透明细胞癌:一种罕见的胆管癌病例报告及系统回顾。

IF 0.5 Q4 GASTROENTEROLOGY & HEPATOLOGY
Case Reports in Gastrointestinal Medicine Pub Date : 2025-06-28 eCollection Date: 2025-01-01 DOI:10.1155/crgm/1716741
Salah Abdel Jalil, Majd M AlBarakat, Ghazi Abu Afifeh, Rana B Altawalbeh, Ala Abdel-Jalil
{"title":"透明细胞癌:一种罕见的胆管癌病例报告及系统回顾。","authors":"Salah Abdel Jalil, Majd M AlBarakat, Ghazi Abu Afifeh, Rana B Altawalbeh, Ala Abdel-Jalil","doi":"10.1155/crgm/1716741","DOIUrl":null,"url":null,"abstract":"<p><p><b>Background:</b> Cholangiocarcinoma (CCA) is a rare malignancy of the biliary epithelium, accounting for approximately 3% of gastrointestinal cancers. The clear-cell variant of CCA is rare, with only nine documented cases worldwide. This case report describes a unique presentation of clear-cell intrahepatic (or peripheral) cholangiocarcinoma (ICC), highlighting its clinical course, histopathological features, and management. <b>Case Presentation:</b> A 56-year-old female with no significant medical history presented with postprandial right upper quadrant and epigastric pain. Following an initial diagnosis of gallbladder stones, laparoscopic cholecystectomy was performed. However, persistent epigastric pain, nausea, and vomiting led to further evaluation, revealing a 2.7 × 2.5 cm mass in the gallbladder bed compressing the common bile duct with associated intrahepatic biliary dilation. Endoscopic retrograde cholangiopancreatography confirmed the findings, and the patient underwent a left hemihepatectomy with radical choledectomy and biliary reconstruction. Histopathology demonstrated clear-cell ICC. Postoperatively, the patient received adjuvant chemotherapy and remained disease free at 14 months' follow-up. <b>Methods:</b> A systematic review and meta-analysis were conducted according to PRISMA guidelines and the Cochrane Handbook. A comprehensive search of PubMed and SCOPUS was performed without restrictions until December 2024 to identify case reports and case series of clear-cell CCA. Data on clinical presentation, diagnostic findings, treatment modalities, and outcomes were extracted and analyzed. The quality of included studies was assessed using the Joanna Briggs Institute critical appraisal tools. <b>Results:</b> The systematic review included 7 studies reporting 9 cases of clear-cell CCA. The mean patient age was 59.7 years, and 77.8% of the cases underwent surgical intervention. Outcomes varied, with disease-free survival ranging from 7 to 30 months in the reported cases. Factors such as tumor size and the presence of metastasis influenced prognosis. <b>Conclusion:</b> Clear-cell CCA, though rare, should be considered in the differential diagnosis of biliary masses. Early surgical intervention is pivotal for improved outcomes, but further studies are needed to develop consensus treatment guidelines. Reporting additional cases is essential to enhance understanding and optimize management of this rare malignancy.</p>","PeriodicalId":45645,"journal":{"name":"Case Reports in Gastrointestinal Medicine","volume":"2025 ","pages":"1716741"},"PeriodicalIF":0.5000,"publicationDate":"2025-06-28","publicationTypes":"Journal Article","fieldsOfStudy":null,"isOpenAccess":false,"openAccessPdf":"https://www.ncbi.nlm.nih.gov/pmc/articles/PMC12228568/pdf/","citationCount":"0","resultStr":"{\"title\":\"Clear Cell Carcinoma: A Rare Variant of Cholangiocarcinoma Case Report and Systematic Review.\",\"authors\":\"Salah Abdel Jalil, Majd M AlBarakat, Ghazi Abu Afifeh, Rana B Altawalbeh, Ala Abdel-Jalil\",\"doi\":\"10.1155/crgm/1716741\",\"DOIUrl\":null,\"url\":null,\"abstract\":\"<p><p><b>Background:</b> Cholangiocarcinoma (CCA) is a rare malignancy of the biliary epithelium, accounting for approximately 3% of gastrointestinal cancers. The clear-cell variant of CCA is rare, with only nine documented cases worldwide. This case report describes a unique presentation of clear-cell intrahepatic (or peripheral) cholangiocarcinoma (ICC), highlighting its clinical course, histopathological features, and management. <b>Case Presentation:</b> A 56-year-old female with no significant medical history presented with postprandial right upper quadrant and epigastric pain. Following an initial diagnosis of gallbladder stones, laparoscopic cholecystectomy was performed. However, persistent epigastric pain, nausea, and vomiting led to further evaluation, revealing a 2.7 × 2.5 cm mass in the gallbladder bed compressing the common bile duct with associated intrahepatic biliary dilation. Endoscopic retrograde cholangiopancreatography confirmed the findings, and the patient underwent a left hemihepatectomy with radical choledectomy and biliary reconstruction. Histopathology demonstrated clear-cell ICC. Postoperatively, the patient received adjuvant chemotherapy and remained disease free at 14 months' follow-up. <b>Methods:</b> A systematic review and meta-analysis were conducted according to PRISMA guidelines and the Cochrane Handbook. A comprehensive search of PubMed and SCOPUS was performed without restrictions until December 2024 to identify case reports and case series of clear-cell CCA. Data on clinical presentation, diagnostic findings, treatment modalities, and outcomes were extracted and analyzed. The quality of included studies was assessed using the Joanna Briggs Institute critical appraisal tools. <b>Results:</b> The systematic review included 7 studies reporting 9 cases of clear-cell CCA. The mean patient age was 59.7 years, and 77.8% of the cases underwent surgical intervention. Outcomes varied, with disease-free survival ranging from 7 to 30 months in the reported cases. Factors such as tumor size and the presence of metastasis influenced prognosis. <b>Conclusion:</b> Clear-cell CCA, though rare, should be considered in the differential diagnosis of biliary masses. Early surgical intervention is pivotal for improved outcomes, but further studies are needed to develop consensus treatment guidelines. Reporting additional cases is essential to enhance understanding and optimize management of this rare malignancy.</p>\",\"PeriodicalId\":45645,\"journal\":{\"name\":\"Case Reports in Gastrointestinal Medicine\",\"volume\":\"2025 \",\"pages\":\"1716741\"},\"PeriodicalIF\":0.5000,\"publicationDate\":\"2025-06-28\",\"publicationTypes\":\"Journal Article\",\"fieldsOfStudy\":null,\"isOpenAccess\":false,\"openAccessPdf\":\"https://www.ncbi.nlm.nih.gov/pmc/articles/PMC12228568/pdf/\",\"citationCount\":\"0\",\"resultStr\":null,\"platform\":\"Semanticscholar\",\"paperid\":null,\"PeriodicalName\":\"Case Reports in Gastrointestinal Medicine\",\"FirstCategoryId\":\"1085\",\"ListUrlMain\":\"https://doi.org/10.1155/crgm/1716741\",\"RegionNum\":0,\"RegionCategory\":null,\"ArticlePicture\":[],\"TitleCN\":null,\"AbstractTextCN\":null,\"PMCID\":null,\"EPubDate\":\"2025/1/1 0:00:00\",\"PubModel\":\"eCollection\",\"JCR\":\"Q4\",\"JCRName\":\"GASTROENTEROLOGY & HEPATOLOGY\",\"Score\":null,\"Total\":0}","platform":"Semanticscholar","paperid":null,"PeriodicalName":"Case Reports in Gastrointestinal Medicine","FirstCategoryId":"1085","ListUrlMain":"https://doi.org/10.1155/crgm/1716741","RegionNum":0,"RegionCategory":null,"ArticlePicture":[],"TitleCN":null,"AbstractTextCN":null,"PMCID":null,"EPubDate":"2025/1/1 0:00:00","PubModel":"eCollection","JCR":"Q4","JCRName":"GASTROENTEROLOGY & HEPATOLOGY","Score":null,"Total":0}
引用次数: 0

