典型血管平滑肌脂肪瘤合并静脉肿瘤血栓形成的临床及影像学特征:与肾细胞癌的对比分析。

IF 1.9 3区 医学 Q3 UROLOGY & NEPHROLOGY
Chang Liu, Yang Sun, Yongyue Zhang, Rongjin Zhang, Liwei Li, Shumin Wang, Huiying He
{"title":"典型血管平滑肌脂肪瘤合并静脉肿瘤血栓形成的临床及影像学特征:与肾细胞癌的对比分析。","authors":"Chang Liu, Yang Sun, Yongyue Zhang, Rongjin Zhang, Liwei Li, Shumin Wang, Huiying He","doi":"10.1186/s12894-025-01833-4","DOIUrl":null,"url":null,"abstract":"<p><strong>Objective: </strong>To retrospectively analyze the clinical and imaging characteristics of classic angiomyolipoma (CAML) with venous tumor thrombus (VTT) and compare them with those of clear cell renal cell carcinoma (ccRCC).</p><p><strong>Methods: </strong>Clinical data from six patients with renal CAML complicated by VTT and 18 with ccRCC complicated by VTT, treated at Peking University Third Hospital from April 2018 and June 2022, were retrospectively analyzed. All patients underwent preoperative ultrasound and contrast-enhanced CT. Clinical manifestations, imaging characteristics, surgical findings, and pathological data were collected, and patients were followed up.</p><p><strong>Results: </strong>Enhanced CT showed renal sinus involvement in all CAML cases versus four ccRCC cases (p = 0.002). All primary CAML tumors had fatty components, compared to one ccRCC case (p < 0.001). Enhanced CT also revealed 7 VTTs with fatty components (6 in the CAML group) (p < 0.001). Thrombus lengths in the inferior vena cava (IVC) were 8.05 ± 2.22 cm for CAML and 5.29 ± 2.38 cm for ccRCC, with no significant difference (p = 0.610). The maximum/minimum anteroposterior VTT diameter ratios were 3.98 and 1.09, respectively (p < 0.001); coronal diameter ratios were 4.00 and 1.12, respectively (p < 0.001). Ultrasound revealed that, except for one Mayo Level 0 case, the involved IVC in the CAML group had continuous, intact walls with blood flow signals in the residual lumen, while in the ccRCC group, most VTTs had unclear boundaries and only one case showed blood flow signals in the residual lumen (p = 0.001). Intraoperative blood loss was significantly lower in CAML cases (p = 0.017). No CAML patient had VTT invading the venous wall, unlike 8 ccRCC patients (p = 0.016). All patients were followed for 21-74 months (median: 34.5 months, mean: 36.6 months). All were alive with normal renal function, and no tumor recurrence or metastasis was observed.</p><p><strong>Conclusion: </strong>Renal CAML with VTT is characterized by three imaging features: the presence of fatty components, a unique geometric growth pattern, and the absence of venous wall invasion, potentially serving as valuable indicators for differentiating CAML from ccRCC lesions.</p>","PeriodicalId":9285,"journal":{"name":"BMC Urology","volume":"25 1","pages":"151"},"PeriodicalIF":1.9000,"publicationDate":"2025-07-03","publicationTypes":"Journal Article","fieldsOfStudy":null,"isOpenAccess":false,"openAccessPdf":"https://www.ncbi.nlm.nih.gov/pmc/articles/PMC12224625/pdf/","citationCount":"0","resultStr":"{\"title\":\"Clinical and imaging characteristics of classic angiomyolipoma with venous tumor thrombosis: a comparative analysis against renal cell carcinoma.\",\"authors\":\"Chang Liu, Yang Sun, Yongyue Zhang, Rongjin Zhang, Liwei Li, Shumin Wang, Huiying He\",\"doi\":\"10.1186/s12894-025-01833-4\",\"DOIUrl\":null,\"url\":null,\"abstract\":\"<p><strong>Objective: </strong>To retrospectively analyze the clinical and imaging characteristics of classic angiomyolipoma (CAML) with venous tumor thrombus (VTT) and compare them with those of clear cell renal cell carcinoma (ccRCC).</p><p><strong>Methods: </strong>Clinical data from six patients with renal CAML complicated by VTT and 18 with ccRCC complicated by VTT, treated at Peking University Third Hospital from April 2018 and June 2022, were retrospectively analyzed. All patients underwent preoperative ultrasound and contrast-enhanced CT. Clinical manifestations, imaging characteristics, surgical findings, and pathological data were collected, and patients were followed up.</p><p><strong>Results: </strong>Enhanced CT showed renal sinus involvement in all CAML cases versus four ccRCC cases (p = 0.002). All primary CAML tumors had fatty components, compared to one ccRCC case (p < 0.001). Enhanced CT also revealed 7 VTTs with fatty components (6 in the CAML group) (p < 0.001). Thrombus lengths in the inferior vena cava (IVC) were 8.05 ± 2.22 cm for CAML and 5.29 ± 2.38 cm for ccRCC, with no significant difference (p = 0.610). The maximum/minimum anteroposterior VTT diameter ratios were 3.98 and 1.09, respectively (p < 0.001); coronal diameter ratios were 4.00 and 1.12, respectively (p < 0.001). Ultrasound revealed that, except for one Mayo Level 0 case, the involved IVC in the CAML group had continuous, intact walls with blood flow signals in the residual lumen, while in the ccRCC group, most VTTs had unclear boundaries and only one case showed blood flow signals in the residual lumen (p = 0.001). Intraoperative blood loss was significantly lower in CAML cases (p = 0.017). No CAML patient had VTT invading the venous wall, unlike 8 ccRCC patients (p = 0.016). All patients were followed for 21-74 months (median: 34.5 months, mean: 36.6 months). All were alive with normal renal function, and no tumor recurrence or metastasis was observed.</p><p><strong>Conclusion: </strong>Renal CAML with VTT is characterized by three imaging features: the presence of fatty components, a unique geometric growth pattern, and the absence of venous wall invasion, potentially serving as valuable indicators for differentiating CAML from ccRCC lesions.</p>\",\"PeriodicalId\":9285,\"journal\":{\"name\":\"BMC Urology\",\"volume\":\"25 1\",\"pages\":\"151\"},\"PeriodicalIF\":1.9000,\"publicationDate\":\"2025-07-03\",\"publicationTypes\":\"Journal Article\",\"fieldsOfStudy\":null,\"isOpenAccess\":false,\"openAccessPdf\":\"https://www.ncbi.nlm.nih.gov/pmc/articles/PMC12224625/pdf/\",\"citationCount\":\"0\",\"resultStr\":null,\"platform\":\"Semanticscholar\",\"paperid\":null,\"PeriodicalName\":\"BMC Urology\",\"FirstCategoryId\":\"3\",\"ListUrlMain\":\"https://doi.org/10.1186/s12894-025-01833-4\",\"RegionNum\":3,\"RegionCategory\":\"医学\",\"ArticlePicture\":[],\"TitleCN\":null,\"AbstractTextCN\":null,\"PMCID\":null,\"EPubDate\":\"\",\"PubModel\":\"\",\"JCR\":\"Q3\",\"JCRName\":\"UROLOGY & NEPHROLOGY\",\"Score\":null,\"Total\":0}","platform":"Semanticscholar","paperid":null,"PeriodicalName":"BMC Urology","FirstCategoryId":"3","ListUrlMain":"https://doi.org/10.1186/s12894-025-01833-4","RegionNum":3,"RegionCategory":"医学","ArticlePicture":[],"TitleCN":null,"AbstractTextCN":null,"PMCID":null,"EPubDate":"","PubModel":"","JCR":"Q3","JCRName":"UROLOGY & NEPHROLOGY","Score":null,"Total":0}
引用次数: 0

