p16免疫组化表达阴茎癌WHO分类2022的临床病理特征及重分类及其对预后的影响

IF 2.3 3区 医学 Q2 PATHOLOGY
Vaanya Kaushik, Kanthilatha Pai, Anuradha Rao, Swati Sharma
{"title":"p16免疫组化表达阴茎癌WHO分类2022的临床病理特征及重分类及其对预后的影响","authors":"Vaanya Kaushik, Kanthilatha Pai, Anuradha Rao, Swati Sharma","doi":"10.1186/s13000-025-01676-5","DOIUrl":null,"url":null,"abstract":"<p><strong>Introduction: </strong>Squamous cell carcinoma (SCC) is the most common type of penile cancer, and infection with human papillomavirus (HPV) is one of the most highly associated risk factors. The WHO classification for penile SCC (2022) strongly recommends and advocates penile SCC to be reported as HPV-associated or HPV-independent type in pathology reports. Further, p16 immunohistochemistry (IHC) is recommended to classify SCC into the above major types, although it is not completely reliable for HPV infection. Although there are no established differences in the prognosis or treatment between HPV-associated and HPV-independent penile tumours, there is recent evidence to suggest that HPV-associated SCC may respond better to radiation therapy, immunotherapy, etc. AIM AND OBJECTIVES: This study aims to = analyse the clinicopathological features of penile squamous cell carcinoma and reclassify penile SCC into HPV-associated and HPV-independent types to align with the WHO classification of penile carcinoma (2022) and study the expression of p16 by immunohistochemistry. Additionally, we studied the prognostic significance of HPV-associated and independent SCC based on histology and p16 immunostaining.</p><p><strong>Materials and methods: </strong>This is a five-year retrospective single-institution study that included all diagnosed cases of penile SCC. Clinicopathological features and p16 expressions were studied and analysed.</p><p><strong>Results: </strong>A total of 72 cases of penile SCC were included during the study period. The mean age of occurrence of penile SCC was 58 years. The most common site of the tumor was the glans penis (50.74%). We encountered only 6 cases (8.3%) of HPV-associated type of penile SCC, while the majority belonged to the HPV-independent type (91.7%) based on histology. p16 immunohistochemistry showed positivity in 15 cases (21%) and negativity in 57 cases (79%). Most of the tumors showed favorable features- histological grade I, pathological T1 stage with a low incidence of nodal metastasis. There was a strong association between histological subtyping into HPV-associated and independent SCC with p16 IHC expression (p = 0.015). Classification of penile SCC by histology and p16 expression into HPV associated and independent type showed no prognostic significance with pathological stage but was significant with histological grade and lymph node metastasis.</p>","PeriodicalId":11237,"journal":{"name":"Diagnostic Pathology","volume":"20 1","pages":"80"},"PeriodicalIF":2.3000,"publicationDate":"2025-07-03","publicationTypes":"Journal Article","fieldsOfStudy":null,"isOpenAccess":false,"openAccessPdf":"https://www.ncbi.nlm.nih.gov/pmc/articles/PMC12231722/pdf/","citationCount":"0","resultStr":"{\"title\":\"Clinicopathological features and reclassification of penile squamous cell carcinoma according to WHO classification 2022 for penile carcinoma with p16 immunohistochemical expression and its prognostic impact.\",\"authors\":\"Vaanya Kaushik, Kanthilatha Pai, Anuradha Rao, Swati Sharma\",\"doi\":\"10.1186/s13000-025-01676-5\",\"DOIUrl\":null,\"url\":null,\"abstract\":\"<p><strong>Introduction: </strong>Squamous cell carcinoma (SCC) is the most common type of penile cancer, and infection with human papillomavirus (HPV) is one of the most highly associated risk factors. The WHO classification for penile SCC (2022) strongly recommends and advocates penile SCC to be reported as HPV-associated or HPV-independent type in pathology reports. Further, p16 immunohistochemistry (IHC) is recommended to classify SCC into the above major types, although it is not completely reliable for HPV infection. Although there are no established differences in the prognosis or treatment between HPV-associated and HPV-independent penile tumours, there is recent evidence to suggest that HPV-associated SCC may respond better to radiation therapy, immunotherapy, etc. AIM AND OBJECTIVES: This study aims to = analyse the clinicopathological features of penile squamous cell carcinoma and reclassify penile SCC into HPV-associated and HPV-independent types to align with the WHO classification of penile carcinoma (2022) and study the expression of p16 by immunohistochemistry. Additionally, we studied the prognostic significance of HPV-associated and independent SCC based on histology and p16 immunostaining.</p><p><strong>Materials and methods: </strong>This is a five-year retrospective single-institution study that included all diagnosed cases of penile SCC. Clinicopathological features and p16 expressions were studied and analysed.</p><p><strong>Results: </strong>A total of 72 cases of penile SCC were included during the study period. The mean age of occurrence of penile SCC was 58 years. The most common site of the tumor was the glans penis (50.74%). We encountered only 6 cases (8.3%) of HPV-associated type of penile SCC, while the majority belonged to the HPV-independent type (91.7%) based on histology. p16 immunohistochemistry showed positivity in 15 cases (21%) and negativity in 57 cases (79%). Most of the tumors showed favorable features- histological grade I, pathological T1 stage with a low incidence of nodal metastasis. There was a strong association between histological subtyping into HPV-associated and independent SCC with p16 IHC expression (p = 0.015). Classification of penile SCC by histology and p16 expression into HPV associated and independent type showed no prognostic significance with pathological stage but was significant with histological grade and lymph node metastasis.</p>\",\"PeriodicalId\":11237,\"journal\":{\"name\":\"Diagnostic Pathology\",\"volume\":\"20 1\",\"pages\":\"80\"},\"PeriodicalIF\":2.3000,\"publicationDate\":\"2025-07-03\",\"publicationTypes\":\"Journal Article\",\"fieldsOfStudy\":null,\"isOpenAccess\":false,\"openAccessPdf\":\"https://www.ncbi.nlm.nih.gov/pmc/articles/PMC12231722/pdf/\",\"citationCount\":\"0\",\"resultStr\":null,\"platform\":\"Semanticscholar\",\"paperid\":null,\"PeriodicalName\":\"Diagnostic Pathology\",\"FirstCategoryId\":\"3\",\"ListUrlMain\":\"https://doi.org/10.1186/s13000-025-01676-5\",\"RegionNum\":3,\"RegionCategory\":\"医学\",\"ArticlePicture\":[],\"TitleCN\":null,\"AbstractTextCN\":null,\"PMCID\":null,\"EPubDate\":\"\",\"PubModel\":\"\",\"JCR\":\"Q2\",\"JCRName\":\"PATHOLOGY\",\"Score\":null,\"Total\":0}","platform":"Semanticscholar","paperid":null,"PeriodicalName":"Diagnostic Pathology","FirstCategoryId":"3","ListUrlMain":"https://doi.org/10.1186/s13000-025-01676-5","RegionNum":3,"RegionCategory":"医学","ArticlePicture":[],"TitleCN":null,"AbstractTextCN":null,"PMCID":null,"EPubDate":"","PubModel":"","JCR":"Q2","JCRName":"PATHOLOGY","Score":null,"Total":0}
引用次数: 0

