银屑病短趾炎患者关节内皮质类固醇注射后皮肤非结核性分枝杆菌感染。

IF 2.3 4区 医学 Q2 PARASITOLOGY
Vanessa Ribeiro Ferreira, Mariana Santiago Bernardes, Rebeca de Oliveira Alves Melo Martins, Isabella Cristiny Mendes Alexandre, Carolina Souza de Oliveira, Thalyssa Figueiredo Magalhães, Daniela Vale Dias, Laísa Ezaguy de Hollanda, Guilherme Augusto Pivoto João, Marcelo Cordeiro-Santos, Luciana Mendes Dos Santos
{"title":"银屑病短趾炎患者关节内皮质类固醇注射后皮肤非结核性分枝杆菌感染。","authors":"Vanessa Ribeiro Ferreira, Mariana Santiago Bernardes, Rebeca de Oliveira Alves Melo Martins, Isabella Cristiny Mendes Alexandre, Carolina Souza de Oliveira, Thalyssa Figueiredo Magalhães, Daniela Vale Dias, Laísa Ezaguy de Hollanda, Guilherme Augusto Pivoto João, Marcelo Cordeiro-Santos, Luciana Mendes Dos Santos","doi":"10.1590/0037-8682-0055-2025","DOIUrl":null,"url":null,"abstract":"<p><p>The incidence of skin nontuberculous mycobacterial (NTM) infections has been rising in recent years, paralleling the increase in invasive procedures and immunosuppression. We present a case involving a patient undergoing treatment with a tumor necrosis factor blocker (Etanercept®) for psoriatic dactylitis, who showed clinical deterioration 30 days following intra-articular corticosteroid therapy. Liquid culture media identified M. abscessus, prompting the initiation of combination antibiotic therapy. To the best of our knowledge, this is the first reported case of an NTM superinfection in dactylitis, underscoring the importance of screening for these infections in immunosuppressed patients receiving localized injectable treatments.</p>","PeriodicalId":21199,"journal":{"name":"Revista da Sociedade Brasileira de Medicina Tropical","volume":"58 ","pages":"e008052025"},"PeriodicalIF":2.3000,"publicationDate":"2025-06-27","publicationTypes":"Journal Article","fieldsOfStudy":null,"isOpenAccess":false,"openAccessPdf":"https://www.ncbi.nlm.nih.gov/pmc/articles/PMC12204220/pdf/","citationCount":"0","resultStr":"{\"title\":\"Cutaneous nontuberculous mycobacterial infection after intra-articular corticosteroid injection in a patient with psoriatic dactylitis.\",\"authors\":\"Vanessa Ribeiro Ferreira, Mariana Santiago Bernardes, Rebeca de Oliveira Alves Melo Martins, Isabella Cristiny Mendes Alexandre, Carolina Souza de Oliveira, Thalyssa Figueiredo Magalhães, Daniela Vale Dias, Laísa Ezaguy de Hollanda, Guilherme Augusto Pivoto João, Marcelo Cordeiro-Santos, Luciana Mendes Dos Santos\",\"doi\":\"10.1590/0037-8682-0055-2025\",\"DOIUrl\":null,\"url\":null,\"abstract\":\"<p><p>The incidence of skin nontuberculous mycobacterial (NTM) infections has been rising in recent years, paralleling the increase in invasive procedures and immunosuppression. We present a case involving a patient undergoing treatment with a tumor necrosis factor blocker (Etanercept®) for psoriatic dactylitis, who showed clinical deterioration 30 days following intra-articular corticosteroid therapy. Liquid culture media identified M. abscessus, prompting the initiation of combination antibiotic therapy. To the best of our knowledge, this is the first reported case of an NTM superinfection in dactylitis, underscoring the importance of screening for these infections in immunosuppressed patients receiving localized injectable treatments.</p>\",\"PeriodicalId\":21199,\"journal\":{\"name\":\"Revista da Sociedade Brasileira de Medicina Tropical\",\"volume\":\"58 \",\"pages\":\"e008052025\"},\"PeriodicalIF\":2.3000,\"publicationDate\":\"2025-06-27\",\"publicationTypes\":\"Journal Article\",\"fieldsOfStudy\":null,\"isOpenAccess\":false,\"openAccessPdf\":\"https://www.ncbi.nlm.nih.gov/pmc/articles/PMC12204220/pdf/\",\"citationCount\":\"0\",\"resultStr\":null,\"platform\":\"Semanticscholar\",\"paperid\":null,\"PeriodicalName\":\"Revista da Sociedade Brasileira de Medicina Tropical\",\"FirstCategoryId\":\"3\",\"ListUrlMain\":\"https://doi.org/10.1590/0037-8682-0055-2025\",\"RegionNum\":4,\"RegionCategory\":\"医学\",\"ArticlePicture\":[],\"TitleCN\":null,\"AbstractTextCN\":null,\"PMCID\":null,\"EPubDate\":\"2025/1/1 0:00:00\",\"PubModel\":\"eCollection\",\"JCR\":\"Q2\",\"JCRName\":\"PARASITOLOGY\",\"Score\":null,\"Total\":0}","platform":"Semanticscholar","paperid":null,"PeriodicalName":"Revista da Sociedade Brasileira de Medicina Tropical","FirstCategoryId":"3","ListUrlMain":"https://doi.org/10.1590/0037-8682-0055-2025","RegionNum":4,"RegionCategory":"医学","ArticlePicture":[],"TitleCN":null,"AbstractTextCN":null,"PMCID":null,"EPubDate":"2025/1/1 0:00:00","PubModel":"eCollection","JCR":"Q2","JCRName":"PARASITOLOGY","Score":null,"Total":0}
引用次数: 0

