行PCNL的MetS患者术后SIRS危险因素的预测。

IF 2.2 2区 医学 Q2 UROLOGY & NEPHROLOGY
Song Wei, Shu-Hao Li, Bo-Ran Lv, Bai-Yu Liu, Hua Wang, Cheng Hu
{"title":"行PCNL的MetS患者术后SIRS危险因素的预测。","authors":"Song Wei, Shu-Hao Li, Bo-Ran Lv, Bai-Yu Liu, Hua Wang, Cheng Hu","doi":"10.1007/s00240-025-01806-0","DOIUrl":null,"url":null,"abstract":"<p><p>This study aimed to identify preoperative risk factors for systemic inflammatory response syndrome (SIRS) in patients with metabolic syndrome (MetS) undergoing percutaneous nephrolithotomy (PCNL) and to develop a predictive nomogram for individualized risk stratification. A retrospective analysis was conducted on 245 MetS patients who underwent PCNL between January 2021 and December 2024, among whom 27.8% developed postoperative SIRS. Patients were randomly assigned to training and validation cohorts in a 7:3 ratio. Least absolute shrinkage and selection operator (LASSO) regression was initially applied to select candidate predictors, followed by univariate and multivariate logistic regression analyses to identify independent risk factors. A nomogram was subsequently constructed based on the significant variables and evaluated using receiver operating characteristic (ROC) curves, calibration plots, and decision curve analysis (DCA). Multivariate analysis identified five independent predictors of postoperative SIRS: higher standard deviation of stone density, reduced renal parenchymal thickness, increased lateral and posterior perirenal fat thicknesses, and the presence of staghorn calculi (P < 0.05). The nomogram demonstrated good discriminative ability, with an area under the ROC curve (AUC) of 0.888 (95% CI: 0.834-0.942) in the training cohort and 0.882 (95% CI: 0.802-0.962) in the validation cohort. The calibration curve and the Hosmer-Lemeshow test (P = 0.1485) indicated good model calibration and fit. DCA further confirmed the clinical utility of the model. This nomogram offers a reliable preoperative tool for SIRS risk stratification in MetS patients undergoing PCNL, aiding early intervention and personalized perioperative management.</p>","PeriodicalId":23411,"journal":{"name":"Urolithiasis","volume":"53 1","pages":"135"},"PeriodicalIF":2.2000,"publicationDate":"2025-07-05","publicationTypes":"Journal Article","fieldsOfStudy":null,"isOpenAccess":false,"openAccessPdf":"https://www.ncbi.nlm.nih.gov/pmc/articles/PMC12228654/pdf/","citationCount":"0","resultStr":"{\"title\":\"Prediction of postoperative SIRS risk factors in MetS patients undergoing PCNL.\",\"authors\":\"Song Wei, Shu-Hao Li, Bo-Ran Lv, Bai-Yu Liu, Hua Wang, Cheng Hu\",\"doi\":\"10.1007/s00240-025-01806-0\",\"DOIUrl\":null,\"url\":null,\"abstract\":\"<p><p>This study aimed to identify preoperative risk factors for systemic inflammatory response syndrome (SIRS) in patients with metabolic syndrome (MetS) undergoing percutaneous nephrolithotomy (PCNL) and to develop a predictive nomogram for individualized risk stratification. A retrospective analysis was conducted on 245 MetS patients who underwent PCNL between January 2021 and December 2024, among whom 27.8% developed postoperative SIRS. Patients were randomly assigned to training and validation cohorts in a 7:3 ratio. Least absolute shrinkage and selection operator (LASSO) regression was initially applied to select candidate predictors, followed by univariate and multivariate logistic regression analyses to identify independent risk factors. A nomogram was subsequently constructed based on the significant variables and evaluated using receiver operating characteristic (ROC) curves, calibration plots, and decision curve analysis (DCA). Multivariate analysis identified five independent predictors of postoperative SIRS: higher standard deviation of stone density, reduced renal parenchymal thickness, increased lateral and posterior perirenal fat thicknesses, and the presence of staghorn calculi (P < 0.05). The nomogram demonstrated good discriminative ability, with an area under the ROC curve (AUC) of 0.888 (95% CI: 0.834-0.942) in the training cohort and 0.882 (95% CI: 0.802-0.962) in the validation cohort. The calibration curve and the Hosmer-Lemeshow test (P = 0.1485) indicated good model calibration and fit. DCA further confirmed the clinical utility of the model. This nomogram offers a reliable preoperative tool for SIRS risk stratification in MetS patients undergoing PCNL, aiding early intervention and personalized perioperative management.</p>\",\"PeriodicalId\":23411,\"journal\":{\"name\":\"Urolithiasis\",\"volume\":\"53 1\",\"pages\":\"135\"},\"PeriodicalIF\":2.2000,\"publicationDate\":\"2025-07-05\",\"publicationTypes\":\"Journal Article\",\"fieldsOfStudy\":null,\"isOpenAccess\":false,\"openAccessPdf\":\"https://www.ncbi.nlm.nih.gov/pmc/articles/PMC12228654/pdf/\",\"citationCount\":\"0\",\"resultStr\":null,\"platform\":\"Semanticscholar\",\"paperid\":null,\"PeriodicalName\":\"Urolithiasis\",\"FirstCategoryId\":\"3\",\"ListUrlMain\":\"https://doi.org/10.1007/s00240-025-01806-0\",\"RegionNum\":2,\"RegionCategory\":\"医学\",\"ArticlePicture\":[],\"TitleCN\":null,\"AbstractTextCN\":null,\"PMCID\":null,\"EPubDate\":\"\",\"PubModel\":\"\",\"JCR\":\"Q2\",\"JCRName\":\"UROLOGY & NEPHROLOGY\",\"Score\":null,\"Total\":0}","platform":"Semanticscholar","paperid":null,"PeriodicalName":"Urolithiasis","FirstCategoryId":"3","ListUrlMain":"https://doi.org/10.1007/s00240-025-01806-0","RegionNum":2,"RegionCategory":"医学","ArticlePicture":[],"TitleCN":null,"AbstractTextCN":null,"PMCID":null,"EPubDate":"","PubModel":"","JCR":"Q2","JCRName":"UROLOGY & NEPHROLOGY","Score":null,"Total":0}
引用次数: 0