摘要

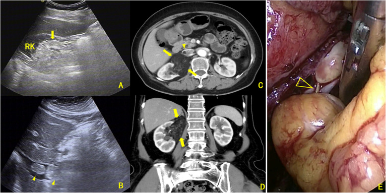
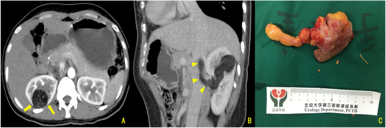
目的:回顾性分析典型血管平滑肌脂肪瘤(CAML)合并静脉肿瘤血栓(VTT)的临床及影像学特征,并与透明细胞肾细胞癌(ccRCC)进行比较。方法:回顾性分析北京大学第三医院2018年4月至2022年6月收治的6例肾CAML合并VTT患者和18例ccRCC合并VTT患者的临床资料。所有患者术前均行超声和增强CT检查。收集临床表现、影像学特征、手术表现及病理资料,并对患者进行随访。结果:增强CT显示所有CAML患者均有肾窦受累,而ccRCC患者仅有4例(p = 0.002)。结论:伴有VTT的肾性CAML具有三个影像学特征:脂肪成分的存在、独特的几何生长模式和没有静脉壁侵犯,这可能是鉴别CAML和ccRCC病变的有价值的指标。
本文章由计算机程序翻译,如有差异,请以英文原文为准。

Clinical and imaging characteristics of classic angiomyolipoma with venous tumor thrombosis: a comparative analysis against renal cell carcinoma.