摘要

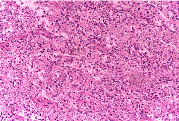
背景:胆管癌(CCA)是一种罕见的胆道上皮恶性肿瘤,约占胃肠道肿瘤的3%。透明细胞型CCA是罕见的,全世界只有9例记录在案的病例。本病例报告描述了透明细胞肝内(或外周)胆管癌(ICC)的独特表现,强调了其临床过程,组织病理学特征和处理。病例介绍:56岁女性,无明显病史,餐后出现右上腹和上腹部疼痛。初步诊断胆囊结石后,行腹腔镜胆囊切除术。然而,持续的胃脘痛、恶心和呕吐导致进一步的检查,发现胆囊床有一个2.7 × 2.5 cm的肿块压迫胆总管并伴有肝内胆道扩张。内窥镜逆行胆管造影证实了这一发现,患者接受了左半肝切除术、根治性胆道切除术和胆道重建。组织病理学显示为透明细胞ICC。术后患者接受辅助化疗,随访14个月无病复发。方法:根据PRISMA指南和Cochrane手册进行系统评价和荟萃分析。在2024年12月之前,不受限制地对PubMed和SCOPUS进行全面检索,以确定透明细胞CCA的病例报告和病例系列。提取并分析了临床表现、诊断结果、治疗方式和结果的数据。纳入研究的质量使用乔安娜布里格斯研究所的关键评估工具进行评估。结果:系统回顾纳入7项研究,报告了9例透明细胞CCA。患者平均年龄为59.7岁,77.8%的病例接受了手术干预。结果各不相同,报告病例的无病生存期从7个月到30个月不等。肿瘤大小、有无转移等因素影响预后。结论:透明细胞CCA虽然罕见,但在胆道肿块的鉴别诊断中应予以考虑。早期手术干预是改善预后的关键,但需要进一步的研究来制定共识的治疗指南。报告更多的病例是必要的,以加强了解和优化管理这种罕见的恶性肿瘤。
本文章由计算机程序翻译,如有差异,请以英文原文为准。