摘要

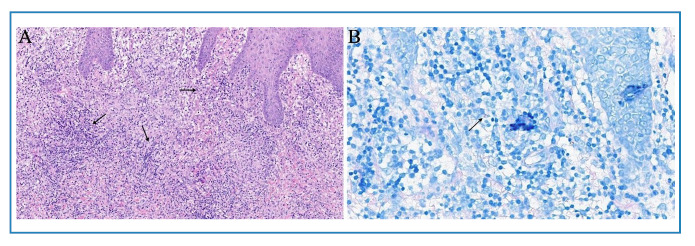
近年来,随着侵入性手术和免疫抑制的增加,皮肤非结核分枝杆菌(NTM)感染的发病率一直在上升。我们报告了一个病例,患者接受肿瘤坏死因子阻滞剂(依那西普®)治疗银屑病指状炎,在关节内皮质类固醇治疗后30天出现临床恶化。液体培养基鉴定出脓肿分枝杆菌,促使开始联合抗生素治疗。据我们所知,这是首例在指突炎中报告的NTM重复感染病例,强调了在接受局部注射治疗的免疫抑制患者中筛查这些感染的重要性。
本文章由计算机程序翻译,如有差异,请以英文原文为准。

Cutaneous nontuberculous mycobacterial infection after intra-articular corticosteroid injection in a patient with psoriatic dactylitis.

Cutaneous nontuberculous mycobacterial infection after intra-articular corticosteroid injection in a patient with psoriatic dactylitis.

Cutaneous nontuberculous mycobacterial infection after intra-articular corticosteroid injection in a patient with psoriatic dactylitis.

Cutaneous nontuberculous mycobacterial infection after intra-articular corticosteroid injection in a patient with psoriatic dactylitis.

The incidence of skin nontuberculous mycobacterial (NTM) infections has been rising in recent years, paralleling the increase in invasive procedures and immunosuppression. We present a case involving a patient undergoing treatment with a tumor necrosis factor blocker (Etanercept®) for psoriatic dactylitis, who showed clinical deterioration 30 days following intra-articular corticosteroid therapy. Liquid culture media identified M. abscessus, prompting the initiation of combination antibiotic therapy. To the best of our knowledge, this is the first reported case of an NTM superinfection in dactylitis, underscoring the importance of screening for these infections in immunosuppressed patients receiving localized injectable treatments.

求助全文
通过发布文献求助,成功后即可免费获取论文全文。 去求助
来源期刊
CiteScore
3.40
自引率
10.00%
发文量
195
审稿时长
3-8 weeks
期刊介绍: The Journal of the Brazilian Society of Tropical Medicine (JBSTM) isan official journal of the Brazilian Society of Tropical Medicine) with open access. It is amultidisciplinary journal that publishes original researches related totropical diseases, preventive medicine, public health, infectious diseasesand related matters. Preference for publication will be given to articlesreporting original observations or researches. The journal has a peer-reviewsystem for articles acceptance and its periodicity is bimonthly. The Journalof the Brazilian Society of Tropical Medicine is published in English.The journal invites to publication Major Articles, Editorials, Reviewand Mini-Review Articles, Short Communications, Case Reports, TechnicalReports, Images in Infectious Diseases, Letters, Supplements and Obituaries.
×
引用
GB/T 7714-2015
复制
MLA
复制
APA
复制
导出至
BibTeX EndNote RefMan NoteFirst NoteExpress
×
提示
您的信息不完整,为了账户安全,请先补充。
现在去补充
×
提示
您因"违规操作"
具体请查看互助需知
我知道了
×
提示
确定
请完成安全验证×
copy
已复制链接
快去分享给好友吧!
我知道了
右上角分享
点击右上角分享
0
联系我们:info@booksci.cn Book学术提供免费学术资源搜索服务,方便国内外学者检索中英文文献。致力于提供最便捷和优质的服务体验。 Copyright © 2023 布克学术 All rights reserved.
京ICP备2023020795号-1
ghs 京公网安备 11010802042870号
Book学术文献互助
Book学术文献互助群
群 号:604180095
Book学术官方微信