单纯疱疹病毒1型天然糖蛋白B的优化分离纯化:一种简化的方法。

IF 1.7 Q4 MICROBIOLOGY
Mohammad Yasaghi, Ahad Yamchi, Alijan Tabarraei, Sara Salari, Abdolvahab Moradi, Seyedeh Delafruz Hosseini
{"title":"单纯疱疹病毒1型天然糖蛋白B的优化分离纯化:一种简化的方法。","authors":"Mohammad Yasaghi, Ahad Yamchi, Alijan Tabarraei, Sara Salari, Abdolvahab Moradi, Seyedeh Delafruz Hosseini","doi":"10.18502/ijm.v17i3.18833","DOIUrl":null,"url":null,"abstract":"<p><strong>Background and objectives: </strong>Viral membrane glycoproteins are essential for host cell recognition, membrane fusion and immune evasion, making them critical targets for antiviral therapies and vaccine development. However, their isolation in native conformation is challenging due to structural complexity and limitations of conventional purification methods. The aim of current study was to develop a cost-effective, reproducible method for the isolation and purification of glycoprotein B (gB) from Herpes Simplex Virus type 1 (HSV-1) while maintaining its native conformation for functional and interaction studies.</p><p><strong>Materials and methods: </strong>HSV-1 particles were concentrated via ultracentrifugation and membrane proteins were extracted using a modified protocol of the Mem-PER™ Plus Membrane Protein Extraction Kit. Native PAGE with a 4-8% gradient gel was employed to isolate multimeric gB (~300 kDa), followed by electroelution to extract the protein from the gel. The purity and integrity of gB were validated using SDS-PAGE and Western blot analysis.</p><p><strong>Results: </strong>The method successfully isolated glycoprotein B in its native multimeric form with high purity and adequate concentration (0.157 mg/mL). The pH of the native gel (8.3) and the high molecular weight of gB facilitated separation from other viral surface proteins. SDS-PAGE and Western blot confirmed the specificity and structural integrity of the purified protein.</p><p><strong>Conclusion: </strong>This study introduces a cost-effective and reliable method for isolating viral glycoproteins in their native conformation. The approach offers significant advantages over traditional chromatography-based techniques, making it ideal for research-scale applications, including functional and interaction studies.</p>","PeriodicalId":14633,"journal":{"name":"Iranian Journal of Microbiology","volume":"17 3","pages":"503-510"},"PeriodicalIF":1.7000,"publicationDate":"2025-06-01","publicationTypes":"Journal Article","fieldsOfStudy":null,"isOpenAccess":false,"openAccessPdf":"https://www.ncbi.nlm.nih.gov/pmc/articles/PMC12218886/pdf/","citationCount":"0","resultStr":"{\"title\":\"Optimized isolation and purification of native glycoprotein B from herpes simplex virus 1: a streamlined approach.\",\"authors\":\"Mohammad Yasaghi, Ahad Yamchi, Alijan Tabarraei, Sara Salari, Abdolvahab Moradi, Seyedeh Delafruz Hosseini\",\"doi\":\"10.18502/ijm.v17i3.18833\",\"DOIUrl\":null,\"url\":null,\"abstract\":\"<p><strong>Background and objectives: </strong>Viral membrane glycoproteins are essential for host cell recognition, membrane fusion and immune evasion, making them critical targets for antiviral therapies and vaccine development. However, their isolation in native conformation is challenging due to structural complexity and limitations of conventional purification methods. The aim of current study was to develop a cost-effective, reproducible method for the isolation and purification of glycoprotein B (gB) from Herpes Simplex Virus type 1 (HSV-1) while maintaining its native conformation for functional and interaction studies.</p><p><strong>Materials and methods: </strong>HSV-1 particles were concentrated via ultracentrifugation and membrane proteins were extracted using a modified protocol of the Mem-PER™ Plus Membrane Protein Extraction Kit. Native PAGE with a 4-8% gradient gel was employed to isolate multimeric gB (~300 kDa), followed by electroelution to extract the protein from the gel. The purity and integrity of gB were validated using SDS-PAGE and Western blot analysis.</p><p><strong>Results: </strong>The method successfully isolated glycoprotein B in its native multimeric form with high purity and adequate concentration (0.157 mg/mL). The pH of the native gel (8.3) and the high molecular weight of gB facilitated separation from other viral surface proteins. SDS-PAGE and Western blot confirmed the specificity and structural integrity of the purified protein.</p><p><strong>Conclusion: </strong>This study introduces a cost-effective and reliable method for isolating viral glycoproteins in their native conformation. The approach offers significant advantages over traditional chromatography-based techniques, making it ideal for research-scale applications, including functional and interaction studies.</p>\",\"PeriodicalId\":14633,\"journal\":{\"name\":\"Iranian Journal of Microbiology\",\"volume\":\"17 3\",\"pages\":\"503-510\"},\"PeriodicalIF\":1.7000,\"publicationDate\":\"2025-06-01\",\"publicationTypes\":\"Journal Article\",\"fieldsOfStudy\":null,\"isOpenAccess\":false,\"openAccessPdf\":\"https://www.ncbi.nlm.nih.gov/pmc/articles/PMC12218886/pdf/\",\"citationCount\":\"0\",\"resultStr\":null,\"platform\":\"Semanticscholar\",\"paperid\":null,\"PeriodicalName\":\"Iranian Journal of Microbiology\",\"FirstCategoryId\":\"1085\",\"ListUrlMain\":\"https://doi.org/10.18502/ijm.v17i3.18833\",\"RegionNum\":0,\"RegionCategory\":null,\"ArticlePicture\":[],\"TitleCN\":null,\"AbstractTextCN\":null,\"PMCID\":null,\"EPubDate\":\"\",\"PubModel\":\"\",\"JCR\":\"Q4\",\"JCRName\":\"MICROBIOLOGY\",\"Score\":null,\"Total\":0}","platform":"Semanticscholar","paperid":null,"PeriodicalName":"Iranian Journal of Microbiology","FirstCategoryId":"1085","ListUrlMain":"https://doi.org/10.18502/ijm.v17i3.18833","RegionNum":0,"RegionCategory":null,"ArticlePicture":[],"TitleCN":null,"AbstractTextCN":null,"PMCID":null,"EPubDate":"","PubModel":"","JCR":"Q4","JCRName":"MICROBIOLOGY","Score":null,"Total":0}
引用次数: 0

