总m6A RNA水平和VIRMA表达作为口腔鳞状细胞癌的潜在诊断和预后指标

IF 2.3 3区 医学 Q2 PATHOLOGY
Kaori Shima, Yudai Shimojukkoku, Yasunobu Oku, Kanako Higashimoto, Takahiro Tsuchiyama, Yuka Kajiya, Miyako Kurihara-Shimomura, Tomonori Sasahira
{"title":"总m6A RNA水平和VIRMA表达作为口腔鳞状细胞癌的潜在诊断和预后指标","authors":"Kaori Shima, Yudai Shimojukkoku, Yasunobu Oku, Kanako Higashimoto, Takahiro Tsuchiyama, Yuka Kajiya, Miyako Kurihara-Shimomura, Tomonori Sasahira","doi":"10.1186/s13000-025-01678-3","DOIUrl":null,"url":null,"abstract":"<p><strong>Background: </strong>Oral squamous cell carcinoma (OSCC) is associated with poor prognosis due to extensive local invasiveness and lymph node metastasis, often leading to a significant decrease in aesthetics and function after surgery. Therefore, elucidation of the molecular mechanisms underlying OSCC is necessary for its early detection and treatment. N6-methyladenosine (m6A) modification of mRNA is the most common form of post-transcriptional RNA methylation and is often involved in the progression of cancer by regulating the expression of various genes. Recent studies reported the tumor-promoting effects of vir-like m6A methyltransferase associated (VIRMA, also termed KIAA1429), a novel molecule involved in m6A modification; however, its role in OSCC remains poorly understood.</p><p><strong>Methods: </strong>In the present study, we determined the total m6A levels and VIRMA expression in OSCC using immunohistochemistry of tissue specimens and evaluated their association with clinicopathologic characteristics. We also performed gene expression analysis of VIRMA/KIAA1429 using public datasets.</p><p><strong>Results: </strong>We found that the m6A levels were significantly higher in the OSCC specimens of patients with a more advanced clinical stage (P = 0.0063), lymph node metastasis (P = 0.0323), and venous invasion (P = 0.0380) compared to those without. The analysis of the public datasets revealed that VIRMA/KIAA1429 expression levels were higher in head and neck SCC than in normal mucosa, whereas immunohistochemistry revealed that VIRMA-expressing OSCC was associated with a significantly shorter disease-free survival (P = 0.0043) and was an independent poor prognostic factor (P = 0.0179).</p><p><strong>Conclusions: </strong>These results highlight the potential utility of RNA methylation and VIRMA expression for the diagnosis and treatment of OSCC.</p>","PeriodicalId":11237,"journal":{"name":"Diagnostic Pathology","volume":"20 1","pages":"81"},"PeriodicalIF":2.3000,"publicationDate":"2025-07-03","publicationTypes":"Journal Article","fieldsOfStudy":null,"isOpenAccess":false,"openAccessPdf":"https://www.ncbi.nlm.nih.gov/pmc/articles/PMC12226839/pdf/","citationCount":"0","resultStr":"{\"title\":\"Total m6A RNA levels and VIRMA expression as potential diagnostic and prognostic markers in oral squamous cell carcinoma.\",\"authors\":\"Kaori Shima, Yudai Shimojukkoku, Yasunobu Oku, Kanako Higashimoto, Takahiro Tsuchiyama, Yuka Kajiya, Miyako Kurihara-Shimomura, Tomonori Sasahira\",\"doi\":\"10.1186/s13000-025-01678-3\",\"DOIUrl\":null,\"url\":null,\"abstract\":\"<p><strong>Background: </strong>Oral squamous cell carcinoma (OSCC) is associated with poor prognosis due to extensive local invasiveness and lymph node metastasis, often leading to a significant decrease in aesthetics and function after surgery. Therefore, elucidation of the molecular mechanisms underlying OSCC is necessary for its early detection and treatment. N6-methyladenosine (m6A) modification of mRNA is the most common form of post-transcriptional RNA methylation and is often involved in the progression of cancer by regulating the expression of various genes. Recent studies reported the tumor-promoting effects of vir-like m6A methyltransferase associated (VIRMA, also termed KIAA1429), a novel molecule involved in m6A modification; however, its role in OSCC remains poorly understood.</p><p><strong>Methods: </strong>In the present study, we determined the total m6A levels and VIRMA expression in OSCC using immunohistochemistry of tissue specimens and evaluated their association with clinicopathologic characteristics. We also performed gene expression analysis of VIRMA/KIAA1429 using public datasets.</p><p><strong>Results: </strong>We found that the m6A levels were significantly higher in the OSCC specimens of patients with a more advanced clinical stage (P = 0.0063), lymph node metastasis (P = 0.0323), and venous invasion (P = 0.0380) compared to those without. The analysis of the public datasets revealed that VIRMA/KIAA1429 expression levels were higher in head and neck SCC than in normal mucosa, whereas immunohistochemistry revealed that VIRMA-expressing OSCC was associated with a significantly shorter disease-free survival (P = 0.0043) and was an independent poor prognostic factor (P = 0.0179).</p><p><strong>Conclusions: </strong>These results highlight the potential utility of RNA methylation and VIRMA expression for the diagnosis and treatment of OSCC.</p>\",\"PeriodicalId\":11237,\"journal\":{\"name\":\"Diagnostic Pathology\",\"volume\":\"20 1\",\"pages\":\"81\"},\"PeriodicalIF\":2.3000,\"publicationDate\":\"2025-07-03\",\"publicationTypes\":\"Journal Article\",\"fieldsOfStudy\":null,\"isOpenAccess\":false,\"openAccessPdf\":\"https://www.ncbi.nlm.nih.gov/pmc/articles/PMC12226839/pdf/\",\"citationCount\":\"0\",\"resultStr\":null,\"platform\":\"Semanticscholar\",\"paperid\":null,\"PeriodicalName\":\"Diagnostic Pathology\",\"FirstCategoryId\":\"3\",\"ListUrlMain\":\"https://doi.org/10.1186/s13000-025-01678-3\",\"RegionNum\":3,\"RegionCategory\":\"医学\",\"ArticlePicture\":[],\"TitleCN\":null,\"AbstractTextCN\":null,\"PMCID\":null,\"EPubDate\":\"\",\"PubModel\":\"\",\"JCR\":\"Q2\",\"JCRName\":\"PATHOLOGY\",\"Score\":null,\"Total\":0}","platform":"Semanticscholar","paperid":null,"PeriodicalName":"Diagnostic Pathology","FirstCategoryId":"3","ListUrlMain":"https://doi.org/10.1186/s13000-025-01678-3","RegionNum":3,"RegionCategory":"医学","ArticlePicture":[],"TitleCN":null,"AbstractTextCN":null,"PMCID":null,"EPubDate":"","PubModel":"","JCR":"Q2","JCRName":"PATHOLOGY","Score":null,"Total":0}
引用次数: 0