摘要

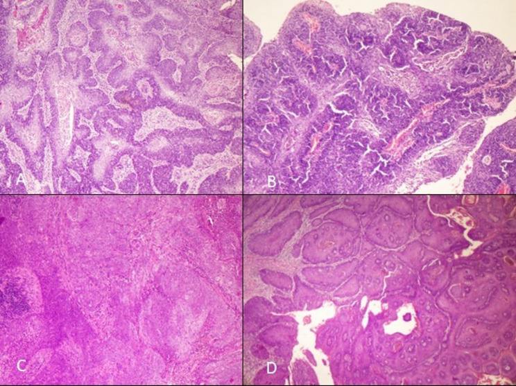
简介:鳞状细胞癌(SCC)是最常见的阴茎癌类型,感染人乳头瘤病毒(HPV)是最高度相关的危险因素之一。世卫组织对阴茎鳞状细胞癌的分类(2022)强烈建议并主张在病理报告中将阴茎鳞状细胞癌报告为hpv相关型或hpv独立型。此外,p16免疫组织化学(IHC)被推荐将SCC分为上述主要类型,尽管它对HPV感染并不完全可靠。尽管hpv相关和非hpv相关的阴茎肿瘤在预后和治疗方面没有明确的差异,但最近有证据表明hpv相关的SCC可能对放射治疗、免疫治疗等有更好的反应。目的和目的:本研究旨在分析阴茎鳞状细胞癌的临床病理特征,将阴茎鳞状细胞癌重新分为hpv相关型和hpv独立型,以与WHO阴茎癌(2022)的分类相一致,并通过免疫组织化学研究p16的表达。此外,我们研究了基于组织学和p16免疫染色的hpv相关和独立SCC的预后意义。材料和方法:这是一项为期五年的回顾性单机构研究,包括所有诊断的阴茎鳞状细胞癌病例。研究分析临床病理特征及p16表达。结果:研究期间共纳入72例阴茎鳞状细胞癌。发生阴茎鳞状细胞癌的平均年龄为58岁。最常见的肿瘤部位为阴茎龟头(50.74%)。我们只遇到6例(8.3%)hpv相关型阴茎鳞状细胞癌,而大多数属于hpv独立型(91.7%)。P16免疫组化阳性15例(21%),阴性57例(79%)。多数肿瘤表现为组织学ⅰ级,病理T1期,淋巴结转移发生率低。组织学分型为hpv相关SCC和独立SCC与p16 IHC表达有很强的相关性(p = 0.015)。阴茎鳞状细胞癌的组织学分型和p16表达分为HPV相关型和独立型,与病理分期无预后意义,但与组织学分级和淋巴结转移有显著关系。
本文章由计算机程序翻译,如有差异,请以英文原文为准。

Clinicopathological features and reclassification of penile squamous cell carcinoma according to WHO classification 2022 for penile carcinoma with p16 immunohistochemical expression and its prognostic impact.

