胃十二指肠肠套叠合并胃腺癌1例报告及文献复习。

IF 0.7 Q4 SURGERY
Surgical Case Reports Pub Date : 2025-01-01 Epub Date: 2025-07-01 DOI:10.70352/scrj.cr.25-0184
Ryota Omura, Satoshi Ida, Hiroki Tsubakihara, Keisuke Kosumi, Kazuto Harada, Kojiro Eto, Yuji Miyamoto, Masaaki Iwatsuki
{"title":"胃十二指肠肠套叠合并胃腺癌1例报告及文献复习。","authors":"Ryota Omura, Satoshi Ida, Hiroki Tsubakihara, Keisuke Kosumi, Kazuto Harada, Kojiro Eto, Yuji Miyamoto, Masaaki Iwatsuki","doi":"10.70352/scrj.cr.25-0184","DOIUrl":null,"url":null,"abstract":"<p><strong>Introduction: </strong>Intussusception in adults is a rare condition, and gastric cancer prolapsing into the duodenum is an even rarer phenomenon. We present a case of early gastric cancer originating in the gastric body with duodenal intussusception and discuss the clinical considerations based on the patient's overall condition and existing literature.</p><p><strong>Case presentation: </strong>A 69-year-old man with a 30-mm tumor arising from the posterior wall of the gastric body was scheduled for elective surgery. During hospitalization for diabetes mellitus management, he developed sudden epigastric pain and nausea. Upper gastrointestinal endoscopy revealed tumor prolapse into the duodenum, leading to a diagnosis of ball valve syndrome. After successful endoscopic reduction, open local gastrectomy was performed. Pathological examination confirmed a well-differentiated tubular adenocarcinoma, classified as pT1b (SM2) N0M0, pStage IA.</p><p><strong>Conclusions: </strong>Gastric cancer with duodenal intussusception is often early-stage and characterized by well-differentiated tubular adenocarcinoma. Depending on the patient's condition, endoscopic resection or limited surgical resection may be viable treatment options for this rare condition.</p>","PeriodicalId":22096,"journal":{"name":"Surgical Case Reports","volume":"11 1","pages":""},"PeriodicalIF":0.7000,"publicationDate":"2025-01-01","publicationTypes":"Journal Article","fieldsOfStudy":null,"isOpenAccess":false,"openAccessPdf":"https://www.ncbi.nlm.nih.gov/pmc/articles/PMC12226140/pdf/","citationCount":"0","resultStr":"{\"title\":\"Gastroduodenal Intussusception with Gastric Adenocarcinoma: A Case Report and Review of the Literature.\",\"authors\":\"Ryota Omura, Satoshi Ida, Hiroki Tsubakihara, Keisuke Kosumi, Kazuto Harada, Kojiro Eto, Yuji Miyamoto, Masaaki Iwatsuki\",\"doi\":\"10.70352/scrj.cr.25-0184\",\"DOIUrl\":null,\"url\":null,\"abstract\":\"<p><strong>Introduction: </strong>Intussusception in adults is a rare condition, and gastric cancer prolapsing into the duodenum is an even rarer phenomenon. We present a case of early gastric cancer originating in the gastric body with duodenal intussusception and discuss the clinical considerations based on the patient's overall condition and existing literature.</p><p><strong>Case presentation: </strong>A 69-year-old man with a 30-mm tumor arising from the posterior wall of the gastric body was scheduled for elective surgery. During hospitalization for diabetes mellitus management, he developed sudden epigastric pain and nausea. Upper gastrointestinal endoscopy revealed tumor prolapse into the duodenum, leading to a diagnosis of ball valve syndrome. After successful endoscopic reduction, open local gastrectomy was performed. Pathological examination confirmed a well-differentiated tubular adenocarcinoma, classified as pT1b (SM2) N0M0, pStage IA.</p><p><strong>Conclusions: </strong>Gastric cancer with duodenal intussusception is often early-stage and characterized by well-differentiated tubular adenocarcinoma. Depending on the patient's condition, endoscopic resection or limited surgical resection may be viable treatment options for this rare condition.</p>\",\"PeriodicalId\":22096,\"journal\":{\"name\":\"Surgical Case Reports\",\"volume\":\"11 1\",\"pages\":\"\"},\"PeriodicalIF\":0.7000,\"publicationDate\":\"2025-01-01\",\"publicationTypes\":\"Journal Article\",\"fieldsOfStudy\":null,\"isOpenAccess\":false,\"openAccessPdf\":\"https://www.ncbi.nlm.nih.gov/pmc/articles/PMC12226140/pdf/\",\"citationCount\":\"0\",\"resultStr\":null,\"platform\":\"Semanticscholar\",\"paperid\":null,\"PeriodicalName\":\"Surgical Case Reports\",\"FirstCategoryId\":\"1085\",\"ListUrlMain\":\"https://doi.org/10.70352/scrj.cr.25-0184\",\"RegionNum\":0,\"RegionCategory\":null,\"ArticlePicture\":[],\"TitleCN\":null,\"AbstractTextCN\":null,\"PMCID\":null,\"EPubDate\":\"2025/7/1 0:00:00\",\"PubModel\":\"Epub\",\"JCR\":\"Q4\",\"JCRName\":\"SURGERY\",\"Score\":null,\"Total\":0}","platform":"Semanticscholar","paperid":null,"PeriodicalName":"Surgical Case Reports","FirstCategoryId":"1085","ListUrlMain":"https://doi.org/10.70352/scrj.cr.25-0184","RegionNum":0,"RegionCategory":null,"ArticlePicture":[],"TitleCN":null,"AbstractTextCN":null,"PMCID":null,"EPubDate":"2025/7/1 0:00:00","PubModel":"Epub","JCR":"Q4","JCRName":"SURGERY","Score":null,"Total":0}
引用次数: 0