Clear Cell Carcinoma: A Rare Variant of Cholangiocarcinoma Case Report and Systematic Review.

Clear Cell Carcinoma: A Rare Variant of Cholangiocarcinoma Case Report and Systematic Review.

Clear Cell Carcinoma: A Rare Variant of Cholangiocarcinoma Case Report and Systematic Review.

Clear Cell Carcinoma: A Rare Variant of Cholangiocarcinoma Case Report and Systematic Review.

Background: Cholangiocarcinoma (CCA) is a rare malignancy of the biliary epithelium, accounting for approximately 3% of gastrointestinal cancers. The clear-cell variant of CCA is rare, with only nine documented cases worldwide. This case report describes a unique presentation of clear-cell intrahepatic (or peripheral) cholangiocarcinoma (ICC), highlighting its clinical course, histopathological features, and management. Case Presentation: A 56-year-old female with no significant medical history presented with postprandial right upper quadrant and epigastric pain. Following an initial diagnosis of gallbladder stones, laparoscopic cholecystectomy was performed. However, persistent epigastric pain, nausea, and vomiting led to further evaluation, revealing a 2.7 × 2.5 cm mass in the gallbladder bed compressing the common bile duct with associated intrahepatic biliary dilation. Endoscopic retrograde cholangiopancreatography confirmed the findings, and the patient underwent a left hemihepatectomy with radical choledectomy and biliary reconstruction. Histopathology demonstrated clear-cell ICC. Postoperatively, the patient received adjuvant chemotherapy and remained disease free at 14 months' follow-up. Methods: A systematic review and meta-analysis were conducted according to PRISMA guidelines and the Cochrane Handbook. A comprehensive search of PubMed and SCOPUS was performed without restrictions until December 2024 to identify case reports and case series of clear-cell CCA. Data on clinical presentation, diagnostic findings, treatment modalities, and outcomes were extracted and analyzed. The quality of included studies was assessed using the Joanna Briggs Institute critical appraisal tools. Results: The systematic review included 7 studies reporting 9 cases of clear-cell CCA. The mean patient age was 59.7 years, and 77.8% of the cases underwent surgical intervention. Outcomes varied, with disease-free survival ranging from 7 to 30 months in the reported cases. Factors such as tumor size and the presence of metastasis influenced prognosis. Conclusion: Clear-cell CCA, though rare, should be considered in the differential diagnosis of biliary masses. Early surgical intervention is pivotal for improved outcomes, but further studies are needed to develop consensus treatment guidelines. Reporting additional cases is essential to enhance understanding and optimize management of this rare malignancy.

求助全文
通过发布文献求助,成功后即可免费获取论文全文。 去求助
来源期刊
Case Reports in Gastrointestinal Medicine
Case Reports in Gastrointestinal Medicine GASTROENTEROLOGY & HEPATOLOGY-
自引率
0.00%
发文量
33
审稿时长
14 weeks
×
引用
GB/T 7714-2015
复制
MLA
复制
APA
复制
导出至
BibTeX EndNote RefMan NoteFirst NoteExpress
×
提示
您的信息不完整,为了账户安全,请先补充。
现在去补充
×
提示
您因"违规操作"
具体请查看互助需知
我知道了
×
提示
确定
请完成安全验证×
copy
已复制链接
快去分享给好友吧!
我知道了
右上角分享
点击右上角分享
0
联系我们:info@booksci.cn Book学术提供免费学术资源搜索服务,方便国内外学者检索中英文文献。致力于提供最便捷和优质的服务体验。 Copyright © 2023 布克学术 All rights reserved.
京ICP备2023020795号-1
ghs 京公网安备 11010802042870号
Book学术文献互助
Book学术文献互助群
群 号:604180095
Book学术官方微信