巨噬细胞极化和SOCS3/JAK/STAT3信号通路调控的PD-1/PD-L1抑制剂治疗与心脏毒性相关

IF 1.6 4区 医学 Q4 IMMUNOLOGY
Central European Journal of Immunology Pub Date : 2025-01-01 Epub Date: 2025-04-09 DOI:10.5114/ceji.2025.149377
Jiding Fu, Ge Wang, Lisi Zeng, Jie Lin, Yier Wei, Wei Xu, Rui Xu, Lewu Xian
{"title":"巨噬细胞极化和SOCS3/JAK/STAT3信号通路调控的PD-1/PD-L1抑制剂治疗与心脏毒性相关","authors":"Jiding Fu, Ge Wang, Lisi Zeng, Jie Lin, Yier Wei, Wei Xu, Rui Xu, Lewu Xian","doi":"10.5114/ceji.2025.149377","DOIUrl":null,"url":null,"abstract":"<p><p>Cardiotoxicity caused by immune checkpoint inhibitors is one of the most severe and potentially fatal side effects. Hence it is crucial from a therapeutic standpoint to understand the underlying processes and devise countermeasures. This study sought to determine whether the SOCS3/JAK/STAT3 signaling pathway, which controls macrophage polarization, contributes to the cardiotoxicity caused by PD-1/PD-L1 inhibitors. The PD-1/PD-L1 inhibitor BMS-1 (10 mg/kg) was used to create a mouse model of immune checkpoint inhibitor-related cardiotoxicity, and hematoxylin and Masson's trichome tests were used to measure cardiomyocyte apoptosis and cardiotoxicity. The production of M1 factors (tumor necrosis factor <i>α</i> [TNF-<i>α</i>] and interleukin [IL]-1 <i>b</i>), as well as the blood levels of myocardial enzymes (creatine kinase, aspartate transaminase, creatine kinase-MB, and lactate dehydrogenase), were evaluated by ELISA. Echocardiography was used to assess the heart's health. The processes were investigated using flow cytometric analysis, real-time PCR, Western blot, and chromatin immunoprecipitation. We found that the PD-1/PD-L1 inhibitor BMS-1 dramatically reduced tumor weight while considerably impairing cardiac function in melanoma-induced tumor-bearing mice. At the gene and protein levels, it was found that levels of SOCS3, JAK, STAT3, and the inflammatory mediators IL-6 and TNF-<i>α</i> had all significantly decreased. Immune checkpoint inhibitor-induced cardiotoxicity may be linked to major changes in the SOCS3/JAK/STAT3 signaling pathway, as indicated by the knockdown of SOCS3, JAK, and STAT3. Finally, immune checkpoint inhibitor intervention demonstrated a large elevation of CD86+ and MHCII+ as well as a considerable increase in macrophages. These data suggest that the SOCS3/JAK/STAT3 signaling pathway, which controls macrophage polarization, may be linked to cardiotoxicity caused by PD-1/PD-L1 inhibitor therapy.</p>","PeriodicalId":9694,"journal":{"name":"Central European Journal of Immunology","volume":"50 1","pages":"24-37"},"PeriodicalIF":1.6000,"publicationDate":"2025-01-01","publicationTypes":"Journal Article","fieldsOfStudy":null,"isOpenAccess":false,"openAccessPdf":"https://www.ncbi.nlm.nih.gov/pmc/articles/PMC12224271/pdf/","citationCount":"0","resultStr":"{\"title\":\"PD-1/PD-L1 inhibitor treatment associated with cardiotoxicity regulated by macrophage polarization and SOCS3/JAK/STAT3 signaling pathway.