慢性淋巴细胞白血病转化为里希特综合征的肠膀胱瘘1例报告并文献复习。

IF 1.9 3区 医学 Q3 UROLOGY & NEPHROLOGY
Mobina Saleh, Babak Alavi Farzaneh, Fatemeh Zarimeidani, Rahem Rahmati, Yaser Salehi Najafabadi, Fatemeh Taheri
{"title":"慢性淋巴细胞白血病转化为里希特综合征的肠膀胱瘘1例报告并文献复习。","authors":"Mobina Saleh, Babak Alavi Farzaneh, Fatemeh Zarimeidani, Rahem Rahmati, Yaser Salehi Najafabadi, Fatemeh Taheri","doi":"10.1186/s12894-025-01830-7","DOIUrl":null,"url":null,"abstract":"<p><p>Richter transformation (RT) is an uncommon complication of chronic lymphocytic leukemia (CLL) that can lead to aggressive large B-cell lymphoma or Hodgkin lymphoma. Here, we present a rare case of enterovesical fistula (EVF) resulting from RT of CLL. A 59-year-old Caucasian male with CLL visited the hematology department with severe abdominal pain in the hypogastrium. Ultrasonography showed an increase in wall thickness in a segment of the ileum with adjacent lymphadenopathy, indicating lymphomatous involvement. A day after receiving chemotherapy, the patient complained of hematuria. He underwent a cystoscopy, which revealed no abnormal findings. After the cystoscopy, the patient's hematuria stopped, but he complained about the excretion of food from the previous day in his urine. The patient's CT cystography results were normal. However, the abdominopelvic CT scan revealed an increase in the thickness of the small intestine loops in the distal part of the jejunum without any evidence of obstruction, suggesting lymphomatous involvement. Based on the patient's fecaluria, he uneventfully underwent surgery, and EVF was confirmed. Resection of the involved small intestine and partial cystectomy were done. The pathology results suggested RT of CLL to diffuse large B-cell lymphoma (DLBCL). Not only EVF might be an uncommon complication of CLL, but it could also manifest in patients undergoing RT due to the disease's characteristics or as a result of treatment. It is essential for clinicians managing CLL patients to be aware of the RT and its complications.</p>","PeriodicalId":9285,"journal":{"name":"BMC Urology","volume":"25 1","pages":"150"},"PeriodicalIF":1.9000,"publicationDate":"2025-07-03","publicationTypes":"Journal Article","fieldsOfStudy":null,"isOpenAccess":false,"openAccessPdf":"https://www.ncbi.nlm.nih.gov/pmc/articles/PMC12225060/pdf/","citationCount":"0","resultStr":"{\"title\":\"Enterovesical fistula in chronic lymphocytic leukemia transforming to Richter syndrome: a case report and literature review.\",\"authors\":\"Mobina Saleh, Babak Alavi Farzaneh, Fatemeh Zarimeidani, Rahem Rahmati, Yaser Salehi Najafabadi, Fatemeh Taheri\",\"doi\":\"10.1186/s12894-025-01830-7\",\"DOIUrl\":null,\"url\":null,\"abstract\":\"<p><p>Richter transformation (RT) is an uncommon complication of chronic lymphocytic leukemia (CLL) that can lead to aggressive large B-cell lymphoma or Hodgkin lymphoma. Here, we present a rare case of enterovesical fistula (EVF) resulting from RT of CLL. A 59-year-old Caucasian male with CLL visited the hematology department with severe abdominal pain in the hypogastrium. Ultrasonography showed an increase in wall thickness in a segment of the ileum with adjacent lymphadenopathy, indicating lymphomatous involvement. A day after receiving chemotherapy, the patient complained of hematuria. He underwent a cystoscopy, which revealed no abnormal findings. After the cystoscopy, the patient's hematuria stopped, but he complained about the excretion of food from the previous day in his urine. The patient's CT cystography results were normal. However, the abdominopelvic CT scan revealed an increase in the thickness of the small intestine loops in the distal part of the jejunum without any evidence of obstruction, suggesting lymphomatous involvement. Based on the patient's fecaluria, he uneventfully underwent surgery, and EVF was confirmed. Resection of the involved small intestine and partial cystectomy were done. The pathology results suggested RT of CLL to diffuse large B-cell lymphoma (DLBCL). Not only EVF might be an uncommon complication of CLL, but it could also manifest in patients undergoing RT due to the disease's characteristics or as a result of treatment. It is essential for clinicians managing CLL patients to be aware of the RT and its complications.</p>\",\"PeriodicalId\":9285,\"journal\":{\"name\":\"BMC Urology\",\"volume\":\"25 1\",\"pages\":\"150\"},\"PeriodicalIF\":1.9000,\"publicationDate\":\"2025-07-03\",\"publicationTypes\":\"Journal Article\",\"fieldsOfStudy\":null,\"isOpenAccess\":false,\"openAccessPdf\":\"https://www.ncbi.nlm.nih.gov/pmc/articles/PMC12225060/pdf/\",\"citationCount\":\"0\",\"resultStr\":null,\"platform\":\"Semanticscholar\",\"paperid\":null,\"PeriodicalName\":\"BMC Urology\",\"FirstCategoryId\":\"3\",\"ListUrlMain\":\"https://doi.org/10.1186/s12894-025-01830-7\",\"RegionNum\":3,\"RegionCategory\":\"医学\",\"ArticlePicture\":[],\"TitleCN\":null,\"AbstractTextCN\":null,\"PMCID\":null,\"EPubDate\":\"\",\"PubModel\":\"\",\"JCR\":\"Q3\",\"JCRName\":\"UROLOGY & NEPHROLOGY\",\"Score\":null,\"Total\":0}","platform":"Semanticscholar","paperid":null,"PeriodicalName":"BMC Urology","FirstCategoryId":"3","ListUrlMain":"https://doi.org/10.1186/s12894-025-01830-7","RegionNum":3,"RegionCategory":"医学","ArticlePicture":[],"TitleCN":null,"AbstractTextCN":null,"PMCID":null,"EPubDate":"","PubModel":"","JCR":"Q3","JCRName":"UROLOGY & NEPHROLOGY","Score":null,"Total":0}
引用次数: 0