摘要

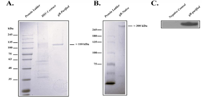
背景和目的:病毒膜糖蛋白在宿主细胞识别、膜融合和免疫逃避中起着至关重要的作用,是抗病毒治疗和疫苗开发的重要靶点。然而,由于结构的复杂性和传统纯化方法的局限性,它们在天然构象中的分离是具有挑战性的。本研究的目的是开发一种经济、可重复的方法,从1型单纯疱疹病毒(HSV-1)中分离和纯化糖蛋白B (gB),同时保持其天然构象,用于功能和相互作用研究。材料和方法:HSV-1颗粒经超离心浓缩,膜蛋白采用改良的memm - per™Plus膜蛋白提取试剂盒提取。用4-8%梯度的Native PAGE凝胶分离多聚体gB (~300 kDa),然后电洗脱从凝胶中提取蛋白质。通过SDS-PAGE和Western blot分析验证了gB的纯度和完整性。结果:该方法成功分离出糖蛋白B的多聚体,纯度高,浓度适宜(0.157 mg/mL)。天然凝胶的pH值(8.3)和高分子量的gB有助于与其他病毒表面蛋白分离。SDS-PAGE和Western blot证实了纯化蛋白的特异性和结构完整性。结论:本研究提供了一种经济、可靠的分离病毒糖蛋白天然构象的方法。与传统的基于色谱的技术相比,该方法具有显著的优势,使其成为研究规模应用的理想选择,包括功能和相互作用研究。
本文章由计算机程序翻译,如有差异,请以英文原文为准。

Optimized isolation and purification of native glycoprotein B from herpes simplex virus 1: a streamlined approach.

Optimized isolation and purification of native glycoprotein B from herpes simplex virus 1: a streamlined approach.

Background and objectives: Viral membrane glycoproteins are essential for host cell recognition, membrane fusion and immune evasion, making them critical targets for antiviral therapies and vaccine development. However, their isolation in native conformation is challenging due to structural complexity and limitations of conventional purification methods. The aim of current study was to develop a cost-effective, reproducible method for the isolation and purification of glycoprotein B (gB) from Herpes Simplex Virus type 1 (HSV-1) while maintaining its native conformation for functional and interaction studies.

Materials and methods: HSV-1 particles were concentrated via ultracentrifugation and membrane proteins were extracted using a modified protocol of the Mem-PER™ Plus Membrane Protein Extraction Kit. Native PAGE with a 4-8% gradient gel was employed to isolate multimeric gB (~300 kDa), followed by electroelution to extract the protein from the gel. The purity and integrity of gB were validated using SDS-PAGE and Western blot analysis.

Results: The method successfully isolated glycoprotein B in its native multimeric form with high purity and adequate concentration (0.157 mg/mL). The pH of the native gel (8.3) and the high molecular weight of gB facilitated separation from other viral surface proteins. SDS-PAGE and Western blot confirmed the specificity and structural integrity of the purified protein.

Conclusion: This study introduces a cost-effective and reliable method for isolating viral glycoproteins in their native conformation. The approach offers significant advantages over traditional chromatography-based techniques, making it ideal for research-scale applications, including functional and interaction studies.

求助全文
通过发布文献求助,成功后即可免费获取论文全文。 去求助
来源期刊
CiteScore
2.40
自引率
7.10%
发文量
96
审稿时长
12 weeks
期刊介绍: The Iranian Journal of Microbiology (IJM) is an international, multi-disciplinary, peer-reviewed journal that provides rapid publication of the most advanced scientific research in the areas of basic and applied research on bacteria and other micro-organisms, including bacteria, viruses, yeasts, fungi, microalgae, and protozoa concerning the development of tools for diagnosis and disease control, epidemiology, antimicrobial agents, clinical microbiology, immunology, Genetics, Genomics and Molecular Biology. Contributions may be in the form of original research papers, review articles, short communications, case reports, technical reports, and letters to the Editor. Research findings must be novel and the original data must be available for review by the Editors, if necessary. Studies that are preliminary, of weak originality or merely descriptive as well as negative results are not appropriate for the journal. Papers considered for publication must be unpublished work (except in an abstract form) that is not under consideration for publication anywhere else, and all co-authors should have agreed to the submission. Manuscripts should be written in English.
×
引用
GB/T 7714-2015
复制
MLA
复制
APA
复制
导出至
BibTeX EndNote RefMan NoteFirst NoteExpress
×
提示
您的信息不完整,为了账户安全,请先补充。
现在去补充
×
提示
您因"违规操作"
具体请查看互助需知
我知道了
×
提示
确定
请完成安全验证×
copy
已复制链接
快去分享给好友吧!
我知道了
右上角分享
点击右上角分享
0
联系我们:info@booksci.cn Book学术提供免费学术资源搜索服务,方便国内外学者检索中英文文献。致力于提供最便捷和优质的服务体验。 Copyright © 2023 布克学术 All rights reserved.
京ICP备2023020795号-1
ghs 京公网安备 11010802042870号
Book学术文献互助
Book学术文献互助群
群 号:604180095
Book学术官方微信