中西医结合治疗罕见EGFR突变合并肾病综合征肺腺癌1例。

IF 2.6 4区 医学 Q3 ONCOLOGY
Cancer Management and Research Pub Date : 2025-07-02 eCollection Date: 2025-01-01 DOI:10.2147/CMAR.S526571
Lirong Zhang, Liye Cai, Luwei Ruan, Jie Li
{"title":"中西医结合治疗罕见EGFR突变合并肾病综合征肺腺癌1例。","authors":"Lirong Zhang, Liye Cai, Luwei Ruan, Jie Li","doi":"10.2147/CMAR.S526571","DOIUrl":null,"url":null,"abstract":"<p><p>This case report presents a 67-year-old male diagnosed with stage IV lung adenocarcinoma harboring rare EGFR exon 18/20 mutations (Gly719Cys/Ser768Ile) and a concurrent TP53 mutation, complicated by nephrotic syndrome. The scarcity of approved EGFR-TKIs targeting rare EGFR mutations in NSCLC, coupled with nephrotic syndrome-induced renal impairment, hypoalbuminemia, and massive pleural effusion refractory to conventional management, prompted the development of a personalized multimodal approach.A multimodal therapeutic regimen incorporating albumin-bound paclitaxel, intrathoracic perfusion of Endostar (recombinant human endostatin), and traditional Chinese medicine (TCM) was implemented, achieving effective disease control. Notably, the treatment resulted in significant tumor shrinkage (reduction rate: 48.1% by RECIST 1.1), complete resolution of malignant pleural effusion, and marked improvement in nephrotic syndrome parameters. The synergistic effects of targeted chemotherapy, anti-angiogenic therapy, and TCM-based symptom modulation highlight the potential of integrative approaches in managing advanced malignancies with complex molecular profiles and multisystem complications.</p>","PeriodicalId":9479,"journal":{"name":"Cancer Management and Research","volume":"17 ","pages":"1293-1299"},"PeriodicalIF":2.6000,"publicationDate":"2025-07-02","publicationTypes":"Journal Article","fieldsOfStudy":null,"isOpenAccess":false,"openAccessPdf":"https://www.ncbi.nlm.nih.gov/pmc/articles/PMC12229158/pdf/","citationCount":"0","resultStr":"{\"title\":\"Integrated Traditional Chinese and Western Medicine in Lung Adenocarcinoma with Rare EGFR Mutation and Nephrotic Syndrome: A Case Report.\",\"authors\":\"Lirong Zhang, Liye Cai, Luwei Ruan, Jie Li\",\"doi\":\"10.2147/CMAR.S526571\",\"DOIUrl\":null,\"url\":null,\"abstract\":\"<p><p>This case report presents a 67-year-old male diagnosed with stage IV lung adenocarcinoma harboring rare EGFR exon 18/20 mutations (Gly719Cys/Ser768Ile) and a concurrent TP53 mutation, complicated by nephrotic syndrome. The scarcity of approved EGFR-TKIs targeting rare EGFR mutations in NSCLC, coupled with nephrotic syndrome-induced renal impairment, hypoalbuminemia, and massive pleural effusion refractory to conventional management, prompted the development of a personalized multimodal approach.A multimodal therapeutic regimen incorporating albumin-bound paclitaxel, intrathoracic perfusion of Endostar (recombinant human endostatin), and traditional Chinese medicine (TCM) was implemented, achieving effective disease control. Notably, the treatment resulted in significant tumor shrinkage (reduction rate: 48.1% by RECIST 1.1), complete resolution of malignant pleural effusion, and marked improvement in nephrotic syndrome parameters. The synergistic effects of targeted chemotherapy, anti-angiogenic therapy, and TCM-based symptom modulation highlight the potential of integrative approaches in managing advanced malignancies with complex molecular profiles and multisystem complications.</p>\",\"PeriodicalId\":9479,\"journal\":{\"name\":\"Cancer Management and Research\",\"volume\":\"17 \",\"pages\":\"1293-1299\"},\"PeriodicalIF\":2.6000,\"publicationDate\":\"2025-07-02\",\"publicationTypes\":\"Journal Article\",\"fieldsOfStudy\":null,\"isOpenAccess\":false,\"openAccessPdf\":\"https://www.ncbi.nlm.nih.gov/pmc/articles/PMC12229158/pdf/\",\"citationCount\":\"0\",\"resultStr\":null,\"platform\":\"Semanticscholar\",\"paperid\":null,\"PeriodicalName\":\"Cancer Management and Research\",\"FirstCategoryId\":\"3\",\"ListUrlMain\":\"https://doi.org/10.2147/CMAR.S526571\",\"RegionNum\":4,\"RegionCategory\":\"医学\",\"ArticlePicture\":[],\"TitleCN\":null,\"AbstractTextCN\":null,\"PMCID\":null,\"EPubDate\":\"2025/1/1 0:00:00\",\"PubModel\":\"eCollection\",\"JCR\":\"Q3\",\"JCRName\":\"ONCOLOGY\",\"Score\":null,\"Total\":0}","platform":"Semanticscholar","paperid":null,"PeriodicalName":"Cancer Management and Research","FirstCategoryId":"3","ListUrlMain":"https://doi.org/10.2147/CMAR.S526571","RegionNum":4,"RegionCategory":"医学","ArticlePicture":[],"TitleCN":null,"AbstractTextCN":null,"PMCID":null,"EPubDate":"2025/1/1 0:00:00","PubModel":"eCollection","JCR":"Q3","JCRName":"ONCOLOGY","Score":null,"Total":0}
引用次数: 0