摘要

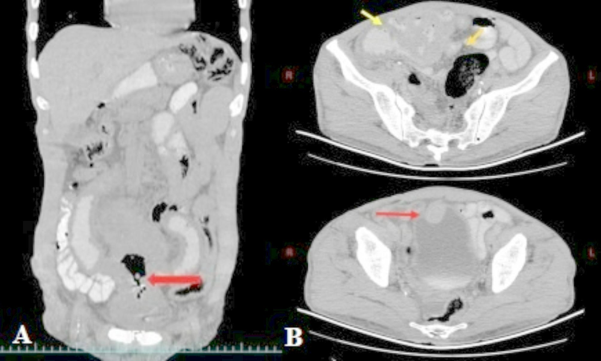
里希特转化(RT)是慢性淋巴细胞白血病(CLL)的罕见并发症,可导致侵袭性大b细胞淋巴瘤或霍奇金淋巴瘤。在此,我们报告一例罕见的由慢性淋巴细胞白血病(CLL)的移植引起的肠膀胱瘘(EVF)。一名患有慢性淋巴细胞白血病的59岁白人男性因下胃剧烈腹痛来到血液科就诊。超声检查显示回肠一段伴邻近淋巴结病变的壁厚增加,提示淋巴瘤累及。化疗后一天,患者主诉血尿。他做了膀胱镜检查,没有发现异常。膀胱镜检查后,患者血尿停止,但主诉尿液中含有前一天的食物。患者的CT膀胱造影结果正常。然而,腹部骨盆CT扫描显示空肠远端小肠袢厚度增加,未见梗阻,提示淋巴瘤累及。根据患者的粪尿情况,他顺利地接受了手术,并证实了EVF。切除受累小肠及部分膀胱。病理结果提示CLL转为弥漫性大b细胞淋巴瘤(DLBCL)。EVF不仅可能是CLL的罕见并发症,而且由于疾病的特点或治疗的结果,它也可能在接受RT的患者中表现出来。对于临床医生管理CLL患者来说,了解RT及其并发症是至关重要的。
本文章由计算机程序翻译,如有差异,请以英文原文为准。