\",\"authors\":\"Jiding Fu, Ge Wang, Lisi Zeng, Jie Lin, Yier Wei, Wei Xu, Rui Xu, Lewu Xian\",\"doi\":\"10.5114/ceji.2025.149377\",\"DOIUrl\":null,\"url\":null,\"abstract\":\"<p><p>Cardiotoxicity caused by immune checkpoint inhibitors is one of the most severe and potentially fatal side effects. Hence it is crucial from a therapeutic standpoint to understand the underlying processes and devise countermeasures. This study sought to determine whether the SOCS3/JAK/STAT3 signaling pathway, which controls macrophage polarization, contributes to the cardiotoxicity caused by PD-1/PD-L1 inhibitors. The PD-1/PD-L1 inhibitor BMS-1 (10 mg/kg) was used to create a mouse model of immune checkpoint inhibitor-related cardiotoxicity, and hematoxylin and Masson's trichome tests were used to measure cardiomyocyte apoptosis and cardiotoxicity. The production of M1 factors (tumor necrosis factor <i>α</i> [TNF-<i>α</i>] and interleukin [IL]-1 <i>b</i>), as well as the blood levels of myocardial enzymes (creatine kinase, aspartate transaminase, creatine kinase-MB, and lactate dehydrogenase), were evaluated by ELISA. Echocardiography was used to assess the heart's health. The processes were investigated using flow cytometric analysis, real-time PCR, Western blot, and chromatin immunoprecipitation. We found that the PD-1/PD-L1 inhibitor BMS-1 dramatically reduced tumor weight while considerably impairing cardiac function in melanoma-induced tumor-bearing mice. At the gene and protein levels, it was found that levels of SOCS3, JAK, STAT3, and the inflammatory mediators IL-6 and TNF-<i>α</i> had all significantly decreased. Immune checkpoint inhibitor-induced cardiotoxicity may be linked to major changes in the SOCS3/JAK/STAT3 signaling pathway, as indicated by the knockdown of SOCS3, JAK, and STAT3. Finally, immune checkpoint inhibitor intervention demonstrated a large elevation of CD86+ and MHCII+ as well as a considerable increase in macrophages. These data suggest that the SOCS3/JAK/STAT3 signaling pathway, which controls macrophage polarization, may be linked to cardiotoxicity caused by PD-1/PD-L1 inhibitor therapy.</p>\",\"PeriodicalId\":9694,\"journal\":{\"name\":\"Central European Journal of Immunology\",\"volume\":\"50 1\",\"pages\":\"24-37\"},\"PeriodicalIF\":1.6000,\"publicationDate\":\"2025-01-01\",\"publicationTypes\":\"Journal Article\",\"fieldsOfStudy\":null,\"isOpenAccess\":false,\"openAccessPdf\":\"https://www.ncbi.nlm.nih.gov/pmc/articles/PMC12224271/pdf/\",\"citationCount\":\"0\",\"resultStr\":null,\"platform\":\"Semanticscholar\",\"paperid\":null,\"PeriodicalName\":\"Central European Journal of Immunology\",\"FirstCategoryId\":\"3\",\"ListUrlMain\":\"https://doi.org/10.5114/ceji.2025.149377\",\"RegionNum\":4,\"RegionCategory\":\"医学\",\"ArticlePicture\":[],\"TitleCN\":null,\"AbstractTextCN\":null,\"PMCID\":null,\"EPubDate\":\"2025/4/9 0:00:00\",\"PubModel\":\"Epub\",\"JCR\":\"Q4\",\"JCRName\":\"IMMUNOLOGY\",\"Score\":null,\"Total\":0}","platform":"Semanticscholar","paperid":null,"PeriodicalName":"Central European Journal of Immunology","FirstCategoryId":"3","ListUrlMain":"https://doi.org/10.5114/ceji.2025.149377","RegionNum":4,"RegionCategory":"医学","ArticlePicture":[],"TitleCN":null,"AbstractTextCN":null,"PMCID":null,"EPubDate":"2025/4/9 0:00:00","PubModel":"Epub","JCR":"Q4","JCRName":"IMMUNOLOGY","Score":null,"Total":0}
引用次数: 0

