父子中枢性尿崩症与一罕见变异有关:1例报告。

Biomedicine hub Pub Date : 2025-02-07 eCollection Date: 2025-01-01 DOI:10.1159/000543795
Paula Bruna Mattos Coelho Araujo, Luiz Filipe Rocha de Sá, Rafaela Sousa, Darine Villela, Thereza Taylanne Souza Loureiro Cavalcanti, Michele Patricia Migliavacca, Marilia Martins Guimaraes, Micheline Abreu Rayol Souza, Erika Naliato, Mariana Botelho, João Bosco Nascimento, Mirna Sanchez Carvallo, Pedro Martins Viveiros, Delmar Muniz Lourenço Junior, Rosita Fontes, Alice Helena Dutra Violante
{"title":"父子中枢性尿崩症与一罕见变异有关:1例报告。","authors":"Paula Bruna Mattos Coelho Araujo, Luiz Filipe Rocha de Sá, Rafaela Sousa, Darine Villela, Thereza Taylanne Souza Loureiro Cavalcanti, Michele Patricia Migliavacca, Marilia Martins Guimaraes, Micheline Abreu Rayol Souza, Erika Naliato, Mariana Botelho, João Bosco Nascimento, Mirna Sanchez Carvallo, Pedro Martins Viveiros, Delmar Muniz Lourenço Junior, Rosita Fontes, Alice Helena Dutra Violante","doi":"10.1159/000543795","DOIUrl":null,"url":null,"abstract":"<p><strong>Introduction: </strong>Central diabetes insipidus (CDI) is a rare disorder caused by a deficiency in the secretion of arginine vasopressin (AVP) from the posterior pituitary. It can be either acquired or congenital, often due to genetic factors, and is typically inherited in an autosomal dominant manner.</p><p><strong>Case presentation: </strong>This study describes the clinical features and the genetic analysis of a father and his son with familial CDI. Both presented in childhood with typical symptoms, including polyuria, polydipsia, and hypernatremia. Diagnosis was confirmed through water deprivation testing and subsequently supported by sellar magnetic resonance imaging. Genetic analysis identified the rare germline variant c.329G>A (p.Cys110Tyr) in the <i>AVP</i> gene, in heterozygosity, which segregated in the parent-child pair, thereby elucidating the familial basis of the CDI.</p><p><strong>Conclusion: </strong>This rare germline <i>AVP</i> variant causes a cysteine-to-tyrosine amino acid substitution in the encoded protein and is classified as pathogenic. Familial cases of rare diseases, such as CDI, highlight the importance of clinical evaluation of relatives with similar symptoms and emphasize the need for molecular studies and genetic counseling.</p>","PeriodicalId":101351,"journal":{"name":"Biomedicine hub","volume":"10 1","pages":"57-63"},"PeriodicalIF":0.0000,"publicationDate":"2025-02-07","publicationTypes":"Journal Article","fieldsOfStudy":null,"isOpenAccess":false,"openAccessPdf":"https://www.ncbi.nlm.nih.gov/pmc/articles/PMC12215092/pdf/","citationCount":"0","resultStr":"{\"title\":\"Central Diabetes Insipidus in Father and Son Linked to a Rare Variant: A Case Report.\",\"authors\":\"Paula Bruna Mattos Coelho Araujo, Luiz Filipe Rocha de Sá, Rafaela Sousa, Darine Villela, Thereza Taylanne Souza Loureiro Cavalcanti, Michele Patricia Migliavacca, Marilia Martins Guimaraes, Micheline Abreu Rayol Souza, Erika Naliato, Mariana Botelho, João Bosco Nascimento, Mirna Sanchez Carvallo, Pedro Martins Viveiros, Delmar Muniz Lourenço Junior, Rosita Fontes, Alice Helena Dutra Violante\",\"doi\":\"10.1159/000543795\",\"DOIUrl\":null,\"url\":null,\"abstract\":\"<p><strong>Introduction: </strong>Central diabetes insipidus (CDI) is a rare disorder caused by a deficiency in the secretion of arginine vasopressin (AVP) from the posterior pituitary. It can be either acquired or congenital, often due to genetic factors, and is typically inherited in an autosomal dominant manner.</p><p><strong>Case presentation: </strong>This study describes the clinical features and the genetic analysis of a father and his son with familial CDI. Both presented in childhood with typical symptoms, including polyuria, polydipsia, and hypernatremia. Diagnosis was confirmed through water deprivation testing and subsequently supported by sellar magnetic resonance imaging. Genetic analysis identified the rare germline variant c.329G>A (p.Cys110Tyr) in the <i>AVP</i> gene, in heterozygosity, which segregated in the parent-child pair, thereby elucidating the familial basis of the CDI.</p><p><strong>Conclusion: </strong>This rare germline <i>AVP</i> variant causes a cysteine-to-tyrosine amino acid substitution in the encoded protein and is classified as pathogenic. Familial cases of rare diseases, such as CDI, highlight the importance of clinical evaluation of relatives with similar symptoms and emphasize the need for molecular studies and genetic counseling.</p>\",\"PeriodicalId\":101351,\"journal\":{\"name\":\"Biomedicine hub\",\"volume\":\"10 1\",\"pages\":\"57-63\"},\"PeriodicalIF\":0.0000,\"publicationDate\":\"2025-02-07\",\"publicationTypes\":\"Journal Article\",\"fieldsOfStudy\":null,\"isOpenAccess\":false,\"openAccessPdf\":\"https://www.ncbi.nlm.nih.gov/pmc/articles/PMC12215092/pdf/\",\"citationCount\":\"0\",\"resultStr\":null,\"platform\":\"Semanticscholar\",\"paperid\":null,\"PeriodicalName\":\"Biomedicine hub\",\"FirstCategoryId\":\"1085\",\"ListUrlMain\":\"https://doi.org/10.1159/000543795\",\"RegionNum\":0,\"RegionCategory\":null,\"ArticlePicture\":[],\"TitleCN\":null,\"AbstractTextCN\":null,\"PMCID\":null,\"EPubDate\":\"2025/1/1 0:00:00\",\"PubModel\":\"eCollection\",\"JCR\":\"\",\"JCRName\":\"\",\"Score\":null,\"Total\":0}","platform":"Semanticscholar","paperid":null,"PeriodicalName":"Biomedicine hub","FirstCategoryId":"1085","ListUrlMain":"https://doi.org/10.1159/000543795","RegionNum":0,"RegionCategory":null,"ArticlePicture":[],"TitleCN":null,"AbstractTextCN":null,"PMCID":null,"EPubDate":"2025/1/1 0:00:00","PubModel":"eCollection","JCR":"","JCRName":"","Score":null,"Total":0}
引用次数: 0

