基于腰肌CT放射学的机器学习模型预测克罗恩病患者对英夫利昔单抗的反应。

IF 4.3
Annals of medicine Pub Date : 2025-12-01 Epub Date: 2025-07-05 DOI:10.1080/07853890.2025.2527954
Zhuoyan Chen, Weimin Cai, Yuanhang He, Tianhao Mei, Yuxuan Zhang, Shiyu Li, Yiwen Hong, Yuhao Chen, Huiya Ying, Yuan Zeng, Fujun Yu
{"title":"基于腰肌CT放射学的机器学习模型预测克罗恩病患者对英夫利昔单抗的反应。","authors":"Zhuoyan Chen, Weimin Cai, Yuanhang He, Tianhao Mei, Yuxuan Zhang, Shiyu Li, Yiwen Hong, Yuhao Chen, Huiya Ying, Yuan Zeng, Fujun Yu","doi":"10.1080/07853890.2025.2527954","DOIUrl":null,"url":null,"abstract":"<p><strong>Background: </strong>Crohn's disease (CD) is a chronic inflammatory bowel disease, with infliximab (IFX) commonly used for treatment. However, no clinically applicable model currently exists to predict the response of patients with CD to IFX therapy. Given the strong association between sarcopenia and IFX treatment outcomes, this study developed computerized tomography radiomics-based machine learning (ML) models, utilizing psoas muscle volume as a proxy for skeletal muscle mass, to predict the response of patients with CD to IFX therapy.</p><p><strong>Methods: </strong>In this retrospective study, patients with CD from two institutions were recruited between January 2010 and January 2023, following stringent inclusion and exclusion criteria. Regions of interest were delineated using 3D Slicer software, and radiomics features were extracted with the Pyradiomics package in Python. <i>Z</i> score standardization and independent sample <i>t</i> test were applied to identify optimal predictive features, which were then utilized in seven ML algorithms for training and validation. Model performance was assessed through receiver-operating characteristic curves, precision-recall curves, and calibration curve analyses, evaluating accuracy and clinical applicability. Binary logistic regression was employed to identify predictors of IFX treatment response.</p><p><strong>Results: </strong>A total of 134 patients were included, divided into a training cohort (<i>n</i> = 84) and a validation cohort (<i>n</i> = 50). Twenty differential radiomics features were selected for integration into the ML models. All models demonstrated strong predictive performance in the validation cohort, with a mean area under the curve of 0.849. The eXtreme Gradient Boosting algorithm outperformed others, achieving an area under the curve of 0.910.</p><p><strong>Conclusion: </strong>Psoas computerized tomography radiomics-based ML models effectively predict the response of patients with CD to IFX therapy, with the eXtreme Gradient Boosting model exhibiting superior performance.</p>","PeriodicalId":93874,"journal":{"name":"Annals of medicine","volume":"57 1","pages":"2527954"},"PeriodicalIF":4.3000,"publicationDate":"2025-12-01","publicationTypes":"Journal Article","fieldsOfStudy":null,"isOpenAccess":false,"openAccessPdf":"https://www.ncbi.nlm.nih.gov/pmc/articles/PMC12231329/pdf/","citationCount":"0","resultStr":"{\"title\":\"Psoas muscle CT radiomics-based machine learning models to predict response to infliximab in patients with Crohn's disease.