小儿巨大神经纤维瘤的外科治疗:1例报告。

IF 2.9 4区 综合性期刊 Q2 MULTIDISCIPLINARY SCIENCES
Science Progress Pub Date : 2025-07-01 Epub Date: 2025-07-07 DOI:10.1177/00368504251357509
Pidong Liu, Yanwei Sun
{"title":"小儿巨大神经纤维瘤的外科治疗:1例报告。","authors":"Pidong Liu, Yanwei Sun","doi":"10.1177/00368504251357509","DOIUrl":null,"url":null,"abstract":"<p><p>Neurofibromas are benign peripheral nerve sheath tumors that occur in individuals with neurofibromatosis type 1. In pediatric patients, giant neurofibromas pose significant management challenges due to their large size and potential to cause functional impairments. Given their characteristic radiation resistance, indolent growth, and limited chemosensitivity, surgical intervention is frequently required to alleviate tumor-related symptoms, restore function, and mitigate complications. The two primary surgical difficulties are the high recurrence rates resulting from the infiltrative nature of giant neurofibromas and the risk of massive intraoperative hemorrhage. This case report details the surgical management of a pediatric giant neurofibroma, highlighting the multidisciplinary strategy and operative techniques employed to achieve optimal results.</p>","PeriodicalId":56061,"journal":{"name":"Science Progress","volume":"108 3","pages":"368504251357509"},"PeriodicalIF":2.9000,"publicationDate":"2025-07-01","publicationTypes":"Journal Article","fieldsOfStudy":null,"isOpenAccess":false,"openAccessPdf":"https://www.ncbi.nlm.nih.gov/pmc/articles/PMC12235097/pdf/","citationCount":"0","resultStr":"{\"title\":\"Surgical management of giant neurofibroma in a pediatric patient: A case report.\",\"authors\":\"Pidong Liu, Yanwei Sun\",\"doi\":\"10.1177/00368504251357509\",\"DOIUrl\":null,\"url\":null,\"abstract\":\"<p><p>Neurofibromas are benign peripheral nerve sheath tumors that occur in individuals with neurofibromatosis type 1. In pediatric patients, giant neurofibromas pose significant management challenges due to their large size and potential to cause functional impairments. Given their characteristic radiation resistance, indolent growth, and limited chemosensitivity, surgical intervention is frequently required to alleviate tumor-related symptoms, restore function, and mitigate complications. The two primary surgical difficulties are the high recurrence rates resulting from the infiltrative nature of giant neurofibromas and the risk of massive intraoperative hemorrhage. This case report details the surgical management of a pediatric giant neurofibroma, highlighting the multidisciplinary strategy and operative techniques employed to achieve optimal results.</p>\",\"PeriodicalId\":56061,\"journal\":{\"name\":\"Science Progress\",\"volume\":\"108 3\",\"pages\":\"368504251357509\"},\"PeriodicalIF\":2.9000,\"publicationDate\":\"2025-07-01\",\"publicationTypes\":\"Journal Article\",\"fieldsOfStudy\":null,\"isOpenAccess\":false,\"openAccessPdf\":\"https://www.ncbi.nlm.nih.gov/pmc/articles/PMC12235097/pdf/\",\"citationCount\":\"0\",\"resultStr\":null,\"platform\":\"Semanticscholar\",\"paperid\":null,\"PeriodicalName\":\"Science Progress\",\"FirstCategoryId\":\"103\",\"ListUrlMain\":\"https://doi.org/10.1177/00368504251357509\",\"RegionNum\":4,\"RegionCategory\":\"综合性期刊\",\"ArticlePicture\":[],\"TitleCN\":null,\"AbstractTextCN\":null,\"PMCID\":null,\"EPubDate\":\"2025/7/7 0:00:00\",\"PubModel\":\"Epub\",\"JCR\":\"Q2\",\"JCRName\":\"MULTIDISCIPLINARY SCIENCES\",\"Score\":null,\"Total\":0}","platform":"Semanticscholar","paperid":null,"PeriodicalName":"Science Progress","FirstCategoryId":"103","ListUrlMain":"https://doi.org/10.1177/00368504251357509","RegionNum":4,"RegionCategory":"综合性期刊","ArticlePicture":[],"TitleCN":null,"AbstractTextCN":null,"PMCID":null,"EPubDate":"2025/7/7 0:00:00","PubModel":"Epub","JCR":"Q2","JCRName":"MULTIDISCIPLINARY SCIENCES","Score":null,"Total":0}
引用次数: 0

