肿瘤侵袭模式对膀胱内calmette - gusamrin反应对T1期高级别非肌侵性膀胱癌的预测价值。

IF 2.1 3区 医学 Q2 UROLOGY & NEPHROLOGY
Ismail Ulus, Şule Özsoy, Selçuk Cin, Mehmet Yilmaz, Gokhan Cil, İbrahim Oğulcan Canitez, Atilla Semercioz
{"title":"肿瘤侵袭模式对膀胱内calmette - gusamrin反应对T1期高级别非肌侵性膀胱癌的预测价值。","authors":"Ismail Ulus, Şule Özsoy, Selçuk Cin, Mehmet Yilmaz, Gokhan Cil, İbrahim Oğulcan Canitez, Atilla Semercioz","doi":"10.4111/icu.20250124","DOIUrl":null,"url":null,"abstract":"<p><strong>Purpose: </strong>Parameters predicting intravesical bacillus Calmette-Guerin (BCG) treatment response in non-muscle-invasive bladder cancer (NMIBC) are limited. This study investigated the effectiveness of tumor invasion patterns in predicting intravesical BCG treatment response, which are known to have prognostic value for NMIBC.</p><p><strong>Materials and methods: </strong>Data of 167 primary, stage T1 high-grade NMIBC patients evaluated retrospectively. All transurethral resection samples were re-evaluated for confirmation of pathological variables and determination of invasion patterns. Binary logistic regression analysis applied to obtain determinants of BCG response. Kaplan-Meier curves and log-rank test used to assess relationship between variables and time to recurrence and time to progression.</p><p><strong>Results: </strong>Tumor invasion pattern was nodular in 83 (49.7%), trabecular in 20 (12.0%) and infiltrative in 64 patients (38.3%). Multivariate analysis revealed multifocality (p=0.001), trabecular invasion (p=0.001) and infiltrative invasion (p=0.001) were independent predictors of poor BCG response. Log-rank test determined infiltrative invasion has higher impact on time to recurrence (p<0.001) and nodular invasion has significantly lower risk for time to progression (p=0.013), during the median follow-up period of 15 months.</p><p><strong>Conclusions: </strong>Invasion patterns are significantly correlated with BCG response. Assessment of this easily applicable parameter can differ patients who may benefit from BCG treatment and can be used as a prognostic indicator.</p>","PeriodicalId":14522,"journal":{"name":"Investigative and Clinical Urology","volume":"66 4","pages":"295-301"},"PeriodicalIF":2.1000,"publicationDate":"2025-07-01","publicationTypes":"Journal Article","fieldsOfStudy":null,"isOpenAccess":false,"openAccessPdf":"https://www.ncbi.nlm.nih.gov/pmc/articles/PMC12277913/pdf/","citationCount":"0","resultStr":"{\"title\":\"Predictive value of tumor invasion patterns on intravesical bacillus Calmette-Guérin response for stage T1 high-grade non-muscle-invasive bladder cancer.\",\"authors\":\"Ismail Ulus, Şule Özsoy, Selçuk Cin, Mehmet Yilmaz, Gokhan Cil, İbrahim Oğulcan Canitez, Atilla Semercioz\",\"doi\":\"10.4111/icu.20250124\",\"DOIUrl\":null,\"url\":null,\"abstract\":\"<p><strong>Purpose: </strong>Parameters predicting intravesical bacillus Calmette-Guerin (BCG) treatment response in non-muscle-invasive bladder cancer (NMIBC) are limited. This study investigated the effectiveness of tumor invasion patterns in predicting intravesical BCG treatment response, which are known to have prognostic value for NMIBC.</p><p><strong>Materials and methods: </strong>Data of 167 primary, stage T1 high-grade NMIBC patients evaluated retrospectively. All transurethral resection samples were re-evaluated for confirmation of pathological variables and determination of invasion patterns. Binary logistic regression analysis applied to obtain determinants of BCG response. Kaplan-Meier curves and log-rank test used to assess relationship between variables and time to recurrence and time to progression.</p><p><strong>Results: </strong>Tumor invasion pattern was nodular in 83 (49.7%), trabecular in 20 (12.0%) and infiltrative in 64 patients (38.3%). Multivariate analysis revealed multifocality (p=0.001), trabecular invasion (p=0.001) and infiltrative invasion (p=0.001) were independent predictors of poor BCG response. Log-rank test determined infiltrative invasion has higher impact on time to recurrence (p<0.001) and nodular invasion has significantly lower risk for time to progression (p=0.013), during the median follow-up period of 15 months.</p><p><strong>Conclusions: </strong>Invasion patterns are significantly correlated with BCG response. Assessment of this easily applicable parameter can differ patients who may benefit from BCG treatment and can be used as a prognostic indicator.</p>\",\"PeriodicalId\":14522,\"journal\":{\"name\":\"Investigative and Clinical Urology\",\"volume\":\"66 4\",\"pages\":\"295-301\"},\"PeriodicalIF\":2.1000,\"publicationDate\":\"2025-07-01\",\"publicationTypes\":\"Journal Article\",\"fieldsOfStudy\":null,\"isOpenAccess\":false,\"openAccessPdf\":\"https://www.ncbi.nlm.nih.gov/pmc/articles/PMC12277913/pdf/\",\"citationCount\":\"0\",\"resultStr\":null,\"platform\":\"Semanticscholar\",\"paperid\":null,\"PeriodicalName\":\"Investigative and Clinical Urology\",\"FirstCategoryId\":\"3\",\"ListUrlMain\":\"https://doi.org/10.4111/icu.20250124\",\"RegionNum\":3,\"RegionCategory\":\"医学\",\"ArticlePicture\":[],\"TitleCN\":null,\"AbstractTextCN\":null,\"PMCID\":null,\"EPubDate\":\"\",\"PubModel\":\"\",\"JCR\":\"Q2\",\"JCRName\":\"UROLOGY & NEPHROLOGY\",\"Score\":null,\"Total\":0}","platform":"Semanticscholar","paperid":null,"PeriodicalName":"Investigative and Clinical Urology","FirstCategoryId":"3","ListUrlMain":"https://doi.org/10.4111/icu.20250124","RegionNum":3,"RegionCategory":"医学","ArticlePicture":[],"TitleCN":null,"AbstractTextCN":null,"PMCID":null,"EPubDate":"","PubModel":"","JCR":"Q2","JCRName":"UROLOGY & NEPHROLOGY","Score":null,"Total":0}
引用次数: 0

