间歇性二尖瓣假体功能障碍。什么干扰阀门关闭?

IF 1.5 4区 医学 Q3 CARDIAC & CARDIOVASCULAR SYSTEMS
Pere Pericas, Ronald Morales Murillo, Marta Noris Mora, Francisco Gual-Capllonch, José Ignacio Sáez de Ibarra, Vicente Peral Disdier
{"title":"间歇性二尖瓣假体功能障碍。什么干扰阀门关闭?","authors":"Pere Pericas, Ronald Morales Murillo, Marta Noris Mora, Francisco Gual-Capllonch, José Ignacio Sáez de Ibarra, Vicente Peral Disdier","doi":"10.1186/s13019-025-03521-8","DOIUrl":null,"url":null,"abstract":"<p><strong>Background: </strong>Prosthetic valve dysfunction due to entrapment of the subvalvular apparatus is a rare condition, particularly when occurring as a delayed postoperative complication. Spontaneous papillary muscle rupture in the absence of an ischemic event is also uncommon. The simultaneous presence of both conditions renders this case of intermittent symptomatic mitral regurgitation exceptional.</p><p><strong>Case presentation: </strong>We present the case of a 72-year-old woman with a history of rheumatic heart disease and a mechanical mitral valve prosthesis. Although the initial postoperative course was uneventful, she developed rapidly progressive heart failure symptoms two years after surgery, secondary to newly onset severe mitral regurgitation. Transesophageal echocardiography was crucial in elucidating the underlying mechanism, revealing a ventricular mass intermittently interfering with the proper closure of the mechanical prosthesis. The main differential diagnoses regarding the origin of the mass included: remnants of the subvalvular apparatus, vegetation, thrombotic material and pannus formation. Given the clinical deterioration, surgical intervention was considered necessary despite the lack of precise knowledge regarding the nature of mass. Surgical exploration confirmed the rupture of the subvalvular apparatus involving the anterolateral papillary muscle as the underlying cause of the prosthetic dysfunction. Excision of the ruptured chordae tendineae and residual papillary muscle was performed with a favorable outcome and no complications.</p><p><strong>Conclusions: </strong>This case illustrates a rare cause of late prosthetic mitral valve dysfunction: the entrapment of the subvalvular apparatus due to spontaneous rupture of the papillary muscle. Transesophageal echocardiography proved highly valuable in understanding the mechanism of dysfunction; however, surgical exploration ultimately established the definitive diagnosis and facilitated the correction of the issue.</p>","PeriodicalId":15201,"journal":{"name":"Journal of Cardiothoracic Surgery","volume":"20 1","pages":"283"},"PeriodicalIF":1.5000,"publicationDate":"2025-07-04","publicationTypes":"Journal Article","fieldsOfStudy":null,"isOpenAccess":false,"openAccessPdf":"https://www.ncbi.nlm.nih.gov/pmc/articles/PMC12232159/pdf/","citationCount":"0","resultStr":"{\"title\":\"Intermittent mitral prosthetic dysfunction. what interferes the valve closure?\",\"authors\":\"Pere Pericas, Ronald Morales Murillo, Marta Noris Mora, Francisco Gual-Capllonch, José Ignacio Sáez de Ibarra, Vicente Peral Disdier\",\"doi\":\"10.1186/s13019-025-03521-8\",\"DOIUrl\":null,\"url\":null,\"abstract\":\"<p><strong>Background: </strong>Prosthetic valve dysfunction due to entrapment of the subvalvular apparatus is a rare condition, particularly when occurring as a delayed postoperative complication. Spontaneous papillary muscle rupture in the absence of an ischemic event is also uncommon. The simultaneous presence of both conditions renders this case of intermittent symptomatic mitral regurgitation exceptional.</p><p><strong>Case presentation: </strong>We present the case of a 72-year-old woman with a history of rheumatic heart disease and a mechanical mitral valve prosthesis. Although the initial postoperative course was uneventful, she developed rapidly progressive heart failure symptoms two years after surgery, secondary to newly onset severe mitral regurgitation. Transesophageal echocardiography was crucial in elucidating the underlying mechanism, revealing a ventricular mass intermittently interfering with the proper closure of the mechanical prosthesis. The main differential diagnoses regarding the origin of the mass included: remnants of the subvalvular apparatus, vegetation, thrombotic material and pannus formation. Given the clinical deterioration, surgical intervention was considered necessary despite the lack of precise knowledge regarding the nature of mass. Surgical exploration confirmed the rupture of the subvalvular apparatus involving the anterolateral papillary muscle as the underlying cause of the prosthetic dysfunction. Excision of the ruptured chordae tendineae and residual papillary muscle was performed with a favorable outcome and no complications.</p><p><strong>Conclusions: </strong>This case illustrates a rare cause of late prosthetic mitral valve dysfunction: the entrapment of the subvalvular apparatus due to spontaneous rupture of the papillary muscle. Transesophageal echocardiography proved highly valuable in understanding the mechanism of dysfunction; however, surgical exploration ultimately established the definitive diagnosis and facilitated the correction of the issue.</p>\",\"PeriodicalId\":15201,\"journal\":{\"name\":\"Journal of Cardiothoracic Surgery\",\"volume\":\"20 1\",\"pages\":\"283\"},\"PeriodicalIF\":1.5000,\"publicationDate\":\"2025-07-04\",\"publicationTypes\":\"Journal Article\",\"fieldsOfStudy\":null,\"isOpenAccess\":false,\"openAccessPdf\":\"https://www.ncbi.nlm.nih.gov/pmc/articles/PMC12232159/pdf/\",\"citationCount\":\"0\",\"resultStr\":null,\"platform\":\"Semanticscholar\",\"paperid\":null,\"PeriodicalName\":\"Journal of Cardiothoracic Surgery\",\"FirstCategoryId\":\"3\",\"ListUrlMain\":\"https://doi.org/10.1186/s13019-025-03521-8\",\"RegionNum\":4,\"RegionCategory\":\"医学\",\"ArticlePicture\":[],\"TitleCN\":null,\"AbstractTextCN\":null,\"PMCID\":null,\"EPubDate\":\"\",\"PubModel\":\"\",\"JCR\":\"Q3\",\"JCRName\":\"CARDIAC & CARDIOVASCULAR SYSTEMS\",\"Score\":null,\"Total\":0}","platform":"Semanticscholar","paperid":null,"PeriodicalName":"Journal of Cardiothoracic Surgery","FirstCategoryId":"3","ListUrlMain":"https://doi.org/10.1186/s13019-025-03521-8","RegionNum":4,"RegionCategory":"医学","ArticlePicture":[],"TitleCN":null,"AbstractTextCN":null,"PMCID":null,"EPubDate":"","PubModel":"","JCR":"Q3","JCRName":"CARDIAC & CARDIOVASCULAR SYSTEMS","Score":null,"Total":0}
引用次数: 0

