诊断性肌肉骨骼超声对足底筋膜的评价。

IF 2.1 Q3 SPORT SCIENCES
International Journal of Sports Physical Therapy Pub Date : 2025-07-01 eCollection Date: 2025-01-01 DOI:10.26603/001c.141177
Robert C Manske, Chris Wolfe, Phil Page, Michael Voight
{"title":"诊断性肌肉骨骼超声对足底筋膜的评价。","authors":"Robert C Manske, Chris Wolfe, Phil Page, Michael Voight","doi":"10.26603/001c.141177","DOIUrl":null,"url":null,"abstract":"<p><p>The plantar fascia is composed of fibrous connective tissue that forms a band running from the calcaneal tubercle distally to the toes. One of its main roles is to provide passive support to the medial longitudinal arch on the sole of the foot. This support is compared to a tie-rod tension producer during weight bearing. When loaded excessively during vocational or athletic activities, overuse in the form of plantar fasciitis can occur. Accurate diagnosis fascial injury is essential for appropriate treatment planning and optimizing patient outcomes. Diagnostic musculoskeletal (MSK) ultrasound offers a portable, real-time, and cost-effective alternative that is gaining traction in rehabilitation and sports medicine settings. MSK ultrasound has emerged as a valuable, non-invasive imaging modality for evaluating plantar fascia injuries including tissue hypertrophy or structural changes and damage at the calcaneal fascial enthesis. MSK ultrasound is adept at detecting changes in tendon tissue composition and integrity. Furthermore, this manuscript will review the utility of MSK ultrasound in evaluating the plantar fascial injury, including its anatomy, common injury patterns, sonographic techniques, and clinical implications for professional rehabilitation. By integrating MSK ultrasound into clinical practice, providers can improve the accuracy of diagnosis, enhance diagnostic confidence, monitor healing progression, and guide rehabilitation strategies to optimal patient outcomes.</p>","PeriodicalId":47892,"journal":{"name":"International Journal of Sports Physical Therapy","volume":"20 7","pages":"1091-1096"},"PeriodicalIF":2.1000,"publicationDate":"2025-07-01","publicationTypes":"Journal Article","fieldsOfStudy":null,"isOpenAccess":false,"openAccessPdf":"https://www.ncbi.nlm.nih.gov/pmc/articles/PMC12222039/pdf/","citationCount":"0","resultStr":"{\"title\":\"Diagnostic Musculoskeletal Ultrasound in the Evaluation of the Plantar Fascia.\",\"authors\":\"Robert C Manske, Chris Wolfe, Phil Page, Michael Voight\",\"doi\":\"10.26603/001c.141177\",\"DOIUrl\":null,\"url\":null,\"abstract\":\"<p><p>The plantar fascia is composed of fibrous connective tissue that forms a band running from the calcaneal tubercle distally to the toes. One of its main roles is to provide passive support to the medial longitudinal arch on the sole of the foot. This support is compared to a tie-rod tension producer during weight bearing. When loaded excessively during vocational or athletic activities, overuse in the form of plantar fasciitis can occur. Accurate diagnosis fascial injury is essential for appropriate treatment planning and optimizing patient outcomes. Diagnostic musculoskeletal (MSK) ultrasound offers a portable, real-time, and cost-effective alternative that is gaining traction in rehabilitation and sports medicine settings. MSK ultrasound has emerged as a valuable, non-invasive imaging modality for evaluating plantar fascia injuries including tissue hypertrophy or structural changes and damage at the calcaneal fascial enthesis. MSK ultrasound is adept at detecting changes in tendon tissue composition and integrity. Furthermore, this manuscript will review the utility of MSK ultrasound in evaluating the plantar fascial injury, including its anatomy, common injury patterns, sonographic techniques, and clinical implications for professional rehabilitation. By integrating MSK ultrasound into clinical practice, providers can improve the accuracy of diagnosis, enhance diagnostic confidence, monitor healing progression, and guide rehabilitation strategies to optimal patient outcomes.</p>\",\"PeriodicalId\":47892,\"journal\":{\"name\":\"International Journal of Sports Physical Therapy\",\"volume\":\"20 7\",\"pages\":\"1091-1096\"},\"PeriodicalIF\":2.1000,\"publicationDate\":\"2025-07-01\",\"publicationTypes\":\"Journal Article\",\"fieldsOfStudy\":null,\"isOpenAccess\":false,\"openAccessPdf\":\"https://www.ncbi.nlm.nih.gov/pmc/articles/PMC12222039/pdf/\",\"citationCount\":\"0\",\"resultStr\":null,\"platform\":\"Semanticscholar\",\"paperid\":null,\"PeriodicalName\":\"International Journal of Sports Physical Therapy\",\"FirstCategoryId\":\"1085\",\"ListUrlMain\":\"https://doi.org/10.26603/001c.141177\",\"RegionNum\":0,\"RegionCategory\":null,\"ArticlePicture\":[],\"TitleCN\":null,\"AbstractTextCN\":null,\"PMCID\":null,\"EPubDate\":\"2025/1/1 0:00:00\",\"PubModel\":\"eCollection\",\"JCR\":\"Q3\",\"JCRName\":\"SPORT SCIENCES\",\"Score\":null,\"Total\":0}","platform":"Semanticscholar","paperid":null,"PeriodicalName":"International Journal of Sports Physical Therapy","FirstCategoryId":"1085","ListUrlMain":"https://doi.org/10.26603/001c.141177","RegionNum":0,"RegionCategory":null,"ArticlePicture":[],"TitleCN":null,"AbstractTextCN":null,"PMCID":null,"EPubDate":"2025/1/1 0:00:00","PubModel":"eCollection","JCR":"Q3","JCRName":"SPORT SCIENCES","Score":null,"Total":0}
引用次数: 0