摘要

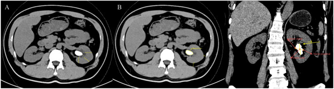
本研究旨在确定接受经皮肾镜取石术(PCNL)的代谢综合征(MetS)患者发生全身性炎症反应综合征(SIRS)的术前危险因素,并建立个体化风险分层的预测nomogram。对2021年1月至2024年12月期间接受PCNL的245例MetS患者进行了回顾性分析,其中27.8%的患者发生了术后SIRS。患者按7:3的比例随机分配到训练组和验证组。最小绝对收缩和选择算子(LASSO)回归最初用于选择候选预测因子,然后进行单变量和多变量逻辑回归分析以确定独立风险因素。随后,基于显著变量构建了nomogram,并使用受试者工作特征(ROC)曲线、校准图和决策曲线分析(DCA)进行评估。多因素分析确定了术后SIRS的五个独立预测因素:结石密度的较高标准差、肾实质厚度的减少、肾外侧和后周脂肪厚度的增加以及鹿角结石的存在
本文章由计算机程序翻译,如有差异,请以英文原文为准。

Prediction of postoperative SIRS risk factors in MetS patients undergoing PCNL.

Prediction of postoperative SIRS risk factors in MetS patients undergoing PCNL.

Prediction of postoperative SIRS risk factors in MetS patients undergoing PCNL.

Prediction of postoperative SIRS risk factors in MetS patients undergoing PCNL.

This study aimed to identify preoperative risk factors for systemic inflammatory response syndrome (SIRS) in patients with metabolic syndrome (MetS) undergoing percutaneous nephrolithotomy (PCNL) and to develop a predictive nomogram for individualized risk stratification. A retrospective analysis was conducted on 245 MetS patients who underwent PCNL between January 2021 and December 2024, among whom 27.8% developed postoperative SIRS. Patients were randomly assigned to training and validation cohorts in a 7:3 ratio. Least absolute shrinkage and selection operator (LASSO) regression was initially applied to select candidate predictors, followed by univariate and multivariate logistic regression analyses to identify independent risk factors. A nomogram was subsequently constructed based on the significant variables and evaluated using receiver operating characteristic (ROC) curves, calibration plots, and decision curve analysis (DCA). Multivariate analysis identified five independent predictors of postoperative SIRS: higher standard deviation of stone density, reduced renal parenchymal thickness, increased lateral and posterior perirenal fat thicknesses, and the presence of staghorn calculi (P < 0.05). The nomogram demonstrated good discriminative ability, with an area under the ROC curve (AUC) of 0.888 (95% CI: 0.834-0.942) in the training cohort and 0.882 (95% CI: 0.802-0.962) in the validation cohort. The calibration curve and the Hosmer-Lemeshow test (P = 0.1485) indicated good model calibration and fit. DCA further confirmed the clinical utility of the model. This nomogram offers a reliable preoperative tool for SIRS risk stratification in MetS patients undergoing PCNL, aiding early intervention and personalized perioperative management.

求助全文
通过发布文献求助,成功后即可免费获取论文全文。 去求助
来源期刊
Urolithiasis
Urolithiasis UROLOGY & NEPHROLOGY-
CiteScore
4.50
自引率
6.50%
发文量
74
期刊介绍: Official Journal of the International Urolithiasis Society The journal aims to publish original articles in the fields of clinical and experimental investigation only within the sphere of urolithiasis and its related areas of research. The journal covers all aspects of urolithiasis research including the diagnosis, epidemiology, pathogenesis, genetics, clinical biochemistry, open and non-invasive surgical intervention, nephrological investigation, chemistry and prophylaxis of the disorder. The Editor welcomes contributions on topics of interest to urologists, nephrologists, radiologists, clinical biochemists, epidemiologists, nutritionists, basic scientists and nurses working in that field. Contributions may be submitted as full-length articles or as rapid communications in the form of Letters to the Editor. Articles should be original and should contain important new findings from carefully conducted studies designed to produce statistically significant data. Please note that we no longer publish articles classified as Case Reports. Editorials and review articles may be published by invitation from the Editorial Board. All submissions are peer-reviewed. Through an electronic system for the submission and review of manuscripts, the Editor and Associate Editors aim to make publication accessible as quickly as possible to a large number of readers throughout the world.
×
引用
GB/T 7714-2015
复制
MLA
复制
APA
复制
导出至
BibTeX EndNote RefMan NoteFirst NoteExpress
×
提示
您的信息不完整,为了账户安全,请先补充。
现在去补充
×
提示
您因"违规操作"
具体请查看互助需知
我知道了
×
提示
确定
请完成安全验证×
copy
已复制链接
快去分享给好友吧!
我知道了
右上角分享
点击右上角分享
0
联系我们:info@booksci.cn Book学术提供免费学术资源搜索服务,方便国内外学者检索中英文文献。致力于提供最便捷和优质的服务体验。 Copyright © 2023 布克学术 All rights reserved.
京ICP备2023020795号-1
ghs 京公网安备 11010802042870号
Book学术文献互助
Book学术文献互助群
群 号:604180095
Book学术官方微信