。 Copyright © 2023 布克学术 All rights reserved.
京ICP备2023020795号-1
ghs 京公网安备 11010802042870号
Book学术文献互助
Book学术文献互助群
群 号:604180095
Book学术官方微信