MPRIP: PDGFRB融合基因:成人髓/淋巴肿瘤嗜酸性粒细胞增多和酪氨酸激酶基因融合的罕见病例报告。

IF 0.7 Q4 HEMATOLOGY
Case Reports in Hematology Pub Date : 2025-06-27 eCollection Date: 2025-01-01 DOI:10.1155/crh/7098722
Taksin Ukkahad, Tanapun Thamgrang
{"title":"MPRIP: PDGFRB融合基因:成人髓/淋巴肿瘤嗜酸性粒细胞增多和酪氨酸激酶基因融合的罕见病例报告。","authors":"Taksin Ukkahad, Tanapun Thamgrang","doi":"10.1155/crh/7098722","DOIUrl":null,"url":null,"abstract":"<p><p>Myeloid/lymphoid neoplasms with eosinophilia and tyrosine kinase gene fusions (MLN-TK) represent rare hematological malignancies driven by pathological fusion genes involving tyrosine kinase genes. Among these, rearrangements of the <i>PDGFRB</i> gene, particularly the <i>ETV6::PDGFRB</i> rearrangement, are frequently observed as pathogenic mutations. Conversely, instances of the <i>MPRIP::PDGFRB</i> fusion gene are rarely documented. In this case report, we present a 32-year-old previously healthy Thai male who presented to the hospital with constitutional symptoms and marked splenomegaly. His complete blood count revealed mild anemia, marked leukocytosis with hypereosinophilia, and mild thrombocytopenia. A bone marrow study showed hypercellular marrow with granulocytic hyperplasia extensively involved with eosinophils, without morphological evidence of blasts. Conventional cytogenetics identified a t (5; 17) (q33; p13). Further targeted RNA analysis using next-generation sequencing (NGS) detected a fusion gene involving <i>MPRIP::PDGFRB</i>. The patient was diagnosed with myeloid/lymphoid neoplasms with eosinophilia and <i>MPRIP::PDGFRB</i> rearrangement in the chronic-phase disease and was initiated on oral imatinib at a daily dose of 100 mg. One month after initiating the treatment, the patient achieved a hematological response consistent with complete response (CR) criteria. Imatinib therapy has been well-tolerated without reported adverse events, and a 1-year molecular assessment confirmed the achievement of complete molecular response (CMR).</p>","PeriodicalId":46307,"journal":{"name":"Case Reports in Hematology","volume":"2025 ","pages":"7098722"},"PeriodicalIF":0.7000,"publicationDate":"2025-06-27","publicationTypes":"Journal Article","fieldsOfStudy":null,"isOpenAccess":false,"openAccessPdf":"https://www.ncbi.nlm.nih.gov/pmc/articles/PMC12227262/pdf/","citationCount":"0","resultStr":"{\"title\":\"<i>MPRIP::PDGFRB</i> Fusion Gene: A Rare Case Report of Adult Myeloid/Lymphoid Neoplasm With Eosinophilia and Tyrosine Kinase Gene Fusions.\",\"authors\":\"Taksin Ukkahad, Tanapun Thamgrang\",\"doi\":\"10.1155/crh/7098722\",\"DOIUrl\":null,\"url\":null,\"abstract\":\"<p><p>Myeloid/lymphoid neoplasms with eosinophilia and tyrosine kinase gene fusions (MLN-TK) represent rare hematological malignancies driven by pathological fusion genes involving tyrosine kinase genes. Among these, rearrangements of the <i>PDGFRB</i> gene, particularly the <i>ETV6::PDGFRB</i> rearrangement, are frequently observed as pathogenic mutations. Conversely, instances of the <i>MPRIP::PDGFRB</i> fusion gene are rarely documented. In this case report, we present a 32-year-old previously healthy Thai male who presented to the hospital with constitutional symptoms and marked splenomegaly. His complete blood count revealed mild anemia, marked leukocytosis with hypereosinophilia, and mild thrombocytopenia. A bone marrow study showed hypercellular marrow with granulocytic hyperplasia extensively involved with eosinophils, without morphological evidence of blasts. Conventional cytogenetics identified a t (5; 17) (q33; p13). Further targeted RNA analysis using next-generation sequencing (NGS) detected a fusion gene involving <i>MPRIP::PDGFRB</i>. The patient was diagnosed with myeloid/lymphoid neoplasms with eosinophilia and <i>MPRIP::PDGFRB</i> rearrangement in the chronic-phase disease and was initiated on oral imatinib at a daily dose of 100 mg. One month after initiating the treatment, the patient achieved a hematological response consistent with complete response (CR) criteria. Imatinib therapy has been well-tolerated without reported adverse events, and a 1-year molecular assessment confirmed the achievement of complete molecular response (CMR).</p>\",\"PeriodicalId\":46307,\"journal\":{\"name\":\"Case Reports in Hematology\",\"volume\":\"2025 \",\"pages\":\"7098722\"},\"PeriodicalIF\":0.7000,\"publicationDate\":\"2025-06-27\",\"publicationTypes\":\"Journal Article\",\"fieldsOfStudy\":null,\"isOpenAccess\":false,\"openAccessPdf\":\"https://www.ncbi.nlm.nih.gov/pmc/articles/PMC12227262/pdf/\",\"citationCount\":\"0\",\"resultStr\":null,\"platform\":\"Semanticscholar\",\"paperid\":null,\"PeriodicalName\":\"Case Reports in Hematology\",\"FirstCategoryId\":\"1085\",\"ListUrlMain\":\"https://doi.org/10.1155/crh/7098722\",\"RegionNum\":0,\"RegionCategory\":null,\"ArticlePicture\":[],\"TitleCN\":null,\"AbstractTextCN\":null,\"PMCID\":null,\"EPubDate\":\"2025/1/1 0:00:00\",\"PubModel\":\"eCollection\",\"JCR\":\"Q4\",\"JCRName\":\"HEMATOLOGY\",\"Score\":null,\"Total\":0}","platform":"Semanticscholar","paperid":null,"PeriodicalName":"Case Reports in Hematology","FirstCategoryId":"1085","ListUrlMain":"https://doi.org/10.1155/crh/7098722","RegionNum":0,"RegionCategory":null,"ArticlePicture":[],"TitleCN":null,"AbstractTextCN":null,"PMCID":null,"EPubDate":"2025/1/1 0:00:00","PubModel":"eCollection","JCR":"Q4","JCRName":"HEMATOLOGY","Score":null,"Total":0}
引用次数: 0

