III类弹性伪装治疗对颞下颌关节和牙骨关系的影响:一项基于CBCT和mri的临床试验。

IF 1.4 Q4 DENTISTRY, ORAL SURGERY & MEDICINE
Panjaree Panpitakkul, Teekayu Plangkoon Jorns, Warinthorn Phuttharak, Rajda Chaichit, Pipop Sutthiprapaporn
{"title":"III类弹性伪装治疗对颞下颌关节和牙骨关系的影响:一项基于CBCT和mri的临床试验。","authors":"Panjaree Panpitakkul, Teekayu Plangkoon Jorns, Warinthorn Phuttharak, Rajda Chaichit, Pipop Sutthiprapaporn","doi":"10.4274/TurkJOrthod.2025.2024.153","DOIUrl":null,"url":null,"abstract":"<p><strong>Objective: </strong>Orthodontic camouflage effectively addresses mild to moderate skeletal Class III malocclusion by repositioning the mandible and anterior teeth. However, recent findings suggest potential temporomandibular joint (TMJ) impact of the intermaxillary elastics frequently used in this treatment. This study aims to comprehensively assess changes in the TMJ and dentoskeletal relationship following Class III camouflage treatment, using a combination of CBCT and MRI.</p><p><strong>Methods: </strong>This clinical trial enrolled skeletal Class III malocclusion patients meeting eligibility criteria. Non-extraction camouflage treatment was administered, employing the straight wire technique with conventional Class III intermaxillary elastics. CBCT and MRI were conducted at baseline (T0) and after achieving normal occlusion (T1). Condylar position in three dimensions and dentoskeletal relationship were assessed from CBCT images using Dolphin<sup>®</sup> imaging software, while TMJ disc position and length were measured from MR images using MicroDicom software. Statistical analyses were performed with IBM<sup>®</sup> SPSS<sup>®</sup> software.</p><p><strong>Results: </strong>The dataset comprised nine subjects, with a mean age of 24.3±7.0 years. CBCT analyses indicated significant changes in dentoskeletal relationship, especially those of the mandible (increased ANB 2.32±0.51°, increased SN-MP 2.61±1.05°, decreased profile angle 5.40±1.07°), but nonsignificant changes in condylar position post-treatment (0.11±0.15 mm). Similarly, MRI measurements demonstrated non-significant changes in both position (0.91±1.61°) and length (0.07±0.37 mm) of the articular disc post-treatment.</p><p><strong>Conclusion: </strong>Class III camouflage treatment using conventional intermaxillary elastics significantly improves the dentoskeletal relationship without significant adverse effects on the condyle and articular disc of the TMJ.</p>","PeriodicalId":37013,"journal":{"name":"Turkish Journal of Orthodontics","volume":"38 2","pages":"116-127"},"PeriodicalIF":1.4000,"publicationDate":"2025-07-02","publicationTypes":"Journal Article","fieldsOfStudy":null,"isOpenAccess":false,"openAccessPdf":"https://www.ncbi.nlm.nih.gov/pmc/articles/PMC12236117/pdf/","citationCount":"0","resultStr":"{\"title\":\"Impact of Camouflage Treatment with Class III Elastics on Temporomandibular Joint and Dentoskeletal Relationships: A Pilot CBCT and MRI-Based Clinical Trial.\",\"authors\":\"Panjaree Panpitakkul, Teekayu Plangkoon Jorns, Warinthorn Phuttharak, Rajda Chaichit, Pipop Sutthiprapaporn\",\"doi\":\"10.4274/TurkJOrthod.2025.2024.153\",\"DOIUrl\":null,\"url\":null,\"abstract\":\"<p><strong>Objective: </strong>Orthodontic camouflage effectively addresses mild to moderate skeletal Class III malocclusion by repositioning the mandible and anterior teeth. However, recent findings suggest potential temporomandibular joint (TMJ) impact of the intermaxillary elastics frequently used in this treatment. This study aims to comprehensively assess changes in the TMJ and dentoskeletal relationship following Class III camouflage treatment, using a combination of CBCT and MRI.</p><p><strong>Methods: </strong>This clinical trial enrolled skeletal Class III malocclusion patients meeting eligibility criteria. Non-extraction camouflage treatment was administered, employing the straight wire technique with conventional Class III intermaxillary elastics. CBCT and MRI were conducted at baseline (T0) and after achieving normal occlusion (T1). Condylar position in three dimensions and dentoskeletal relationship were assessed from CBCT images using Dolphin<sup>®</sup> imaging software, while TMJ disc position and length were measured from MR images using MicroDicom software. Statistical analyses were performed with IBM<sup>®</sup> SPSS<sup>®</sup> software.</p><p><strong>Results: </strong>The dataset comprised nine subjects, with a mean age of 24.3±7.0 years. CBCT analyses indicated significant changes in dentoskeletal relationship, especially those of the mandible (increased ANB 2.32±0.51°, increased SN-MP 2.61±1.05°, decreased profile angle 5.40±1.07°), but nonsignificant changes in condylar position post-treatment (0.11±0.15 mm). Similarly, MRI measurements demonstrated non-significant changes in both position (0.91±1.61°) and length (0.07±0.37 mm) of the articular disc post-treatment.</p><p><strong>Conclusion: </strong>Class III camouflage treatment using conventional intermaxillary elastics significantly improves the dentoskeletal relationship without significant adverse effects on the condyle and articular disc of the TMJ.</p>\",\"PeriodicalId\":37013,\"journal\":{\"name\":\"Turkish Journal of Orthodontics\",\"volume\":\"38 2\",\"pages\":\"116-127\"},\"PeriodicalIF\":1.4000,\"publicationDate\":\"2025-07-02\",\"publicationTypes\":\"Journal Article\",\"fieldsOfStudy\":null,\"isOpenAccess\":false,\"openAccessPdf\":\"https://www.ncbi.nlm.nih.gov/pmc/articles/PMC12236117/pdf/\",\"citationCount\":\"0\",\"resultStr\":null,\"platform\":\"Semanticscholar\",\"paperid\":null,\"PeriodicalName\":\"Turkish Journal of Orthodontics\",\"FirstCategoryId\":\"1085\",\"ListUrlMain\":\"https://doi.org/10.4274/TurkJOrthod.2025.2024.153\",\"RegionNum\":0,\"RegionCategory\":null,\"ArticlePicture\":[],\"TitleCN\":null,\"AbstractTextCN\":null,\"PMCID\":null,\"EPubDate\":\"\",\"PubModel\":\"\",\"JCR\":\"Q4\",\"JCRName\":\"DENTISTRY, ORAL SURGERY & MEDICINE\",\"Score\":null,\"Total\":0}","platform":"Semanticscholar","paperid":null,"PeriodicalName":"Turkish Journal of Orthodontics","FirstCategoryId":"1085","ListUrlMain":"https://doi.org/10.4274/TurkJOrthod.2025.2024.153","RegionNum":0,"RegionCategory":null,"ArticlePicture":[],"TitleCN":null,"AbstractTextCN":null,"PMCID":null,"EPubDate":"","PubModel":"","JCR":"Q4","JCRName":"DENTISTRY, ORAL SURGERY & MEDICINE","Score":null,"Total":0}
引用次数: 0