Clinical and imaging characteristics of classic angiomyolipoma with venous tumor thrombosis: a comparative analysis against renal cell carcinoma.

Clinical and imaging characteristics of classic angiomyolipoma with venous tumor thrombosis: a comparative analysis against renal cell carcinoma.

Clinical and imaging characteristics of classic angiomyolipoma with venous tumor thrombosis: a comparative analysis against renal cell carcinoma.

Objective: To retrospectively analyze the clinical and imaging characteristics of classic angiomyolipoma (CAML) with venous tumor thrombus (VTT) and compare them with those of clear cell renal cell carcinoma (ccRCC).

Methods: Clinical data from six patients with renal CAML complicated by VTT and 18 with ccRCC complicated by VTT, treated at Peking University Third Hospital from April 2018 and June 2022, were retrospectively analyzed. All patients underwent preoperative ultrasound and contrast-enhanced CT. Clinical manifestations, imaging characteristics, surgical findings, and pathological data were collected, and patients were followed up.

Results: Enhanced CT showed renal sinus involvement in all CAML cases versus four ccRCC cases (p = 0.002). All primary CAML tumors had fatty components, compared to one ccRCC case (p < 0.001). Enhanced CT also revealed 7 VTTs with fatty components (6 in the CAML group) (p < 0.001). Thrombus lengths in the inferior vena cava (IVC) were 8.05 ± 2.22 cm for CAML and 5.29 ± 2.38 cm for ccRCC, with no significant difference (p = 0.610). The maximum/minimum anteroposterior VTT diameter ratios were 3.98 and 1.09, respectively (p < 0.001); coronal diameter ratios were 4.00 and 1.12, respectively (p < 0.001). Ultrasound revealed that, except for one Mayo Level 0 case, the involved IVC in the CAML group had continuous, intact walls with blood flow signals in the residual lumen, while in the ccRCC group, most VTTs had unclear boundaries and only one case showed blood flow signals in the residual lumen (p = 0.001). Intraoperative blood loss was significantly lower in CAML cases (p = 0.017). No CAML patient had VTT invading the venous wall, unlike 8 ccRCC patients (p = 0.016). All patients were followed for 21-74 months (median: 34.5 months, mean: 36.6 months). All were alive with normal renal function, and no tumor recurrence or metastasis was observed.

Conclusion: Renal CAML with VTT is characterized by three imaging features: the presence of fatty components, a unique geometric growth pattern, and the absence of venous wall invasion, potentially serving as valuable indicators for differentiating CAML from ccRCC lesions.

求助全文
通过发布文献求助,成功后即可免费获取论文全文。 去求助
来源期刊
BMC Urology
BMC Urology UROLOGY & NEPHROLOGY-
CiteScore
3.20
自引率
0.00%
发文量
177
审稿时长
>12 weeks
期刊介绍: BMC Urology is an open access journal publishing original peer-reviewed research articles in all aspects of the prevention, diagnosis and management of urological disorders, as well as related molecular genetics, pathophysiology, and epidemiology. The journal considers manuscripts in the following broad subject-specific sections of urology: Endourology and technology Epidemiology and health outcomes Pediatric urology Pre-clinical and basic research Reconstructive urology Sexual function and fertility Urological imaging Urological oncology Voiding dysfunction Case reports.
×
引用
GB/T 7714-2015
复制
MLA
复制
APA
复制
导出至
BibTeX EndNote RefMan NoteFirst NoteExpress
×
提示
您的信息不完整,为了账户安全,请先补充。
现在去补充
×
提示
您因"违规操作"
具体请查看互助需知
我知道了
×
提示
确定
请完成安全验证×
copy
已复制链接
快去分享给好友吧!
我知道了
右上角分享
点击右上角分享
0
联系我们:info@booksci.cn Book学术提供免费学术资源搜索服务,方便国内外学者检索中英文文献。致力于提供最便捷和优质的服务体验。 Copyright © 2023 布克学术 All rights reserved.
京ICP备2023020795号-1
ghs 京公网安备 11010802042870号
Book学术文献互助
Book学术文献互助群
群 号:604180095
Book学术官方微信