Enterovesical fistula in chronic lymphocytic leukemia transforming to Richter syndrome: a case report and literature review.

Enterovesical fistula in chronic lymphocytic leukemia transforming to Richter syndrome: a case report and literature review.

Enterovesical fistula in chronic lymphocytic leukemia transforming to Richter syndrome: a case report and literature review.

Enterovesical fistula in chronic lymphocytic leukemia transforming to Richter syndrome: a case report and literature review.

Richter transformation (RT) is an uncommon complication of chronic lymphocytic leukemia (CLL) that can lead to aggressive large B-cell lymphoma or Hodgkin lymphoma. Here, we present a rare case of enterovesical fistula (EVF) resulting from RT of CLL. A 59-year-old Caucasian male with CLL visited the hematology department with severe abdominal pain in the hypogastrium. Ultrasonography showed an increase in wall thickness in a segment of the ileum with adjacent lymphadenopathy, indicating lymphomatous involvement. A day after receiving chemotherapy, the patient complained of hematuria. He underwent a cystoscopy, which revealed no abnormal findings. After the cystoscopy, the patient's hematuria stopped, but he complained about the excretion of food from the previous day in his urine. The patient's CT cystography results were normal. However, the abdominopelvic CT scan revealed an increase in the thickness of the small intestine loops in the distal part of the jejunum without any evidence of obstruction, suggesting lymphomatous involvement. Based on the patient's fecaluria, he uneventfully underwent surgery, and EVF was confirmed. Resection of the involved small intestine and partial cystectomy were done. The pathology results suggested RT of CLL to diffuse large B-cell lymphoma (DLBCL). Not only EVF might be an uncommon complication of CLL, but it could also manifest in patients undergoing RT due to the disease's characteristics or as a result of treatment. It is essential for clinicians managing CLL patients to be aware of the RT and its complications.

求助全文
通过发布文献求助,成功后即可免费获取论文全文。 去求助
来源期刊
BMC Urology
BMC Urology UROLOGY & NEPHROLOGY-
CiteScore
3.20
自引率
0.00%
发文量
177
审稿时长
>12 weeks
期刊介绍: BMC Urology is an open access journal publishing original peer-reviewed research articles in all aspects of the prevention, diagnosis and management of urological disorders, as well as related molecular genetics, pathophysiology, and epidemiology. The journal considers manuscripts in the following broad subject-specific sections of urology: Endourology and technology Epidemiology and health outcomes Pediatric urology Pre-clinical and basic research Reconstructive urology Sexual function and fertility Urological imaging Urological oncology Voiding dysfunction Case reports.
×
引用
GB/T 7714-2015
复制
MLA
复制
APA
复制
导出至
BibTeX EndNote RefMan NoteFirst NoteExpress
×
提示
您的信息不完整,为了账户安全,请先补充。
现在去补充
×
提示
您因"违规操作"
具体请查看互助需知
我知道了
×
提示
确定
请完成安全验证×
copy
已复制链接
快去分享给好友吧!
我知道了
右上角分享
点击右上角分享
0
联系我们:info@booksci.cn Book学术提供免费学术资源搜索服务,方便国内外学者检索中英文文献。致力于提供最便捷和优质的服务体验。 Copyright © 2023 布克学术 All rights reserved.
京ICP备2023020795号-1
ghs 京公网安备 11010802042870号
Book学术文献互助
Book学术文献互助群
群 号:604180095
Book学术官方微信