摘要

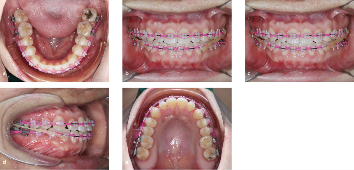
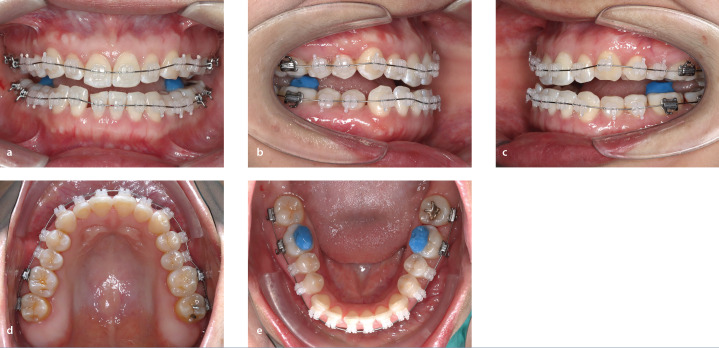
目的:正畸伪装通过重新定位下颌骨和前牙,有效地解决轻度至中度骨骼III类错颌。然而,最近的研究结果表明,在这种治疗中经常使用的颌间弹性材料对颞下颌关节(TMJ)有潜在的影响。本研究旨在综合评估III类伪装治疗后TMJ和牙骨关系的变化,采用CBCT和MRI相结合的方法。方法:本临床试验纳入符合资格标准的骨骼III类错颌患者。采用常规III类上颌间弹力直丝技术进行非拔牙伪装治疗。在基线(T0)和达到正常闭塞(T1)后进行CBCT和MRI检查。使用Dolphin®成像软件从CBCT图像评估髁突的三维位置和牙骨关系,使用MicroDicom软件从MR图像测量TMJ椎间盘的位置和长度。采用IBM®SPSS®软件进行统计分析。结果:数据集包括9名受试者,平均年龄24.3±7.0岁。CBCT分析显示,治疗后牙骨关系发生显著变化,尤其是下颌骨(ANB增加2.32±0.51°,n - mp增加2.61±1.05°,轮廓角减少5.40±1.07°),但髁突位置变化不显著(0.11±0.15 mm)。同样,MRI测量显示治疗后关节盘的位置(0.91±1.61°)和长度(0.07±0.37 mm)均无显著变化。结论:采用常规上颌间弹性材料进行III类伪装治疗,可明显改善牙骨关系,对颞下颌关节髁突和关节盘无明显不良影响。
本文章由计算机程序翻译,如有差异,请以英文原文为准。