摘要

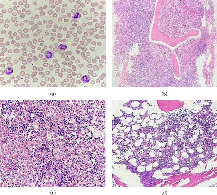
嗜酸性粒细胞增多和酪氨酸激酶基因融合(MLN-TK)的髓/淋巴肿瘤是罕见的由酪氨酸激酶基因的病理融合基因驱动的血液系统恶性肿瘤。其中,PDGFRB基因重排,特别是ETV6::PDGFRB重排,经常被观察到为致病性突变。相反,MPRIP::PDGFRB融合基因的实例很少被记录。在这个病例报告中,我们提出了一个32岁以前健康的泰国男性,他向医院提出了体质症状和明显的脾肿大。他的全血细胞计数显示轻度贫血,明显的白细胞增多伴嗜酸性粒细胞增多和轻度血小板减少。骨髓研究显示粒细胞增生伴嗜酸性粒细胞广泛浸润的高细胞骨髓,未见母细胞的形态学证据。常规细胞遗传学鉴定t (5);17) (q33;p13)。进一步的靶向RNA分析使用下一代测序(NGS)检测到一个融合基因涉及MPRIP::PDGFRB。患者被诊断为骨髓/淋巴肿瘤伴嗜酸性粒细胞增多和慢性期MPRIP::PDGFRB重排,并开始口服伊马替尼,每日剂量为100mg。开始治疗一个月后,患者达到了符合完全缓解(CR)标准的血液学反应。伊马替尼治疗耐受性良好,无不良事件报道,1年的分子评估证实实现了完全分子缓解(CMR)。
本文章由计算机程序翻译,如有差异,请以英文原文为准。

<i>MPRIP::PDGFRB</i> Fusion Gene: A Rare Case Report of Adult Myeloid/Lymphoid Neoplasm With Eosinophilia and Tyrosine Kinase Gene Fusions.

<i>MPRIP::PDGFRB</i> Fusion Gene: A Rare Case Report of Adult Myeloid/Lymphoid Neoplasm With Eosinophilia and Tyrosine Kinase Gene Fusions.

<i>MPRIP::PDGFRB</i> Fusion Gene: A Rare Case Report of Adult Myeloid/Lymphoid Neoplasm With Eosinophilia and Tyrosine Kinase Gene Fusions.

MPRIP::PDGFRB Fusion Gene: A Rare Case Report of Adult Myeloid/Lymphoid Neoplasm With Eosinophilia and Tyrosine Kinase Gene Fusions.

Myeloid/lymphoid neoplasms with eosinophilia and tyrosine kinase gene fusions (MLN-TK) represent rare hematological malignancies driven by pathological fusion genes involving tyrosine kinase genes. Among these, rearrangements of the PDGFRB gene, particularly the ETV6::PDGFRB rearrangement, are frequently observed as pathogenic mutations. Conversely, instances of the MPRIP::PDGFRB fusion gene are rarely documented. In this case report, we present a 32-year-old previously healthy Thai male who presented to the hospital with constitutional symptoms and marked splenomegaly. His complete blood count revealed mild anemia, marked leukocytosis with hypereosinophilia, and mild thrombocytopenia. A bone marrow study showed hypercellular marrow with granulocytic hyperplasia extensively involved with eosinophils, without morphological evidence of blasts. Conventional cytogenetics identified a t (5; 17) (q33; p13). Further targeted RNA analysis using next-generation sequencing (NGS) detected a fusion gene involving MPRIP::PDGFRB. The patient was diagnosed with myeloid/lymphoid neoplasms with eosinophilia and MPRIP::PDGFRB rearrangement in the chronic-phase disease and was initiated on oral imatinib at a daily dose of 100 mg. One month after initiating the treatment, the patient achieved a hematological response consistent with complete response (CR) criteria. Imatinib therapy has been well-tolerated without reported adverse events, and a 1-year molecular assessment confirmed the achievement of complete molecular response (CMR).

求助全文
通过发布文献求助,成功后即可免费获取论文全文。 去求助
来源期刊
自引率
0.00%
发文量
51
审稿时长
13 weeks
×
引用
GB/T 7714-2015
复制
MLA
复制
APA
复制
导出至
BibTeX EndNote RefMan NoteFirst NoteExpress
×
提示
您的信息不完整,为了账户安全,请先补充。
现在去补充
×
提示
您因"违规操作"
具体请查看互助需知
我知道了
×
提示
确定
请完成安全验证×
copy
已复制链接
快去分享给好友吧!
我知道了
右上角分享
点击右上角分享
0
联系我们:info@booksci.cn Book学术提供免费学术资源搜索服务,方便国内外学者检索中英文文献。致力于提供最便捷和优质的服务体验。 Copyright © 2023 布克学术 All rights reserved.
京ICP备2023020795号-1
ghs 京公网安备 11010802042870号
Book学术文献互助
Book学术文献互助群
群 号:604180095
Book学术官方微信