摘要

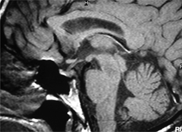
中枢性尿囊症(CDI)是一种罕见的疾病,由垂体后叶精氨酸加压素(AVP)分泌不足引起。它可以是后天的或先天性的,通常是由于遗传因素,通常以常染色体显性方式遗传。病例介绍:本研究描述了家族性CDI父子的临床特征和遗传分析。两者均在儿童期出现典型症状,包括多尿、烦渴和高钠血症。诊断通过缺水试验证实,随后通过鞍区磁共振成像支持。遗传分析发现AVP基因中存在罕见的种系变异c.329G>A (p.Cys110Tyr),其杂合性在亲子对中分离,从而阐明了CDI的家族性基础。结论:这种罕见的种系AVP变异导致编码蛋白中半胱氨酸到酪氨酸的氨基酸替代,并被归类为致病性。罕见病的家族性病例,如CDI,强调了对具有相似症状的亲属进行临床评估的重要性,并强调了分子研究和遗传咨询的必要性。
本文章由计算机程序翻译,如有差异,请以英文原文为准。

Central Diabetes Insipidus in Father and Son Linked to a Rare Variant: A Case Report.

Central Diabetes Insipidus in Father and Son Linked to a Rare Variant: A Case Report.

Introduction: Central diabetes insipidus (CDI) is a rare disorder caused by a deficiency in the secretion of arginine vasopressin (AVP) from the posterior pituitary. It can be either acquired or congenital, often due to genetic factors, and is typically inherited in an autosomal dominant manner.

Case presentation: This study describes the clinical features and the genetic analysis of a father and his son with familial CDI. Both presented in childhood with typical symptoms, including polyuria, polydipsia, and hypernatremia. Diagnosis was confirmed through water deprivation testing and subsequently supported by sellar magnetic resonance imaging. Genetic analysis identified the rare germline variant c.329G>A (p.Cys110Tyr) in the AVP gene, in heterozygosity, which segregated in the parent-child pair, thereby elucidating the familial basis of the CDI.

Conclusion: This rare germline AVP variant causes a cysteine-to-tyrosine amino acid substitution in the encoded protein and is classified as pathogenic. Familial cases of rare diseases, such as CDI, highlight the importance of clinical evaluation of relatives with similar symptoms and emphasize the need for molecular studies and genetic counseling.

求助全文
通过发布文献求助,成功后即可免费获取论文全文。 去求助
来源期刊
自引率
0.00%
发文量
0
×
引用
GB/T 7714-2015
复制
MLA
复制
APA
复制
导出至
BibTeX EndNote RefMan NoteFirst NoteExpress
×
提示
您的信息不完整,为了账户安全,请先补充。
现在去补充
×
提示
您因"违规操作"
具体请查看互助需知
我知道了
×
提示
确定
请完成安全验证×
copy
已复制链接
快去分享给好友吧!
我知道了
右上角分享
点击右上角分享
0
联系我们:info@booksci.cn Book学术提供免费学术资源搜索服务,方便国内外学者检索中英文文献。致力于提供最便捷和优质的服务体验。 Copyright © 2023 布克学术 All rights reserved.
京ICP备2023020795号-1
ghs 京公网安备 11010802042870号
Book学术文献互助
Book学术文献互助群
群 号:604180095
Book学术官方微信