摘要

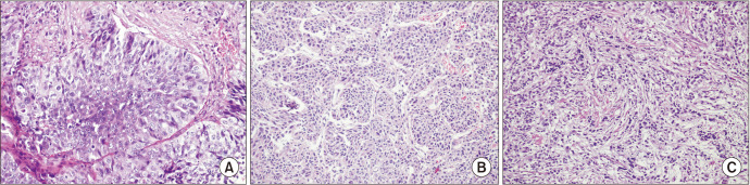
目的:预测膀胱内卡介苗(BCG)治疗非肌肉浸润性膀胱癌(NMIBC)疗效的参数有限。本研究探讨了肿瘤侵袭模式在预测膀胱内卡介苗治疗反应中的有效性,这对于NMIBC具有预后价值。材料和方法:回顾性评价167例原发性T1期高级别NMIBC患者的资料。所有经尿道切除的样本都被重新评估以确认病理变量和确定侵袭模式。采用二元logistic回归分析获得卡介苗反应的决定因素。Kaplan-Meier曲线和log-rank检验用于评估变量与复发时间和进展时间之间的关系。结果:肿瘤侵袭类型为结节性83例(49.7%),小梁性20例(12.0%),浸润性64例(38.3%)。多因素分析显示,多灶性(p=0.001)、小梁浸润性(p=0.001)和浸润性浸润性(p=0.001)是卡介苗不良反应的独立预测因素。Log-rank检验确定浸润性浸润对复发时间有较高的影响(结论:浸润方式与卡介苗应答显著相关。对这一易于应用的参数的评估可以区分可能受益于卡介苗治疗的患者,并可作为预后指标。
本文章由计算机程序翻译,如有差异,请以英文原文为准。

Predictive value of tumor invasion patterns on intravesical bacillus Calmette-Guérin response for stage T1 high-grade non-muscle-invasive bladder cancer.