Impact of Camouflage Treatment with Class III Elastics on Temporomandibular Joint and Dentoskeletal Relationships: A Pilot CBCT and MRI-Based Clinical Trial.

Impact of Camouflage Treatment with Class III Elastics on Temporomandibular Joint and Dentoskeletal Relationships: A Pilot CBCT and MRI-Based Clinical Trial.

Impact of Camouflage Treatment with Class III Elastics on Temporomandibular Joint and Dentoskeletal Relationships: A Pilot CBCT and MRI-Based Clinical Trial.

Impact of Camouflage Treatment with Class III Elastics on Temporomandibular Joint and Dentoskeletal Relationships: A Pilot CBCT and MRI-Based Clinical Trial.

Objective: Orthodontic camouflage effectively addresses mild to moderate skeletal Class III malocclusion by repositioning the mandible and anterior teeth. However, recent findings suggest potential temporomandibular joint (TMJ) impact of the intermaxillary elastics frequently used in this treatment. This study aims to comprehensively assess changes in the TMJ and dentoskeletal relationship following Class III camouflage treatment, using a combination of CBCT and MRI.

Methods: This clinical trial enrolled skeletal Class III malocclusion patients meeting eligibility criteria. Non-extraction camouflage treatment was administered, employing the straight wire technique with conventional Class III intermaxillary elastics. CBCT and MRI were conducted at baseline (T0) and after achieving normal occlusion (T1). Condylar position in three dimensions and dentoskeletal relationship were assessed from CBCT images using Dolphin® imaging software, while TMJ disc position and length were measured from MR images using MicroDicom software. Statistical analyses were performed with IBM® SPSS® software.

Results: The dataset comprised nine subjects, with a mean age of 24.3±7.0 years. CBCT analyses indicated significant changes in dentoskeletal relationship, especially those of the mandible (increased ANB 2.32±0.51°, increased SN-MP 2.61±1.05°, decreased profile angle 5.40±1.07°), but nonsignificant changes in condylar position post-treatment (0.11±0.15 mm). Similarly, MRI measurements demonstrated non-significant changes in both position (0.91±1.61°) and length (0.07±0.37 mm) of the articular disc post-treatment.

Conclusion: Class III camouflage treatment using conventional intermaxillary elastics significantly improves the dentoskeletal relationship without significant adverse effects on the condyle and articular disc of the TMJ.

求助全文
通过发布文献求助,成功后即可免费获取论文全文。 去求助
来源期刊
Turkish Journal of Orthodontics
Turkish Journal of Orthodontics Dentistry-Orthodontics
CiteScore
2.10
自引率
9.10%
发文量
34
×
引用
GB/T 7714-2015
复制
MLA
复制
APA
复制
导出至
BibTeX EndNote RefMan NoteFirst NoteExpress
×
提示
您的信息不完整,为了账户安全,请先补充。
现在去补充
×
提示
您因"违规操作"
具体请查看互助需知
我知道了
×
提示
确定
请完成安全验证×
copy
已复制链接
快去分享给好友吧!
我知道了
右上角分享
点击右上角分享
0
联系我们:info@booksci.cn Book学术提供免费学术资源搜索服务,方便国内外学者检索中英文文献。致力于提供最便捷和优质的服务体验。 Copyright © 2023 布克学术 All rights reserved.
京ICP备2023020795号-1
ghs 京公网安备 11010802042870号
Book学术文献互助
Book学术文献互助群
群 号:604180095
Book学术官方微信