摘要

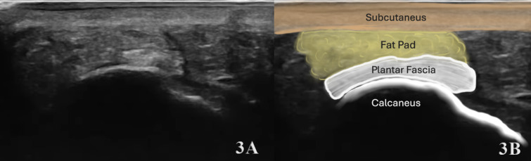
足底筋膜由纤维结缔组织组成,形成一条从跟骨结节远端延伸到脚趾的带。它的主要作用之一是为脚底的内侧纵弓提供被动支撑。这种支撑在承重过程中与拉杆张力产生器相比较。当在职业或体育活动中负荷过大时,可能会出现足底筋膜炎的过度使用。准确诊断筋膜损伤是必要的适当的治疗计划和优化患者的结果。诊断肌肉骨骼(MSK)超声提供了一种便携式,实时和经济高效的替代方案,在康复和运动医学设置中越来越受欢迎。MSK超声已成为评估足底筋膜损伤的一种有价值的、非侵入性的成像方式,包括组织肥大或结构变化以及跟骨筋膜末端的损伤。MSK超声擅长于检测肌腱组织组成和完整性的变化。此外,本文将回顾MSK超声在评估足底筋膜损伤中的应用,包括其解剖学,常见损伤模式,超声技术以及专业康复的临床意义。通过将MSK超声整合到临床实践中,提供者可以提高诊断的准确性,增强诊断的信心,监测愈合进展,并指导康复策略以获得最佳患者结果。
本文章由计算机程序翻译,如有差异,请以英文原文为准。

Diagnostic Musculoskeletal Ultrasound in the Evaluation of the Plantar Fascia.

Diagnostic Musculoskeletal Ultrasound in the Evaluation of the Plantar Fascia.

Diagnostic Musculoskeletal Ultrasound in the Evaluation of the Plantar Fascia.

Diagnostic Musculoskeletal Ultrasound in the Evaluation of the Plantar Fascia.

The plantar fascia is composed of fibrous connective tissue that forms a band running from the calcaneal tubercle distally to the toes. One of its main roles is to provide passive support to the medial longitudinal arch on the sole of the foot. This support is compared to a tie-rod tension producer during weight bearing. When loaded excessively during vocational or athletic activities, overuse in the form of plantar fasciitis can occur. Accurate diagnosis fascial injury is essential for appropriate treatment planning and optimizing patient outcomes. Diagnostic musculoskeletal (MSK) ultrasound offers a portable, real-time, and cost-effective alternative that is gaining traction in rehabilitation and sports medicine settings. MSK ultrasound has emerged as a valuable, non-invasive imaging modality for evaluating plantar fascia injuries including tissue hypertrophy or structural changes and damage at the calcaneal fascial enthesis. MSK ultrasound is adept at detecting changes in tendon tissue composition and integrity. Furthermore, this manuscript will review the utility of MSK ultrasound in evaluating the plantar fascial injury, including its anatomy, common injury patterns, sonographic techniques, and clinical implications for professional rehabilitation. By integrating MSK ultrasound into clinical practice, providers can improve the accuracy of diagnosis, enhance diagnostic confidence, monitor healing progression, and guide rehabilitation strategies to optimal patient outcomes.

求助全文
通过发布文献求助,成功后即可免费获取论文全文。 去求助
来源期刊
CiteScore
2.50
自引率
5.90%
发文量
124
审稿时长
16 weeks
×
引用
GB/T 7714-2015
复制
MLA
复制
APA
复制
导出至
BibTeX EndNote RefMan NoteFirst NoteExpress
×
提示
您的信息不完整,为了账户安全,请先补充。
现在去补充
×
提示
您因"违规操作"
具体请查看互助需知
我知道了
×
提示
确定
请完成安全验证×
copy
已复制链接
快去分享给好友吧!
我知道了
右上角分享
点击右上角分享
0
联系我们:info@booksci.cn Book学术提供免费学术资源搜索服务,方便国内外学者检索中英文文献。致力于提供最便捷和优质的服务体验。 Copyright © 2023 布克学术 All rights reserved.
京ICP备2023020795号-1
ghs 京公网安备 11010802042870号
Book学术文献互助
Book学术文献互助群
群 号:604180095
Book学术官方微信