\",\"authors\":\"Zhuoyan Chen, Weimin Cai, Yuanhang He, Tianhao Mei, Yuxuan Zhang, Shiyu Li, Yiwen Hong, Yuhao Chen, Huiya Ying, Yuan Zeng, Fujun Yu\",\"doi\":\"10.1080/07853890.2025.2527954\",\"DOIUrl\":null,\"url\":null,\"abstract\":\"<p><strong>Background: </strong>Crohn's disease (CD) is a chronic inflammatory bowel disease, with infliximab (IFX) commonly used for treatment. However, no clinically applicable model currently exists to predict the response of patients with CD to IFX therapy. Given the strong association between sarcopenia and IFX treatment outcomes, this study developed computerized tomography radiomics-based machine learning (ML) models, utilizing psoas muscle volume as a proxy for skeletal muscle mass, to predict the response of patients with CD to IFX therapy.</p><p><strong>Methods: </strong>In this retrospective study, patients with CD from two institutions were recruited between January 2010 and January 2023, following stringent inclusion and exclusion criteria. Regions of interest were delineated using 3D Slicer software, and radiomics features were extracted with the Pyradiomics package in Python. <i>Z</i> score standardization and independent sample <i>t</i> test were applied to identify optimal predictive features, which were then utilized in seven ML algorithms for training and validation. Model performance was assessed through receiver-operating characteristic curves, precision-recall curves, and calibration curve analyses, evaluating accuracy and clinical applicability. Binary logistic regression was employed to identify predictors of IFX treatment response.</p><p><strong>Results: </strong>A total of 134 patients were included, divided into a training cohort (<i>n</i> = 84) and a validation cohort (<i>n</i> = 50). Twenty differential radiomics features were selected for integration into the ML models. All models demonstrated strong predictive performance in the validation cohort, with a mean area under the curve of 0.849. The eXtreme Gradient Boosting algorithm outperformed others, achieving an area under the curve of 0.910.</p><p><strong>Conclusion: </strong>Psoas computerized tomography radiomics-based ML models effectively predict the response of patients with CD to IFX therapy, with the eXtreme Gradient Boosting model exhibiting superior performance.</p>\",\"PeriodicalId\":93874,\"journal\":{\"name\":\"Annals of medicine\",\"volume\":\"57 1\",\"pages\":\"2527954\"},\"PeriodicalIF\":4.3000,\"publicationDate\":\"2025-12-01\",\"publicationTypes\":\"Journal Article\",\"fieldsOfStudy\":null,\"isOpenAccess\":false,\"openAccessPdf\":\"https://www.ncbi.nlm.nih.gov/pmc/articles/PMC12231329/pdf/\",\"citationCount\":\"0\",\"resultStr\":null,\"platform\":\"Semanticscholar\",\"paperid\":null,\"PeriodicalName\":\"Annals of medicine\",\"FirstCategoryId\":\"1085\",\"ListUrlMain\":\"https://doi.org/10.1080/07853890.2025.2527954\",\"RegionNum\":0,\"RegionCategory\":null,\"ArticlePicture\":[],\"TitleCN\":null,\"AbstractTextCN\":null,\"PMCID\":null,\"EPubDate\":\"2025/7/5 0:00:00\",\"PubModel\":\"Epub\",\"JCR\":\"\",\"JCRName\":\"\",\"Score\":null,\"Total\":0}","platform":"Semanticscholar","paperid":null,"PeriodicalName":"Annals of medicine","FirstCategoryId":"1085","ListUrlMain":"https://doi.org/10.1080/07853890.2025.2527954","RegionNum":0,"RegionCategory":null,"ArticlePicture":[],"TitleCN":null,"AbstractTextCN":null,"PMCID":null,"EPubDate":"2025/7/5 0:00:00","PubModel":"Epub","JCR":"","JCRName":"","Score":null,"Total":0}
引用次数: 0

