健康和医学受损患者的血管相关锥束计算机断层扫描结果:一项基于自我报告病史数据的研究

IF 2.1 Q3 DENTISTRY, ORAL SURGERY & MEDICINE
Imaging Science in Dentistry Pub Date : 2025-06-01 Epub Date: 2025-04-28 DOI:10.5624/isd.20250029
Spyros Damaskos, Andronikos Zoukos, Charalambos Vlachopoulos, Christos Angelopoulos
{"title":"健康和医学受损患者的血管相关锥束计算机断层扫描结果:一项基于自我报告病史数据的研究","authors":"Spyros Damaskos, Andronikos Zoukos, Charalambos Vlachopoulos, Christos Angelopoulos","doi":"10.5624/isd.20250029","DOIUrl":null,"url":null,"abstract":"<p><strong>Purpose: </strong>This study aimed to evaluate the correlation between incidental vascular calcification-like imaging findings and self-reported medical data, as well as to assess the relationship between reported predisposing factors and imaging findings using cone-beam computed tomography (CBCT) data.</p><p><strong>Materials and methods: </strong>A total of 391 CBCT scans from 188 males and 203 females were anonymously analyzed for the presence of extra- and intra-cranial carotid artery calcifications (ECAC and ICAC, respectively) and signs of Mönckeberg medial sclerosis (MMS). The patients were categorized into 4 groups based on their self-reported medical histories. Descriptive statistics were used to evaluate the data, which were subsequently validated through simple univariate logistic regression analysis.</p><p><strong>Results: </strong>Among the 391 CBCT scans reviewed, 23.27% exhibited ECAC, 42.71% demonstrated ICAC, and 1.8% showed MMS. Statistical analysis revealed a significant correlation (<i>P</i><0.05) between both ECAC and ICAC and self-reported predisposing factors-including hypertension, cardiovascular disease, dyslipidemia, diabetes mellitus, and sleep apnea/chronic obstructive pulmonary disease-with notable differences among the study categories (<i>P</i><0.05). In addition, a strong correlation (<i>P</i><0.001) was found between the presence of ECAC, ICAC, and MMS and increasing age. Men were significantly more susceptible to ECAC than women (<i>P</i><0.05).</p><p><strong>Conclusion: </strong>These findings underscore the importance of a thorough pre-treatment medical history assessment in dental patients, particularly when vascular calcification-like signs are observed on CBCT imaging.</p>","PeriodicalId":51714,"journal":{"name":"Imaging Science in Dentistry","volume":"55 2","pages":"197-206"},"PeriodicalIF":2.1000,"publicationDate":"2025-06-01","publicationTypes":"Journal Article","fieldsOfStudy":null,"isOpenAccess":false,"openAccessPdf":"https://www.ncbi.nlm.nih.gov/pmc/articles/PMC12210113/pdf/","citationCount":"0","resultStr":"{\"title\":\"Vascular-related cone-beam computed tomographic findings in healthy and medically compromised patients: A study based on self-reported medical history data.\",\"authors\":\"Spyros Damaskos, Andronikos Zoukos, Charalambos Vlachopoulos, Christos Angelopoulos\",\"doi\":\"10.5624/isd.20250029\",\"DOIUrl\":null,\"url\":null,\"abstract\":\"<p><strong>Purpose: </strong>This study aimed to evaluate the correlation between incidental vascular calcification-like imaging findings and self-reported medical data, as well as to assess the relationship between reported predisposing factors and imaging findings using cone-beam computed tomography (CBCT) data.</p><p><strong>Materials and methods: </strong>A total of 391 CBCT scans from 188 males and 203 females were anonymously analyzed for the presence of extra- and intra-cranial carotid artery calcifications (ECAC and ICAC, respectively) and signs of Mönckeberg medial sclerosis (MMS). The patients were categorized into 4 groups based on their self-reported medical histories. Descriptive statistics were used to evaluate the data, which were subsequently validated through simple univariate logistic regression analysis.</p><p><strong>Results: </strong>Among the 391 CBCT scans reviewed, 23.27% exhibited ECAC, 42.71% demonstrated ICAC, and 1.8% showed MMS. Statistical analysis revealed a significant correlation (<i>P</i><0.05) between both ECAC and ICAC and self-reported predisposing factors-including hypertension, cardiovascular disease, dyslipidemia, diabetes mellitus, and sleep apnea/chronic obstructive pulmonary disease-with notable differences among the study categories (<i>P</i><0.05). In addition, a strong correlation (<i>P</i><0.001) was found between the presence of ECAC, ICAC, and MMS and increasing age. Men were significantly more susceptible to ECAC than women (<i>P</i><0.05).</p><p><strong>Conclusion: </strong>These findings underscore the importance of a thorough pre-treatment medical history assessment in dental patients, particularly when vascular calcification-like signs are observed on CBCT imaging.</p>\",\"PeriodicalId\":51714,\"journal\":{\"name\":\"Imaging Science in Dentistry\",\"volume\":\"55 2\",\"pages\":\"197-206\"},\"PeriodicalIF\":2.1000,\"publicationDate\":\"2025-06-01\",\"publicationTypes\":\"Journal Article\",\"fieldsOfStudy\":null,\"isOpenAccess\":false,\"openAccessPdf\":\"https://www.ncbi.nlm.nih.gov/pmc/articles/PMC12210113/pdf/\",\"citationCount\":\"0\",\"resultStr\":null,\"platform\":\"Semanticscholar\",\"paperid\":null,\"PeriodicalName\":\"Imaging Science in Dentistry\",\"FirstCategoryId\":\"1085\",\"ListUrlMain\":\"https://doi.org/10.5624/isd.20250029\",\"RegionNum\":0,\"RegionCategory\":null,\"ArticlePicture\":[],\"TitleCN\":null,\"AbstractTextCN\":null,\"PMCID\":null,\"EPubDate\":\"2025/4/28 0:00:00\",\"PubModel\":\"Epub\",\"JCR\":\"Q3\",\"JCRName\":\"DENTISTRY, ORAL SURGERY & MEDICINE\",\"Score\":null,\"Total\":0}","platform":"Semanticscholar","paperid":null,"PeriodicalName":"Imaging Science in Dentistry","FirstCategoryId":"1085","ListUrlMain":"https://doi.org/10.5624/isd.20250029","RegionNum":0,"RegionCategory":null,"ArticlePicture":[],"TitleCN":null,"AbstractTextCN":null,"PMCID":null,"EPubDate":"2025/4/28 0:00:00","PubModel":"Epub","JCR":"Q3","JCRName":"DENTISTRY, ORAL SURGERY & MEDICINE","Score":null,"Total":0}
引用次数: 0

