panaprazole与幽门螺杆菌IgY抗体对AGS细胞系和C57BL/6小鼠的预防、治疗及协同作用评价

IF 1.7 Q4 MICROBIOLOGY
Sara Kamal Shahsavar, Zahra Esmaeili, Hamid Ariannejad, Mohammadreza Nassiri, Ali Beheshti Namdar, Amir Hossein Jafarian, Ramin Sadeghi, Vahid Reza Dabbagh, Kiarash Ghazvini
{"title":"panaprazole与幽门螺杆菌IgY抗体对AGS细胞系和C57BL/6小鼠的预防、治疗及协同作用评价","authors":"Sara Kamal Shahsavar, Zahra Esmaeili, Hamid Ariannejad, Mohammadreza Nassiri, Ali Beheshti Namdar, Amir Hossein Jafarian, Ramin Sadeghi, Vahid Reza Dabbagh, Kiarash Ghazvini","doi":"10.18502/ijm.v17i3.18823","DOIUrl":null,"url":null,"abstract":"<p><strong>Background and objectives: </strong>The growing resistance of <i>Helicobacter pylori</i> to antibiotics poses significant challenges in managing gastric ulcers. The application of IgY antibodies against <i>H. pylori</i> is a promising strategy. The current study evaluated the preventive and synergistic effects of IgY antibodies in conjunction with pantoprazole for treating <i>H. pylori</i> infection.</p><p><strong>Materials and methods: </strong>This investigation specifically focused on the inhibitory effects of IgY in the AGS cell line infected with <i>H. pylori</i>. In addition, the synergistic activity of IgY with pantoprazole and its preventive and therapeutic effects were assessed in male C57BL/6 mice.</p><p><strong>Results: </strong>The findings indicated that IgY antibodies possess a substantial inhibitory effect on the adhesion of <i>H. pylori</i> to the AGS cell line. Furthermore, IgY antibodies resulted in a significant reduction (P<0.05) in the population of <i>H. pylori</i> and the severity of gastritis in infected C57BL/6 mice in both treatment and prevention groups. Notably, the optimal outcome was observed when IgY was administered alongside pantoprazole.</p><p><strong>Conclusion: </strong>The use of IgY has the potential to repair damaged cells and prevent infection by decreasing bacterial adherence to gastric epithelial cells. Given its synergistic effect with pantoprazole, IgY can be recommended as a suitable complementary treatment in conjunction with pantoprazole.</p>","PeriodicalId":14633,"journal":{"name":"Iranian Journal of Microbiology","volume":"17 3","pages":"404-410"},"PeriodicalIF":1.7000,"publicationDate":"2025-06-01","publicationTypes":"Journal Article","fieldsOfStudy":null,"isOpenAccess":false,"openAccessPdf":"https://www.ncbi.nlm.nih.gov/pmc/articles/PMC12218885/pdf/","citationCount":"0","resultStr":"{\"title\":\"Evaluation of the prevention, treatment and synergistic activity between <i>Helicobacter pylori</i> IgY antibodies and pantaprazole on AGS cell line and C57BL/6 Mice.\",\"authors\":\"Sara Kamal Shahsavar, Zahra Esmaeili, Hamid Ariannejad, Mohammadreza Nassiri, Ali Beheshti Namdar, Amir Hossein Jafarian, Ramin Sadeghi, Vahid Reza Dabbagh, Kiarash Ghazvini\",\"doi\":\"10.18502/ijm.v17i3.18823\",\"DOIUrl\":null,\"url\":null,\"abstract\":\"<p><strong>Background and objectives: </strong>The growing resistance of <i>Helicobacter pylori</i> to antibiotics poses significant challenges in managing gastric ulcers. The application of IgY antibodies against <i>H. pylori</i> is a promising strategy. The current study evaluated the preventive and synergistic effects of IgY antibodies in conjunction with pantoprazole for treating <i>H. pylori</i> infection.</p><p><strong>Materials and methods: </strong>This investigation specifically focused on the inhibitory effects of IgY in the AGS cell line infected with <i>H. pylori</i>. In addition, the synergistic activity of IgY with pantoprazole and its preventive and therapeutic effects were assessed in male C57BL/6 mice.</p><p><strong>Results: </strong>The findings indicated that IgY antibodies possess a substantial inhibitory effect on the adhesion of <i>H. pylori</i> to the AGS cell line. Furthermore, IgY antibodies resulted in a significant reduction (P<0.05) in the population of <i>H. pylori</i> and the severity of gastritis in infected C57BL/6 mice in both treatment and prevention groups. Notably, the optimal outcome was observed when IgY was administered alongside pantoprazole.</p><p><strong>Conclusion: </strong>The use of IgY has the potential to repair damaged cells and prevent infection by decreasing bacterial adherence to gastric epithelial cells. Given its synergistic effect with pantoprazole, IgY can be recommended as a suitable complementary treatment in conjunction with pantoprazole.</p>\",\"PeriodicalId\":14633,\"journal\":{\"name\":\"Iranian Journal of Microbiology\",\"volume\":\"17 3\",\"pages\":\"404-410\"},\"PeriodicalIF\":1.7000,\"publicationDate\":\"2025-06-01\",\"publicationTypes\":\"Journal Article\",\"fieldsOfStudy\":null,\"isOpenAccess\":false,\"openAccessPdf\":\"https://www.ncbi.nlm.nih.gov/pmc/articles/PMC12218885/pdf/\",\"citationCount\":\"0\",\"resultStr\":null,\"platform\":\"Semanticscholar\",\"paperid\":null,\"PeriodicalName\":\"Iranian Journal of Microbiology\",\"FirstCategoryId\":\"1085\",\"ListUrlMain\":\"https://doi.org/10.18502/ijm.v17i3.18823\",\"RegionNum\":0,\"RegionCategory\":null,\"ArticlePicture\":[],\"TitleCN\":null,\"AbstractTextCN\":null,\"PMCID\":null,\"EPubDate\":\"\",\"PubModel\":\"\",\"JCR\":\"Q4\",\"JCRName\":\"MICROBIOLOGY\",\"Score\":null,\"Total\":0}","platform":"Semanticscholar","paperid":null,"PeriodicalName":"Iranian Journal of Microbiology","FirstCategoryId":"1085","ListUrlMain":"https://doi.org/10.18502/ijm.v17i3.18823","RegionNum":0,"RegionCategory":null,"ArticlePicture":[],"TitleCN":null,"AbstractTextCN":null,"PMCID":null,"EPubDate":"","PubModel":"","JCR":"Q4","JCRName":"MICROBIOLOGY","Score":null,"Total":0}
引用次数: 0