摘要

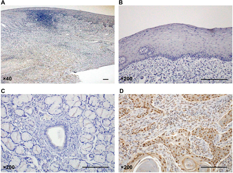
背景:口腔鳞状细胞癌(OSCC)由于广泛的局部侵袭和淋巴结转移,预后较差,常导致术后美观和功能显著下降。因此,阐明OSCC的分子机制对其早期发现和治疗是必要的。mRNA的n6 -甲基腺苷(m6A)修饰是转录后RNA甲基化最常见的形式,通常通过调节各种基因的表达参与癌症的进展。最近的研究报道了病毒样m6A甲基转移酶相关(VIRMA,也称为KIAA1429)的肿瘤促进作用,这是一种参与m6A修饰的新分子;然而,它在OSCC中的作用仍然知之甚少。方法:本研究采用组织标本免疫组化检测OSCC中m6A总水平和VIRMA表达,并评价其与临床病理特征的相关性。我们还利用公共数据集对VIRMA/KIAA1429进行了基因表达分析。结果:我们发现临床分期越晚期(P = 0.0063)、淋巴结转移(P = 0.0323)和静脉侵犯(P = 0.0380)的OSCC患者标本中m6A水平明显高于无临床分期的患者。对公共数据集的分析显示,VIRMA/KIAA1429在头颈部鳞状细胞癌中的表达水平高于正常粘膜,而免疫组织化学显示,表达VIRMA的鳞状细胞癌与显著较短的无病生存期相关(P = 0.0043),并且是一个独立的不良预后因素(P = 0.0179)。结论:这些结果强调了RNA甲基化和VIRMA表达在OSCC诊断和治疗中的潜在作用。
本文章由计算机程序翻译,如有差异,请以英文原文为准。

Total m6A RNA levels and VIRMA expression as potential diagnostic and prognostic markers in oral squamous cell carcinoma.