摘要

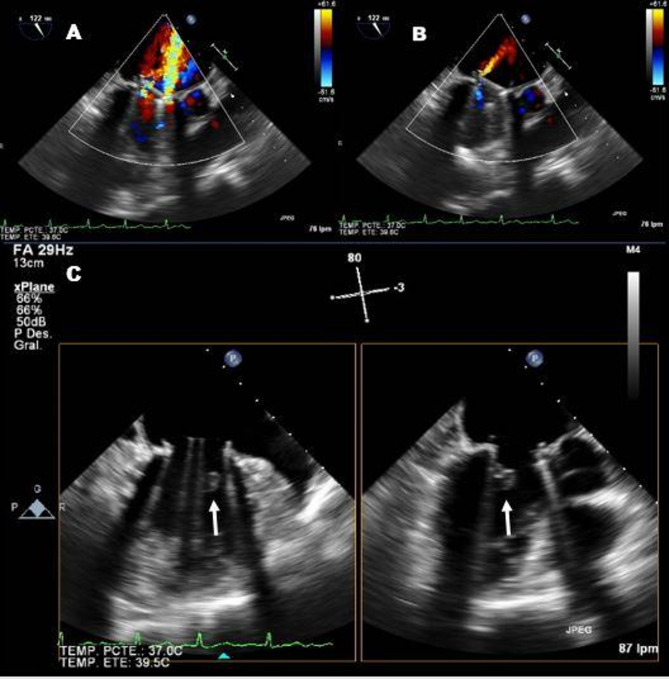
背景:人工瓣膜功能障碍是一种罕见的情况,特别是当发生延迟的术后并发症时。在没有缺血性事件的情况下自发性乳头肌破裂也是罕见的。这两种情况的同时存在使得本例间歇性症状二尖瓣反流异常。病例介绍:我们提出的情况下,72岁的妇女与历史的风湿性心脏病和机械二尖瓣假体。虽然最初的术后过程平安无事,但术后两年后,她出现了迅速进展的心力衰竭症状,继发于新发的严重二尖瓣反流。经食管超声心动图在阐明潜在机制方面至关重要,显示心室肿块间歇性地干扰机械假体的正常闭合。关于肿块来源的主要鉴别诊断包括:瓣下器官残余、植被、血栓物质和肿块形成。鉴于临床恶化,手术干预被认为是必要的,尽管缺乏关于肿块性质的精确知识。手术探查证实,涉及前外侧乳头肌的瓣下器官破裂是导致假体功能障碍的根本原因。切除断裂的腱索和残留的乳头肌,结果良好,无并发症。结论:这个病例说明了一个罕见的晚期假体二尖瓣功能障碍的原因:由于自发性乳头肌破裂导致瓣下装置的卡压。经食管超声心动图对了解功能障碍的机制具有重要价值;然而,手术探查最终确定了明确的诊断并促进了问题的纠正。
本文章由计算机程序翻译,如有差异,请以英文原文为准。