摘要

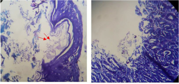
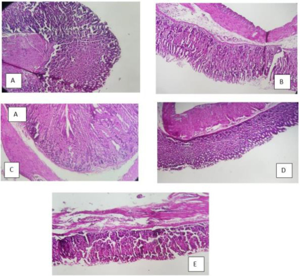
背景和目的:幽门螺杆菌对抗生素的耐药性日益增强,对胃溃疡的治疗提出了重大挑战。应用IgY抗体抗幽门螺杆菌是一种很有前途的策略。目前的研究评估了IgY抗体联合泮托拉唑治疗幽门螺杆菌感染的预防和协同作用。材料与方法:本实验专门研究IgY对幽门螺杆菌感染的AGS细胞株的抑制作用。此外,在雄性C57BL/6小鼠中,评估IgY与泮托拉唑的协同作用及其预防和治疗作用。结果:IgY抗体对幽门螺杆菌粘附AGS细胞株具有明显的抑制作用。此外,IgY抗体导致治疗组和预防组感染C57BL/6小鼠幽门螺杆菌的ph值和胃炎的严重程度显著降低。值得注意的是,当IgY与泮托拉唑一起使用时,观察到最佳结果。结论:IgY通过减少细菌对胃上皮细胞的粘附,具有修复受损细胞和预防感染的作用。鉴于其与泮托拉唑的协同作用,IgY可推荐作为与泮托拉唑联合的合适补充治疗。
本文章由计算机程序翻译,如有差异,请以英文原文为准。

Evaluation of the prevention, treatment and synergistic activity between <i>Helicobacter pylori</i> IgY antibodies and pantaprazole on AGS cell line and C57BL/6 Mice.