摘要

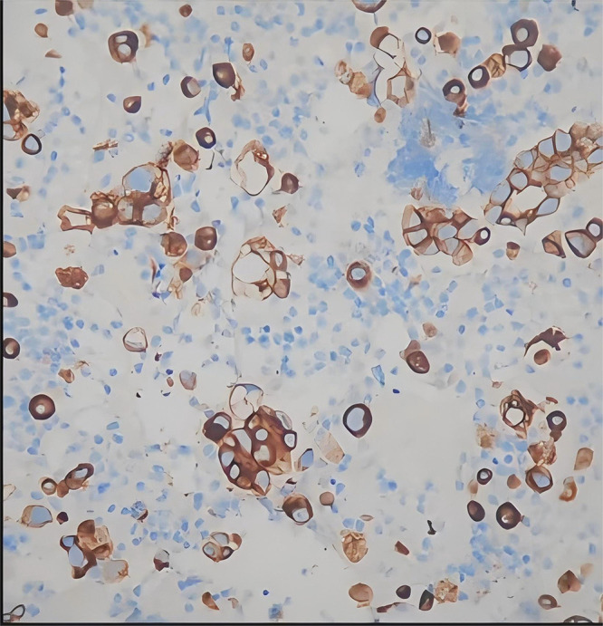
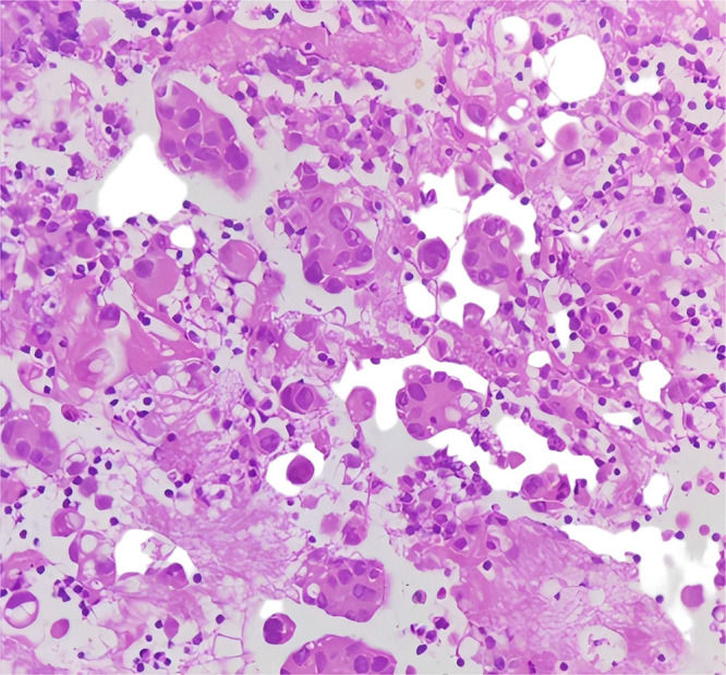
本病例报告报告了一名67岁男性,诊断为IV期肺腺癌,伴有罕见的EGFR外显子18/20突变(Gly719Cys/Ser768Ile)和并发的TP53突变,并伴有肾病综合征。针对NSCLC中罕见EGFR突变的批准EGFR- tkis的缺乏,加上肾病综合征引起的肾损害、低白蛋白血症和常规治疗难治的大量胸腔积液,促使了个性化多模式方法的发展。实施白蛋白结合紫杉醇、胸内灌注恩度(重组人内皮抑素)和中药的多模式治疗方案,实现了有效的疾病控制。值得注意的是,该治疗导致肿瘤明显缩小(RECIST 1.1的缩小率为48.1%),恶性胸腔积液完全消除,肾病综合征参数明显改善。靶向化疗、抗血管生成治疗和基于中药的症状调节的协同作用,突出了综合治疗具有复杂分子特征和多系统并发症的晚期恶性肿瘤的潜力。
本文章由计算机程序翻译,如有差异,请以英文原文为准。