摘要

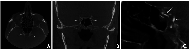
目的:本研究旨在评估偶发性血管钙化样影像学表现与自我报告的医疗数据之间的相关性,并评估报告的诱发因素与使用锥形束计算机断层扫描(CBCT)数据的影像学表现之间的关系。材料和方法:对188名男性和203名女性的391张CBCT扫描进行匿名分析,以确定颅外颈动脉和颅内颈动脉钙化(ECAC和ICAC分别)和Mönckeberg内侧硬化(MMS)的迹象。根据患者自述的病史将其分为4组。描述性统计用于评估数据,随后通过简单的单变量逻辑回归分析进行验证。结果:在391张CBCT扫描中,23.27%显示ECAC, 42.71%显示ICAC, 1.8%显示MMS。结论:这些发现强调了对牙科患者进行全面治疗前病史评估的重要性,特别是当在CBCT成像上观察到血管钙化样征象时。
本文章由计算机程序翻译,如有差异,请以英文原文为准。

Vascular-related cone-beam computed tomographic findings in healthy and medically compromised patients: A study based on self-reported medical history data.

Vascular-related cone-beam computed tomographic findings in healthy and medically compromised patients: A study based on self-reported medical history data.

Vascular-related cone-beam computed tomographic findings in healthy and medically compromised patients: A study based on self-reported medical history data.

Vascular-related cone-beam computed tomographic findings in healthy and medically compromised patients: A study based on self-reported medical history data.

Purpose: This study aimed to evaluate the correlation between incidental vascular calcification-like imaging findings and self-reported medical data, as well as to assess the relationship between reported predisposing factors and imaging findings using cone-beam computed tomography (CBCT) data.

Materials and methods: A total of 391 CBCT scans from 188 males and 203 females were anonymously analyzed for the presence of extra- and intra-cranial carotid artery calcifications (ECAC and ICAC, respectively) and signs of Mönckeberg medial sclerosis (MMS). The patients were categorized into 4 groups based on their self-reported medical histories. Descriptive statistics were used to evaluate the data, which were subsequently validated through simple univariate logistic regression analysis.

Results: Among the 391 CBCT scans reviewed, 23.27% exhibited ECAC, 42.71% demonstrated ICAC, and 1.8% showed MMS. Statistical analysis revealed a significant correlation (P<0.05) between both ECAC and ICAC and self-reported predisposing factors-including hypertension, cardiovascular disease, dyslipidemia, diabetes mellitus, and sleep apnea/chronic obstructive pulmonary disease-with notable differences among the study categories (P<0.05). In addition, a strong correlation (P<0.001) was found between the presence of ECAC, ICAC, and MMS and increasing age. Men were significantly more susceptible to ECAC than women (P<0.05).

Conclusion: These findings underscore the importance of a thorough pre-treatment medical history assessment in dental patients, particularly when vascular calcification-like signs are observed on CBCT imaging.

求助全文
通过发布文献求助,成功后即可免费获取论文全文。 去求助
来源期刊
Imaging Science in Dentistry
Imaging Science in Dentistry DENTISTRY, ORAL SURGERY & MEDICINE-
CiteScore
2.90
自引率
11.10%
发文量
42
×
引用
GB/T 7714-2015
复制
MLA
复制
APA
复制
导出至
BibTeX EndNote RefMan NoteFirst NoteExpress
×
提示
您的信息不完整,为了账户安全,请先补充。
现在去补充
×
提示
您因"违规操作"
具体请查看互助需知
我知道了
×
提示
确定
请完成安全验证×
copy
已复制链接
快去分享给好友吧!
我知道了
右上角分享
点击右上角分享
0
联系我们:info@booksci.cn Book学术提供免费学术资源搜索服务,方便国内外学者检索中英文文献。致力于提供最便捷和优质的服务体验。 Copyright © 2023 布克学术 All rights reserved.
京ICP备2023020795号-1
ghs 京公网安备 11010802042870号
Book学术文献互助
Book学术文献互助群
群 号:604180095
Book学术官方微信