摘要

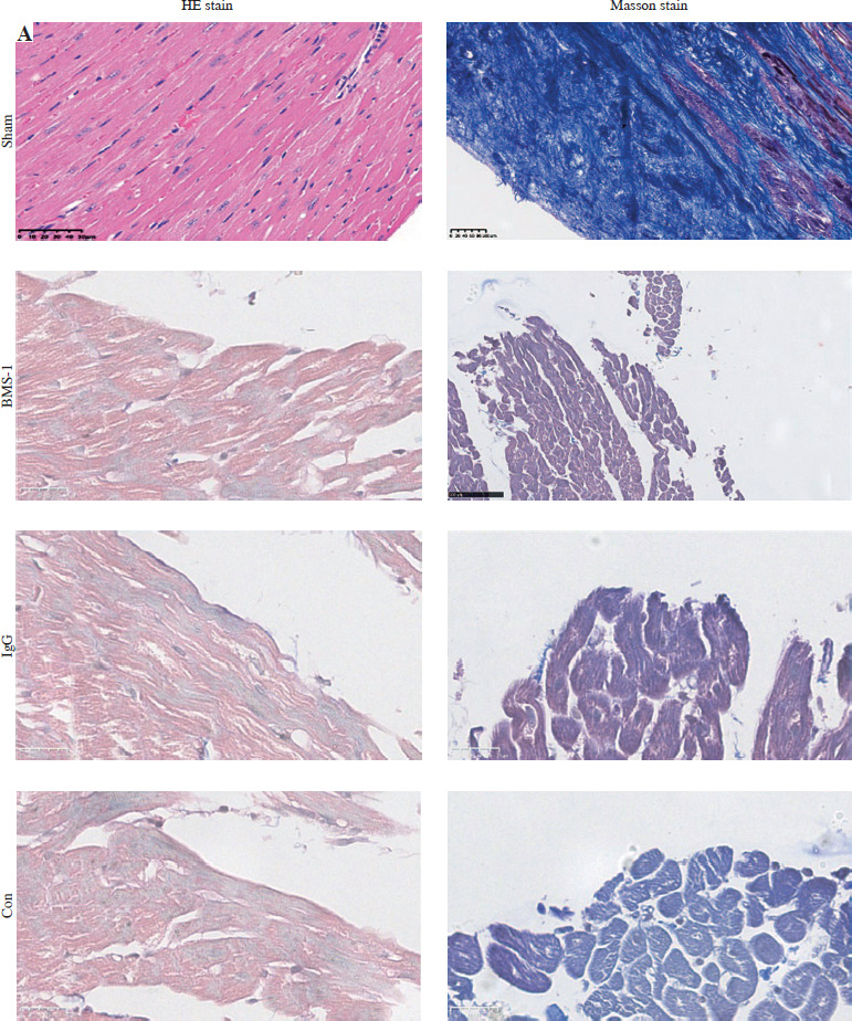
免疫检查点抑制剂引起的心脏毒性是最严重和潜在致命的副作用之一。因此,从治疗的角度来看,了解潜在的过程并制定对策是至关重要的。本研究旨在确定控制巨噬细胞极化的SOCS3/JAK/STAT3信号通路是否参与PD-1/PD-L1抑制剂引起的心脏毒性。采用PD-1/PD-L1抑制剂BMS-1 (10 mg/kg)建立免疫检查点抑制剂相关心脏毒性小鼠模型,采用苏木素和马松毛试验检测心肌细胞凋亡和心脏毒性。采用ELISA法检测M1因子(肿瘤坏死因子α [TNF-α]和白细胞介素[IL]- 1b)的产生以及血中心肌酶(肌酸激酶、天冬氨酸转氨酶、肌酸激酶- mb和乳酸脱氢酶)的水平。超声心动图用于评估心脏健康状况。使用流式细胞分析、实时PCR、Western blot和染色质免疫沉淀来研究这些过程。我们发现PD-1/PD-L1抑制剂BMS-1在黑色素瘤诱导的荷瘤小鼠中显著降低肿瘤重量,同时显著损害心功能。在基因和蛋白水平上,发现SOCS3、JAK、STAT3及炎症介质IL-6、TNF-α水平均显著降低。免疫检查点抑制剂诱导的心脏毒性可能与SOCS3/JAK/STAT3信号通路的主要变化有关,如SOCS3、JAK和STAT3的下调所表明的那样。最后,免疫检查点抑制剂干预显示CD86+和MHCII+的大量升高以及巨噬细胞的大量增加。这些数据表明,控制巨噬细胞极化的SOCS3/JAK/STAT3信号通路可能与PD-1/PD-L1抑制剂治疗引起的心脏毒性有关。
本文章由计算机程序翻译,如有差异,请以英文原文为准。

PD-1/PD-L1 inhibitor treatment associated with cardiotoxicity regulated by macrophage polarization and SOCS3/JAK/STAT3 signaling pathway.

