瓣上主动脉狭窄的一个罕见原因:连接左冠状动脉尖与窦壁的异常纤维带形成

IF 1.4 4区 医学 Q3 CARDIAC & CARDIOVASCULAR SYSTEMS
Chen Chen, Xiaojing Ma, Yafeng He, Juan Xia, Dandan Chen
{"title":"瓣上主动脉狭窄的一个罕见原因:连接左冠状动脉尖与窦壁的异常纤维带形成","authors":"Chen Chen,&nbsp;Xiaojing Ma,&nbsp;Yafeng He,&nbsp;Juan Xia,&nbsp;Dandan Chen","doi":"10.1111/echo.70245","DOIUrl":null,"url":null,"abstract":"<p>Transesophageal echocardiography (TEE) revealed that supravalvular aortic stenosis was caused by an aberrant fibrous band bridging the left coronary cusp and the sinus wall. This case highlights the advantage of TEE in delineating such abnormal anatomy and guiding precise etiological diagnosis and surgical planning.\n <figure>\n <div><picture>\n <source></source></picture><p></p>\n </div>\n </figure></p>","PeriodicalId":50558,"journal":{"name":"Echocardiography-A Journal of Cardiovascular Ultrasound and Allied Techniques","volume":"42 7","pages":""},"PeriodicalIF":1.4000,"publicationDate":"2025-07-07","publicationTypes":"Journal Article","fieldsOfStudy":null,"isOpenAccess":false,"openAccessPdf":"","citationCount":"0","resultStr":"{\"title\":\"A Rare Cause of Supravalvular Aortic Stenosis: Aberrant Fibrous Band Formation Connecting the Left Coronary Cusp to the Sinus Wall\",\"authors\":\"Chen Chen,&nbsp;Xiaojing Ma,&nbsp;Yafeng He,&nbsp;Juan Xia,&nbsp;Dandan Chen\",\"doi\":\"10.1111/echo.70245\",\"DOIUrl\":null,\"url\":null,\"abstract\":\"<p>Transesophageal echocardiography (TEE) revealed that supravalvular aortic stenosis was caused by an aberrant fibrous band bridging the left coronary cusp and the sinus wall. This case highlights the advantage of TEE in delineating such abnormal anatomy and guiding precise etiological diagnosis and surgical planning.\\n <figure>\\n <div><picture>\\n <source></source></picture><p></p>\\n </div>\\n </figure></p>\",\"PeriodicalId\":50558,\"journal\":{\"name\":\"Echocardiography-A Journal of Cardiovascular Ultrasound and Allied Techniques\",\"volume\":\"42 7\",\"pages\":\"\"},\"PeriodicalIF\":1.4000,\"publicationDate\":\"2025-07-07\",\"publicationTypes\":\"Journal Article\",\"fieldsOfStudy\":null,\"isOpenAccess\":false,\"openAccessPdf\":\"\",\"citationCount\":\"0\",\"resultStr\":null,\"platform\":\"Semanticscholar\",\"paperid\":null,\"PeriodicalName\":\"Echocardiography-A Journal of Cardiovascular Ultrasound and Allied Techniques\",\"FirstCategoryId\":\"3\",\"ListUrlMain\":\"https://onlinelibrary.wiley.com/doi/10.1111/echo.70245\",\"RegionNum\":4,\"RegionCategory\":\"医学\",\"ArticlePicture\":[],\"TitleCN\":null,\"AbstractTextCN\":null,\"PMCID\":null,\"EPubDate\":\"\",\"PubModel\":\"\",\"JCR\":\"Q3\",\"JCRName\":\"CARDIAC & CARDIOVASCULAR SYSTEMS\",\"Score\":null,\"Total\":0}","platform":"Semanticscholar","paperid":null,"PeriodicalName":"Echocardiography-A Journal of Cardiovascular Ultrasound and Allied Techniques","FirstCategoryId":"3","ListUrlMain":"https://onlinelibrary.wiley.com/doi/10.1111/echo.70245","RegionNum":4,"RegionCategory":"医学","ArticlePicture":[],"TitleCN":null,"AbstractTextCN":null,"PMCID":null,"EPubDate":"","PubModel":"","JCR":"Q3","JCRName":"CARDIAC & CARDIOVASCULAR SYSTEMS","Score":null,"Total":0}
引用次数: 0

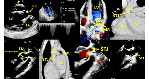
摘要

经食管超声心动图(TEE)显示,瓣上主动脉狭窄是由连接左冠状动脉尖端和窦壁的异常纤维带引起的。本病例强调TEE在描绘此类异常解剖和指导精确病因诊断和手术计划方面的优势。
本文章由计算机程序翻译,如有差异,请以英文原文为准。

A Rare Cause of Supravalvular Aortic Stenosis: Aberrant Fibrous Band Formation Connecting the Left Coronary Cusp to the Sinus Wall

A Rare Cause of Supravalvular Aortic Stenosis: Aberrant Fibrous Band Formation Connecting the Left Coronary Cusp to the Sinus Wall

Transesophageal echocardiography (TEE) revealed that supravalvular aortic stenosis was caused by an aberrant fibrous band bridging the left coronary cusp and the sinus wall. This case highlights the advantage of TEE in delineating such abnormal anatomy and guiding precise etiological diagnosis and surgical planning.

求助全文
通过发布文献求助,成功后即可免费获取论文全文。 去求助
来源期刊
CiteScore
2.40
自引率
6.70%
发文量
211
审稿时长
3-6 weeks
期刊介绍: Echocardiography: A Journal of Cardiovascular Ultrasound and Allied Techniques is the official publication of the International Society of Cardiovascular Ultrasound. Widely recognized for its comprehensive peer-reviewed articles, case studies, original research, and reviews by international authors. Echocardiography keeps its readership of echocardiographers, ultrasound specialists, and cardiologists well informed of the latest developments in the field.
×
引用
GB/T 7714-2015
复制
MLA
复制
APA
复制
导出至
BibTeX EndNote RefMan NoteFirst NoteExpress
×
提示
您的信息不完整,为了账户安全,请先补充。
现在去补充
×
提示
您因"违规操作"
具体请查看互助需知
我知道了
×
提示
确定
请完成安全验证×
copy
已复制链接
快去分享给好友吧!
我知道了
右上角分享
点击右上角分享
0
联系我们:info@booksci.cn Book学术提供免费学术资源搜索服务,方便国内外学者检索中英文文献。致力于提供最便捷和优质的服务体验。 Copyright © 2023 布克学术 All rights reserved.
京ICP备2023020795号-1
ghs 京公网安备 11010802042870号
Book学术文献互助
Book学术文献互助群
群 号:604180095
Book学术官方微信