尼帕病毒感染:为具有流行潜力的新出现副粘病毒科疾病的病理诊断做好准备。

IF 1.7 4区 医学 Q4 INFECTIOUS DISEASES
Cinthya Dos Santos Cirqueira Borges, Ana Maria Gonçalves, Fernanda Alencar Rodrigues, Thais de Souza Lima, Ana Catharina Seixas Nastri, Venâncio Avancini Ferreira Alves, Mirian Nacagami Sotto, Thais Mauad, Soon Hao Tan, Paulo Hilário Nascimento Saldiva, Luiz Fernando Ferraz Silva, Kum Thong Wong, Marisa Dolhnikoff, Amaro Nunes Duarte-Neto
{"title":"尼帕病毒感染:为具有流行潜力的新出现副粘病毒科疾病的病理诊断做好准备。","authors":"Cinthya Dos Santos Cirqueira Borges, Ana Maria Gonçalves, Fernanda Alencar Rodrigues, Thais de Souza Lima, Ana Catharina Seixas Nastri, Venâncio Avancini Ferreira Alves, Mirian Nacagami Sotto, Thais Mauad, Soon Hao Tan, Paulo Hilário Nascimento Saldiva, Luiz Fernando Ferraz Silva, Kum Thong Wong, Marisa Dolhnikoff, Amaro Nunes Duarte-Neto","doi":"10.1590/S1678-9946202567040","DOIUrl":null,"url":null,"abstract":"","PeriodicalId":54466,"journal":{"name":"Revista Do Instituto De Medicina Tropical De Sao Paulo","volume":"67 ","pages":"e40"},"PeriodicalIF":1.7000,"publicationDate":"2025-06-27","publicationTypes":"Journal Article","fieldsOfStudy":null,"isOpenAccess":false,"openAccessPdf":"https://www.ncbi.nlm.nih.gov/pmc/articles/PMC12204208/pdf/","citationCount":"0","resultStr":"{\"title\":\"Nipah virus infection: preparedness for the pathological diagnosis of an emerging Paramyxoviridae disease with epidemic potential.\",\"authors\":\"Cinthya Dos Santos Cirqueira Borges, Ana Maria Gonçalves, Fernanda Alencar Rodrigues, Thais de Souza Lima, Ana Catharina Seixas Nastri, Venâncio Avancini Ferreira Alves, Mirian Nacagami Sotto, Thais Mauad, Soon Hao Tan, Paulo Hilário Nascimento Saldiva, Luiz Fernando Ferraz Silva, Kum Thong Wong, Marisa Dolhnikoff, Amaro Nunes Duarte-Neto\",\"doi\":\"10.1590/S1678-9946202567040\",\"DOIUrl\":null,\"url\":null,\"abstract\":\"\",\"PeriodicalId\":54466,\"journal\":{\"name\":\"Revista Do Instituto De Medicina Tropical De Sao Paulo\",\"volume\":\"67 \",\"pages\":\"e40\"},\"PeriodicalIF\":1.7000,\"publicationDate\":\"2025-06-27\",\"publicationTypes\":\"Journal Article\",\"fieldsOfStudy\":null,\"isOpenAccess\":false,\"openAccessPdf\":\"https://www.ncbi.nlm.nih.gov/pmc/articles/PMC12204208/pdf/\",\"citationCount\":\"0\",\"resultStr\":null,\"platform\":\"Semanticscholar\",\"paperid\":null,\"PeriodicalName\":\"Revista Do Instituto De Medicina Tropical De Sao Paulo\",\"FirstCategoryId\":\"3\",\"ListUrlMain\":\"https://doi.org/10.1590/S1678-9946202567040\",\"RegionNum\":4,\"RegionCategory\":\"医学\",\"ArticlePicture\":[],\"TitleCN\":null,\"AbstractTextCN\":null,\"PMCID\":null,\"EPubDate\":\"2025/1/1 0:00:00\",\"PubModel\":\"eCollection\",\"JCR\":\"Q4\",\"JCRName\":\"INFECTIOUS DISEASES\",\"Score\":null,\"Total\":0}","platform":"Semanticscholar","paperid":null,"PeriodicalName":"Revista Do Instituto De Medicina Tropical De Sao Paulo","FirstCategoryId":"3","ListUrlMain":"https://doi.org/10.1590/S1678-9946202567040","RegionNum":4,"RegionCategory":"医学","ArticlePicture":[],"TitleCN":null,"AbstractTextCN":null,"PMCID":null,"EPubDate":"2025/1/1 0:00:00","PubModel":"eCollection","JCR":"Q4","JCRName":"INFECTIOUS DISEASES","Score":null,"Total":0}
引用次数: 0

摘要

本文章由计算机程序翻译,如有差异,请以英文原文为准。

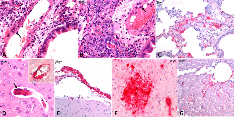
Nipah virus infection: preparedness for the pathological diagnosis of an emerging Paramyxoviridae disease with epidemic potential.

Nipah virus infection: preparedness for the pathological diagnosis of an emerging Paramyxoviridae disease with epidemic potential.

Nipah virus infection: preparedness for the pathological diagnosis of an emerging Paramyxoviridae disease with epidemic potential.
求助全文
通过发布文献求助,成功后即可免费获取论文全文。 去求助
来源期刊
CiteScore
3.60
自引率
5.30%
发文量
100
审稿时长
6-12 weeks
期刊介绍: The Revista do Instituto de Medicina Tropical de São Paulo (Journal of the São Paulo Institute of Tropical Medicine) is a journal devoted to research on different aspects of tropical infectious diseases. The journal welcomes original work on all infectious diseases, provided that data and results are directly linked to human health. The journal publishes, besides original articles, review articles, case reports, brief communications, and letters to the editor. The journal publishes manuscripts only in English. From 2016 on, the Revista do Instituto de Medicina Tropical de São Paulo (Journal of the São Paulo Institute of Tropical Medicine) is published online only, maintaining the free access. For more information visit: - http://www.scielo.br/rimtsp - http://www.imt.usp.br/revista-imt/
×
引用
GB/T 7714-2015
复制
MLA
复制
APA
复制
导出至
BibTeX EndNote RefMan NoteFirst NoteExpress
×
提示
您的信息不完整,为了账户安全,请先补充。
现在去补充
×
提示
您因"违规操作"
具体请查看互助需知
我知道了
×
提示
确定
请完成安全验证×
copy
已复制链接
快去分享给好友吧!
我知道了
右上角分享
点击右上角分享
0
联系我们:info@booksci.cn Book学术提供免费学术资源搜索服务,方便国内外学者检索中英文文献。致力于提供最便捷和优质的服务体验。 Copyright © 2023 布克学术 All rights reserved.
京ICP备2023020795号-1
ghs 京公网安备 11010802042870号
Book学术文献互助
Book学术文献互助群
群 号:604180095
Book学术官方微信