摘要

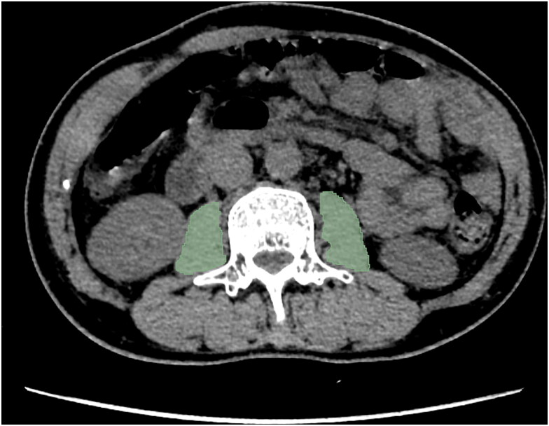
背景:克罗恩病(CD)是一种慢性炎症性肠病,常用英夫利昔单抗(IFX)治疗。然而,目前还没有临床适用的模型来预测CD患者对IFX治疗的反应。考虑到肌肉减少症与IFX治疗结果之间的强烈关联,本研究开发了基于计算机断层扫描放射学的机器学习(ML)模型,利用腰肌体积作为骨骼肌质量的代理,来预测CD患者对IFX治疗的反应。方法:在这项回顾性研究中,遵循严格的纳入和排除标准,从2010年1月至2023年1月从两个机构招募了CD患者。使用3D切片器软件描绘感兴趣的区域,使用Python中的Pyradiomics包提取放射组学特征。采用Z评分标准化和独立样本t检验来识别最佳预测特征,然后将其用于7种ML算法的训练和验证。通过接受者-工作特征曲线、精密度-召回率曲线和校准曲线分析来评估模型的性能,评估模型的准确性和临床适用性。采用二元逻辑回归来确定IFX治疗反应的预测因素。结果:共纳入134例患者,分为训练组(n = 84)和验证组(n = 50)。选择20个不同的放射组学特征整合到ML模型中。所有模型在验证队列中均表现出较强的预测性能,曲线下平均面积为0.849。极端梯度增强算法优于其他算法,实现了0.910的曲线下面积。结论:基于腰肌计算机断层放射学的ML模型可以有效预测CD患者对IFX治疗的反应,其中eXtreme Gradient Boosting模型表现出更好的效果。
本文章由计算机程序翻译,如有差异,请以英文原文为准。

Psoas muscle CT radiomics-based machine learning models to predict response to infliximab in patients with Crohn's disease.

Psoas muscle CT radiomics-based machine learning models to predict response to infliximab in patients with Crohn's disease.

Psoas muscle CT radiomics-based machine learning models to predict response to infliximab in patients with Crohn's disease.

Psoas muscle CT radiomics-based machine learning models to predict response to infliximab in patients with Crohn's disease.

Background: Crohn's disease (CD) is a chronic inflammatory bowel disease, with infliximab (IFX) commonly used for treatment. However, no clinically applicable model currently exists to predict the response of patients with CD to IFX therapy. Given the strong association between sarcopenia and IFX treatment outcomes, this study developed computerized tomography radiomics-based machine learning (ML) models, utilizing psoas muscle volume as a proxy for skeletal muscle mass, to predict the response of patients with CD to IFX therapy.

Methods: In this retrospective study, patients with CD from two institutions were recruited between January 2010 and January 2023, following stringent inclusion and exclusion criteria. Regions of interest were delineated using 3D Slicer software, and radiomics features were extracted with the Pyradiomics package in Python. Z score standardization and independent sample t test were applied to identify optimal predictive features, which were then utilized in seven ML algorithms for training and validation. Model performance was assessed through receiver-operating characteristic curves, precision-recall curves, and calibration curve analyses, evaluating accuracy and clinical applicability. Binary logistic regression was employed to identify predictors of IFX treatment response.

Results: A total of 134 patients were included, divided into a training cohort (n = 84) and a validation cohort (n = 50). Twenty differential radiomics features were selected for integration into the ML models. All models demonstrated strong predictive performance in the validation cohort, with a mean area under the curve of 0.849. The eXtreme Gradient Boosting algorithm outperformed others, achieving an area under the curve of 0.910.

Conclusion: Psoas computerized tomography radiomics-based ML models effectively predict the response of patients with CD to IFX therapy, with the eXtreme Gradient Boosting model exhibiting superior performance.

求助全文
通过发布文献求助,成功后即可免费获取论文全文。 去求助
来源期刊
自引率
0.00%
发文量
0
×
引用
GB/T 7714-2015
复制
MLA
复制
APA
复制
导出至
BibTeX EndNote RefMan NoteFirst NoteExpress
×
提示
您的信息不完整,为了账户安全,请先补充。
现在去补充
×
提示
您因"违规操作"
具体请查看互助需知
我知道了
×
提示
确定
请完成安全验证×
copy
已复制链接
快去分享给好友吧!
我知道了
右上角分享
点击右上角分享
0
联系我们:info@booksci.cn Book学术提供免费学术资源搜索服务,方便国内外学者检索中英文文献。致力于提供最便捷和优质的服务体验。 Copyright © 2023 布克学术 All rights reserved.
京ICP备2023020795号-1
ghs 京公网安备 11010802042870号
Book学术文献互助
Book学术文献互助群
群 号:604180095
Book学术官方微信