Intermittent mitral prosthetic dysfunction. what interferes the valve closure?

Intermittent mitral prosthetic dysfunction. what interferes the valve closure?

Intermittent mitral prosthetic dysfunction. what interferes the valve closure?

Background: Prosthetic valve dysfunction due to entrapment of the subvalvular apparatus is a rare condition, particularly when occurring as a delayed postoperative complication. Spontaneous papillary muscle rupture in the absence of an ischemic event is also uncommon. The simultaneous presence of both conditions renders this case of intermittent symptomatic mitral regurgitation exceptional.

Case presentation: We present the case of a 72-year-old woman with a history of rheumatic heart disease and a mechanical mitral valve prosthesis. Although the initial postoperative course was uneventful, she developed rapidly progressive heart failure symptoms two years after surgery, secondary to newly onset severe mitral regurgitation. Transesophageal echocardiography was crucial in elucidating the underlying mechanism, revealing a ventricular mass intermittently interfering with the proper closure of the mechanical prosthesis. The main differential diagnoses regarding the origin of the mass included: remnants of the subvalvular apparatus, vegetation, thrombotic material and pannus formation. Given the clinical deterioration, surgical intervention was considered necessary despite the lack of precise knowledge regarding the nature of mass. Surgical exploration confirmed the rupture of the subvalvular apparatus involving the anterolateral papillary muscle as the underlying cause of the prosthetic dysfunction. Excision of the ruptured chordae tendineae and residual papillary muscle was performed with a favorable outcome and no complications.

Conclusions: This case illustrates a rare cause of late prosthetic mitral valve dysfunction: the entrapment of the subvalvular apparatus due to spontaneous rupture of the papillary muscle. Transesophageal echocardiography proved highly valuable in understanding the mechanism of dysfunction; however, surgical exploration ultimately established the definitive diagnosis and facilitated the correction of the issue.

求助全文
通过发布文献求助,成功后即可免费获取论文全文。 去求助
来源期刊
Journal of Cardiothoracic Surgery
Journal of Cardiothoracic Surgery 医学-心血管系统
CiteScore
2.50
自引率
6.20%
发文量
286
审稿时长
4-8 weeks
期刊介绍: Journal of Cardiothoracic Surgery is an open access journal that encompasses all aspects of research in the field of Cardiology, and Cardiothoracic and Vascular Surgery. The journal publishes original scientific research documenting clinical and experimental advances in cardiac, vascular and thoracic surgery, and related fields. Topics of interest include surgical techniques, survival rates, surgical complications and their outcomes; along with basic sciences, pediatric conditions, transplantations and clinical trials. Journal of Cardiothoracic Surgery is of interest to cardiothoracic and vascular surgeons, cardiothoracic anaesthesiologists, cardiologists, chest physicians, and allied health professionals.
×
引用
GB/T 7714-2015
复制
MLA
复制
APA
复制
导出至
BibTeX EndNote RefMan NoteFirst NoteExpress
×
提示
您的信息不完整,为了账户安全,请先补充。
现在去补充
×
提示
您因"违规操作"
具体请查看互助需知
我知道了
×
提示
确定
请完成安全验证×
copy
已复制链接
快去分享给好友吧!
我知道了
右上角分享
点击右上角分享
0
联系我们:info@booksci.cn Book学术提供免费学术资源搜索服务,方便国内外学者检索中英文文献。致力于提供最便捷和优质的服务体验。 Copyright © 2023 布克学术 All rights reserved.
京ICP备2023020795号-1
ghs 京公网安备 11010802042870号
Book学术文献互助
Book学术文献互助群
群 号:604180095
Book学术官方微信