Evaluation of the prevention, treatment and synergistic activity between <i>Helicobacter pylori</i> IgY antibodies and pantaprazole on AGS cell line and C57BL/6 Mice.

Evaluation of the prevention, treatment and synergistic activity between <i>Helicobacter pylori</i> IgY antibodies and pantaprazole on AGS cell line and C57BL/6 Mice.

Evaluation of the prevention, treatment and synergistic activity between Helicobacter pylori IgY antibodies and pantaprazole on AGS cell line and C57BL/6 Mice.

Background and objectives: The growing resistance of Helicobacter pylori to antibiotics poses significant challenges in managing gastric ulcers. The application of IgY antibodies against H. pylori is a promising strategy. The current study evaluated the preventive and synergistic effects of IgY antibodies in conjunction with pantoprazole for treating H. pylori infection.

Materials and methods: This investigation specifically focused on the inhibitory effects of IgY in the AGS cell line infected with H. pylori. In addition, the synergistic activity of IgY with pantoprazole and its preventive and therapeutic effects were assessed in male C57BL/6 mice.

Results: The findings indicated that IgY antibodies possess a substantial inhibitory effect on the adhesion of H. pylori to the AGS cell line. Furthermore, IgY antibodies resulted in a significant reduction (P<0.05) in the population of H. pylori and the severity of gastritis in infected C57BL/6 mice in both treatment and prevention groups. Notably, the optimal outcome was observed when IgY was administered alongside pantoprazole.

Conclusion: The use of IgY has the potential to repair damaged cells and prevent infection by decreasing bacterial adherence to gastric epithelial cells. Given its synergistic effect with pantoprazole, IgY can be recommended as a suitable complementary treatment in conjunction with pantoprazole.

求助全文
通过发布文献求助,成功后即可免费获取论文全文。 去求助
来源期刊
CiteScore
2.40
自引率
7.10%
发文量
96
审稿时长
12 weeks
期刊介绍: The Iranian Journal of Microbiology (IJM) is an international, multi-disciplinary, peer-reviewed journal that provides rapid publication of the most advanced scientific research in the areas of basic and applied research on bacteria and other micro-organisms, including bacteria, viruses, yeasts, fungi, microalgae, and protozoa concerning the development of tools for diagnosis and disease control, epidemiology, antimicrobial agents, clinical microbiology, immunology, Genetics, Genomics and Molecular Biology. Contributions may be in the form of original research papers, review articles, short communications, case reports, technical reports, and letters to the Editor. Research findings must be novel and the original data must be available for review by the Editors, if necessary. Studies that are preliminary, of weak originality or merely descriptive as well as negative results are not appropriate for the journal. Papers considered for publication must be unpublished work (except in an abstract form) that is not under consideration for publication anywhere else, and all co-authors should have agreed to the submission. Manuscripts should be written in English.
×
引用
GB/T 7714-2015
复制
MLA
复制
APA
复制
导出至
BibTeX EndNote RefMan NoteFirst NoteExpress
×
提示
您的信息不完整,为了账户安全,请先补充。
现在去补充
×
提示
您因"违规操作"
具体请查看互助需知
我知道了
×
提示
确定
请完成安全验证×
copy
已复制链接
快去分享给好友吧!
我知道了
右上角分享
点击右上角分享
0
联系我们:info@booksci.cn Book学术提供免费学术资源搜索服务,方便国内外学者检索中英文文献。致力于提供最便捷和优质的服务体验。 Copyright © 2023 布克学术 All rights reserved.
京ICP备2023020795号-1
ghs 京公网安备 11010802042870号
Book学术文献互助
Book学术文献互助群
群 号:604180095
Book学术官方微信