摘要

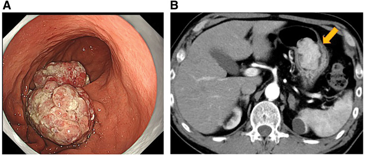
成人肠套叠是一种罕见的疾病,胃癌脱垂到十二指肠更是一种罕见的现象。我们报告一例起源于胃体的早期胃癌合并十二指肠肠套叠,并结合患者的整体情况和现有文献讨论临床注意事项。病例介绍:一名69岁男性,胃体后壁长有一个30毫米的肿瘤,计划择期手术。在住院治疗糖尿病期间,他突然出现胃脘痛和恶心。上消化道内窥镜显示肿瘤脱垂至十二指肠,诊断为球阀综合征。内镜复位成功后,行局部胃切除术。病理证实为高分化管状腺癌,分类为pT1b (SM2) N0M0, pStage IA。结论:胃癌合并十二指肠肠套叠多为早期病变,以高分化管状腺癌为特征。根据患者的情况,内镜切除或有限的手术切除可能是这种罕见疾病的可行治疗选择。
本文章由计算机程序翻译,如有差异,请以英文原文为准。

Gastroduodenal Intussusception with Gastric Adenocarcinoma: A Case Report and Review of the Literature.

Gastroduodenal Intussusception with Gastric Adenocarcinoma: A Case Report and Review of the Literature.

Gastroduodenal Intussusception with Gastric Adenocarcinoma: A Case Report and Review of the Literature.

Gastroduodenal Intussusception with Gastric Adenocarcinoma: A Case Report and Review of the Literature.

Introduction: Intussusception in adults is a rare condition, and gastric cancer prolapsing into the duodenum is an even rarer phenomenon. We present a case of early gastric cancer originating in the gastric body with duodenal intussusception and discuss the clinical considerations based on the patient's overall condition and existing literature.

Case presentation: A 69-year-old man with a 30-mm tumor arising from the posterior wall of the gastric body was scheduled for elective surgery. During hospitalization for diabetes mellitus management, he developed sudden epigastric pain and nausea. Upper gastrointestinal endoscopy revealed tumor prolapse into the duodenum, leading to a diagnosis of ball valve syndrome. After successful endoscopic reduction, open local gastrectomy was performed. Pathological examination confirmed a well-differentiated tubular adenocarcinoma, classified as pT1b (SM2) N0M0, pStage IA.

Conclusions: Gastric cancer with duodenal intussusception is often early-stage and characterized by well-differentiated tubular adenocarcinoma. Depending on the patient's condition, endoscopic resection or limited surgical resection may be viable treatment options for this rare condition.

求助全文
通过发布文献求助,成功后即可免费获取论文全文。 去求助
来源期刊
自引率
0.00%
发文量
218
审稿时长
13 weeks
×
引用
GB/T 7714-2015
复制
MLA
复制
APA
复制
导出至
BibTeX EndNote RefMan NoteFirst NoteExpress
×
提示
您的信息不完整,为了账户安全,请先补充。
现在去补充
×
提示
您因"违规操作"
具体请查看互助需知
我知道了
×
提示
确定
请完成安全验证×
copy
已复制链接
快去分享给好友吧!
我知道了
右上角分享
点击右上角分享
0
联系我们:info@booksci.cn Book学术提供免费学术资源搜索服务,方便国内外学者检索中英文文献。致力于提供最便捷和优质的服务体验。 Copyright © 2023 布克学术 All rights reserved.
京ICP备2023020795号-1
ghs 京公网安备 11010802042870号
Book学术文献互助
Book学术文献互助群
群 号:604180095
Book学术官方微信