Predictive value of tumor invasion patterns on intravesical bacillus Calmette-Guérin response for stage T1 high-grade non-muscle-invasive bladder cancer.

Predictive value of tumor invasion patterns on intravesical bacillus Calmette-Guérin response for stage T1 high-grade non-muscle-invasive bladder cancer.

Predictive value of tumor invasion patterns on intravesical bacillus Calmette-Guérin response for stage T1 high-grade non-muscle-invasive bladder cancer.

Purpose: Parameters predicting intravesical bacillus Calmette-Guerin (BCG) treatment response in non-muscle-invasive bladder cancer (NMIBC) are limited. This study investigated the effectiveness of tumor invasion patterns in predicting intravesical BCG treatment response, which are known to have prognostic value for NMIBC.

Materials and methods: Data of 167 primary, stage T1 high-grade NMIBC patients evaluated retrospectively. All transurethral resection samples were re-evaluated for confirmation of pathological variables and determination of invasion patterns. Binary logistic regression analysis applied to obtain determinants of BCG response. Kaplan-Meier curves and log-rank test used to assess relationship between variables and time to recurrence and time to progression.

Results: Tumor invasion pattern was nodular in 83 (49.7%), trabecular in 20 (12.0%) and infiltrative in 64 patients (38.3%). Multivariate analysis revealed multifocality (p=0.001), trabecular invasion (p=0.001) and infiltrative invasion (p=0.001) were independent predictors of poor BCG response. Log-rank test determined infiltrative invasion has higher impact on time to recurrence (p<0.001) and nodular invasion has significantly lower risk for time to progression (p=0.013), during the median follow-up period of 15 months.

Conclusions: Invasion patterns are significantly correlated with BCG response. Assessment of this easily applicable parameter can differ patients who may benefit from BCG treatment and can be used as a prognostic indicator.

求助全文
通过发布文献求助,成功后即可免费获取论文全文。 去求助
来源期刊
CiteScore
4.10
自引率
4.30%
发文量
82
审稿时长
4 weeks
期刊介绍: Investigative and Clinical Urology (Investig Clin Urol, ICUrology) is an international, peer-reviewed, platinum open access journal published bimonthly. ICUrology aims to provide outstanding scientific and clinical research articles, that will advance knowledge and understanding of urological diseases and current therapeutic treatments. ICUrology publishes Original Articles, Rapid Communications, Review Articles, Special Articles, Innovations in Urology, Editorials, and Letters to the Editor, with a focus on the following areas of expertise: • Precision Medicine in Urology • Urological Oncology • Robotics/Laparoscopy • Endourology/Urolithiasis • Lower Urinary Tract Dysfunction • Female Urology • Sexual Dysfunction/Infertility • Infection/Inflammation • Reconstruction/Transplantation • Geriatric Urology • Pediatric Urology • Basic/Translational Research One of the notable features of ICUrology is the application of multimedia platforms facilitating easy-to-access online video clips of newly developed surgical techniques from the journal''s website, by a QR (quick response) code located in the article, or via YouTube. ICUrology provides current and highly relevant knowledge to a broad audience at the cutting edge of urological research and clinical practice.
×
引用
GB/T 7714-2015
复制
MLA
复制
APA
复制
导出至
BibTeX EndNote RefMan NoteFirst NoteExpress
×
提示
您的信息不完整,为了账户安全,请先补充。
现在去补充
×
提示
您因"违规操作"
具体请查看互助需知
我知道了
×
提示
确定
请完成安全验证×
copy
已复制链接
快去分享给好友吧!
我知道了
右上角分享
点击右上角分享
0
联系我们:info@booksci.cn Book学术提供免费学术资源搜索服务,方便国内外学者检索中英文文献。致力于提供最便捷和优质的服务体验。 Copyright © 2023 布克学术 All rights reserved.
京ICP备2023020795号-1
ghs 京公网安备 11010802042870号
Book学术文献互助
Book学术文献互助群
群 号:604180095
Book学术官方微信