Total m6A RNA levels and VIRMA expression as potential diagnostic and prognostic markers in oral squamous cell carcinoma.

Total m6A RNA levels and VIRMA expression as potential diagnostic and prognostic markers in oral squamous cell carcinoma.

Total m6A RNA levels and VIRMA expression as potential diagnostic and prognostic markers in oral squamous cell carcinoma.

Background: Oral squamous cell carcinoma (OSCC) is associated with poor prognosis due to extensive local invasiveness and lymph node metastasis, often leading to a significant decrease in aesthetics and function after surgery. Therefore, elucidation of the molecular mechanisms underlying OSCC is necessary for its early detection and treatment. N6-methyladenosine (m6A) modification of mRNA is the most common form of post-transcriptional RNA methylation and is often involved in the progression of cancer by regulating the expression of various genes. Recent studies reported the tumor-promoting effects of vir-like m6A methyltransferase associated (VIRMA, also termed KIAA1429), a novel molecule involved in m6A modification; however, its role in OSCC remains poorly understood.

Methods: In the present study, we determined the total m6A levels and VIRMA expression in OSCC using immunohistochemistry of tissue specimens and evaluated their association with clinicopathologic characteristics. We also performed gene expression analysis of VIRMA/KIAA1429 using public datasets.

Results: We found that the m6A levels were significantly higher in the OSCC specimens of patients with a more advanced clinical stage (P = 0.0063), lymph node metastasis (P = 0.0323), and venous invasion (P = 0.0380) compared to those without. The analysis of the public datasets revealed that VIRMA/KIAA1429 expression levels were higher in head and neck SCC than in normal mucosa, whereas immunohistochemistry revealed that VIRMA-expressing OSCC was associated with a significantly shorter disease-free survival (P = 0.0043) and was an independent poor prognostic factor (P = 0.0179).

Conclusions: These results highlight the potential utility of RNA methylation and VIRMA expression for the diagnosis and treatment of OSCC.

求助全文
通过发布文献求助,成功后即可免费获取论文全文。 去求助
来源期刊
Diagnostic Pathology
Diagnostic Pathology 医学-病理学
CiteScore
4.60
自引率
0.00%
发文量
93
审稿时长
1 months
期刊介绍: Diagnostic Pathology is an open access, peer-reviewed, online journal that considers research in surgical and clinical pathology, immunology, and biology, with a special focus on cutting-edge approaches in diagnostic pathology and tissue-based therapy. The journal covers all aspects of surgical pathology, including classic diagnostic pathology, prognosis-related diagnosis (tumor stages, prognosis markers, such as MIB-percentage, hormone receptors, etc.), and therapy-related findings. The journal also focuses on the technological aspects of pathology, including molecular biology techniques, morphometry aspects (stereology, DNA analysis, syntactic structure analysis), communication aspects (telecommunication, virtual microscopy, virtual pathology institutions, etc.), and electronic education and quality assurance (for example interactive publication, on-line references with automated updating, etc.).
×
引用
GB/T 7714-2015
复制
MLA
复制
APA
复制
导出至
BibTeX EndNote RefMan NoteFirst NoteExpress
×
提示
您的信息不完整,为了账户安全,请先补充。
现在去补充
×
提示
您因"违规操作"
具体请查看互助需知
我知道了
×
提示
确定
请完成安全验证×
copy
已复制链接
快去分享给好友吧!
我知道了
右上角分享
点击右上角分享
0
联系我们:info@booksci.cn Book学术提供免费学术资源搜索服务,方便国内外学者检索中英文文献。致力于提供最便捷和优质的服务体验。 Copyright © 2023 布克学术 All rights reserved.
京ICP备2023020795号-1
ghs 京公网安备 11010802042870号
Book学术文献互助
Book学术文献互助群
群 号:604180095
Book学术官方微信