PD-1/PD-L1 inhibitor treatment associated with cardiotoxicity regulated by macrophage polarization and SOCS3/JAK/STAT3 signaling pathway.

PD-1/PD-L1 inhibitor treatment associated with cardiotoxicity regulated by macrophage polarization and SOCS3/JAK/STAT3 signaling pathway.

PD-1/PD-L1 inhibitor treatment associated with cardiotoxicity regulated by macrophage polarization and SOCS3/JAK/STAT3 signaling pathway.

Cardiotoxicity caused by immune checkpoint inhibitors is one of the most severe and potentially fatal side effects. Hence it is crucial from a therapeutic standpoint to understand the underlying processes and devise countermeasures. This study sought to determine whether the SOCS3/JAK/STAT3 signaling pathway, which controls macrophage polarization, contributes to the cardiotoxicity caused by PD-1/PD-L1 inhibitors. The PD-1/PD-L1 inhibitor BMS-1 (10 mg/kg) was used to create a mouse model of immune checkpoint inhibitor-related cardiotoxicity, and hematoxylin and Masson's trichome tests were used to measure cardiomyocyte apoptosis and cardiotoxicity. The production of M1 factors (tumor necrosis factor α [TNF-α] and interleukin [IL]-1 b), as well as the blood levels of myocardial enzymes (creatine kinase, aspartate transaminase, creatine kinase-MB, and lactate dehydrogenase), were evaluated by ELISA. Echocardiography was used to assess the heart's health. The processes were investigated using flow cytometric analysis, real-time PCR, Western blot, and chromatin immunoprecipitation. We found that the PD-1/PD-L1 inhibitor BMS-1 dramatically reduced tumor weight while considerably impairing cardiac function in melanoma-induced tumor-bearing mice. At the gene and protein levels, it was found that levels of SOCS3, JAK, STAT3, and the inflammatory mediators IL-6 and TNF-α had all significantly decreased. Immune checkpoint inhibitor-induced cardiotoxicity may be linked to major changes in the SOCS3/JAK/STAT3 signaling pathway, as indicated by the knockdown of SOCS3, JAK, and STAT3. Finally, immune checkpoint inhibitor intervention demonstrated a large elevation of CD86+ and MHCII+ as well as a considerable increase in macrophages. These data suggest that the SOCS3/JAK/STAT3 signaling pathway, which controls macrophage polarization, may be linked to cardiotoxicity caused by PD-1/PD-L1 inhibitor therapy.

求助全文
通过发布文献求助,成功后即可免费获取论文全文。 去求助
来源期刊
CiteScore
3.00
自引率
0.00%
发文量
17
审稿时长
6-12 weeks
期刊介绍: Central European Journal of Immunology is a English-language quarterly aimed mainly at immunologists.
×
引用
GB/T 7714-2015
复制
MLA
复制
APA
复制
导出至
BibTeX EndNote RefMan NoteFirst NoteExpress
×
提示
您的信息不完整,为了账户安全,请先补充。
现在去补充
×
提示
您因"违规操作"
具体请查看互助需知
我知道了
×
提示
确定
请完成安全验证×
copy
已复制链接
快去分享给好友吧!
我知道了
右上角分享
点击右上角分享
0
联系我们:info@booksci.cn Book学术提供免费学术资源搜索服务,方便国内外学者检索中英文文献。致力于提供最便捷和优质的服务体验。 Copyright © 2023 布克学术 All rights reserved.
京ICP备2023020795号-1
ghs 京公网安备 11010802042870号
Book学术文献互助
Book学术文献互助群
群 号:604180095
Book学术官方微信