Clinicopathological features and reclassification of penile squamous cell carcinoma according to WHO classification 2022 for penile carcinoma with p16 immunohistochemical expression and its prognostic impact.

Clinicopathological features and reclassification of penile squamous cell carcinoma according to WHO classification 2022 for penile carcinoma with p16 immunohistochemical expression and its prognostic impact.

Clinicopathological features and reclassification of penile squamous cell carcinoma according to WHO classification 2022 for penile carcinoma with p16 immunohistochemical expression and its prognostic impact.

Introduction: Squamous cell carcinoma (SCC) is the most common type of penile cancer, and infection with human papillomavirus (HPV) is one of the most highly associated risk factors. The WHO classification for penile SCC (2022) strongly recommends and advocates penile SCC to be reported as HPV-associated or HPV-independent type in pathology reports. Further, p16 immunohistochemistry (IHC) is recommended to classify SCC into the above major types, although it is not completely reliable for HPV infection. Although there are no established differences in the prognosis or treatment between HPV-associated and HPV-independent penile tumours, there is recent evidence to suggest that HPV-associated SCC may respond better to radiation therapy, immunotherapy, etc. AIM AND OBJECTIVES: This study aims to = analyse the clinicopathological features of penile squamous cell carcinoma and reclassify penile SCC into HPV-associated and HPV-independent types to align with the WHO classification of penile carcinoma (2022) and study the expression of p16 by immunohistochemistry. Additionally, we studied the prognostic significance of HPV-associated and independent SCC based on histology and p16 immunostaining.

Materials and methods: This is a five-year retrospective single-institution study that included all diagnosed cases of penile SCC. Clinicopathological features and p16 expressions were studied and analysed.

Results: A total of 72 cases of penile SCC were included during the study period. The mean age of occurrence of penile SCC was 58 years. The most common site of the tumor was the glans penis (50.74%). We encountered only 6 cases (8.3%) of HPV-associated type of penile SCC, while the majority belonged to the HPV-independent type (91.7%) based on histology. p16 immunohistochemistry showed positivity in 15 cases (21%) and negativity in 57 cases (79%). Most of the tumors showed favorable features- histological grade I, pathological T1 stage with a low incidence of nodal metastasis. There was a strong association between histological subtyping into HPV-associated and independent SCC with p16 IHC expression (p = 0.015). Classification of penile SCC by histology and p16 expression into HPV associated and independent type showed no prognostic significance with pathological stage but was significant with histological grade and lymph node metastasis.

求助全文
通过发布文献求助,成功后即可免费获取论文全文。 去求助
来源期刊
Diagnostic Pathology
Diagnostic Pathology 医学-病理学
CiteScore
4.60
自引率
0.00%
发文量
93
审稿时长
1 months
期刊介绍: Diagnostic Pathology is an open access, peer-reviewed, online journal that considers research in surgical and clinical pathology, immunology, and biology, with a special focus on cutting-edge approaches in diagnostic pathology and tissue-based therapy. The journal covers all aspects of surgical pathology, including classic diagnostic pathology, prognosis-related diagnosis (tumor stages, prognosis markers, such as MIB-percentage, hormone receptors, etc.), and therapy-related findings. The journal also focuses on the technological aspects of pathology, including molecular biology techniques, morphometry aspects (stereology, DNA analysis, syntactic structure analysis), communication aspects (telecommunication, virtual microscopy, virtual pathology institutions, etc.), and electronic education and quality assurance (for example interactive publication, on-line references with automated updating, etc.).
×
引用
GB/T 7714-2015
复制
MLA
复制
APA
复制
导出至
BibTeX EndNote RefMan NoteFirst NoteExpress
×
提示
您的信息不完整,为了账户安全,请先补充。
现在去补充
×
提示
您因"违规操作"
具体请查看互助需知
我知道了
×
提示
确定
请完成安全验证×
copy
已复制链接
快去分享给好友吧!
我知道了
右上角分享
点击右上角分享
0
联系我们:info@booksci.cn Book学术提供免费学术资源搜索服务,方便国内外学者检索中英文文献。致力于提供最便捷和优质的服务体验。 Copyright © 2023 布克学术 All rights reserved.
京ICP备2023020795号-1
ghs 京公网安备 11010802042870号
Book学术文献互助
Book学术文献互助群
群 号:604180095
Book学术官方微信