Integrated Traditional Chinese and Western Medicine in Lung Adenocarcinoma with Rare EGFR Mutation and Nephrotic Syndrome: A Case Report.

Integrated Traditional Chinese and Western Medicine in Lung Adenocarcinoma with Rare EGFR Mutation and Nephrotic Syndrome: A Case Report.

Integrated Traditional Chinese and Western Medicine in Lung Adenocarcinoma with Rare EGFR Mutation and Nephrotic Syndrome: A Case Report.

Integrated Traditional Chinese and Western Medicine in Lung Adenocarcinoma with Rare EGFR Mutation and Nephrotic Syndrome: A Case Report.

This case report presents a 67-year-old male diagnosed with stage IV lung adenocarcinoma harboring rare EGFR exon 18/20 mutations (Gly719Cys/Ser768Ile) and a concurrent TP53 mutation, complicated by nephrotic syndrome. The scarcity of approved EGFR-TKIs targeting rare EGFR mutations in NSCLC, coupled with nephrotic syndrome-induced renal impairment, hypoalbuminemia, and massive pleural effusion refractory to conventional management, prompted the development of a personalized multimodal approach.A multimodal therapeutic regimen incorporating albumin-bound paclitaxel, intrathoracic perfusion of Endostar (recombinant human endostatin), and traditional Chinese medicine (TCM) was implemented, achieving effective disease control. Notably, the treatment resulted in significant tumor shrinkage (reduction rate: 48.1% by RECIST 1.1), complete resolution of malignant pleural effusion, and marked improvement in nephrotic syndrome parameters. The synergistic effects of targeted chemotherapy, anti-angiogenic therapy, and TCM-based symptom modulation highlight the potential of integrative approaches in managing advanced malignancies with complex molecular profiles and multisystem complications.

求助全文
通过发布文献求助,成功后即可免费获取论文全文。 去求助
来源期刊
Cancer Management and Research
Cancer Management and Research Medicine-Oncology
CiteScore
7.40
自引率
0.00%
发文量
448
审稿时长
16 weeks
期刊介绍: Cancer Management and Research is an international, peer reviewed, open access journal focusing on cancer research and the optimal use of preventative and integrated treatment interventions to achieve improved outcomes, enhanced survival, and quality of life for cancer patients. Specific topics covered in the journal include: ◦Epidemiology, detection and screening ◦Cellular research and biomarkers ◦Identification of biotargets and agents with novel mechanisms of action ◦Optimal clinical use of existing anticancer agents, including combination therapies ◦Radiation and surgery ◦Palliative care ◦Patient adherence, quality of life, satisfaction The journal welcomes submitted papers covering original research, basic science, clinical & epidemiological studies, reviews & evaluations, guidelines, expert opinion and commentary, and case series that shed novel insights on a disease or disease subtype.
×
引用
GB/T 7714-2015
复制
MLA
复制
APA
复制
导出至
BibTeX EndNote RefMan NoteFirst NoteExpress
×
提示
您的信息不完整,为了账户安全,请先补充。
现在去补充
×
提示
您因"违规操作"
具体请查看互助需知
我知道了
×
提示
确定
请完成安全验证×
copy
已复制链接
快去分享给好友吧!
我知道了
右上角分享
点击右上角分享
0
联系我们:info@booksci.cn Book学术提供免费学术资源搜索服务,方便国内外学者检索中英文文献。致力于提供最便捷和优质的服务体验。 Copyright © 2023 布克学术 All rights reserved.
京ICP备2023020795号-1
ghs 京公网安备 11010802042870号
Book学术文献互助
Book学术文献互助群
群 号:604180095
Book学术官方微信