摘要

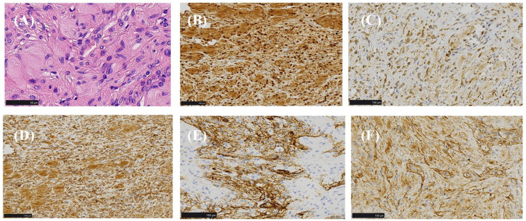
神经纤维瘤是发生在1型神经纤维瘤病患者身上的良性周围神经鞘肿瘤。在儿科患者中,巨大的神经纤维瘤由于其巨大的体积和可能导致的功能损伤,给治疗带来了巨大的挑战。鉴于其耐辐射、生长缓慢和有限的化疗敏感性,通常需要手术干预来缓解肿瘤相关症状、恢复功能和减轻并发症。手术的两个主要困难是巨大神经纤维瘤的浸润性导致的高复发率和术中大量出血的风险。本病例报告详细介绍了小儿巨大神经纤维瘤的手术治疗,强调了采用多学科策略和手术技术以达到最佳效果。
本文章由计算机程序翻译,如有差异,请以英文原文为准。

Surgical management of giant neurofibroma in a pediatric patient: A case report.

Surgical management of giant neurofibroma in a pediatric patient: A case report.

Surgical management of giant neurofibroma in a pediatric patient: A case report.

Surgical management of giant neurofibroma in a pediatric patient: A case report.

Neurofibromas are benign peripheral nerve sheath tumors that occur in individuals with neurofibromatosis type 1. In pediatric patients, giant neurofibromas pose significant management challenges due to their large size and potential to cause functional impairments. Given their characteristic radiation resistance, indolent growth, and limited chemosensitivity, surgical intervention is frequently required to alleviate tumor-related symptoms, restore function, and mitigate complications. The two primary surgical difficulties are the high recurrence rates resulting from the infiltrative nature of giant neurofibromas and the risk of massive intraoperative hemorrhage. This case report details the surgical management of a pediatric giant neurofibroma, highlighting the multidisciplinary strategy and operative techniques employed to achieve optimal results.

求助全文
通过发布文献求助,成功后即可免费获取论文全文。 去求助
来源期刊
Science Progress
Science Progress Multidisciplinary-Multidisciplinary
CiteScore
3.80
自引率
0.00%
发文量
119
期刊介绍: Science Progress has for over 100 years been a highly regarded review publication in science, technology and medicine. Its objective is to excite the readers'' interest in areas with which they may not be fully familiar but which could facilitate their interest, or even activity, in a cognate field.
×
引用
GB/T 7714-2015
复制
MLA
复制
APA
复制
导出至
BibTeX EndNote RefMan NoteFirst NoteExpress
×
提示
您的信息不完整,为了账户安全,请先补充。
现在去补充
×
提示
您因"违规操作"
具体请查看互助需知
我知道了
×
提示
确定
请完成安全验证×
copy
已复制链接
快去分享给好友吧!
我知道了
右上角分享
点击右上角分享
0
联系我们:info@booksci.cn Book学术提供免费学术资源搜索服务,方便国内外学者检索中英文文献。致力于提供最便捷和优质的服务体验。 Copyright © 2023 布克学术 All rights reserved.
京ICP备2023020795号-1
ghs 京公网安备 11010802042870号
Book学术文献互助
Book学术文献互助群
群 号:604180095
Book学术官方微信